JavaScript is disabled in your browser. Please enable JavaScript to view this website.
AB194316

HRP Anti-MMP9 antibody [EP1255Y]

Be the first to review this product! Submit a review

|

(8 Publications)

Rabbit Recombinant Monoclonal MMP9 antibody - conjugated to HRP. Suitable for IHC-P, WB and reacts with Human samples. Cited in 8 publications.

View Alternative Names

CLG4B, MMP9, Matrix metalloproteinase-9, MMP-9, 92 kDa gelatinase, 92 kDa type IV collagenase, Gelatinase B, GELB

2 Images
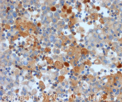
Immunohistochemistry (Formalin/PFA-fixed paraffin-embedded sections) - HRP Anti-MMP9 antibody [EP1255Y] (AB194316)
  • IHC-P

Lab

Immunohistochemistry (Formalin/PFA-fixed paraffin-embedded sections) - HRP Anti-MMP9 antibody [EP1255Y] (AB194316)

IHC image of MMP9 staining in a section of formalin-fixed paraffin-embedded human lung adenocarcinoma*. The section was pre-treated using pressure cooker heat mediated antigen retrieval with sodium citrate buffer (pH6) for 30mins, and incubated overnight at +4°C with ab194316 at a working dilution of 1/500. DAB was used as the chromogen (ab103723), diluted 1/100 and incubated for 10min at room temperature. The section was counterstained with haematoxylin and mounted with DPX. The inset negative control image is taken from an identical assay without primary antibody.

For other IHC staining systems (automated and non-automated) customers should optimize variable parameters such as antigen retrieval conditions, primary antibody concentration and antibody incubation times.

*Tissue obtained from the Human Research Tissue Bank, supported by the NIHR Cambridge Biomedical Research Centre

Western blot - HRP Anti-MMP9 antibody [EP1255Y] (AB194316)
  • WB

Lab

Western blot - HRP Anti-MMP9 antibody [EP1255Y] (AB194316)

This blot was produced using a 4-12% Bis-tris gel under the MOPS buffer system. The gel was run at 200V for 50 minutes before being transferred onto a Nitrocellulose membrane at 30V for 70 minutes. The membrane was then blocked for an hour using 3% milk before being incubated with ab194316 overnight at 4°C. Antibody binding was visualised using ECL development solution ab133406.

All lanes:

Western blot - HRP Anti-MMP9 antibody [EP1255Y] (ab194316) at 1/1000 dilution

All lanes:

U937 (Human leukemic monocyte lymphoma cell line) Whole Cell Lysate at 10 µg

Predicted band size: 78 kDa

Observed band size: 78 kDa

true

Exposure time: 12min

Key facts

Host species

Rabbit

Clonality

Monoclonal

Clone number

EP1255Y

Isotype

IgG

Conjugation

HRP

Excitation/Emission
Carrier free

No

Reacts with

Human

Applications

WB, IHC-P

applications

Immunogen

The exact immunogen used to generate this antibody is proprietary information.

Reactivity data

{ "title": "Reactivity Data", "filters": { "stats": ["", "Species", "Dilution Info", "Notes"], "tabs": { "all-applications": {"fullname" : "All Applications", "shortname": "All Applications"}, "IHCP" : {"fullname" : "Immunohistochemistry (Formalin/PFA-fixed paraffin-embedded sections)", "shortname":"IHC-P"}, "WB" : {"fullname" : "Western blot", "shortname":"WB"} }, "product-promise": { "all": "all", "testedAndGuaranteed": "tested", "guaranteed": "expected", "predicted": "predicted", "notRecommended": "not-recommended" } }, "values": { "Human": { "IHCP-species-checked": "testedAndGuaranteed", "IHCP-species-dilution-info": "1/500", "IHCP-species-notes": "<p><a href='/en-us/products/primary-antibodies/hrp-rabbit-igg-monoclonal-epr25a-isotype-control-ab199507'>ab199507</a> - Rabbit monoclonal IgG (HRP), is suitable for use an as isotype control with this antibody.</p>", "WB-species-checked": "testedAndGuaranteed", "WB-species-dilution-info": "1/1000", "WB-species-notes": "<p></p>" } } }

Product details

Patented technology
Our RabMAb® technology is a patented hybridoma-based technology for making rabbit monoclonal antibodies. For details on our patents, please refer to RabMAb® patents.

Properties and storage information

Form
Liquid
Purification technique
Affinity purification Protein A
Storage buffer
pH: 7.4 Preservative: 0.1% Proclin 300 Solution Constituents: PBS, 30% Glycerol (glycerin, glycerine), 1% BSA
Shipped at conditions
Blue Ice
Appropriate short-term storage duration
1-2 weeks
Appropriate short-term storage conditions
+4°C
Appropriate long-term storage conditions
-20°C
Aliquoting information
Upon delivery aliquot
Storage information
Avoid freeze / thaw cycle|Store in the dark

Supplementary information

This supplementary information is collated from multiple sources and compiled automatically.

The MMP-9 protein also known as matrix metalloproteinase-9 or gelatinase B functions as an enzyme involved in the breakdown of extracellular matrix proteins. It consists of a zinc ion at its active site and facilitates the degradation of type IV and V collagens fibronectin and elastin. MMP-9 has a molecular weight of approximately 92 kDa and is expressed in a variety of tissues including the liver lungs and immune cells. This enzyme can exist in monomer and dimer forms with its activity regulated by tissue inhibitors of metalloproteinases (TIMPs).
Biological function summary

Matrix metalloproteinase-9 profoundly influences tissue remodeling inflammation and angiogenesis. It does not form part of a larger protein complex but interacts closely with substrates in the extracellular matrix. MMP-9 plays important roles in processes such as embryogenesis reproduction and wound healing through the remodeling of surrounding tissues. The MMP-9 protein is often measured using assays like ELISA or analyzed via techniques such as Western blotting to determine its expression levels and activity in different biological contexts.

