JavaScript is disabled in your browser. Please enable JavaScript to view this website.
AB198554

HRP Anti-ALPP+ALPG+ALPI antibody [EPR6141]

Be the first to review this product! Submit a review

|

(2 Publications)

Rabbit Recombinant Monoclonal PPB1 antibody - conjugated to HRP. Suitable for WB, IHC-P and reacts with Human samples. Cited in 2 publications.

View Alternative Names

PLAP, ALPP, Alkaline phosphatase Regan isozyme, Placental alkaline phosphatase 1, PLAP-1

2 Images
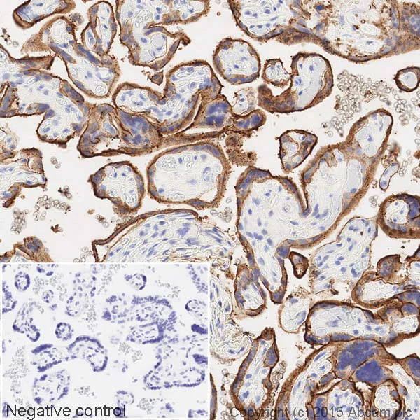
Immunohistochemistry (Formalin/PFA-fixed paraffin-embedded sections) - HRP Anti-ALPP+ALPG+ALPI antibody [EPR6141] (AB198554)
  • IHC-P

Lab

Immunohistochemistry (Formalin/PFA-fixed paraffin-embedded sections) - HRP Anti-ALPP+ALPG+ALPI antibody [EPR6141] (AB198554)

IHC image of Placental alkaline phosphatase (PLAP) staining in a section of formalin-fixed paraffin-embedded normal human placenta*, performed on a Leica BOND. The section was pre-treated using heat mediated antigen retrieval with sodium citrate buffer (pH6, epitope retrieval solution 1) for 20mins. The section was then incubated with ab198554 at 1/1000 dilution for 15 mins at room temperature. DAB was used as the chromogen. The section was then counterstained with haematoxylin and mounted with DPX. The inset negative control image is taken from an identical assay without primary antibody.

For other IHC staining systems (automated and non-automated) customers should optimize variable parameters such as antigen retrieval conditions, primary antibody concentration and antibody incubation times.

*Tissue obtained from the Human Research Tissue Bank, supported by the NIHR Cambridge Biomedical Research Centre

Western blot - HRP Anti-ALPP+ALPG+ALPI antibody [EPR6141] (AB198554)
  • WB

Lab

Western blot - HRP Anti-ALPP+ALPG+ALPI antibody [EPR6141] (AB198554)

This blot was produced using a 4-12% Bis-tris gel under the MOPS buffer system. The gel was run at 200V for 50 minutes before being transferred onto a Nitrocellulose membrane at 30V for 70 minutes. The membrane was then blocked for an hour using 3% milk before being incubated with ab198554 overnight at 4°C. Antibody binding was visualised using ECL development solution ab133406.

All lanes:

Western blot - HRP Anti-ALPP+ALPG+ALPI antibody [EPR6141] (ab198554) at 1/5000 dilution

All lanes:

Human placenta tissue lysate - total protein (<a href='/en-us/products/unavailable/human-placenta-tissue-lysate-total-protein-ab29745'>ab29745</a>) at 10 µg

Predicted band size: 58 kDa,60 kDa

Observed band size: 70 kDa,76 kDa

true

Exposure time: 2min

  • 578 PE

    PE Anti-ALPP+ALPG+ALPI antibody [EPR6141]

  • 660 APC

    APC Anti-ALPP+ALPG+ALPI antibody [EPR6141]

  • 519 Alexa Fluor® 488

    Alexa Fluor® 488 Anti-ALPP+ALPG+ALPI antibody [EPR6141]

  • 617 Alexa Fluor® 594

    Alexa Fluor® 594 Anti-ALPP+ALPG+ALPI antibody [EPR6141]

  • 565 Alexa Fluor® 555

    Alexa Fluor® 555 Anti-ALPP+ALPG+ALPI antibody [EPR6141]

  • 665 Alexa Fluor® 647

    Alexa Fluor® 647 Anti-ALPP+ALPG+ALPI antibody [EPR6141]

  • 775 Alexa Fluor® 750

    Alexa Fluor® 750 Anti-ALPP+ALPG+ALPI antibody [EPR6141]

  • Unconjugated

    Anti-ALPP+ALPG+ALPI antibody [EPR6141]

  • Carrier free

    Anti-ALPP+ALPG+ALPI antibody [EPR6141] - BSA and Azide free

Key facts

Host species

Rabbit

Clonality

Monoclonal

Clone number

EPR6141

Isotype

IgG

Conjugation

HRP

Excitation/Emission
Carrier free

No

Reacts with

Human

Applications

IHC-P, WB

applications

Immunogen

The exact immunogen used to generate this antibody is proprietary information.

