JavaScript is disabled in your browser. Please enable JavaScript to view this website.
AB323782

HRP Anti-Myosin antibody [A4.1025]

Be the first to review this product! Submit a review

|

(0 Publication)

Mouse Recombinant Monoclonal Fast Myosin Skeletal Heavy chain antibody - conjugated to HRP. Suitable for IHC-P, WB and reacts with Mouse, Rat, Human samples.

View Alternative Names

Myosin-1, Myosin heavy chain 1, Myosin heavy chain 2x, Myosin heavy chain IIx/d, MyHC-2x, MyHC-IIx/d, MYH1

3 Images
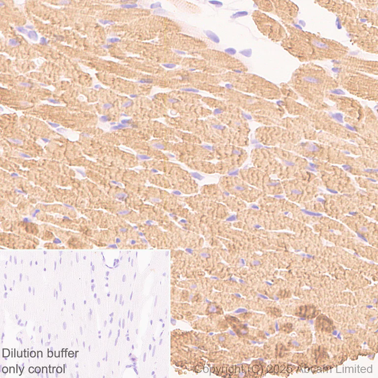
Immunohistochemistry (Formalin/PFA-fixed paraffin-embedded sections) - HRP Anti-Myosin antibody [A4.1025] (AB323782)
  • IHC-P

Supplier Data

Immunohistochemistry (Formalin/PFA-fixed paraffin-embedded sections) - HRP Anti-Myosin antibody [A4.1025] (AB323782)

Immunohistochemical analysis of paraffin-embedded Rat cardiac muscle tissue labeling Myosin with ab323782 at 1/1000 (0.5 ug/ml) dilution.

Positive staining on rat cardiac muscle.
The section was incubated with ab323782 for 30 mins at room temperature.
The immunostaining was performed on a Leica Biosystems BOND® RX instrument

Counterstained with Hematoxylin.

Heat mediated antigen retrieval was performed with Tris-EDTA buffer (pH 9.0, Epitope Retrieval Solution2) for 20 mins

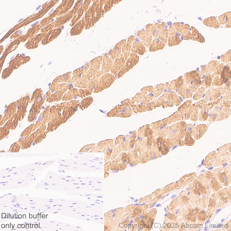
Immunohistochemistry (Formalin/PFA-fixed paraffin-embedded sections) - HRP Anti-Myosin antibody [A4.1025] (AB323782)
  • IHC-P

Supplier Data

Immunohistochemistry (Formalin/PFA-fixed paraffin-embedded sections) - HRP Anti-Myosin antibody [A4.1025] (AB323782)

Immunohistochemical analysis of paraffin-embedded Mouse cardiac muscle tissue labeling Myosin with ab323782 at 1/1000 (0.5 ug/ml) dilution.

Positive staining on mouse cardiac muscle.
The section was incubated with ab323782 for 30 mins at room temperature.
The immunostaining was performed on a Leica Biosystems BOND® RX instrument

Counterstained with Hematoxylin.

Heat mediated antigen retrieval was performed with Tris-EDTA buffer (pH 9.0, Epitope Retrieval Solution2) for 20 mins

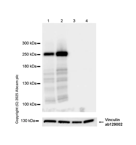
Western blot - HRP Anti-Myosin antibody [A4.1025] (AB323782)
  • WB

Supplier Data

Western blot - HRP Anti-Myosin antibody [A4.1025] (AB323782)

Blocking and diluting buffer and concentration : 5% NFDM/TBST.

Negative control : liver

In Western blot, Anti-Vinculin antibody [EPR8185] (ab129002) staining at 1/10000 dilution.

All lanes:

Western blot - HRP Anti-Myosin antibody [A4.1025] (ab323782) at 1/5000 dilution

Lane 1:

Mouse skeletal musle tissue lysate at 20 µg

Lane 2:

Rat skeletal muscle tissue lysate at 20 µg

Lane 3:

Mouse liver tissue lysate at 20 µg

Lane 4:

Rat liver tissue lysate at 20 µg

Observed band size: 250 kDa,124 kDa

false

Exposure time: 1s

  • 519 Alexa Fluor® 488

    Alexa Fluor® 488 Anti-Myosin heavy chain antibody [A4.1025]

  • 665 Alexa Fluor® 647

    Alexa Fluor® 647 Anti-Myosin heavy chain antibody [A4.1025]

  • Unconjugated

    Anti-Myosin heavy chain antibody [A4.1025]

  • Carrier free

    Anti-Myosin heavy chain antibody [A4.1025] - BSA and Azide free

Key facts

Host species

Mouse

Clonality

Monoclonal

Clone number

A4.1025

Isotype

IgG

Conjugation

HRP

Excitation/Emission
Carrier free

No

Reacts with

Mouse, Rat, Human, Mouse, Rat

Applications

WB, IHC-P

applications

Immunogen

The exact immunogen used to generate this antibody is proprietary information.

Specificity

ATP binding loop of myosin heavy chain skeletal and cardiac muscle.

