JavaScript is disabled in your browser. Please enable JavaScript to view this website.
AB323726

HRP Anti-Myeloperoxidase antibody [EPR20257]

Be the first to review this product! Submit a review

|

(0 Publication)

Rabbit Recombinant Monoclonal Myeloperoxidase antibody - conjugated to HRP. Suitable for IHC-P and reacts with Human, Mouse, Rat samples.

View Alternative Names

Myeloperoxidase, MPO

3 Images
Immunohistochemistry (Formalin/PFA-fixed paraffin-embedded sections) - HRP Anti-Myeloperoxidase antibody [EPR20257] (AB323726)
  • IHC-P

Supplier Data

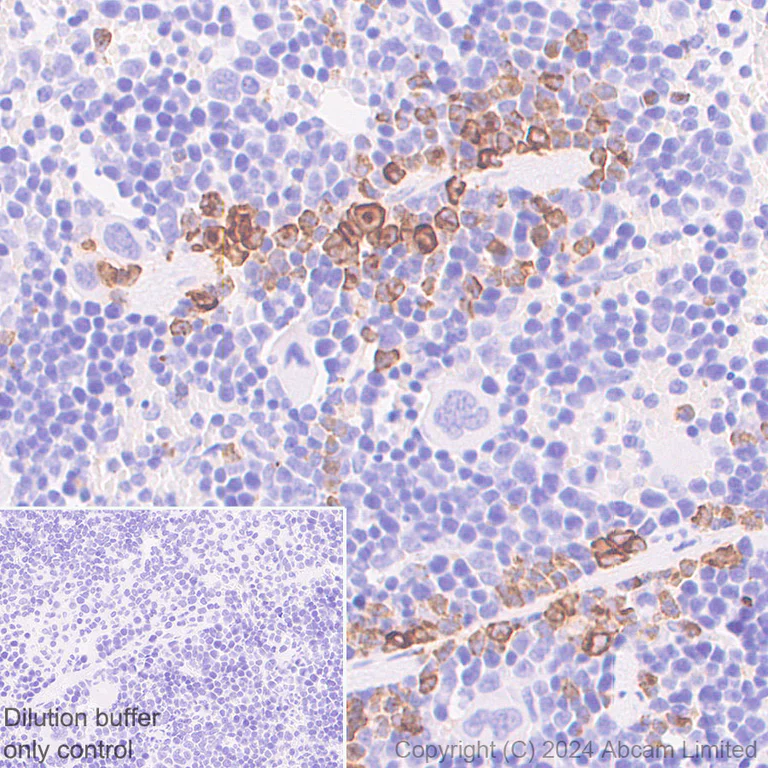
Immunohistochemistry (Formalin/PFA-fixed paraffin-embedded sections) - HRP Anti-Myeloperoxidase antibody [EPR20257] (AB323726)

Immunohistochemical analysis of paraffin-embedded Human spleen tissue labeling Myeloperoxidase with ab323726 at 1/100 (5.0 ug/ml) dilution.

Positive staining on human spleen.
The section was incubated with ab323726 for 30 mins at room temperature.
The immunostaining was performed on a Leica Biosystems BOND® RX instrument

Counterstained with Hematoxylin.

Heat mediated antigen retrieval was performed with Citrate buffer (pH 6.0, Epitope Retrieval Solution 1) for 20 mins

Immunohistochemistry (Formalin/PFA-fixed paraffin-embedded sections) - HRP Anti-Myeloperoxidase antibody [EPR20257] (AB323726)
  • IHC-P

Supplier Data

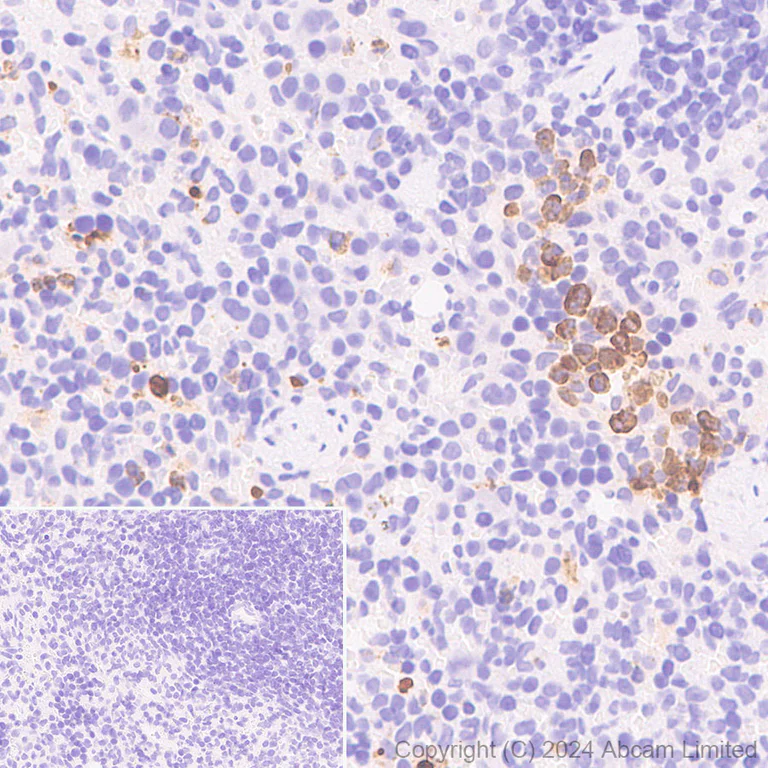
Immunohistochemistry (Formalin/PFA-fixed paraffin-embedded sections) - HRP Anti-Myeloperoxidase antibody [EPR20257] (AB323726)

