JavaScript is disabled in your browser. Please enable JavaScript to view this website.
AB207515

HRP Anti-PABPN1 antibody [EP3000Y]

Be the first to review this product! Submit a review

|

(3 Publications)

Rabbit Recombinant Monoclonal PABPN1 antibody - conjugated to HRP. Suitable for IHC-P, WB and reacts with Human, Mouse samples. Cited in 3 publications.

View Alternative Names

PAB2, PABP2, PABPN1, Polyadenylate-binding protein 2, PABP-2, Poly(A)-binding protein 2, Nuclear poly(A)-binding protein 1, Poly(A)-binding protein II, Polyadenylate-binding nuclear protein 1, PABII

2 Images
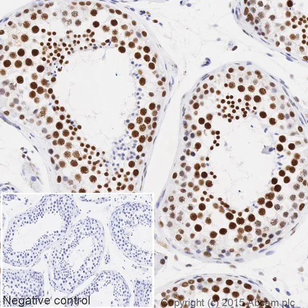
Immunohistochemistry (Formalin/PFA-fixed paraffin-embedded sections) - HRP Anti-PABPN1 antibody [EP3000Y] (AB207515)
  • IHC-P

Lab

Immunohistochemistry (Formalin/PFA-fixed paraffin-embedded sections) - HRP Anti-PABPN1 antibody [EP3000Y] (AB207515)

IHC image of PABPN1 staining in a section of formalin-fixed paraffin-embedded normal human testis tissue*, performed on a Leica BONDTM. The section was pre-treated using heat mediated antigen retrieval with sodium citrate buffer (pH6, epitope retrieval solution 1) for 20mins. The section was then incubated with ab207515, 1/100 dilution, for 15 mins at room temperature. DAB was used as the chromogen. The section was then counterstained with haematoxylin and mounted with DPX. The inset negative control image is taken from an identical assay without primary antibody.

For other IHC staining systems (automated and non-automated) customers should optimize variable parameters such as antigen retrieval conditions, primary antibody concentration and antibody incubation times.

*Tissue obtained from the Human Research Tissue Bank, supported by the NIHR Cambridge Biomedical Research Centre

Western blot - HRP Anti-PABPN1 antibody [EP3000Y] (AB207515)
  • WB

Lab

Western blot - HRP Anti-PABPN1 antibody [EP3000Y] (AB207515)

This blot was produced using a 4-12% Bis-tris gel under the MOPS buffer system. The gel was run at 200V for 50 minutes before being transferred onto a Nitrocellulose membrane at 30V for 70 minutes. The membrane was then blocked for an hour using 3% milk before being incubated with ab207515 overnight at 4°C. Antibody binding was visualised using ECL development solution ab133406.

All lanes:

Western blot - HRP Anti-PABPN1 antibody [EP3000Y] (ab207515) at 1/5000 dilution

All lanes:

RAW 264.7 (Mouse leukaemic monocyte macrophage cell line) Whole Cell Lysate at 10 µg

Predicted band size: 33 kDa

Observed band size: 44 kDa

true

Exposure time: 90s

Key facts

Host species

Rabbit

Clonality

Monoclonal

Clone number

EP3000Y

Isotype

IgG

Conjugation

HRP

Excitation/Emission
Carrier free

No

Reacts with

Mouse, Human

Applications

IHC-P, WB

applications

Immunogen

The exact immunogen used to generate this antibody is proprietary information.

Reactivity data

{ "title": "Reactivity Data", "filters": { "stats": ["", "Species", "Dilution Info", "Notes"], "tabs": { "all-applications": {"fullname" : "All Applications", "shortname": "All Applications"}, "IHCP" : {"fullname" : "Immunohistochemistry (Formalin/PFA-fixed paraffin-embedded sections)", "shortname":"IHC-P"}, "WB" : {"fullname" : "Western blot", "shortname":"WB"} }, "product-promise": { "all": "all", "testedAndGuaranteed": "tested", "guaranteed": "expected", "predicted": "predicted", "notRecommended": "not-recommended" } }, "values": { "Human": { "IHCP-species-checked": "testedAndGuaranteed", "IHCP-species-dilution-info": "1/100", "IHCP-species-notes": "<p></p>", "WB-species-checked": "guaranteed", "WB-species-dilution-info": "", "WB-species-notes": "" }, "Mouse": { "IHCP-species-checked": "guaranteed", "IHCP-species-dilution-info": "", "IHCP-species-notes": "", "WB-species-checked": "testedAndGuaranteed", "WB-species-dilution-info": "1/5000", "WB-species-notes": "<p></p>" } } }

Product details

Patented technology
Our RabMAb® technology is a patented hybridoma-based technology for making rabbit monoclonal antibodies. For details on our patents, please refer to RabMAb® patents.

