JavaScript is disabled in your browser. Please enable JavaScript to view this website.
AB199236

HRP Anti-Myelin oligodendrocyte glycoprotein antibody [EP4281] - Oligodendrocyte Marker

Be the first to review this product! Submit a review

|

(1 Publication)

Rabbit Recombinant Monoclonal Myelin oligodendrocyte glycoprotein antibody - conjugated to HRP. Suitable for IHC-P, WB and reacts with Human, Mouse, Rat samples. Cited in 1 publication.

View Alternative Names

Myelin-oligodendrocyte glycoprotein, MOG

2 Images
Western blot - HRP Anti-Myelin oligodendrocyte glycoprotein antibody [EP4281] - Oligodendrocyte Marker (AB199236)
  • WB

Lab

Western blot - HRP Anti-Myelin oligodendrocyte glycoprotein antibody [EP4281] - Oligodendrocyte Marker (AB199236)

This blot was produced using a 4-12% Bis-tris gel under the MOPS buffer system. The gel was run at 200V for 50 minutes before being transferred onto a Nitrocellulose membrane at 30V for 70 minutes. The membrane was then blocked for an hour using 2% Bovine Serum Albumin before being incubated with ab199236 overnight at 4°C. Antibody binding was visualised using ECL development solution ab133406.

All lanes:

Western blot - HRP Anti-Myelin oligodendrocyte glycoprotein antibody [EP4281] - Oligodendrocyte Marker (ab199236) at 1/5000 dilution

Lane 1:

Brain (Mouse) Tissue Lysate at 10 µg

Lane 2:

Brain (Rat) Tissue Lysate at 10 µg

Lane 3:

Human brain tissue lysate - total protein (<a href='/en-us/products/unavailable/human-brain-tissue-lysate-total-protein-ab29466'>ab29466</a>) at 10 µg

Predicted band size: 28 kDa

Observed band size: 26 kDa

true

Exposure time: 30s

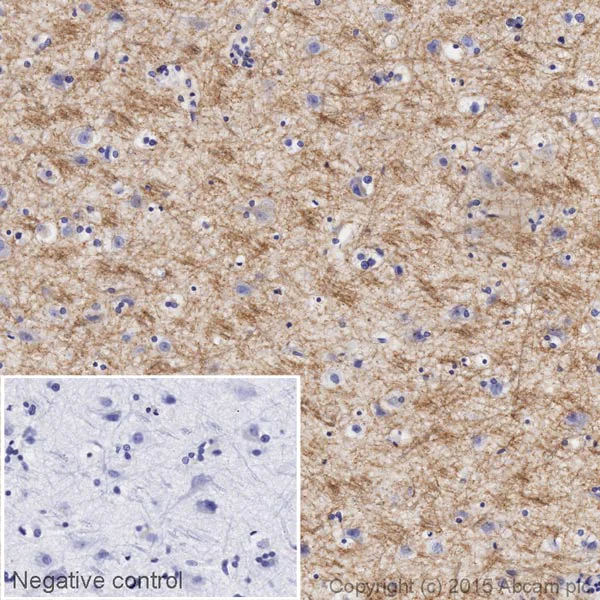
Immunohistochemistry (Formalin/PFA-fixed paraffin-embedded sections) - HRP Anti-Myelin oligodendrocyte glycoprotein antibody [EP4281] - Oligodendrocyte Marker (AB199236)
  • IHC-P

Lab

Immunohistochemistry (Formalin/PFA-fixed paraffin-embedded sections) - HRP Anti-Myelin oligodendrocyte glycoprotein antibody [EP4281] - Oligodendrocyte Marker (AB199236)

IHC image of Myelin oligodendrocyte glycoprotein staining in a section of formalin-fixed paraffin-embedded normal human cerebral cortex, performed on a Leica BOND. The section was pre-treated using heat mediated antigen retrieval with sodium citrate buffer (pH6, epitope retrieval solution 1) for 20mins. The section was then incubated with ab199236, 1/100 dilution, for 15 mins at room temperature. DAB was used as the chromogen. The section was then counterstained with haematoxylin and mounted with DPX. The inset negative control image is taken from an identical assay without primary antibody.

For other IHC staining systems (automated and non-automated) customers should optimize variable parameters such as antigen retrieval conditions, primary antibody concentration and antibody incubation times.

  • Unconjugated

    Anti-Myelin oligodendrocyte glycoprotein antibody [EP4281] - Oligodendrocyte Marker

  • 665 Alexa Fluor® 647

    Alexa Fluor® 647 Anti-Myelin oligodendrocyte glycoprotein antibody [EP4281] - Oligodendrocyte Marker

  • Carrier free

    Anti-Myelin oligodendrocyte glycoprotein antibody [EP4281] - BSA and Azide free

Key facts

Host species

Rabbit

Clonality

Monoclonal

Clone number

EP4281

Isotype

IgG

Conjugation

HRP

Excitation/Emission
Carrier free

No

Reacts with

Mouse, Rat, Human

Applications

WB, IHC-P

applications

Immunogen

The exact immunogen used to generate this antibody is proprietary information.

