JavaScript is disabled in your browser. Please enable JavaScript to view this website.
AB314245

HRP Anti-Prosurfactant Protein C antibody [EPR19839]

Be the first to review this product! Submit a review

|

(0 Publication)

Rabbit Recombinant Monoclonal Prosurfactant Protein C antibody - conjugated to HRP. Suitable for WB, IHC-P and reacts with Mouse samples.

View Alternative Names

Sftp2, Sftpc, Surfactant protein C, SP-C, Pulmonary surfactant-associated protein C, Pulmonary surfactant-associated proteolipid SPL(Val), SP5

3 Images
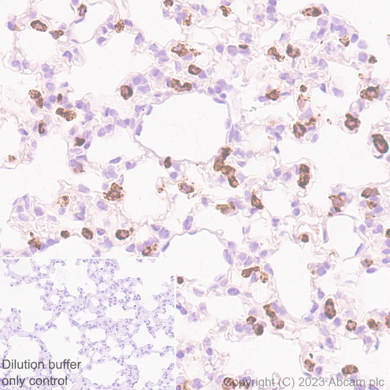
Immunohistochemistry (Formalin/PFA-fixed paraffin-embedded sections) - HRP Anti-Prosurfactant Protein C antibody [EPR19839] (AB314245)
  • IHC-P

Supplier Data

Immunohistochemistry (Formalin/PFA-fixed paraffin-embedded sections) - HRP Anti-Prosurfactant Protein C antibody [EPR19839] (AB314245)

Immunohistochemical analysis of paraffin-embedded Mouse lung tissue labeling Prosurfactant Protein C with ab314245 at 1/100 (5.0 µg/ml). Cytoplasmic staining on alveolar type II cells of mouse lung. The section was incubated with ab314245 for 30 mins at room temperature. The immunostaining was performed on a Leica Biosystems BOND® RX instrument Counterstained with Hematoxylin. Heat mediated antigen retrieval was performed with Tris-EDTA buffer (pH 9.0, Epitope Retrieval Solution2) for 40 mins.

Western blot - HRP Anti-Prosurfactant Protein C antibody [EPR19839] (AB314245)
  • WB

Supplier Data

Western blot - HRP Anti-Prosurfactant Protein C antibody [EPR19839] (AB314245)

Blocking and diluting buffer and concentration : 5% NFDM/TBST. In Western blot, Anti-GAPDH antibody [EPR16891] - Loading Control (ab181602) staining at 1/200000 dilution.

All lanes:

Western blot - HRP Anti-Prosurfactant Protein C antibody [EPR19839] (ab314245) at 1/1000 dilution

Lane 1:

Mouse lung tissue lysate at 20 µg

Lane 2:

Mouse brain tissue lysate at 20 µg

Observed band size: 21 kDa

false

Exposure time: 26s

Immunohistochemistry (Formalin/PFA-fixed paraffin-embedded sections) - HRP Anti-Prosurfactant Protein C antibody [EPR19839] (AB314245)
  • IHC-P

Supplier Data

Immunohistochemistry (Formalin/PFA-fixed paraffin-embedded sections) - HRP Anti-Prosurfactant Protein C antibody [EPR19839] (AB314245)

Immunohistochemical analysis of paraffin-embedded Mouse spleen tissue labeling Prosurfactant Protein C with ab314245 at 1/100 (5.0 µg/ml). Negative control : no staining on mouse spleen. The section was incubated with ab314245 for 30 mins at room temperature. The immunostaining was performed on a Leica Biosystems BOND® RX instrument Counterstained with Hematoxylin. Heat mediated antigen retrieval was performed with Tris-EDTA buffer (pH 9.0, Epitope Retrieval Solution2) for 40 mins.

  • Unconjugated

    Anti-Prosurfactant Protein C antibody [EPR19839]

  • Carrier free

    Anti-Prosurfactant Protein C antibody [EPR19839] - BSA and Azide free

Key facts

Host species

Rabbit

Clonality

Monoclonal

Clone number

EPR19839

Isotype

IgG

Conjugation

HRP

Excitation/Emission
Carrier free

No

Reacts with

Mouse

Applications

WB, IHC-P

applications

Immunogen

The exact immunogen used to generate this antibody is proprietary information.