Reactivity data

{ "title": "Reactivity Data", "filters": { "stats": ["", "Species", "Dilution Info", "Notes"], "tabs": { "all-applications": {"fullname" : "All Applications", "shortname": "All Applications"}, "IHCP" : {"fullname" : "Immunohistochemistry (Formalin/PFA-fixed paraffin-embedded sections)", "shortname":"IHC-P"}, "WB" : {"fullname" : "Western blot", "shortname":"WB"} }, "product-promise": { "all": "all", "testedAndGuaranteed": "tested", "guaranteed": "expected", "predicted": "predicted", "notRecommended": "not-recommended" } }, "values": { "Human": { "IHCP-species-checked": "guaranteed", "IHCP-species-dilution-info": "", "IHCP-species-notes": "<p></p>", "WB-species-checked": "guaranteed", "WB-species-dilution-info": "", "WB-species-notes": "<p></p>" }, "Mouse": { "IHCP-species-checked": "testedAndGuaranteed", "IHCP-species-dilution-info": "1/1000", "IHCP-species-notes": "<p></p> Perform heat-mediated antigen retrieval with Tris/EDTA buffer pH 9.0 before commencing with IHC staining protocol.", "WB-species-checked": "testedAndGuaranteed", "WB-species-dilution-info": "1/5000", "WB-species-notes": "<p></p>" }, "Rat": { "IHCP-species-checked": "testedAndGuaranteed", "IHCP-species-dilution-info": "1/1000", "IHCP-species-notes": "<p></p> Perform heat-mediated antigen retrieval with Tris/EDTA buffer pH 9.0 before commencing with IHC staining protocol.", "WB-species-checked": "testedAndGuaranteed", "WB-species-dilution-info": "1/5000", "WB-species-notes": "<p></p>" } } }

Product details

What are the advantages of a recombinant monoclonal antibody?
This product is a recombinant monoclonal antibody, which offers several advantages including:

  • - High batch-to-batch consistency and reproducibility
  • - Improved sensitivity and specificity
  • - Long-term security of supply
  • - Animal-free batch production

For more information, read more on recombinant antibodies.

Patented technology
Our RabMAb® technology is a patented hybridoma-based technology for making rabbit monoclonal antibodies. For details on our patents, please refer to RabMAb® patents.

Properties and storage information

Form
Liquid
Purification technique
Affinity purification Protein A
Storage buffer
pH: 7.4 Preservative: 0.1% Proclin 300 Solution Constituents: PBS, 30% Glycerol (glycerin, glycerine), 1% BSA
Shipped at conditions
Blue Ice
Appropriate short-term storage duration
1-2 weeks
Appropriate short-term storage conditions
+4°C
Appropriate long-term storage conditions
-20°C
Aliquoting information
Upon delivery aliquot
Storage information
Avoid freeze / thaw cycle|Store in the dark

Supplementary information

This supplementary information is collated from multiple sources and compiled automatically.

Myosin is a molecular motor protein responsible for converting chemical energy into mechanical force facilitating muscle contraction and cellular movement. Also known as the myosin heavy chain (MHC) or MYH myosin has a commonly referenced heavy chain Myosin heavy chain 1 (MYH1) with a molecular mass of roughly 200 kDa. Myosin is broadly expressed in muscle tissues including skeletal cardiac and smooth muscles and appears in various isoforms depending on the specific type of muscle tissue.
Biological function summary

Myosin interacts intricately with actin filaments to form a complex that executes muscle contraction and cell motility. Myosin heads bind to actin filaments employing ATP hydrolysis to generate motion. This protein is a fundamental component of the sarcomere the structural unit of muscle fibers and works in concert with other proteins like tropomyosin and troponin to regulate muscle contraction.

Pathways

Myosin has a significant role in the muscle contraction and cell motility pathways. Myosin and actin interaction is central to the sliding filament theory which is an essential part of the muscle contraction pathway. Myosin is also involved in non-muscle cell movement through the actin-myosin contractile ring in the process of cytokinesis. Myosin interacts with proteins such as actin and ATP in these pathways to facilitate cellular processes.

Myosin has connections to conditions like hypertrophic cardiomyopathy and various myopathies. Mutations in the myosin heavy chain can lead to hypertrophic cardiomyopathy affecting the heart's ability to pump blood effectively. Additionally disruptions in myosin function can contribute to muscular diseases impairing muscle strength and function. Myosin's interaction with actin and related sarcomeric proteins is pivotal in these pathological scenarios often resulting in altered muscle dynamics and associated clinical manifestations.

Product protocols

For this product, it's our understanding that no specific protocols are required. You can visit:

Target data

Required for normal hearing. It plays a role in cochlear amplification of auditory stimuli, likely through the positive regulation of prestin (SLC26A5) activity and outer hair cell (OHC) electromotility.
See full target information MYH1

Product promise

We are committed to supporting your work with high-quality reagents, and we're here for you every step of the way. In the unlikely event that one of our products does not perform as expected, you're protected by our Product Promise.
For full details, please see our Terms & Conditions

Please note: All products are 'FOR RESEARCH USE ONLY. NOT FOR USE IN DIAGNOSTIC OR THERAPEUTIC PROCEDURES'.

For licensing inquiries, please contact partnerships@abcam.com