JavaScript is disabled in your browser. Please enable JavaScript to view this website.
AB195535

HRP Anti-S100 beta antibody [EP1576Y] - Astrocyte Marker

  • BOND RX™ Validated
  • RabMAb
  • Recombinant
  • Lab Essentials
  • What is this?

Be the first to review this product! Submit a review

|

(0 Publication)

Rabbit Recombinant Monoclonal S100 beta antibody - conjugated to HRP. Astrocyte marker. Suitable for IHC-P and reacts with Human samples.

View Alternative Names

Protein S100-B, S-100 protein beta chain, S-100 protein subunit beta, S100 calcium-binding protein B, S100B

1 Images
Immunohistochemistry (Formalin/PFA-fixed paraffin-embedded sections) - HRP Anti-S100 beta antibody [EP1576Y] - Astrocyte Marker (AB195535)
  • IHC-P

Lab

Immunohistochemistry (Formalin/PFA-fixed paraffin-embedded sections) - HRP Anti-S100 beta antibody [EP1576Y] - Astrocyte Marker (AB195535)

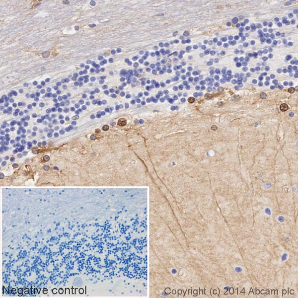
IHC image of S100 beta staining in a section of formalin-fixed paraffin-embedded normal human cerebellum tissue, performed on a Leica BOND. The section was pre-treated using heat mediated antigen retrieval with sodium citrate buffer (pH6, epitope retrieval solution 1) for 20mins. The section was then incubated with ab195535 at 1/500 dilution, for 15 mins at room temperature.

DAB was used as the chromogen. The section was then counterstained with haematoxylin and mounted with DPX.

The inset negative control image is taken from an identical assay without primary antibody.

For other IHC staining systems (automated and non-automated) customers should optimize variable parameters such as antigen retrieval conditions, primary antibody concentration and antibody incubation times.

  • Unconjugated

    Anti-S100 beta antibody [EP1576Y] - Astrocyte Marker

  • 617 Alexa Fluor® 594

    Alexa Fluor® 594 Anti-S100 beta antibody [EP1576Y] - Astrocyte Marker

  • Carrier free

    Anti-S100 beta antibody [EP1576Y] - BSA and Azide free

  • 603 Alexa Fluor® 568

    Alexa Fluor® 568 Anti-S100 beta antibody [EP1576Y] - Astrocyte Marker

  • 519 Alexa Fluor® 488

    Alexa Fluor® 488 Anti-S100 beta antibody [EP1576Y] - Astrocyte Marker

  • 665 Alexa Fluor® 647

    Alexa Fluor® 647 Anti-S100 beta antibody [EP1576Y] - Astrocyte Marker

  • 565 Alexa Fluor® 555

    Alexa Fluor® 555 Anti-S100 beta antibody [EP1576Y] - Astrocyte Marker

Key facts

Host species

Rabbit

Clonality

Monoclonal

Clone number

EP1576Y

Isotype

IgG

Conjugation

HRP

Excitation/Emission
Carrier free

No

Reacts with

Human

Applications

IHC-P

applications

Immunogen

The exact immunogen used to generate this antibody is proprietary information.

Reactivity data

{ "title": "Reactivity Data", "filters": { "stats": ["", "Species", "Dilution Info", "Notes"], "tabs": { "all-applications": {"fullname" : "All Applications", "shortname": "All Applications"}, "IHCP" : {"fullname" : "Immunohistochemistry (Formalin/PFA-fixed paraffin-embedded sections)", "shortname":"IHC-P"} }, "product-promise": { "all": "all", "testedAndGuaranteed": "tested", "guaranteed": "expected", "predicted": "predicted", "notRecommended": "not-recommended" } }, "values": { "Human": { "IHCP-species-checked": "testedAndGuaranteed", "IHCP-species-dilution-info": "1/500", "IHCP-species-notes": "<p></p>" }, "Mouse": { "IHCP-species-checked": "predicted", "IHCP-species-dilution-info": "", "IHCP-species-notes": "" }, "Rat": { "IHCP-species-checked": "predicted", "IHCP-species-dilution-info": "", "IHCP-species-notes": "" } } }

You may be interested in:

AB314846

Human S100B ELISA Kit - Extracellular

0

0 Reviews

View product

We recommend this product because it’s often used in the same experiment or related research.

