JavaScript is disabled in your browser. Please enable JavaScript to view this website.
AB196629

HRP Anti-NQO1 antibody [A180]

5

(2 Reviews)

|

(1 Publication)

Mouse Monoclonal NQO1 antibody - conjugated to HRP. Suitable for IHC-P, WB and reacts with Human samples. Cited in 1 publication.

View Alternative Names

DIA4, NMOR1, NQO1, NAD(P)H dehydrogenase [quinone] 1, Azoreductase, DT-diaphorase, Menadione reductase, NAD(P)H:quinone oxidoreductase 1, Phylloquinone reductase, Quinone reductase 1, DTD, QR1

3 Images
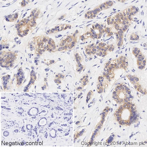
Immunohistochemistry (Formalin/PFA-fixed paraffin-embedded sections) - HRP Anti-NQO1 antibody [A180] (AB196629)
  • IHC-P

Lab

Immunohistochemistry (Formalin/PFA-fixed paraffin-embedded sections) - HRP Anti-NQO1 antibody [A180] (AB196629)

IHC image of NQO1 staining in a section of formalin-fixed paraffin-embedded human breast adenocarcinoma*, performed on a Leica BOND. The section was pre-treated using heat mediated antigen retrieval with sodium citrate buffer (pH6, epitope retrieval solution 1) for 20mins. The section was then incubated with ab196629 at 1/100 dilution, for 15 mins at room temperature. DAB was used as the chromogen. The section was then counterstained with haematoxylin and mounted with DPX. The inset negative control image is taken from an identical assay without primary antibody.

For other IHC staining systems (automated and non-automated) customers should optimize variable parameters such as antigen retrieval conditions, primary antibody concentration and antibody incubation times.

*Tissue obtained from the Human Research Tissue Bank, supported by the NIHR Cambridge Biomedical Research Centre.

Western blot - HRP Anti-NQO1 antibody [A180] (AB196629)
  • WB

Lab

Western blot - HRP Anti-NQO1 antibody [A180] (AB196629)

This blot was produced using a 4-12% Bis-tris gel under the MES buffer system. The gel was run at 200V for 35 minutes before being transferred onto a Nitrocellulose membrane at 30V for 70 minutes. The membrane was then blocked for an hour using 3% milk before being incubated with ab196629 overnight at 4°C. Antibody binding was visualised using ECL development solution ab133406.

All lanes:

Western blot - HRP Anti-NQO1 antibody [A180] (ab196629) at 1/5000 dilution

All lanes:

Human kidney tissue lysate - total protein (<a href='/en-us/products/unavailable/human-kidney-tissue-lysate-total-protein-ab30203'>ab30203</a>) at 20 µg

Predicted band size: 31 kDa

Observed band size: 30 kDa

true

Exposure time: 20min

Western blot - HRP Anti-NQO1 antibody [A180] (AB196629)
  • WB

Lab

Western blot - HRP Anti-NQO1 antibody [A180] (AB196629)

ab196629 was shown to recognize NQO1 in wild-type HAP1 cells as signal was lost at the expected MW in NQO1 knockout cells. Additional cross-reactive bands were observed in the wild-type and knockout cells. Wild-type and NQO1 knockout samples were subjected to SDS-PAGE. ab196629 and ab184095 (Mouse monoclonal [mAbcam 9484] to GAPDH - Loading Control (Alexa Fluor® 680) loading control) were incubated overnight at 4°C at 1/5000 dilution and 1/1000 dilution respectively. The loading control was imaged using the Licor Odyssey CLx prior to blots being developed with ECL technique.

All lanes:

Western blot - HRP Anti-NQO1 antibody [A180] (ab196629) at 1/5000 dilution

Lane 1:

Wild-type HAP1 whole cell lysate at 20 µg

Lane 2:

NQO1 knockout HAP1 whole cell lysate at 20 µg

Predicted band size: 31 kDa

Observed band size: 31 kDa

false

Exposure time: 4min

Key facts

Host species

Mouse

Clonality

Monoclonal

Clone number

A180

Isotype

IgG1

Conjugation

HRP

Excitation/Emission
Carrier free

No

Reacts with

Human

Applications

IHC-P, WB

applications

Immunogen

The exact immunogen used to generate this antibody is proprietary information.

Reactivity data

{ "title": "Reactivity Data", "filters": { "stats": ["", "Species", "Dilution Info", "Notes"], "tabs": { "all-applications": {"fullname" : "All Applications", "shortname": "All Applications"}, "IHCP" : {"fullname" : "Immunohistochemistry (Formalin/PFA-fixed paraffin-embedded sections)", "shortname":"IHC-P"}, "WB" : {"fullname" : "Western blot", "shortname":"WB"} }, "product-promise": { "all": "all", "testedAndGuaranteed": "tested", "guaranteed": "expected", "predicted": "predicted", "notRecommended": "not-recommended" } }, "values": { "Human": { "IHCP-species-checked": "testedAndGuaranteed", "IHCP-species-dilution-info": "1/100", "IHCP-species-notes": "<p></p>", "WB-species-checked": "testedAndGuaranteed", "WB-species-dilution-info": "1/5000", "WB-species-notes": "<p></p>" }, "Mouse": { "IHCP-species-checked": "predicted", "IHCP-species-dilution-info": "", "IHCP-species-notes": "", "WB-species-checked": "predicted", "WB-species-dilution-info": "", "WB-species-notes": "" }, "Rat": { "IHCP-species-checked": "predicted", "IHCP-species-dilution-info": "", "IHCP-species-notes": "", "WB-species-checked": "predicted", "WB-species-dilution-info": "", "WB-species-notes": "" } } }

