JavaScript is disabled in your browser. Please enable JavaScript to view this website.
AB194076

HRP Anti-Oct4 antibody [EPR2054]

Be the first to review this product! Submit a review

|

(1 Publication)

Rabbit Recombinant Monoclonal Oct4 antibody - conjugated to HRP. Suitable for IHC-P and reacts with Human samples. Cited in 1 publication.

View Alternative Names

OCT3, OCT4, OTF3, POU5F1, Octamer-binding protein 3, Octamer-binding protein 4, Octamer-binding transcription factor 3, Oct-3, Oct-4, OTF-3

1 Images
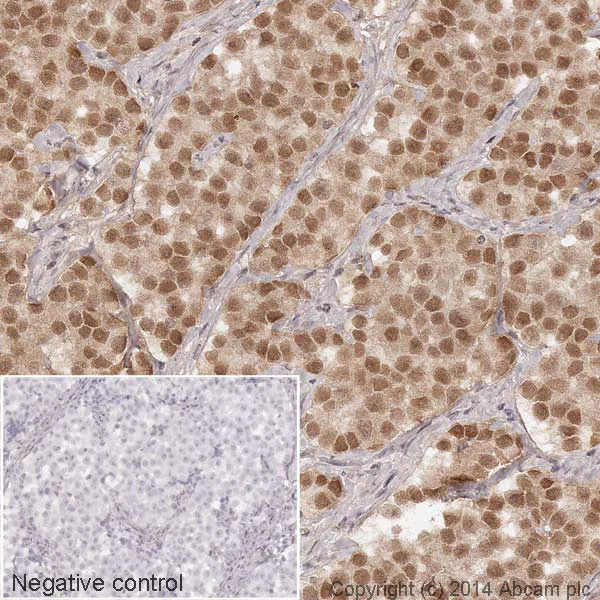
Immunohistochemistry (Formalin/PFA-fixed paraffin-embedded sections) - HRP Anti-Oct4 antibody [EPR2054] (AB194076)
  • IHC-P

Lab

Immunohistochemistry (Formalin/PFA-fixed paraffin-embedded sections) - HRP Anti-Oct4 antibody [EPR2054] (AB194076)

IHC image of Oct4 staining in a section of formalin-fixed paraffin-embedded human testis (Seminoma)*. The section was pre-treated using pressure cooker heat mediated antigen retrieval with sodium citrate buffer (pH6) for 30mins, and incubated overnight at +4°C with ab194076 at 1μg/ml. DAB was used as the chromogen (ab103723), diluted 1/100 and incubated for 10min at room temperature. The section was counterstained with haematoxylin and mounted with DPX. The inset negative control image is taken from an identical assay without primary antibody.

For other IHC staining systems (automated and non-automated) customers should optimize variable parameters such as antigen retrieval conditions, primary antibody concentration and antibody incubation times.

*Tissue obtained from the Human Research Tissue Bank, supported by the NIHR Cambridge Biomedical Research Centre.

Key facts

Host species

Rabbit

Clonality

Monoclonal

Clone number

EPR2054

Isotype

IgG

Conjugation

HRP

Excitation/Emission
Carrier free

No

Reacts with

Human

Applications

IHC-P

applications

Immunogen

The exact immunogen used to generate this antibody is proprietary information.

Reactivity data

{ "title": "Reactivity Data", "filters": { "stats": ["", "Species", "Dilution Info", "Notes"], "tabs": { "all-applications": {"fullname" : "All Applications", "shortname": "All Applications"}, "IHCP" : {"fullname" : "Immunohistochemistry (Formalin/PFA-fixed paraffin-embedded sections)", "shortname":"IHC-P"} }, "product-promise": { "all": "all", "testedAndGuaranteed": "tested", "guaranteed": "expected", "predicted": "predicted", "notRecommended": "not-recommended" } }, "values": { "Human": { "IHCP-species-checked": "testedAndGuaranteed", "IHCP-species-dilution-info": "1/500 - 1/1000", "IHCP-species-notes": "<p></p>" } } }

Product details

Patented technology
Our RabMAb® technology is a patented hybridoma-based technology for making rabbit monoclonal antibodies. For details on our patents, please refer to RabMAb® patents.