We advise that you always check the datasheet to ensure it fits your experiments, or contact ourtechnical teamfor help.

Product details

Patented technology
Our RabMAb® technology is a patented hybridoma-based technology for making rabbit monoclonal antibodies. For details on our patents, please refer to RabMAb® patents.

Properties and storage information

Form
Liquid
Purification technique
Affinity purification Protein A
Storage buffer
pH: 7.4 Preservative: 0.1% Proclin 300 Solution Constituents: PBS, 30% Glycerol (glycerin, glycerine), 1% BSA
Shipped at conditions
Blue Ice
Appropriate short-term storage duration
1-2 weeks
Appropriate short-term storage conditions
+4°C
Appropriate long-term storage conditions
-20°C
Aliquoting information
Upon delivery aliquot
Storage information
Avoid freeze / thaw cycle|Store in the dark

Supplementary information

This supplementary information is collated from multiple sources and compiled automatically.

S100 beta also known as protein S100 is part of the S100 family of proteins characterized by their calcium-binding properties. The S100 beta protein has an approximate molecular mass of 10.7 kDa. This protein is mainly expressed in astrocytes a type of glial cell in the central nervous system. It acts as a marker for astrocytes and is prominently used in astrocyte immunohistochemistry. Additionally it serves as a valuable marker for identifying and studying astrocyte markers because it can highlight the presence of these cells in various contexts.
Biological function summary

The S100 beta protein participates in several intracellular and extracellular activities influencing cell proliferation and differentiation. It forms dimers and sometimes assembles into larger complexes mediated by the binding of calcium ions which alters its functional state. Within the nervous system S100 beta modulates the dynamics between neurons and glial cells affecting processes such as cell survival and neurite outgrowth. This dual role in both supporting and inhibiting various cellular actions highlights its importance in maintaining neural homeostasis.

Pathways

S100 beta engages in signaling pathways related to inflammation and stress responses. It works within the MAPK and NF-kB pathways playing roles in cellular responses to oxidative stress. These pathways involve interactions with other proteins like p53 which S100 beta can modulate to influence apoptosis. The regulatory properties of S100 beta in these pathways link it with broader networks affecting cell fate decisions under pathological and physiological conditions.

S100 beta is associated with neurodegenerative diseases and cancer. Elevated levels of S100 beta are often found in Alzheimer's disease where it interacts with proteins like amyloid-beta contributing to neuroinflammation and neurotoxicity. In cancer particularly malignant melanoma S100 beta levels serve as a biomarker for tumor progression. Its interactions with p53 and other regulatory proteins highlight its involvement in oncogenic processes emphasizing its potential as a target for therapeutic intervention in these diseases.

Product protocols

For this product, it's our understanding that no specific protocols are required. You can visit:

Target data

Small zinc- and- and calcium-binding protein that is highly expressed in astrocytes and constitutes one of the most abundant soluble proteins in brain (PubMed : 20950652, PubMed : 6487634). Weakly binds calcium but binds zinc very tightly-distinct binding sites with different affinities exist for both ions on each monomer (PubMed : 20950652, PubMed : 6487634). Physiological concentrations of potassium ion antagonize the binding of both divalent cations, especially affecting high-affinity calcium-binding sites (By similarity). Acts as a neurotrophic factor that promotes astrocytosis and axonal proliferation (By similarity). Involved in innervation of thermogenic adipose tissue by acting as an adipocyte-derived neurotrophic factor that promotes sympathetic innervation of adipose tissue (By similarity). Binds to and initiates the activation of STK38 by releasing autoinhibitory intramolecular interactions within the kinase (By similarity). Interaction with AGER after myocardial infarction may play a role in myocyte apoptosis by activating ERK1/2 and p53/TP53 signaling (By similarity). Could assist ATAD3A cytoplasmic processing, preventing aggregation and favoring mitochondrial localization (PubMed : 20351179). May mediate calcium-dependent regulation on many physiological processes by interacting with other proteins, such as TPR-containing proteins, and modulating their activity (PubMed : 22399290).
See full target information S100B

