JavaScript is disabled in your browser. Please enable JavaScript to view this website.
AB324154

HRP Anti-PRG2 antibody [EPR29096-502]

Be the first to review this product! Submit a review

|

(0 Publication)

Rabbit Recombinant Monoclonal PRG2 antibody - conjugated to HRP. Suitable for IHC-P and reacts with Human samples.

View Alternative Names

MBP, PRG2, Bone marrow proteoglycan, BMPG, Proteoglycan 2

3 Images
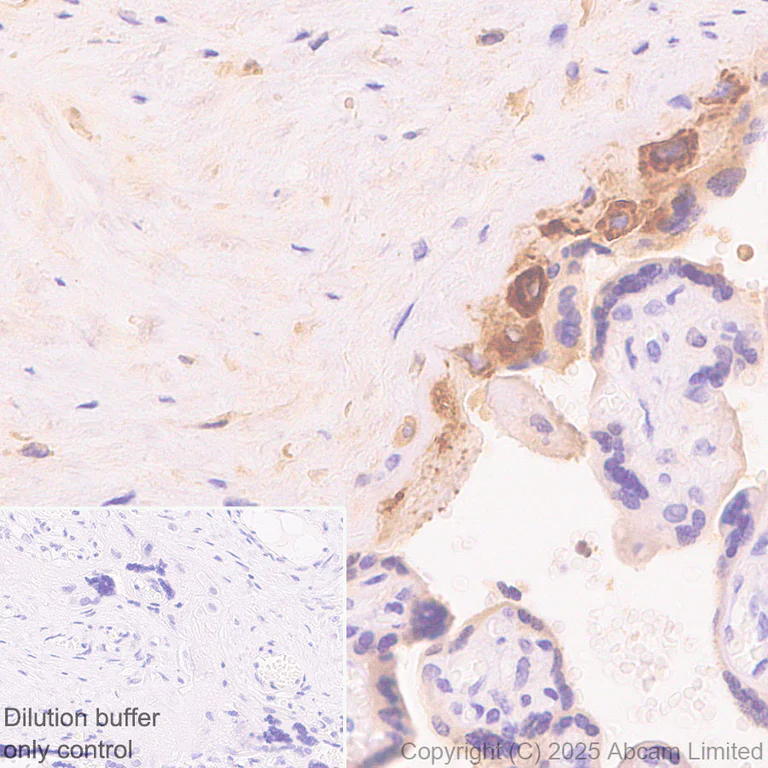
Immunohistochemistry (Formalin/PFA-fixed paraffin-embedded sections) - HRP Anti-PRG2 antibody [EPR29096-502] (AB324154)
  • IHC-P

Supplier Data

Immunohistochemistry (Formalin/PFA-fixed paraffin-embedded sections) - HRP Anti-PRG2 antibody [EPR29096-502] (AB324154)

Immunohistochemical analysis of paraffin-embedded Human placenta tissue labeling PRG2 with ab324154 at 1/1000 (0.5 ug/ml) dilution.

Positive staining on human placenta.
The primary antibody was incubated for 30 mins at room temperature.
The immunostaining was performed on a Leica Biosystems BOND® RX instrument

Counterstained with Hematoxylin.

Heat mediated antigen retrieval was performed with Tris-EDTA buffer (pH 9.0, Epitope Retrieval Solution2) for 20 mins

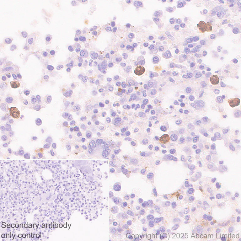
Immunohistochemistry (Formalin/PFA-fixed paraffin-embedded sections) - HRP Anti-PRG2 antibody [EPR29096-502] (AB324154)
  • IHC-P

Supplier Data

Immunohistochemistry (Formalin/PFA-fixed paraffin-embedded sections) - HRP Anti-PRG2 antibody [EPR29096-502] (AB324154)

Immunohistochemical analysis of paraffin-embedded Human bone marrow tissue labeling PRG2 with ab324154 at 1/1000 (0.5 ug/ml) dilution.

Positive staining on human bone.
The primary antibody was incubated for 30 mins at room temperature.
The immunostaining was performed on a Leica Biosystems BOND® RX instrument

Counterstained with Hematoxylin.

Heat mediated antigen retrieval was performed with Tris-EDTA buffer (pH 9.0, Epitope Retrieval Solution2) for 20 mins

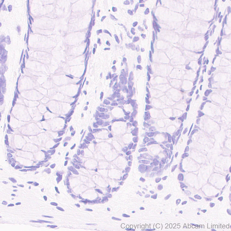
Immunohistochemistry (Formalin/PFA-fixed paraffin-embedded sections) - HRP Anti-PRG2 antibody [EPR29096-502] (AB324154)
  • IHC-P

Supplier Data

Immunohistochemistry (Formalin/PFA-fixed paraffin-embedded sections) - HRP Anti-PRG2 antibody [EPR29096-502] (AB324154)

Immunohistochemical analysis of paraffin-embedded Human colon tissue labeling PRG2 with ab324154 at 1/1000 (0.5 ug/ml) dilution.

