JavaScript is disabled in your browser. Please enable JavaScript to view this website.
AB199507

HRP Rabbit IgG, monoclonal [EPR25A] - Isotype Control

Be the first to review this product! Submit a review

|

(2 Publications)

HRP Rabbit IgG, monoclonal [EPR25A] - Isotype Control Suitable for IHC-P and reacts with samples. Cited in 2 publications.
6 Images
Immunohistochemistry (Formalin/PFA-fixed paraffin-embedded sections) - HRP Rabbit IgG, monoclonal [EPR25A] - Isotype Control (AB199507)
  • IHC-P

Lab

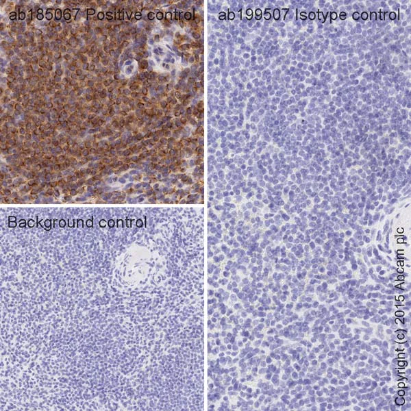
Immunohistochemistry (Formalin/PFA-fixed paraffin-embedded sections) - HRP Rabbit IgG, monoclonal [EPR25A] - Isotype Control (AB199507)

IHC image of formalin-fixed paraffin-embedded normal human spleen sections* tested on a Leica BOND™. Sections were pre-treated using heat mediated antigen retrieval with sodium citrate buffer (pH6, epitope retrieval solution 1) for 20mins. The sections were then incubated with antibody (ab185067, Rabbit monoclonal to alpha tubulin, at 1/100 dilution) or isotype control (ab199507, Rabbit IgG, at 1/50 dilution) for 15 mins at room temperature. DAB was used as the chromogen. The sections were then counterstained with haematoxylin and mounted with DPX.

The background control image is taken from an identical assay without primary antibody or isotype control.

For other IHC staining systems (automated and non-automated) customers should optimize variable parameters such as antigen retrieval conditions, primary antibody concentration and antibody incubation times.

*Tissue obtained from the Human Research Tissue Bank, supported by the NIHR Cambridge Biomedical Research Centre.

Immunohistochemistry (Formalin/PFA-fixed paraffin-embedded sections) - HRP Rabbit IgG, monoclonal [EPR25A] - Isotype Control (AB199507)
  • IHC-P

Lab

Immunohistochemistry (Formalin/PFA-fixed paraffin-embedded sections) - HRP Rabbit IgG, monoclonal [EPR25A] - Isotype Control (AB199507)

IHC image of formalin-fixed paraffin-embedded normal rat spleen sections tested on a Leica BOND™. Sections were pre-treated using heat mediated antigen retrieval with sodium citrate buffer (pH6, epitope retrieval solution 1) for 20mins. The sections were then incubated with antibody (ab185067, Rabbit monoclonal to alpha tubulin, at 1/100 dilution) or isotype control (ab199507, Rabbit IgG, at 1/50 dilution) for 15 mins at room temperature. DAB was used as the chromogen. The sections were then counterstained with haematoxylin and mounted with DPX.

The background control image is taken from an identical assay without primary antibody or isotype control.

For other IHC staining systems (automated and non-automated) customers should optimize variable parameters such as antigen retrieval conditions, primary antibody concentration and antibody incubation times.

Immunohistochemistry (Formalin/PFA-fixed paraffin-embedded sections) - HRP Rabbit IgG, monoclonal [EPR25A] - Isotype Control (AB199507)
  • IHC-P

Lab

Immunohistochemistry (Formalin/PFA-fixed paraffin-embedded sections) - HRP Rabbit IgG, monoclonal [EPR25A] - Isotype Control (AB199507)

IHC image of formalin-fixed paraffin-embedded normal human cerebral cortex sections* tested on a Leica BOND™. Sections were pre-treated using heat mediated antigen retrieval with sodium citrate buffer (pH6, epitope retrieval solution 1) for 20mins. The sections were then incubated with antibody (ab185065, Rabbit monoclonal to sodium potassium ATPase, at 1/50 dilution) or isotype control (ab199507, Rabbit IgG, at 1/50 dilution) for 15 mins at room temperature. DAB was used as the chromogen. The sections were then counterstained with haematoxylin and mounted with DPX.

The background control image is taken from an identical assay without primary antibody or isotype control.

For other IHC staining systems (automated and non-automated) customers should optimize variable parameters such as antigen retrieval conditions, primary antibody concentration and antibody incubation times.