Immunohistochemical analysis of paraffin-embedded Rat spleen tissue labeling Myeloperoxidase with ab323726 at 1/100 (5.0 ug/ml) dilution.

Positive staining on rat spleen.
The section was incubated with ab323726 for 30 mins at room temperature.
The immunostaining was performed on a Leica Biosystems BOND® RX instrument

Counterstained with Hematoxylin.

Heat mediated antigen retrieval was performed with Citrate buffer (pH 6.0, Epitope Retrieval Solution 1) for 20 mins

Immunohistochemistry (Formalin/PFA-fixed paraffin-embedded sections) - HRP Anti-Myeloperoxidase antibody [EPR20257] (AB323726)
  • IHC-P

Supplier Data

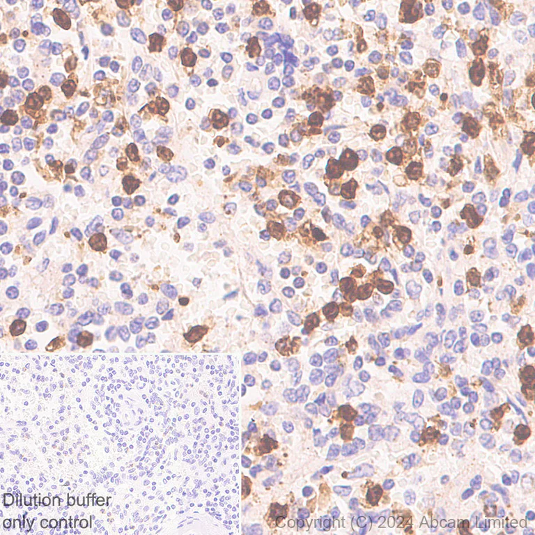
Immunohistochemistry (Formalin/PFA-fixed paraffin-embedded sections) - HRP Anti-Myeloperoxidase antibody [EPR20257] (AB323726)

Immunohistochemical analysis of paraffin-embedded Mouse spleen tissue labeling Myeloperoxidase with ab323726 at 1/100 (5.0 ug/ml) dilution.

Positive staining on mouse spleen.
The section was incubated with ab323726 for 30 mins at room temperature.
The immunostaining was performed on a Leica Biosystems BOND® RX instrument

Counterstained with Hematoxylin.

Heat mediated antigen retrieval was performed with Citrate buffer (pH 6.0, Epitope Retrieval Solution 1) for 20 mins

  • 519 Alexa Fluor® 488

    Alexa Fluor® 488 Anti-Myeloperoxidase antibody [EPR20257]

  • Biotin

    Biotin Anti-Myeloperoxidase antibody [EPR20257]

  • Unconjugated

    Anti-Myeloperoxidase antibody [EPR20257]

  • Carrier free

    Anti-Myeloperoxidase antibody [EPR20257] - BSA and Azide free

Key facts

Host species

Rabbit

Clonality

Monoclonal

Clone number

EPR20257

Isotype

IgG

Conjugation

HRP

Excitation/Emission
Carrier free

No

Reacts with

Human, Mouse, Rat

Applications

IHC-P

applications

Immunogen

The exact immunogen used to generate this antibody is proprietary information.

Specificity

This antibody is specific to Myeloperoxidase heavy chain.