Reactivity data

{ "title": "Reactivity Data", "filters": { "stats": ["", "Species", "Dilution Info", "Notes"], "tabs": { "all-applications": {"fullname" : "All Applications", "shortname": "All Applications"}, "IHCP" : {"fullname" : "Immunohistochemistry (Formalin/PFA-fixed paraffin-embedded sections)", "shortname":"IHC-P"}, "WB" : {"fullname" : "Western blot", "shortname":"WB"} }, "product-promise": { "all": "all", "testedAndGuaranteed": "tested", "guaranteed": "expected", "predicted": "predicted", "notRecommended": "not-recommended" } }, "values": { "Human": { "IHCP-species-checked": "testedAndGuaranteed", "IHCP-species-dilution-info": "1/100", "IHCP-species-notes": "<p></p>", "WB-species-checked": "testedAndGuaranteed", "WB-species-dilution-info": "1/1000 - 1/10000", "WB-species-notes": "<p></p>" }, "Mouse": { "IHCP-species-checked": "guaranteed", "IHCP-species-dilution-info": "", "IHCP-species-notes": "", "WB-species-checked": "testedAndGuaranteed", "WB-species-dilution-info": "1/1000 - 1/10000", "WB-species-notes": "<p></p>" }, "Rat": { "IHCP-species-checked": "guaranteed", "IHCP-species-dilution-info": "", "IHCP-species-notes": "", "WB-species-checked": "testedAndGuaranteed", "WB-species-dilution-info": "1/1000 - 1/10000", "WB-species-notes": "<p></p>" } } }

Product details

Patented technology
Our RabMAb® technology is a patented hybridoma-based technology for making rabbit monoclonal antibodies. For details on our patents, please refer to RabMAb® patents.

Properties and storage information

Form
Liquid
Purification technique
Affinity purification Protein A
Storage buffer
pH: 7.4 Preservative: 0.1% Proclin 300 Solution Constituents: PBS, 30% Glycerol (glycerin, glycerine), 1% BSA
Shipped at conditions
Blue Ice
Appropriate short-term storage duration
1-2 weeks
Appropriate short-term storage conditions
+4°C
Appropriate long-term storage conditions
-20°C
Aliquoting information
Upon delivery aliquot
Storage information
Avoid freeze / thaw cycle|Store in the dark

Supplementary information

This supplementary information is collated from multiple sources and compiled automatically.

Myelin oligodendrocyte glycoprotein (MOG) also known as MOG protein or MOG glycoprotein is a lesser-known but important component of the central nervous system myelin. The MOG protein has a molecular mass of approximately 26 to 28 kDa. You will find it expressed on the surface of myelin sheaths and oligodendrocytes. This protein plays a role in the myelination process acting as a potential adhesive molecule or signaling molecule contributing to the stability and integrity of the myelin structure. Oligodendrocyte staining techniques can help visualize the distribution and expression patterns of MOG making it important for research purposes.
Biological function summary

MOG influences the immune response and possibly adhesion between myelin membranes. Although it does not form part of a larger well-defined complex it may interact with other myelin-associated proteins to contribute to myelin construction and maintenance. MOG's involvement in these processes supports myelin sheath formation and function aiding electrical conduction in nerve cells. The protein's exposure on the myelin membrane makes it a possible target for immune attacks hinting at its role in autoimmunity.

Pathways

MOG is involved in immune responses and central nervous system pathways. One significant pathway is the autoimmune pathway where MOG can engage with or be targeted by autoimmune antibodies. It interacts with other proteins like myelin basic protein (MBP) in maintaining myelin structures and influencing immunological functions. This interaction implies that disturbances in these pathways might contribute to numerous neurological disorders.

MOG plays a critical role in conditions such as multiple sclerosis and neuromyelitis optica. In multiple sclerosis MOG is a target of autoantibodies leading to demyelination and loss of neural function. In neuromyelitis optica MOG antibodies may contribute to severe inflammation and damage in optic nerves and spinal cord. The connection between MOG and these diseases highlights associations with other proteins like aquaporin-4 which are similarly targeted in associated autoimmune responses. Understanding these relationships is key for developing diagnostics or therapies involving MOG ELISA methods to detect MOG-specific antibodies in patient samples.

Product protocols

For this product, it's our understanding that no specific protocols are required. You can visit:

Target data

Mediates homophilic cell-cell adhesion (By similarity). Minor component of the myelin sheath. May be involved in completion and/or maintenance of the myelin sheath and in cell-cell communication.. (Microbial infection) Acts as a receptor for rubella virus.
See full target information MOG

Publications (1)

Recent publications for all applications. Explore the full list and refine your search

Frontiers in aging neuroscience 7:204 PubMed26539112

2015

PGC-1α Silencing Compounds the Perturbation of Mitochondrial Function Caused by Mutant SOD1 in Skeletal Muscle of ALS Mouse Model.

Applications

Unspecified application

Species

Unspecified reactive species

Yan Qi,Xiang Yin,Shuyu Wang,Hongquan Jiang,Xudong Wang,Ming Ren,Xiang-Ping Su,Shi Lei,Honglin Feng
View all publications

Product promise

We are committed to supporting your work with high-quality reagents, and we're here for you every step of the way. In the unlikely event that one of our products does not perform as expected, you're protected by our Product Promise.
For full details, please see our Terms & Conditions

Please note: All products are 'FOR RESEARCH USE ONLY. NOT FOR USE IN DIAGNOSTIC OR THERAPEUTIC PROCEDURES'.

For licensing inquiries, please contact partnerships@abcam.com