*Tissue obtained from the Human Research Tissue Bank, supported by the NIHR Cambridge Biomedical Research Centre.

Immunohistochemistry (Formalin/PFA-fixed paraffin-embedded sections) - HRP Rabbit IgG, monoclonal [EPR25A] - Isotype Control (AB199507)
  • IHC-P

Lab

Immunohistochemistry (Formalin/PFA-fixed paraffin-embedded sections) - HRP Rabbit IgG, monoclonal [EPR25A] - Isotype Control (AB199507)

IHC image of formalin-fixed paraffin-embedded normal mouse spleen sections tested on a Leica BOND™. Sections were pre-treated using heat mediated antigen retrieval with sodium citrate buffer (pH6, epitope retrieval solution 1) for 20mins. The sections were then incubated with antibody (ab185067, Rabbit monoclonal to alpha tubulin, at 1/100 dilution) or isotype control (ab199507, Rabbit IgG, at 1/50 dilution) for 15 mins at room temperature. DAB was used as the chromogen. The sections were then counterstained with haematoxylin and mounted with DPX.

The background control image is taken from an identical assay without primary antibody or isotype control.

For other IHC staining systems (automated and non-automated) customers should optimize variable parameters such as antigen retrieval conditions, primary antibody concentration and antibody incubation times.

Immunohistochemistry (Formalin/PFA-fixed paraffin-embedded sections) - HRP Rabbit IgG, monoclonal [EPR25A] - Isotype Control (AB199507)
  • IHC-P

Lab

Immunohistochemistry (Formalin/PFA-fixed paraffin-embedded sections) - HRP Rabbit IgG, monoclonal [EPR25A] - Isotype Control (AB199507)

IHC image of formalin-fixed paraffin-embedded normal rat brain sections tested on a Leica BOND™. Sections were pre-treated using heat mediated antigen retrieval with sodium citrate buffer (pH6, epitope retrieval solution 1) for 20mins. The sections were then incubated with antibody (ab185065, Rabbit monoclonal to sodium potassium ATPase, at 1/50 dilution) or isotype control (ab199507, Rabbit IgG, at 1/50 dilution) for 15 mins at room temperature. DAB was used as the chromogen. The sections were then counterstained with haematoxylin and mounted with DPX.

The background control image is taken from an identical assay without primary antibody or isotype control.

For other IHC staining systems (automated and non-automated) customers should optimize variable parameters such as antigen retrieval conditions, primary antibody concentration and antibody incubation times.

Immunohistochemistry (Formalin/PFA-fixed paraffin-embedded sections) - HRP Rabbit IgG, monoclonal [EPR25A] - Isotype Control (AB199507)
  • IHC-P

Lab

Immunohistochemistry (Formalin/PFA-fixed paraffin-embedded sections) - HRP Rabbit IgG, monoclonal [EPR25A] - Isotype Control (AB199507)

IHC image of formalin-fixed paraffin-embedded normal mouse brain sections tested on a Leica BOND™. Sections were pre-treated using heat mediated antigen retrieval with sodium citrate buffer (pH6, epitope retrieval solution 1) for 20mins. The sections were then incubated with antibody (ab185065, Rabbit monoclonal to sodium potassium ATPase, at 1/50 dilution) or isotype control (ab199507, Rabbit IgG, at 1/50 dilution) for 15 mins at room temperature. DAB was used as the chromogen. The sections were then counterstained with haematoxylin and mounted with DPX.

The background control image is taken from an identical assay without primary antibody or isotype control.

For other IHC staining systems (automated and non-automated) customers should optimize variable parameters such as antigen retrieval conditions, primary antibody concentration and antibody incubation times.

  • 519 FITC

    FITC Rabbit IgG, monoclonal [EPR25A] - Isotype Control

  • 660 APC

    APC Rabbit IgG, monoclonal [EPR25A] - Isotype Control

  • 675 PerCP

    PerCP Rabbit IgG, monoclonal [EPR25A] - Isotype Control

  • 578 PE

    PE Rabbit IgG, monoclonal [EPR25A] - Isotype Control

  • 603 Alexa Fluor® 568

    Alexa Fluor® 568 Rabbit IgG, monoclonal [EPR25A] - Isotype Control

  • 617 Alexa Fluor® 594

    Alexa Fluor® 594 Rabbit IgG, monoclonal [EPR25A] - Isotype Control

  • 519 Alexa Fluor® 488

    Alexa Fluor® 488 Rabbit IgG, monoclonal [EPR25A] - Isotype Control

  • 665 Alexa Fluor® 647

    Alexa Fluor® 647 Rabbit IgG, monoclonal [EPR25A] - Isotype Control

  • 421 Alexa Fluor® 405

    Alexa Fluor® 405 Rabbit IgG, monoclonal [EPR25A] - Isotype Control

  • 565 Alexa Fluor® 555

    Alexa Fluor® 555 Rabbit IgG, monoclonal [EPR25A] - Isotype Control

  • Biotin

    Biotin Isotype Control [EPR25A]