Properties and storage information

Form
Liquid
Purity
IgG fraction
Storage buffer
pH: 7.4 Preservative: 0.1% Proclin 300 Solution Constituents: PBS, 30% Glycerol (glycerin, glycerine), 1% BSA
Shipped at conditions
Blue Ice
Appropriate short-term storage duration
1-2 weeks
Appropriate short-term storage conditions
+4°C
Appropriate long-term storage conditions
-20°C
Aliquoting information
Upon delivery aliquot
Storage information
Avoid freeze / thaw cycle|Store in the dark

Supplementary information

This supplementary information is collated from multiple sources and compiled automatically.

NQO1 also known as NAD(P)H:quinone oxidoreductase 1 is a cytosolic enzyme involved in two-electron reduction processes. This protein plays a role in detoxification transforming quinones into less reactive and harmful hydroquinones. NQO1 has a molecular weight of approximately 31 kDa and is present in various tissues with high expression in the liver and lungs. Sometimes called DT-diaphorase it contributes to antioxidant protection within cells and assists in the stabilization of other proteins such as p53.
Biological function summary

NQO1 serves a protective function against oxidative stress by reducing quinones and preventing redox cycling that generates reactive oxygen species. Part of a critical network its function integrates with the cellular defense mechanism assisting in maintaining cellular homeostasis. NQO1 helps metabolize xenobiotics and is associated with phase II detoxification working alongside enzymes like glutathione S-transferases but is not part of a complex.

Pathways

NQO1 is an important component of the antioxidant defense pathway participating in the direct enzymatic reduction of quinones protecting cells from oxidative damage. It also interfaces with the KEAP1-NRF2 pathway where the NQO1 gene is regulated by the NRF2 transcription factor that upregulates its expression in response to oxidative stress. NQO1 interlinks with proteins such as p53 through pathways related to apoptotic regulation and cellular stress responses.

Mutations or altered expression of NQO1 have correlations with cancer development and progression notably in liver and lung cancers. This protein's stability influences cancer cell survival particularly under oxidative stress or chemotherapeutic treatments. NQO1 also exhibits links to Alzheimer's disease where its potential role in neuroprotection against oxidative damage draws investigation relating it to proteins like tau and amyloid-beta.

Product protocols

For this product, it's our understanding that no specific protocols are required. You can visit:

Target data

Flavin-containing quinone reductase that catalyzes two-electron reduction of quinones to hydroquinones using either NADH or NADPH as electron donors. In a ping-pong kinetic mechanism, the electrons are sequentially transferred from NAD(P)H to flavin cofactor and then from reduced flavin to the quinone, bypassing the formation of semiquinone and reactive oxygen species (By similarity) (PubMed : 8999809, PubMed : 9271353). Regulates cellular redox state primarily through quinone detoxification. Reduces components of plasma membrane redox system such as coenzyme Q and vitamin quinones, producing antioxidant hydroquinone forms. In the process may function as superoxide scavenger to prevent hydroquinone oxidation and facilitate excretion (PubMed : 15102952, PubMed : 8999809, PubMed : 9271353). Alternatively, can activate quinones and their derivatives by generating redox reactive hydroquinones with DNA cross-linking antitumor potential (PubMed : 8999809). Acts as a gatekeeper of the core 20S proteasome known to degrade proteins with unstructured regions. Upon oxidative stress, interacts with tumor suppressors TP53 and TP73 in a NADH-dependent way and inhibits their ubiquitin-independent degradation by the 20S proteasome (PubMed : 15687255, PubMed : 28291250).
See full target information NQO1

Publications (1)

Recent publications for all applications. Explore the full list and refine your search

International journal of molecular medicine 42:2469-2480 PubMed30226564

2018

Upregulation of miR-183-5p is responsible for the promotion of apoptosis and inhibition of the epithelial-mesenchymal transition, proliferation, invasion and migration of human endometrial cancer cells by downregulating Ezrin.

Applications

Unspecified application

Species

Unspecified reactive species

Hua Yan,Bing-Mei Sun,Yu-Ying Zhang,Yu-Juan Li,Cheng-Xiang Huang,Fu-Zhong Feng,Cui Li
View all publications

Product promise

We are committed to supporting your work with high-quality reagents, and we're here for you every step of the way. In the unlikely event that one of our products does not perform as expected, you're protected by our Product Promise.
For full details, please see our Terms & Conditions

Please note: All products are 'FOR RESEARCH USE ONLY. NOT FOR USE IN DIAGNOSTIC OR THERAPEUTIC PROCEDURES'.

For licensing inquiries, please contact partnerships@abcam.com