JavaScript is disabled in your browser. Please enable JavaScript to view this website.
AB193965

HRP Anti-PCNA antibody [EPR3821]

5

(3 Reviews)

|

(4 Publications)

Rabbit Recombinant Monoclonal PCNA antibody - conjugated to HRP. Suitable for IHC-P, WB and reacts with Human samples. Cited in 4 publications.

View Alternative Names

Proliferating cell nuclear antigen, PCNA, Cyclin

2 Images
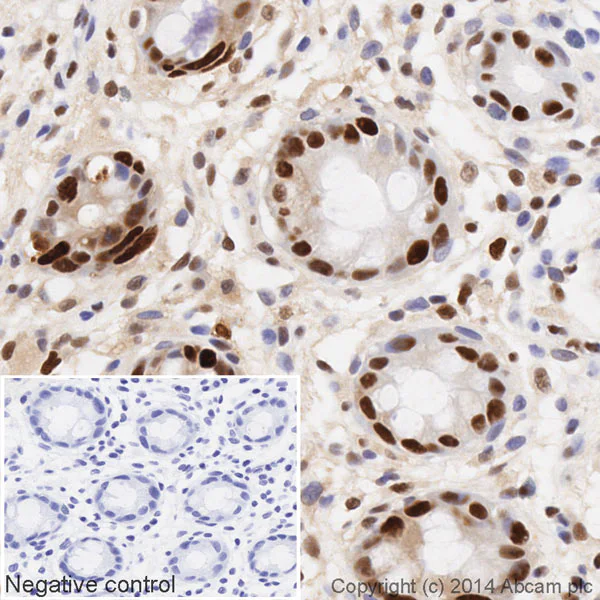
Immunohistochemistry (Formalin/PFA-fixed paraffin-embedded sections) - HRP Anti-PCNA antibody [EPR3821] (AB193965)
  • IHC-P

Lab

Immunohistochemistry (Formalin/PFA-fixed paraffin-embedded sections) - HRP Anti-PCNA antibody [EPR3821] (AB193965)

IHC image of PCNA staining in a section of formalin-fixed paraffin-embedded normal human colon tissue*, performed on a Leica BOND. The section was pre-treated using heat mediated antigen retrieval with sodium citrate buffer (pH6, epitope retrieval solution 1) for 20mins. The section was then incubated with ab193965 at 1/100 dilution, for 15 mins at room temperature. DAB was used as the chromogen. The section was then counterstained with haematoxylin and mounted with DPX. The inset negative control image is taken from an identical assay without primary antibody.

For other IHC staining systems (automated and non-automated) customers should optimize variable parameters such as antigen retrieval conditions, primary antibody concentration and antibody incubation times.

*Tissue obtained from the Human Research Tissue Bank, supported by the NIHR Cambridge Biomedical Research Centre

Western blot - HRP Anti-PCNA antibody [EPR3821] (AB193965)
  • WB

Lab

Western blot - HRP Anti-PCNA antibody [EPR3821] (AB193965)

This blot was produced using a 4-12% Bis-tris gel under the MES buffer system. The gel was run at 200V for 35 minutes before being transferred onto a Nitrocellulose membrane at 30V for 70 minutes. The membrane was then blocked for an hour using 3% milk before being incubated with ab193965 overnight at 4°C. Antibody binding was visualised using ECL development solution ab133406.

All lanes:

Western blot - HRP Anti-PCNA antibody [EPR3821] (ab193965) at 1/5000 dilution

Lane 1:

Western blot - HeLa whole cell lysate (<a href='/en-us/products/cell-lysates/hela-whole-cell-lysate-ab150035'>ab150035</a>) at 10 µg

Lane 2:

HepG2 (Human hepatocellular liver carcinoma cell line) Whole Cell Lysate at 10 µg

Lane 3:

HEK293 (Human embryonic kidney cell line) Whole Cell Lysate at 10 µg

Lane 4:

A431 (Human epithelial carcinoma cell line) Whole Cell Lysate at 10 µg

Predicted band size: 29 kDa

Observed band size: 29 kDa

true

Exposure time: 30s

Key facts

Host species

Rabbit

Clonality

Monoclonal

Clone number

EPR3821

Isotype

IgG

Conjugation

HRP

Excitation/Emission
Carrier free

No

Reacts with

Human

Applications

WB, IHC-P

applications

Immunogen

The exact immunogen used to generate this antibody is proprietary information.