  • 775 Alexa Fluor® 750

    Alexa Fluor® 750 Rabbit IgG, monoclonal [EPR25A] - Isotype Control

  • Unconjugated

    Rabbit IgG, monoclonal [EPR25A] - Isotype Control

  • Carrier free

    Rabbit IgG, monoclonal [EPR25A] - Isotype Control - BSA and Azide Free

  • Carrier free

    Rabbit IgG, monoclonal [EPR25A] - Isotype Control (Low endotoxin, Azide free)

Key facts

Host species

Rabbit

Clonality

Monoclonal

Clone number

EPR25A

Isotype

IgG

Conjugation

HRP

Excitation/Emission
Carrier free

No

Applications

IHC-P

applications

Reactivity data

{ "title": "Reactivity Data", "filters": { "stats": ["", "Species", "Dilution Info", "Notes"], "tabs": { "all-applications": {"fullname" : "All Applications", "shortname": "All Applications"}, "IHCP" : {"fullname" : "Immunohistochemistry (Formalin/PFA-fixed paraffin-embedded sections)", "shortname":"IHC-P"} }, "product-promise": { "all": "all", "testedAndGuaranteed": "tested", "guaranteed": "expected", "predicted": "predicted", "notRecommended": "not-recommended" } }, "values": { "": { "IHCP-species-checked": "testedAndGuaranteed", "IHCP-species-dilution-info": "1/50", "IHCP-species-notes": "<p></p>" } } }

Product details

KLH is often used in molecular immunology as a carrier protein conjugated to low molecular weight molecules such as peptides, amino acids, nucleic acids, drugs or toxins to render them more immunogenic due to the size of the conjugate complex and the immunogenicity of KLH.

Immunogen
Chemical / Small Molecule conjugated to keyhole limpet haemocyanin. KLH is a copper containing oxygen carrier occurring freely dissolved in the hemolymph of many molluscs and arthropods. KLH forms a large complex composed of ~50 kDa subunits.

Patented technology
Our RabMAb® technology is a patented hybridoma-based technology for making rabbit monoclonal antibodies. For details on our patents, please refer to RabMAb® patents.

What are the advantages of a recombinant monoclonal antibody?
This product is a recombinant monoclonal antibody, which offers several advantages including:

  • - High batch-to-batch consistency and reproducibility
  • - Improved sensitivity and specificity
  • - Long-term security of supply
  • - Animal-free batch production

For more information, read more on recombinant antibodies.

Properties and storage information

Form
Liquid
Purification technique
Affinity purification Protein A
Storage buffer
pH: 7.4 Preservative: 0.1% Proclin 300 Solution Constituents: PBS, 30% Glycerol (glycerin, glycerine), 1% BSA
Shipped at conditions
Blue Ice
Appropriate short-term storage duration
1-2 weeks
Appropriate short-term storage conditions
+4°C
Appropriate long-term storage conditions
-20°C
Aliquoting information
Upon delivery aliquot
Storage information
Avoid freeze / thaw cycle|Store in the dark

Product protocols

For this product, it's our understanding that no specific protocols are required. You can visit:

Target data

Publications (2)

Recent publications for all applications. Explore the full list and refine your search

Discover oncology 16:130 PubMed39918680

2025

KLF5 promotes esophageal squamous cell carcinoma radioresistance by targeting the Keap1-Nrf2 pathway.

Applications

Unspecified application

Species

Unspecified reactive species

Yang Wang,Yue-Ying Yang,Abulajiang Kamili,Dilimulati Aishanjiang,Yi Liu

International endodontic journal 51:663-673 PubMed29197101

2017

A biocompatible decellularized pulp scaffold for regenerative endodontics.

Applications

Unspecified application

Species

Unspecified reactive species

M Matoug-Elwerfelli,M S Duggal,H Nazzal,F Esteves,E Raïf
View all publications

Product promise

We are committed to supporting your work with high-quality reagents, and we're here for you every step of the way. In the unlikely event that one of our products does not perform as expected, you're protected by our Product Promise.
For full details, please see our Terms & Conditions

Please note: All products are 'FOR RESEARCH USE ONLY. NOT FOR USE IN DIAGNOSTIC OR THERAPEUTIC PROCEDURES'.

For licensing inquiries, please contact partnerships@abcam.com