Reactivity data

{ "title": "Reactivity Data", "filters": { "stats": ["", "Species", "Dilution Info", "Notes"], "tabs": { "all-applications": {"fullname" : "All Applications", "shortname": "All Applications"}, "WB" : {"fullname" : "Western blot", "shortname":"WB"}, "IHCP" : {"fullname" : "Immunohistochemistry (Formalin/PFA-fixed paraffin-embedded sections)", "shortname":"IHC-P"} }, "product-promise": { "all": "all", "testedAndGuaranteed": "tested", "guaranteed": "expected", "predicted": "predicted", "notRecommended": "not-recommended" } }, "values": { "Mouse": { "WB-species-checked": "testedAndGuaranteed", "WB-species-dilution-info": "1/1000", "WB-species-notes": "<p></p>", "IHCP-species-checked": "testedAndGuaranteed", "IHCP-species-dilution-info": "1/100", "IHCP-species-notes": "<p></p>" } } }

Product details

Want a custom formulation?
This antibody clone is manufactured by Abcam. If you require a custom buffer formulation or conjugation for your experiments, please contact orders@abcam.com

Patented technology
Our RabMAb® technology is a patented hybridoma-based technology for making rabbit monoclonal antibodies. For details on our patents, please refer to RabMAb® patents.

What are the advantages of a recombinant monoclonal antibody?
This product is a recombinant monoclonal antibody, which offers several advantages including:

  • - High batch-to-batch consistency and reproducibility
  • - Improved sensitivity and specificity
  • - Long-term security of supply
  • - Animal-free batch production

For more information, read more on recombinant antibodies.

Properties and storage information

Form
Liquid
Purification technique
Affinity purification Protein A
Storage buffer
pH: 7.4 Preservative: 0.1% Proclin 300 Solution Constituents: 68.9% PBS, 30% Glycerol (glycerin, glycerine), 1% BSA
Shipped at conditions
Blue Ice
Appropriate short-term storage duration
1-2 weeks
Appropriate short-term storage conditions
+4°C
Appropriate long-term storage conditions
-20°C
Aliquoting information
Upon delivery aliquot
Storage information
Avoid freeze / thaw cycle|Store in the dark

Supplementary information

This supplementary information is collated from multiple sources and compiled automatically.

Prosurfactant Protein C (Pro-SP-C) often referred to as SPC or by its abbreviated form SP-C is a hydrophobic peptide critical for lung function. This protein has a mass of approximately 21 kDa and is expressed prominently in the alveolar type II cells of the lung tissue. Beyond its full-length variant various pro forms such as proSP-C are studied for their roles during protein maturation and trafficking. These pro forms are essential for producing the mature functional SP-C a critical component of lung surfactant which reduces surface tension in alveoli and prevents lung collapse.
Biological function summary

In surfactant homeostasis Prosurfactant Protein C associates with surfactant protein complexes where it interacts with phospholipids like phosphatidylcholine to stabilize the alveolar structures. As part of this complex it aids in reducing surface tension at the air-liquid interface in the alveoli and contributes to the host defense system by fostering pathogen clearance and modulating inflammation. The intricate processing of Pro-SP-C into its mature form involves fucosylation and other post-translational modifications which are key for functional surfactant activity.

Pathways

The role of Prosurfactant Protein C is integral to the surfactant metabolism pathway affecting lung function and homeostasis. This pathway is important for proper respiratory mechanics and is closely linked to other surfactant proteins like SP-B and SP-D. These proteins work together within the lipid-protein matrix of the surfactant to ensure proper alveolar deflation and reinflation during respiration. Disruption within these pathways can have significant impact on lung health and respiratory physiology.

Mutations or dysfunctions in Prosurfactant Protein C are linked to interstitial lung diseases including pulmonary alveolar proteinosis and idiopathic pulmonary fibrosis. These conditions often result from misfolded proteins or improper surfactant metabolism leading to compromised lung function. Connections with disorders like these highlight interactions between Prosurfactant Protein C and C-reactive protein uncovering underlying inflammatory processes. Therapy and research often target these protein interactions and modifications as understanding them holds potential for strategic intervention in surfactant-related pathologies.

Product protocols

For this product, it's our understanding that no specific protocols are required. You can visit:

Target data

Pulmonary surfactant associated proteins promote alveolar stability by lowering the surface tension at the air-liquid interface in the peripheral air spaces.
See full target information Sftpc

Product promise

We are committed to supporting your work with high-quality reagents, and we're here for you every step of the way. In the unlikely event that one of our products does not perform as expected, you're protected by our Product Promise.
For full details, please see our Terms & Conditions

Please note: All products are 'FOR RESEARCH USE ONLY. NOT FOR USE IN DIAGNOSTIC OR THERAPEUTIC PROCEDURES'.

For licensing inquiries, please contact partnerships@abcam.com