Reactivity data

{ "title": "Reactivity Data", "filters": { "stats": ["", "Species", "Dilution Info", "Notes"], "tabs": { "all-applications": {"fullname" : "All Applications", "shortname": "All Applications"}, "IHCP" : {"fullname" : "Immunohistochemistry (Formalin/PFA-fixed paraffin-embedded sections)", "shortname":"IHC-P"}, "WB" : {"fullname" : "Western blot", "shortname":"WB"} }, "product-promise": { "all": "all", "testedAndGuaranteed": "tested", "guaranteed": "expected", "predicted": "predicted", "notRecommended": "not-recommended" } }, "values": { "Human": { "IHCP-species-checked": "testedAndGuaranteed", "IHCP-species-dilution-info": "1/10000", "IHCP-species-notes": "<p>The use of an HRP/AP polymerized antibody is recommended for a secondary antibody.</p>", "WB-species-checked": "testedAndGuaranteed", "WB-species-dilution-info": "1/5000", "WB-species-notes": "<p></p>" }, "Mouse": { "IHCP-species-checked": "predicted", "IHCP-species-dilution-info": "", "IHCP-species-notes": "", "WB-species-checked": "predicted", "WB-species-dilution-info": "", "WB-species-notes": "" }, "Rat": { "IHCP-species-checked": "predicted", "IHCP-species-dilution-info": "", "IHCP-species-notes": "", "WB-species-checked": "predicted", "WB-species-dilution-info": "", "WB-species-notes": "" } } }

Product details

Patented technology
Our RabMAb® technology is a patented hybridoma-based technology for making rabbit monoclonal antibodies. For details on our patents, please refer to RabMAb® patents.

What are the advantages of a recombinant monoclonal antibody?
This product is a recombinant monoclonal antibody, which offers several advantages including:

  • - High batch-to-batch consistency and reproducibility
  • - Improved sensitivity and specificity
  • - Long-term security of supply
  • - Animal-free batch production

For more information, read more on recombinant antibodies.

Properties and storage information

Form
Liquid
Purification technique
Affinity purification Protein A
Storage buffer
pH: 7.4 Preservative: 0.1% Proclin 300 Solution Constituents: PBS, 30% Glycerol (glycerin, glycerine), 1% BSA
Shipped at conditions
Blue Ice
Appropriate short-term storage duration
1-2 weeks
Appropriate short-term storage conditions
+4°C
Appropriate long-term storage conditions
-20°C
Aliquoting information
Upon delivery aliquot
Storage information
Avoid freeze / thaw cycle|Store in the dark

Supplementary information

This supplementary information is collated from multiple sources and compiled automatically.

PCNA or Proliferating Cell Nuclear Antigen functions as a sliding clamp for DNA polymerases during DNA replication. This important role enables it to coordinate the orderly duplication of the genome by increasing the processivity of DNA polymerase δ. PCNA weighs approximately 29 kDa and forms a homotrimeric ring structure. It is expressed in the nucleus of cells often found abundantly in proliferating cells. Aside from its main name some people also refer to it as PC10.
Biological function summary

This protein serves a core function in cell cycle regulation and DNA repair. PCNA acts as a scaffold for the assembly of numerous proteins involved in DNA processing forming part of the replication fork complex. It interacts with cyclins and cyclin-dependent kinases (CDKs) linking DNA synthesis to cell cycle progression. Furthermore PCNA partners with proteins involved in DNA mismatch repair base excision repair and nucleotide excision repair.