Reactivity data

{ "title": "Reactivity Data", "filters": { "stats": ["", "Species", "Dilution Info", "Notes"], "tabs": { "all-applications": {"fullname" : "All Applications", "shortname": "All Applications"}, "WB" : {"fullname" : "Western blot", "shortname":"WB"}, "IHCP" : {"fullname" : "Immunohistochemistry (Formalin/PFA-fixed paraffin-embedded sections)", "shortname":"IHC-P"} }, "product-promise": { "all": "all", "testedAndGuaranteed": "tested", "guaranteed": "expected", "predicted": "predicted", "notRecommended": "not-recommended" } }, "values": { "Human": { "WB-species-checked": "testedAndGuaranteed", "WB-species-dilution-info": "1/5000", "WB-species-notes": "<p></p>", "IHCP-species-checked": "testedAndGuaranteed", "IHCP-species-dilution-info": "1/1000", "IHCP-species-notes": "<p></p>" } } }

Product details

Patented technology
Our RabMAb® technology is a patented hybridoma-based technology for making rabbit monoclonal antibodies. For details on our patents, please refer to RabMAb® patents.

What are the advantages of a recombinant monoclonal antibody?
This product is a recombinant monoclonal antibody, which offers several advantages including:

  • - High batch-to-batch consistency and reproducibility
  • - Improved sensitivity and specificity
  • - Long-term security of supply
  • - Animal-free batch production

For more information, read more on recombinant antibodies.

Properties and storage information

Form
Liquid
Purification technique
Affinity purification Protein A
Storage buffer
pH: 7.4 Preservative: 0.1% Proclin 300 Solution Constituents: PBS, 30% Glycerol (glycerin, glycerine), 1% BSA
Shipped at conditions
Blue Ice
Appropriate short-term storage duration
1-2 weeks
Appropriate short-term storage conditions
+4°C
Appropriate long-term storage conditions
-20°C
Aliquoting information
Upon delivery aliquot
Storage information
Avoid freeze / thaw cycle|Store in the dark

Supplementary information

This supplementary information is collated from multiple sources and compiled automatically.

Placental alkaline phosphatase (PLAP) also known by names like alkaline phosphatase/PLAP protein or ALPP functions as an enzyme that removes phosphate groups from molecules. It typically appears in tissues such as the placenta and is known to be active during pregnancy. PLAP has a molecular mass of approximately 66 kDa. Normally found expressed in the placenta this enzyme shares similarities with other alkaline phosphatases but is distinct due to its specific expression and function during gestation.
Biological function summary

PLAP shows importance in bone mineralization and fetal development. It participates in the hydrolysis of phosphate esters influencing nutrient availability and metabolism. PLAP is not a part of major protein complexes; however its enzymatic activity directly affects local phosphate concentrations which are critical for processes like bone formation and tissue regeneration during pregnancy.

Pathways

PLAP expression and activity intersect significantly with phosphate metabolism and fetal development pathways. The alkaline phosphatase family plays central roles in these pathways and PLAP shares functions with other isoenzymes in the family such as the tissue nonspecific alkaline phosphatase. These enzymes regulate phosphate turnover and contribute to essential developmental processes.

PLAP connects primarily to certain types of cancers and gestational disorders. Elevated levels of PLAP link to testicular germ cell tumors and ovarian cancer where it serves as a biomarker. In gestational trophoblastic disease PLAP expression provides valuable diagnostic information. Interactions with proteins like hCG (human chorionic gonadotropin) also offer insights into potential disease mechanisms especially in reproductive health challenges.

Product protocols

For this product, it's our understanding that no specific protocols are required. You can visit:

Target data

Alkaline phosphatase that can hydrolyze various phosphate compounds.
See full target information ALPP

Additional targets

ALPG,ALPG

Publications (2)

Recent publications for all applications. Explore the full list and refine your search

Journal of materials science. Materials in medicine 33:4 PubMed34940936

2021

Hydrogel contained valproic acid accelerates bone-defect repair via activating Notch signaling pathway in ovariectomized rats.

Applications

Unspecified application

Species

Unspecified reactive species

Zhou-Shan Tao,Tian-Lin Li,Hong-Guang Xu,Min Yang

Scientific reports 10:2043 PubMed32029838

2020

Clinicopathological features and prognostic value of SOX11 in childhood acute lymphoblastic leukemia.

Applications

Unspecified application

Species

Unspecified reactive species

Toni Grönroos,Artturi Mäkinen,Saara Laukkanen,Juha Mehtonen,Atte Nikkilä,Laura Oksa,Samuli Rounioja,Yanara Marincevic-Zuniga,Jessica Nordlund,Virva Pohjolainen,Timo Paavonen,Merja Heinäniemi,Olli Lohi
View all publications

Product promise

We are committed to supporting your work with high-quality reagents, and we're here for you every step of the way. In the unlikely event that one of our products does not perform as expected, you're protected by our Product Promise.
For full details, please see our Terms & Conditions

Please note: All products are 'FOR RESEARCH USE ONLY. NOT FOR USE IN DIAGNOSTIC OR THERAPEUTIC PROCEDURES'.

For licensing inquiries, please contact partnerships@abcam.com