Product promise

We are committed to supporting your work with high-quality reagents, and we're here for you every step of the way. In the unlikely event that one of our products does not perform as expected, you're protected by our Product Promise.
For full details, please see our Terms & Conditions

Associated Products

Select an associated product type
Alternative Product
Primary Antibodies

AB218513

Anti-S100 beta antibody [4C4.9] - Astrocyte Marker

primary-antibodies

s100-beta-antibody-4c49-astrocyte-marker-ab218513

3

(1 reviews)

Alternative Product
Primary Antibodies

AB218956

Anti-S100 beta antibody [S100B/1012] - BSA and Azide free

primary-antibodies

s100-beta-antibody-s100b-1012-bsa-and-azide-free-ab218956

0

(0 reviews)

Alternative Product
Primary Antibodies

AB218515

Anti-S100 beta antibody [S100B/1012] - Astrocyte Marker

primary-antibodies

s100-beta-antibody-s100b-1012-astrocyte-marker-ab218515

0

(1 reviews)

Alternative Product
Primary Antibodies

AB227914

Anti-S100 beta antibody - Astrocyte Marker

primary-antibodies

s100-beta-antibody-astrocyte-marker-ab227914

5

(1 reviews)

Alternative Product
Primary Antibodies

AB212816

Anti-S100 beta antibody [4C4.9] - BSA and Azide free

primary-antibodies

s100-beta-antibody-4c49-bsa-and-azide-free-ab212816

0

(0 reviews)

Alternative Product
Primary Antibodies

AB41548

Anti-S100 beta antibody - Astrocyte Marker

primary-antibodies

s100-beta-antibody-astrocyte-marker-ab41548

4

(18 reviews)

Alternative Product
Primary Antibodies

AB242388

Anti-S100 beta antibody [SP127] - BSA and Azide free

primary-antibodies

s100-beta-antibody-sp127-bsa-and-azide-free-ab242388

0

(0 reviews)

Alternative Product
Primary Antibodies

AB218514

Anti-S100 beta antibody [SPM354] - Astrocyte Marker

primary-antibodies

s100-beta-antibody-spm354-astrocyte-marker-ab218514

0

(0 reviews)

Alternative Product
Primary Antibodies

AB115803

Anti-S100 beta antibody [SP127] - Astrocyte Marker

primary-antibodies

s100-beta-antibody-sp127-astrocyte-marker-ab115803

0

(0 reviews)

Alternative Version
Primary Antibodies

AB215989

Anti-S100 beta antibody [EP1576Y] - BSA and Azide free

primary-antibodies

s100-beta-antibody-ep1576y-bsa-and-azide-free-ab215989

4

(1 reviews)

Alternative Version
Primary Antibodies

AB313817

Alexa Fluor® 568 Anti-S100 beta antibody [EP1576Y] - Astrocyte Marker

primary-antibodies

alexa-fluor-568-s100-beta-antibody-ep1576y-astrocyte-marker-ab313817

0

(0 reviews)

Alternative Version
Primary Antibodies

AB196175

Alexa Fluor® 647 Anti-S100 beta antibody [EP1576Y] - Astrocyte Marker

primary-antibodies

alexa-fluor-647-s100-beta-antibody-ep1576y-astrocyte-marker-ab196175

4

(1 reviews)

Please note: All products are 'FOR RESEARCH USE ONLY. NOT FOR USE IN DIAGNOSTIC OR THERAPEUTIC PROCEDURES'.

For licensing inquiries, please contact partnerships@abcam.com