Pathways

PCNA is integral in the DNA replication and repair pathways. It closely associates with the p21 protein which regulates the cell cycle by inhibiting cyclin-CDK complexes upon DNA damage. PCNA also plays a part in the ubiquitin-proteasome pathway where its modification by ubiquitin impacts how cells respond to DNA damage. This modification recruits specific proteins for DNA repair highlighting its central role in maintaining genomic stability.

PCNA is linked to cancer and autoimmune diseases. Its overexpression is common in various cancers reflecting its role in cell proliferation and the cell cycle. PCNA antibodies are sometimes found in the serum of patients with systemic lupus erythematosus (SLE) a connection also related to alterations in the p21 protein pathway. The interaction between PCNA and disease-specific proteins emphasizes its importance in both cell proliferation and immune system disorders.

Product protocols

For this product, it's our understanding that no specific protocols are required. You can visit:

Target data

Auxiliary protein of DNA polymerase delta and epsilon, is involved in the control of eukaryotic DNA replication by increasing the polymerase's processibility during elongation of the leading strand (PubMed : 35585232). Induces a robust stimulatory effect on the 3'-5' exonuclease and 3'-phosphodiesterase, but not apurinic-apyrimidinic (AP) endonuclease, APEX2 activities. Has to be loaded onto DNA in order to be able to stimulate APEX2. Plays a key role in DNA damage response (DDR) by being conveniently positioned at the replication fork to coordinate DNA replication with DNA repair and DNA damage tolerance pathways (PubMed : 24939902). Acts as a loading platform to recruit DDR proteins that allow completion of DNA replication after DNA damage and promote postreplication repair : Monoubiquitinated PCNA leads to recruitment of translesion (TLS) polymerases, while 'Lys-63'-linked polyubiquitination of PCNA is involved in error-free pathway and employs recombination mechanisms to synthesize across the lesion (PubMed : 24695737).
See full target information PCNA

Publications (4)

Recent publications for all applications. Explore the full list and refine your search

BMC biology 21:101 PubMed37143038

2023

Insights into the formation and diversification of a novel chiropteran wing membrane from embryonic development.

Applications

Unspecified application

Species

Unspecified reactive species

Neal Anthwal,Daniel J Urban,Alexa Sadier,Risa Takenaka,Simon Spiro,Nancy Simmons,Richard R Behringer,Chris J Cretekos,John J Rasweiler,Karen E Sears

Journal of anatomy 242:224-234 PubMed36181694

2022

Mechanisms driving vestibular lamina formation and opening in the mouse.

Applications

Unspecified application

Species

Unspecified reactive species

Tengyang Qiu,Abigail S Tucker

Frontiers in physiology 11:753 PubMed32765288

2020

Development of the Vestibular Lamina in Human Embryos: Morphogenesis and Vestibule Formation.

Applications

Unspecified application

Species

Unspecified reactive species

Tengyang Qiu,Tathyane H N Teshima,Maria Hovorakova,Abigail S Tucker

Journal of cellular biochemistry 119:9764-9780 PubMed30105876

2018

Long noncoding RNA DQ786243 interacts with miR-506 and promotes progression of ovarian cancer through targeting cAMP responsive element binding protein 1.

Applications

Unspecified application

Species

Unspecified reactive species

Huan Yan,Maria A Silva,Hong Li,Linlin Zhu,Pengyun Li,Xia Li,Xiaofang Wang,Junjun Gao,Ping Wang,Zhan Zhang
View all publications

Product promise

We are committed to supporting your work with high-quality reagents, and we're here for you every step of the way. In the unlikely event that one of our products does not perform as expected, you're protected by our Product Promise.
For full details, please see our Terms & Conditions

Please note: All products are 'FOR RESEARCH USE ONLY. NOT FOR USE IN DIAGNOSTIC OR THERAPEUTIC PROCEDURES'.

For licensing inquiries, please contact partnerships@abcam.com