JavaScript is disabled in your browser. Please enable JavaScript to view this website.
AB205449

HRP Anti-RanGAP1 antibody [EPR3295]

Be the first to review this product! Submit a review

|

(1 Publication)

Rabbit Recombinant Monoclonal RanGAP1 antibody - conjugated to HRP. Suitable for IHC-P, WB and reacts with Human samples. Cited in 1 publication.

View Alternative Names

KIAA1835, SD, RANGAP1, Ran GTPase-activating protein 1, RanGAP1

2 Images
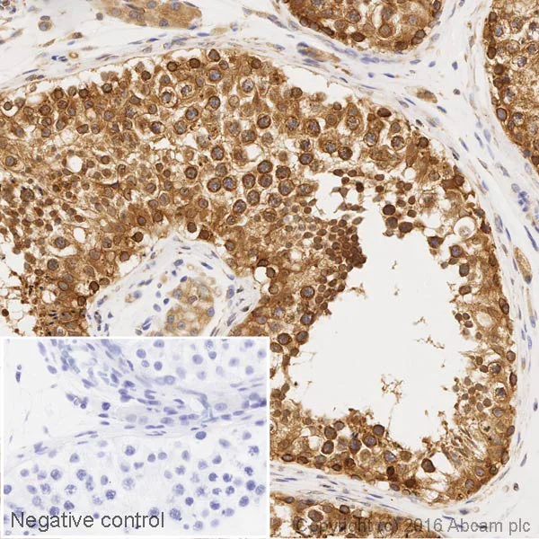
Immunohistochemistry (Formalin/PFA-fixed paraffin-embedded sections) - HRP Anti-RanGAP1 antibody [EPR3295] (AB205449)
  • IHC-P

Lab

Immunohistochemistry (Formalin/PFA-fixed paraffin-embedded sections) - HRP Anti-RanGAP1 antibody [EPR3295] (AB205449)

IHC image of RanGAP1 staining in a section of formalin-fixed paraffin-embedded normal human testis*, performed on a Leica BOND™. The section was pre-treated using heat mediated antigen retrieval with sodium citrate buffer (pH6, epitope retrieval solution 1) for 20mins. The section was then incubated with ab205449, 1/1000 dilution, for 15 mins at room temperature. DAB was used as the chromogen. The section was then counterstained with haematoxylin and mounted with DPX. The inset negative control image is taken from an identical assay without primary antibody.

For other IHC staining systems (automated and non-automated) customers should optimize variable parameters such as antigen retrieval conditions, primary antibody concentration and antibody incubation times.

*Tissue obtained from the Human Research Tissue Bank, supported by the NIHR Cambridge Biomedical Research Centre

Western blot - HRP Anti-RanGAP1 antibody [EPR3295] (AB205449)
  • WB

Lab

Western blot - HRP Anti-RanGAP1 antibody [EPR3295] (AB205449)

This blot was produced using a 4-12% Bis-tris gel under the MOPS buffer system. The gel was run at 200V for 50 minutes before being transferred onto a Nitrocellulose membrane at 30V for 70 minutes. The membrane was then blocked for an hour using 3% milk before being incubated with ab205449 overnight at 4°C. Antibody binding was visualised using ECL development solution ab133406.

All lanes:

Western blot - HRP Anti-RanGAP1 antibody [EPR3295] (ab205449) at 1/5000 dilution

All lanes:

SH-SY5Y (Human neuroblastoma cell line) Whole Cell Lysate at 10 µg

Predicted band size: 58 kDa,63 kDa

Observed band size: 70 kDa

true

Exposure time: 4min

Key facts

Host species

Rabbit

Clonality

Monoclonal

Clone number

EPR3295

Isotype

IgG

Conjugation

HRP

Excitation/Emission
Carrier free

No

Reacts with

Human

Applications

WB, IHC-P

applications

Immunogen

The exact immunogen used to generate this antibody is proprietary information.

Reactivity data

{ "title": "Reactivity Data", "filters": { "stats": ["", "Species", "Dilution Info", "Notes"], "tabs": { "all-applications": {"fullname" : "All Applications", "shortname": "All Applications"}, "IHCP" : {"fullname" : "Immunohistochemistry (Formalin/PFA-fixed paraffin-embedded sections)", "shortname":"IHC-P"}, "WB" : {"fullname" : "Western blot", "shortname":"WB"} }, "product-promise": { "all": "all", "testedAndGuaranteed": "tested", "guaranteed": "expected", "predicted": "predicted", "notRecommended": "not-recommended" } }, "values": { "Human": { "IHCP-species-checked": "testedAndGuaranteed", "IHCP-species-dilution-info": "1/1000", "IHCP-species-notes": "<p></p> Perform heat-mediated antigen retrieval with citrate buffer pH 6 before commencing with IHC staining protocol.", "WB-species-checked": "testedAndGuaranteed", "WB-species-dilution-info": "1/5000", "WB-species-notes": "<p></p>" }, "Mouse": { "IHCP-species-checked": "predicted", "IHCP-species-dilution-info": "", "IHCP-species-notes": "", "WB-species-checked": "predicted", "WB-species-dilution-info": "", "WB-species-notes": "" }, "Rat": { "IHCP-species-checked": "predicted", "IHCP-species-dilution-info": "", "IHCP-species-notes": "", "WB-species-checked": "predicted", "WB-species-dilution-info": "", "WB-species-notes": "" } } }