What are the advantages of a recombinant monoclonal antibody?
This product is a recombinant monoclonal antibody, which offers several advantages including:

  • - High batch-to-batch consistency and reproducibility
  • - Improved sensitivity and specificity
  • - Long-term security of supply
  • - Animal-free batch production

For more information, read more on recombinant antibodies.

Properties and storage information

Form
Liquid
Purification technique
Affinity purification Protein A
Storage buffer
pH: 7.4 Preservative: 0.1% Proclin 300 Solution Constituents: PBS, 30% Glycerol (glycerin, glycerine), 1% BSA
Shipped at conditions
Blue Ice
Appropriate short-term storage duration
1-2 weeks
Appropriate short-term storage conditions
+4°C
Appropriate long-term storage conditions
-20°C
Aliquoting information
Upon delivery aliquot
Storage information
Avoid freeze / thaw cycle|Store in the dark

Supplementary information

This supplementary information is collated from multiple sources and compiled automatically.

Oct4 also known as POU5F1 Oct 4 protein and hecho en Oct 4 is a transcription factor important for maintaining pluripotency in stem cells. Oct4 protein has a molecular weight of approximately 40-45 kDa. Stem and germ cells express Oct4 where it regulates gene expression essential for cell differentiation and self-renewal. In immunohistochemistry (IHC) studies scientists often use Oct4 staining to identify stem cell presence and behavior.
Biological function summary

Oct4 acts in concert with other pluripotency factors like SOX2 and NANOG to form a regulatory network essential for maintaining stem cell identity. As part of this network the Oct4 transcription factor orchestrates the expression of genes that prevent differentiation and maintain the stem cell’s undifferentiated state. The protein directly activates the transcription of target genes involved in maintaining the pluripotent state.

Pathways

Oct4 plays an important role in the maintenance of pluripotency and self-renewal in the embryonic stem cell (ESC) and induced pluripotent stem cell (iPSC) pathways. Oct4 partners with proteins such as SOX2 and KLF4 in these pathways to activate and repress a common set of downstream genes which control differentiation and proliferation. Oct4 ensures the blocking of differentiation signals while promoting self-renewal in pluripotent cells.

Aberrant Oct4 expression often links to oncogenesis and tumor progression particularly in testicular germ cell tumors and certain types of cancers. Oct4 overexpression may interact with c-MYC a protein linked to cancer cell proliferation advancing tumorigenesis. Additionally researchers investigate Oct4 as a diagnostic marker for cancer and its potential as a therapeutic target to inhibit cancer cell growth.

Product protocols

For this product, it's our understanding that no specific protocols are required. You can visit:

Target data

The protein expressed by the gene POU5F1 is a transcription factor that binds to the octamer motif (5'-ATTTGCAT-3') and forms a trimeric complex with SOX2 or SOX15 on DNA. It controls the expression of several genes involved in embryonic development, including YES1, FGF4, UTF1, and ZFP206. This protein is critical for early embryogenesis and for maintaining embryonic stem cell pluripotency. This supplementary information is collated from multiple sources and compiled automatically.
See full target information POU5F1

Publications (1)

Recent publications for all applications. Explore the full list and refine your search

Frontiers in cell and developmental biology 9:640391 PubMed33996796

2021

GATA4 Regulates Inflammation-Driven Pancreatic Ductal Adenocarcinoma Progression.

Applications

Unspecified application

Species

Unspecified reactive species

Weiliang Jiang,Congying Chen,Li Huang,Jie Shen,Lijuan Yang
View all publications

Product promise

We are committed to supporting your work with high-quality reagents, and we're here for you every step of the way. In the unlikely event that one of our products does not perform as expected, you're protected by our Product Promise.
For full details, please see our Terms & Conditions

Please note: All products are 'FOR RESEARCH USE ONLY. NOT FOR USE IN DIAGNOSTIC OR THERAPEUTIC PROCEDURES'.

For licensing inquiries, please contact partnerships@abcam.com