JavaScript is disabled in your browser. Please enable JavaScript to view this website.
AB205733

HRP Anti-pro Caspase-3 antibody [E61]

  • BOND RX™ Validated
  • RabMAb
  • Recombinant
  • KO Validated
  • What is this?

Be the first to review this product! Submit a review

|

(6 Publications)

Rabbit Recombinant Monoclonal Caspase-3 antibody - conjugated to HRP. Suitable for IHC-P, WB and reacts with Human samples. Cited in 6 publications.

View Alternative Names

CPP32, CASP3, Caspase-3, CASP-3, Apopain, Cysteine protease CPP32, Protein Yama, SREBP cleavage activity 1, CPP-32, SCA-1

2 Images
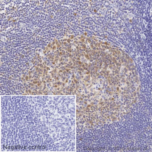
Immunohistochemistry (Formalin/PFA-fixed paraffin-embedded sections) - HRP Anti-pro Caspase-3 antibody [E61] (AB205733)
  • IHC-P

Lab

Immunohistochemistry (Formalin/PFA-fixed paraffin-embedded sections) - HRP Anti-pro Caspase-3 antibody [E61] (AB205733)

IHC image of pro Caspase-3 staining in a section of formalin-fixed paraffin-embedded normal human tonsil*, performed on a Leica BOND™. The section was pre-treated using heat mediated antigen retrieval with sodium citrate buffer (pH6, epitope retrieval solution 1) for 20mins. The section was then incubated with ab205733, 1/2500 dilution, for 15 mins at room temperature. DAB was used as the chromogen. The section was then counterstained with haematoxylin and mounted with DPX. The inset negative control image is taken from an identical assay without primary antibody.

For other IHC staining systems (automated and non-automated) customers should optimize variable parameters such as antigen retrieval conditions, primary antibody concentration and antibody incubation times.

*Tissue obtained from the Human Research Tissue Bank, supported by the NIHR Cambridge Biomedical Research Centre

Western blot - HRP Anti-pro Caspase-3 antibody [E61] (AB205733)
  • WB

Lab

Western blot - HRP Anti-pro Caspase-3 antibody [E61] (AB205733)

This blot was produced using a 4-12% Bis-tris gel under the MOPS buffer system. The gel was run at 200V for 50 minutes before being transferred onto a Nitrocellulose membrane at 30V for 70 minutes. The membrane was then blocked for an hour using 3% milk before being incubated with ab205733 overnight at 4°C. Antibody binding was visualised using ECL development solution ab133406.

All lanes:

Western blot - HRP Anti-pro Caspase-3 antibody [E61] (ab205733) at 1/5000 dilution

Lane 1:

Western blot - HeLa whole cell lysate (<a href='/en-us/products/cell-lysates/hela-whole-cell-lysate-ab150035'>ab150035</a>) at 10 µg

Lane 2:

Wild-type HAP1 cell lysate at 20 µg

Lane 3:

Wild-type HAP1 cell lysate Stuarosporine Treated (1μM for 4h) at 20 µg

Lane 4:

Caspase-3 knockout HAP1 cell lysate at 20 µg

Lane 5:

Caspase-3 knockout HAP1 cell lysate Stuarosporine Treated (1μM for 4h) at 20 µg

Predicted band size: 31 kDa

Observed band size: 35 kDa

true

Exposure time: 3min

Key facts

Host species

Rabbit

Clonality

Monoclonal

Clone number

E61

Isotype

IgG

Conjugation

HRP

Excitation/Emission
Carrier free

No

Reacts with

Human

Applications

IHC-P, WB

applications

Immunogen

The exact immunogen used to generate this antibody is proprietary information.