Product details

Patented technology
Our RabMAb® technology is a patented hybridoma-based technology for making rabbit monoclonal antibodies. For details on our patents, please refer to RabMAb® patents.

What are the advantages of a recombinant monoclonal antibody?
This product is a recombinant monoclonal antibody, which offers several advantages including:

  • - High batch-to-batch consistency and reproducibility
  • - Improved sensitivity and specificity
  • - Long-term security of supply
  • - Animal-free batch production

For more information, read more on recombinant antibodies.

Properties and storage information

Form
Liquid
Purification technique
Affinity purification Protein A
Storage buffer
pH: 7.4 Preservative: 0.1% Proclin 300 Solution Constituents: PBS, 30% Glycerol (glycerin, glycerine), 1% BSA
Shipped at conditions
Blue Ice
Appropriate short-term storage duration
1-2 weeks
Appropriate short-term storage conditions
+4°C
Appropriate long-term storage conditions
-20°C
Aliquoting information
Upon delivery aliquot
Storage information
Stable for 12 months at -20°C|Store in the dark

Supplementary information

This supplementary information is collated from multiple sources and compiled automatically.

RanGAP1 also known as Ran GTPase-activating protein 1 plays an important role in regulating nucleocytoplasmic transport. Mechanically it converts RanGTP to RanGDP in the cytoplasm which is essential for the recycling of Ran and maintenance of the Ran gradient across the nuclear envelope. The molecular mass of RanGAP1 is approximately 70 kDa. RanGAP1 is expressed in various cell types with significant presence in the cytoplasm due to its function.
Biological function summary

Many cellular processes rely on the action of RanGAP1 as it forms part of the Ran cycle. This protein is an integral component of the nuclear transport complex which regulates the bidirectional movement of RNA and proteins through the nuclear pores. Through its action RanGAP1 indirectly influences nuclear import and export playing an essential part in cell cycle regulation and mitosis.

Pathways

Several key cellular pathways are dependent on RanGAP1 activity. For instance it is a component of the mitotic spindle assembly pathway and also plays a role in the RNA processing pathway. In these pathways RanGAP1 works closely with other proteins such as RanBP1 and RCC1 facilitating important cellular events that require strict regulation of nuclear-cytoplasmic transport.

Disruptions in RanGAP1 function have been associated with certain types of cancer and neurodegenerative diseases. Aberrant regulation of RanGAP1 activity can lead to improper cell cycle progression contributing to oncogenesis. Furthermore changes in the expression of RanGAP1 and its interacting proteins like RanBP2 may relate to disorders like Huntington's disease where cellular transport mechanisms are compromised.

Product protocols

For this product, it's our understanding that no specific protocols are required. You can visit:

Target data

GTPase activator for RAN (PubMed : 16428860, PubMed : 8146159, PubMed : 8896452). Converts cytoplasmic GTP-bound RAN to GDP-bound RAN, which is essential for RAN-mediated nuclear import and export (PubMed : 27160050, PubMed : 8896452). Mediates dissociation of cargo from nuclear export complexes containing XPO1, RAN and RANBP2 after nuclear export (PubMed : 27160050).
See full target information RANGAP1

Publications (1)

Recent publications for all applications. Explore the full list and refine your search

Journal of veterinary research 67:307-314 PubMed38143820

2023

Functional and morphological maturation of the full-sized and mini-pig corpus luteum by programmed cell death mechanism.

Applications

Unspecified application

Species

Unspecified reactive species

Ji-Hye Lee,Sang-Hwan Kim
View all publications

Product promise

We are committed to supporting your work with high-quality reagents, and we're here for you every step of the way. In the unlikely event that one of our products does not perform as expected, you're protected by our Product Promise.
For full details, please see our Terms & Conditions

Please note: All products are 'FOR RESEARCH USE ONLY. NOT FOR USE IN DIAGNOSTIC OR THERAPEUTIC PROCEDURES'.

For licensing inquiries, please contact partnerships@abcam.com