Properties and storage information

Form
Liquid
Purification technique
Affinity purification
Storage buffer
pH: 7.4 Preservative: 0.1% Proclin 300 Solution Constituents: PBS, 30% Glycerol (glycerin, glycerine), 1% BSA
Shipped at conditions
Blue Ice
Appropriate short-term storage duration
1-2 weeks
Appropriate short-term storage conditions
+4°C
Appropriate long-term storage conditions
-20°C
Aliquoting information
Upon delivery aliquot
Storage information
Avoid freeze / thaw cycle|Store in the dark

Supplementary information

This supplementary information is collated from multiple sources and compiled automatically.

PABPN1 also known as polyadenylate-binding nuclear protein 1 is an RNA-binding protein that plays a fundamental role in the regulation of mRNA processing. It is a 31-kilodalton protein that binds to the poly(A) tail of pre-mRNA and stimulates the assembly of the polyadenylation complex thereby influencing the maturation and stability of mRNA transcripts. This protein is predominantly expressed in the nucleus of eukaryotic cells where it performs its important function in post-transcriptional regulation.
Biological function summary

PABPN1 is involved in controlling the polyadenylation process of pre-mRNA which is essential for producing mature mRNA molecules. PABPN1 operates within a multi-protein complex that includes enzymes like poly(A) polymerase and cleavage stimulation factor (CstF). By interacting with these proteins PABPN1 ensures the correct formation of the 3' end of mRNA influencing gene expression regulation and mRNA stability.

Pathways

PABPN1 participates in key cellular pathways such as mRNA processing and nuclear export of mRNA. It operates in concert with other proteins like PABPC1 which aids in the transition of mRNA from the nucleus to the cytoplasm. The protein maintains the balance of mRNA stability and translation efficiency which are critical aspects of efficient gene expression.

PABPN1 mutations are linked to oculopharyngeal muscular dystrophy (OPMD) a genetic condition that leads to muscle weakness. Another related disorder involves its interaction with proteins like HSP70 where its dysfunction may contribute to disrupted protein homeostasis in affected tissues. Studying PABPN1's role in these diseases provides insight into the molecular mechanisms underlying these conditions and aids in the development of potential therapeutic strategies.

Product protocols

For this product, it's our understanding that no specific protocols are required. You can visit:

Target data

Involved in the 3'-end formation of mRNA precursors (pre-mRNA) by the addition of a poly(A) tail of 200-250 nt to the upstream cleavage product (By similarity). Stimulates poly(A) polymerase (PAPOLA) conferring processivity on the poly(A) tail elongation reaction and controls also the poly(A) tail length (By similarity). Increases the affinity of poly(A) polymerase for RNA (By similarity). Is also present at various stages of mRNA metabolism including nucleocytoplasmic trafficking and nonsense-mediated decay (NMD) of mRNA. Cooperates with SKIP to synergistically activate E-box-mediated transcription through MYOD1 and may regulate the expression of muscle-specific genes (PubMed : 11371506). Binds to poly(A) and to poly(G) with high affinity (By similarity). May protect the poly(A) tail from degradation (By similarity). Subunit of the trimeric poly(A) tail exosome targeting (PAXT) complex, a complex that directs a subset of long and polyadenylated poly(A) RNAs for exosomal degradation. The RNA exosome is fundamental for the degradation of RNA in eukaryotic nuclei. Substrate targeting is facilitated by its cofactor MTREX, which links to RNA-binding protein adapters (PubMed : 27871484).
See full target information PABPN1

Publications (3)

Recent publications for all applications. Explore the full list and refine your search

PLoS pathogens 21:e1013275 PubMed40694565

2025

A chaperonin complex regulates organelle proteostasis in malaria parasites.

Applications

Unspecified application

Species

Unspecified reactive species

Amanda Tissawak,Yarden Rosin,Shirly Katz Galay,Alia Qasem,Michal Shahar,Nirit Trabelsi,Ora Furman-Schueler,Steven M Johnson,Anat Florentin

Molecules (Basel, Switzerland) 26: PubMed33921211

2021

Multiplexed In Situ Protein Profiling with High-Performance Cleavable Fluorescent Tyramide.

Applications

Unspecified application

Species

Unspecified reactive species

Thai Pham,Renjie Liao,Joshua Labaer,Jia Guo

Frontiers in cell and developmental biology 8:614624 PubMed33585449

2021

Highly Sensitive and Multiplexed Protein Imaging With Cleavable Fluorescent Tyramide Reveals Human Neuronal Heterogeneity.

Applications

Unspecified application

Species

Unspecified reactive species

Renjie Liao,Manas Mondal,Christopher D Nazaroff,Diego Mastroeni,Paul D Coleman,Joshua Labaer,Jia Guo
View all publications

Product promise

We are committed to supporting your work with high-quality reagents, and we're here for you every step of the way. In the unlikely event that one of our products does not perform as expected, you're protected by our Product Promise.
For full details, please see our Terms & Conditions

Please note: All products are 'FOR RESEARCH USE ONLY. NOT FOR USE IN DIAGNOSTIC OR THERAPEUTIC PROCEDURES'.

For licensing inquiries, please contact partnerships@abcam.com