Pathways

MMP-9 participates in the matrix metalloproteinase pathway and the NF-kB signaling pathway. These pathways are essential in orchestrating processes such as tissue remodeling and inflammatory responses. MMP-9 acts alongside other matrix metalloproteinases including MMP-2 and is regulated by factors like cytokines growth factors and hormones ensuring the precision of extracellular matrix degradation during physiological processes.

Matrix metalloproteinase-9 has associations with cancer invasion and metastasis as well as chronic inflammatory diseases like rheumatoid arthritis. In cancer upregulated MMP-9 expression aids tumor cells in breaching the basement membrane facilitating metastasis. The disorder-associated pathways often involve interactions with proteins like vascular endothelial growth factor (VEGF) and transforming growth factor-beta (TGF-beta). Understanding MMP-9's role in these conditions can contribute to developing targeted therapies that inhibit its activity potentially mitigating disease progression.

Product protocols

For this product, it's our understanding that no specific protocols are required. You can visit:

Target data

The protein expressed by gene MMP9 is a matrix metalloproteinase that plays an essential role in the local proteolysis of the extracellular matrix and in leukocyte migration. It cleaves KiSS1 at a Gly-|-Leu bond and processes NINJ1 to generate the Secreted ninjurin-1 form. Additionally, MMP9 cleaves type IV and type V collagen into large C-terminal three-quarter fragments and shorter N-terminal one-quarter fragments. It degrades fibronectin but not laminin or Pz-peptide. This supplementary information is collated from multiple sources and compiled automatically.
See full target information MMP9

Publications (8)

Recent publications for all applications. Explore the full list and refine your search

Annals of translational medicine 10:1367 PubMed36660661

2023

SDHB reduction promotes oral lichen planus by impairing mitochondrial respiratory function.

Applications

Unspecified application

Species

Unspecified reactive species

Hui Zhang,Beiyun Xu,Jin Liu,Bin Guo,Hongying Sun,Qiaozhen Yang

Cell death discovery 8:242 PubMed35504875

2022

Anti-cancer effect of LINC00478 in bladder cancer correlates with KDM1A-dependent MMP9 demethylation.

Applications

Unspecified application

Species

Unspecified reactive species

Han-Jie Yang,Tian Liu,Yang Xiong

Molecular medicine reports 25: PubMed34913072

2021

Knockdown of CCL28 inhibits endometriosis stromal cell proliferation and invasion via ERK signaling pathway inactivation.

Applications

Unspecified application

Species

Unspecified reactive species

Yingting Wu,Feilong Zhu,Wenqin Sun,Weiwei Shen,Qin Zhang,Huifen Chen

Aging 13:4962-4975 PubMed33668040

2021

Methylation-dependent MCM6 repression induced by LINC00472 inhibits triple-negative breast cancer metastasis by disturbing the MEK/ERK signaling pathway.

Applications

Unspecified application

Species

Unspecified reactive species

Guoli Shao,Xulong Fan,Pusheng Zhang,Xuewen Liu,Lei Huang,Shufeng Ji

Journal of orthopaedic translation 22:132-141 PubMed32440509

2020

Apatinib ameliorates doxorubicin-induced migration and cancer stemness of osteosarcoma cells by inhibiting Sox2 via STAT3 signalling.

Applications

Unspecified application

Species

Unspecified reactive species

Zhi C Tian,Jia Q Wang,Hong Ge

Journal of cellular and molecular medicine 24:1179-1188 PubMed31793175

2019

Metabolic changes during malignant transformation in primary cells of oral lichen planus: Succinate accumulation and tumour suppression.

Applications

Unspecified application

Species

Unspecified reactive species

Qiaozhen Yang,Hongying Sun,Xiaxia Wang,Xuedi Yu,Jie Zhang,Bin Guo,Saiyin Hexige

Oxidative medicine and cellular longevity 2019:1970818 PubMed31093311

2019

CIAPIN1 Targeted NHE1 and ERK1/2 to Suppress NSCLC Cells' Metastasis and Predicted Good Prognosis in NSCLC Patients Receiving Pulmonectomy.

Applications

Unspecified application

Species

Unspecified reactive species

Jian Wang,Ying Zhou,Li Ma,Shannan Cao,Wei Gao,Qingqing Xiong,Kaiyuan Wang,Lili Yang

OncoTargets and therapy 9:4075-87 PubMed27445498

2016

LncRNA GAS5 is a critical regulator of metastasis phenotype of melanoma cells and inhibits tumor growth in vivo.

Applications

WB

Species

Human

Long Chen,Huixin Yang,Yanbin Xiao,Xiaoxia Tang,Yuqian Li,Qiaoqiao Han,Junping Fu,Yuye Yang,Yuechun Zhu
View all publications

Product promise

We are committed to supporting your work with high-quality reagents, and we're here for you every step of the way. In the unlikely event that one of our products does not perform as expected, you're protected by our Product Promise.
For full details, please see our Terms & Conditions

Please note: All products are 'FOR RESEARCH USE ONLY. NOT FOR USE IN DIAGNOSTIC OR THERAPEUTIC PROCEDURES'.

For licensing inquiries, please contact partnerships@abcam.com