Reactivity data

{ "title": "Reactivity Data", "filters": { "stats": ["", "Species", "Dilution Info", "Notes"], "tabs": { "all-applications": {"fullname" : "All Applications", "shortname": "All Applications"}, "IHCP" : {"fullname" : "Immunohistochemistry (Formalin/PFA-fixed paraffin-embedded sections)", "shortname":"IHC-P"}, "WB" : {"fullname" : "Western blot", "shortname":"WB"} }, "product-promise": { "all": "all", "testedAndGuaranteed": "tested", "guaranteed": "expected", "predicted": "predicted", "notRecommended": "not-recommended" } }, "values": { "Human": { "IHCP-species-checked": "testedAndGuaranteed", "IHCP-species-dilution-info": "1/2500", "IHCP-species-notes": "<p></p>", "WB-species-checked": "testedAndGuaranteed", "WB-species-dilution-info": "1/5000", "WB-species-notes": "<p></p>" }, "Mouse": { "IHCP-species-checked": "predicted", "IHCP-species-dilution-info": "", "IHCP-species-notes": "", "WB-species-checked": "predicted", "WB-species-dilution-info": "", "WB-species-notes": "" } } }

Product details

Patented technology
Our RabMAb® technology is a patented hybridoma-based technology for making rabbit monoclonal antibodies. For details on our patents, please refer to RabMAb® patents.

Properties and storage information

Form
Liquid
Purification technique
Affinity purification Protein A
Storage buffer
pH: 7.4 Preservative: 0.1% Proclin 300 Solution Constituents: PBS, 30% Glycerol (glycerin, glycerine), 1% BSA
Shipped at conditions
Blue Ice
Appropriate short-term storage duration
1-2 weeks
Appropriate short-term storage conditions
+4°C
Appropriate long-term storage conditions
-20°C
Aliquoting information
Upon delivery aliquot
Storage information
Stable for 12 months at -20°C|Store in the dark

Supplementary information

This supplementary information is collated from multiple sources and compiled automatically.

Pro Caspase-3 also known as Caspase-3 zymogen is a central component in the apoptotic process. This inactive precursor form undergoes cleavage during apoptosis to become active caspase-3 an important executioner in cell death. Caspase-3 possesses a molecular weight of approximately 32 kDa. It is expressed ubiquitously in cells throughout the body with a higher concentration in tissues with rapid cell turnover such as thymus and gastrointestinal tract.
Biological function summary

The inactive pro Caspase-3 form serves as a safeguard in cells preventing premature apoptosis. It only becomes the active caspase-3 after specific activation ensuring controlled progression of apoptosis. This inactive form does not participate in any complex but becomes a part of the caspase family network upon cleavage. In its active form caspase-3 leads to the cleavage of several key cellular proteins driving the morphological and biochemical changes seen during apoptosis.

Pathways

Pro Caspase-3 is critical in the apoptotic signaling pathway. It serves as a link between intrinsic and extrinsic pathways of apoptosis. The intrinsic pathway often triggered by mitochondrial signals and the extrinsic pathway initiated by death receptor signals both lead to the activation of caspase-3. In these pathways pro Caspase-3 interacts with proteins like caspase-8 and cytochrome c playing a part in their signaling cascades and cellular outcomes.

Pro Caspase-3 is associated with conditions involving dysregulated apoptosis. One such condition is cancer where evasion of apoptosis leads to uncontrolled cell proliferation. The therapeutic targeting of pro Caspase-3 activation holds potential in reinstating apoptotic pathways in cancerous cells. Additionally it relates to neurodegenerative diseases like Alzheimer's where excessive apoptosis contributes to neuronal loss. Here active caspase-3 interacts with proteins like amyloid precursor protein suggesting a role in the disease's progression.

Product protocols

For this product, it's our understanding that no specific protocols are required. You can visit:

Target data

Thiol protease that acts as a major effector caspase involved in the execution phase of apoptosis (PubMed : 18723680, PubMed : 20566630, PubMed : 23650375, PubMed : 35338844, PubMed : 35446120, PubMed : 7596430). Following cleavage and activation by initiator caspases (CASP8, CASP9 and/or CASP10), mediates execution of apoptosis by catalyzing cleavage of many proteins (PubMed : 18723680, PubMed : 20566630, PubMed : 23650375, PubMed : 7596430). At the onset of apoptosis, it proteolytically cleaves poly(ADP-ribose) polymerase PARP1 at a '216-Asp-|-Gly-217' bond (PubMed : 10497198, PubMed : 16374543, PubMed : 7596430, PubMed : 7774019). Cleaves and activates sterol regulatory element binding proteins (SREBPs) between the basic helix-loop-helix leucine zipper domain and the membrane attachment domain (By similarity). Cleaves and activates caspase-6, -7 and -9 (CASP6, CASP7 and CASP9, respectively) (PubMed : 7596430). Cleaves and inactivates interleukin-18 (IL18) (PubMed : 37993714, PubMed : 9334240). Involved in the cleavage of huntingtin (PubMed : 8696339). Triggers cell adhesion in sympathetic neurons through RET cleavage (PubMed : 21357690). Cleaves and inhibits serine/threonine-protein kinase AKT1 in response to oxidative stress (PubMed : 23152800). Acts as an inhibitor of type I interferon production during virus-induced apoptosis by mediating cleavage of antiviral proteins CGAS, IRF3 and MAVS, thereby preventing cytokine overproduction (PubMed : 30878284). Also involved in pyroptosis by mediating cleavage and activation of gasdermin-E (GSDME) (PubMed : 35338844, PubMed : 35446120). Cleaves XRCC4 and phospholipid scramblase proteins XKR4, XKR8 and XKR9, leading to promote phosphatidylserine exposure on apoptotic cell surface (PubMed : 23845944, PubMed : 33725486). Cleaves BIRC6 following inhibition of BIRC6-caspase binding by DIABLO/SMAC (PubMed : 36758104, PubMed : 36758106).
See full target information CASP3

Publications (6)

Recent publications for all applications. Explore the full list and refine your search

Chemico-biological interactions 308:364-371 PubMed31158334

2019

Notoginsenoside R1 protects human renal proximal tubular epithelial cells from lipopolysaccharide-stimulated inflammatory damage by up-regulation of miR-26a.

Applications

Unspecified application

Species

Unspecified reactive species

Jinrong Liu,Cun Hou,Xiaoyuan Chen,Lin Wu,Xinyue Wang

Iranian journal of basic medical sciences 21:1050-1055 PubMed30524679

2018

Pioglitazone alleviates oxygen and glucose deprivation-induced injury by up-regulation of miR-454 in H9c2 cells.

Applications

Unspecified application

Species

Unspecified reactive species

Nianzi Sun,Lin Yang,Qian Zhang,Chengwei Zou

Cellular physiology and biochemistry : internation 51:1149-1163 PubMed30481751

2018

Long Non-Coding RNA Urothelial Carcinoma Associated 1 Promotes Proliferation, Migration and Invasion of Osteosarcoma Cells by Regulating microRNA-182.

Applications

Unspecified application

Species

Unspecified reactive species

Qiang Li,Wanying Xing,Xilong Gong,Yueshu Wang

Journal of cellular biochemistry 119:10075-10086 PubMed30129054

2018

Knockdown of long noncoding RNA urothelial carcinoma-associated 1 inhibits cell viability, migration, and invasion by regulating microRNA-182 in gastric carcinoma.

Applications

Unspecified application

Species

Unspecified reactive species

Lei Qin,Zhihua Jia,Dawei Xie,Zhongyuan Liu

Biomedicine & pharmacotherapy = Biomedecine & phar 102:1120-1126 PubMed29710530

2018

Resveratrol improves uric acid-induced pancreatic β-cells injury and dysfunction through regulation of miR-126.

Applications

WB

Species

Unspecified reactive species

Ying Xin,Haiyan Zhang,Zhaotong Jia,Xiaoqian Ding,Yong Sun,Qiang Wang,Tao Xu

Biomedicine & pharmacotherapy = Biomedecine & phar 101:422-429 PubMed29501764

2018

Sinomenine inhibits lipopolysaccharide-induced inflammatory injury by regulation of miR-101/MKP-1/JNK pathway in keratinocyte cells.

Applications

WB

Species

Human

Shumei Liu,Yigang Man,Li Zhao
View all publications

Product promise

We are committed to supporting your work with high-quality reagents, and we're here for you every step of the way. In the unlikely event that one of our products does not perform as expected, you're protected by our Product Promise.
For full details, please see our Terms & Conditions

Please note: All products are 'FOR RESEARCH USE ONLY. NOT FOR USE IN DIAGNOSTIC OR THERAPEUTIC PROCEDURES'.

For licensing inquiries, please contact partnerships@abcam.com