Reactivity data

{ "title": "Reactivity Data", "filters": { "stats": ["", "Species", "Dilution Info", "Notes"], "tabs": { "all-applications": {"fullname" : "All Applications", "shortname": "All Applications"}, "IHCP" : {"fullname" : "Immunohistochemistry (Formalin/PFA-fixed paraffin-embedded sections)", "shortname":"IHC-P"} }, "product-promise": { "all": "all", "testedAndGuaranteed": "tested", "guaranteed": "expected", "predicted": "predicted", "notRecommended": "not-recommended" } }, "values": { "Human": { "IHCP-species-checked": "testedAndGuaranteed", "IHCP-species-dilution-info": "1/100", "IHCP-species-notes": "<p></p> Perform heat-mediated antigen retrieval with citrate buffer pH 6 before commencing with IHC staining protocol." }, "Mouse": { "IHCP-species-checked": "testedAndGuaranteed", "IHCP-species-dilution-info": "1/100", "IHCP-species-notes": "<p></p> Perform heat-mediated antigen retrieval with citrate buffer pH 6 before commencing with IHC staining protocol." }, "Rat": { "IHCP-species-checked": "testedAndGuaranteed", "IHCP-species-dilution-info": "1/100", "IHCP-species-notes": "<p></p> Perform heat-mediated antigen retrieval with citrate buffer pH 6 before commencing with IHC staining protocol." } } }

Product details

Patented technology
Our RabMAb® technology is a patented hybridoma-based technology for making rabbit monoclonal antibodies. For details on our patents, please refer to RabMAb® patents.

What are the advantages of a recombinant monoclonal antibody?
This product is a recombinant monoclonal antibody, which offers several advantages including:

  • - High batch-to-batch consistency and reproducibility
  • - Improved sensitivity and specificity
  • - Long-term security of supply
  • - Animal-free batch production

For more information, read more on recombinant antibodies.

Properties and storage information

Form
Liquid
Purification technique
Affinity purification Protein A
Storage buffer
pH: 7.4 Preservative: 0.1% Proclin 300 Solution Constituents: PBS, 30% Glycerol (glycerin, glycerine), 1% BSA
Shipped at conditions
Blue Ice
Appropriate short-term storage duration
1-2 weeks
Appropriate short-term storage conditions
+4°C
Appropriate long-term storage conditions
-20°C
Aliquoting information
Upon delivery aliquot
Storage information
Avoid freeze / thaw cycle|Store in the dark

Supplementary information

This supplementary information is collated from multiple sources and compiled automatically.

Myeloperoxidase also called MPO is an enzyme that plays a critical role in the body's immune response. This protein has a mass of approximately 150 kDa and exists as a dimer composed of heavy and light polypeptide chains. Myeloperoxidase is prominently expressed in neutrophils and monocytes which are types of white blood cells important for combating infections. The enzyme catalyzes the production of hypochlorous acid and other reactive substances by utilizing hydrogen peroxide and chloride ions. These reactive substances help in neutralizing pathogens during the immune response.
Biological function summary

The generation of reactive oxygen species by myeloperoxidase is essential for microbicidal activity. Myeloperoxidase functions as part of the antimicrobial system in the phagosome which is the intracellular compartment where pathogens are degraded. This enzyme works in conjunction with other components of the immune system such as NADPH oxidase. By generating hypochlorous acid MPO contributes to the oxidative burst a rapid release of reactive oxygen species during the response to pathogens.

Pathways

Myeloperoxidase integrates into the immune defense and inflammatory pathways. In particular it is associated with the neutrophil degranulation pathway where it releases its enzymatic contents to fight off microbes. MPO also interacts with proteins involved in oxidative stress processes such as superoxide dismutase which moderates levels of reactive oxygen species in cells. These interactions ensure balance in the immune response preventing excessive tissue damage during inflammation.

Dysregulated MPO activity can contribute to the development of diseases. For instance myeloperoxidase is linked with atherosclerosis a cardiovascular condition where inflammation and oxidative stress lead to plaque formation in the arteries. It also associates with vasculitis an autoimmune disorder causing inflammation of blood vessels. Both disorders can relate to the inflammatory pathways that involve MPO and proteins like C-reactive protein which serves as a marker of inflammation. Understanding MPO's role in these conditions is important for effective therapeutic interventions.

Product protocols

For this product, it's our understanding that no specific protocols are required. You can visit:

Target data

Part of the host defense system of polymorphonuclear leukocytes. It is responsible for microbicidal activity against a wide range of organisms. In the stimulated PMN, MPO catalyzes the production of hypohalous acids, primarily hypochlorous acid in physiologic situations, and other toxic intermediates that greatly enhance PMN microbicidal activity (PubMed : 9922160). Mediates the proteolytic cleavage of alpha-1-microglobulin to form t-alpha-1-microglobulin, which potently inhibits oxidation of low-density lipoprotein particles and limits vascular damage (PubMed : 25698971).
See full target information MPO

Product promise

We are committed to supporting your work with high-quality reagents, and we're here for you every step of the way. In the unlikely event that one of our products does not perform as expected, you're protected by our Product Promise.
For full details, please see our Terms & Conditions

Please note: All products are 'FOR RESEARCH USE ONLY. NOT FOR USE IN DIAGNOSTIC OR THERAPEUTIC PROCEDURES'.

For licensing inquiries, please contact partnerships@abcam.com