Negative control : no staining on human colon.
The primary antibody was incubated for 30 mins at room temperature.
The immunostaining was performed on a Leica Biosystems BOND® RX instrument

Counterstained with Hematoxylin.

Heat mediated antigen retrieval was performed with Tris-EDTA buffer (pH 9.0, Epitope Retrieval Solution2) for 20 mins

Key facts

Host species

Rabbit

Clonality

Monoclonal

Clone number

EPR29096-502

Isotype

IgG

Conjugation

HRP

Excitation/Emission
Carrier free

No

Reacts with

Human

Applications

IHC-P

applications

Immunogen

The exact immunogen used to generate this antibody is proprietary information.

Reactivity data

{ "title": "Reactivity Data", "filters": { "stats": ["", "Species", "Dilution Info", "Notes"], "tabs": { "all-applications": {"fullname" : "All Applications", "shortname": "All Applications"}, "IHCP" : {"fullname" : "Immunohistochemistry (Formalin/PFA-fixed paraffin-embedded sections)", "shortname":"IHC-P"} }, "product-promise": { "all": "all", "testedAndGuaranteed": "tested", "guaranteed": "expected", "predicted": "predicted", "notRecommended": "not-recommended" } }, "values": { "Human": { "IHCP-species-checked": "testedAndGuaranteed", "IHCP-species-dilution-info": "1/1000", "IHCP-species-notes": "<p></p> Perform heat-mediated antigen retrieval with Tris/EDTA buffer pH 9.0 before commencing with IHC staining protocol." } } }

Product details

Patented technology
Our RabMAb® technology is a patented hybridoma-based technology for making rabbit monoclonal antibodies. For details on our patents, please refer to RabMAb® patents.

What are the advantages of a recombinant monoclonal antibody?
This product is a recombinant monoclonal antibody, which offers several advantages including:

  • - High batch-to-batch consistency and reproducibility
  • - Improved sensitivity and specificity
  • - Long-term security of supply
  • - Animal-free batch production

For more information, read more on recombinant antibodies.

Properties and storage information

Form
Liquid
Purification technique
Affinity purification Protein A
Storage buffer
pH: 7.4 Preservative: 0.1% Proclin 300 Solution Constituents: PBS, 30% Glycerol (glycerin, glycerine), 1% BSA
Shipped at conditions
Blue Ice
Appropriate short-term storage duration
1-2 weeks
Appropriate short-term storage conditions
+4°C
Appropriate long-term storage conditions
-20°C
Aliquoting information
Upon delivery aliquot
Storage information
Avoid freeze / thaw cycle|Store in the dark

Supplementary information

This supplementary information is collated from multiple sources and compiled automatically.

PRG2 also known as major basic protein (MBP) is a potent protein that plays a significant role in the immune system. It weighs approximately 14 kDa and is found mainly in eosinophil granules. Eosinophils release PRG2 during the immune response which can affect various bodily systems. The expression of PRG2 is not limited to eosinophils; it is also found in other cell types that participate in immune responses.
Biological function summary

PRG2 interacts with other components of the immune system to help mediate inflammatory responses. It is a part of the innate immune response and acts by binding to and neutralizing negatively charged surfaces on cells pathogens and tissues. PRG2 can cause tissue damage by its cytotoxic action when released in large amounts impacting cells within its local environment. This protein does not belong to any known larger protein complex but its activity can influence many immune pathways independently.

Pathways

PRG2 contributes significantly to the immune system's function and the body's defense mechanism against parasites and allergens. The protein plays an important role in the allergic inflammatory pathway where it can interact with interleukins such as IL-5 which influences eosinophil activation and survival. Additionally PRG2 impacts the Th2 cytokine pathway coordinating with proteins like IL-4 to modulate immune responses.

High levels of PRG2 associate with conditions like asthma and allergic rhinitis. Its interaction with allergens and subsequent tissue damage leads to inflammation and disease exacerbation. Moreover elevated PRG2 levels are seen in Helminth infections where it coordinates with eosinophil cationic protein to combat parasites. These interactions make PRG2 a potential target for therapeutic intervention in related disorders.

Product protocols

For this product, it's our understanding that no specific protocols are required. You can visit:

Target data

Cytotoxin and helminthotoxin. Also induces non-cytolytic histamine release from human basophils. Involved in antiparasitic defense mechanisms and immune hypersensitivity reactions. The proform acts as a proteinase inhibitor, reducing the activity of PAPPA.
See full target information PRG2

Product promise

We are committed to supporting your work with high-quality reagents, and we're here for you every step of the way. In the unlikely event that one of our products does not perform as expected, you're protected by our Product Promise.
For full details, please see our Terms & Conditions

Please note: All products are 'FOR RESEARCH USE ONLY. NOT FOR USE IN DIAGNOSTIC OR THERAPEUTIC PROCEDURES'.

For licensing inquiries, please contact partnerships@abcam.com