JavaScript is disabled in your browser. Please enable JavaScript to view this website.
AB206233

HRP Anti-Scavenging Receptor SR-BI antibody [EP1556Y]

  • BOND RX™ Validated
  • RabMAb
  • Recombinant
  • KO Validated
  • What is this?

Be the first to review this product! Submit a review

|

(2 Publications)

Rabbit Recombinant Monoclonal Scavenging Receptor SR-BI antibody - conjugated to HRP. Suitable for WB, IHC-P and reacts with Mouse, Human samples. Cited in 2 publications.

View Alternative Names

CD36, CD36L1, CLA1, SCARB1, Scavenger receptor class B member 1, SRB1, CD36 and LIMPII analogous 1, CD36 antigen-like 1, SR-BI, CLA-1

3 Images
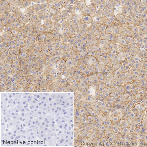
Immunohistochemistry (Formalin/PFA-fixed paraffin-embedded sections) - HRP Anti-Scavenging Receptor SR-BI antibody [EP1556Y] (AB206233)
  • IHC-P

Lab

Immunohistochemistry (Formalin/PFA-fixed paraffin-embedded sections) - HRP Anti-Scavenging Receptor SR-BI antibody [EP1556Y] (AB206233)

IHC image of Scavenging Receptor SR-BI staining in a section of formalin-fixed paraffin-embedded normal human liver*, performed on a Leica BOND™. The section was pre-treated using heat mediated antigen retrieval with Tris/EDTA buffer (pH9, epitope retrieval solution 2) for 20mins. The section was then incubated with ab206233, 1/100 dilution, for 15 mins at room temperature. DAB was used as the chromogen. The section was then counterstained with haematoxylin and mounted with DPX. The inset negative control image is taken from an identical assay without primary antibody.

For other IHC staining systems (automated and non-automated) customers should optimize variable parameters such as antigen retrieval conditions, primary antibody concentration and antibody incubation times.

*Tissue obtained from the Human Research Tissue Bank, supported by the NIHR Cambridge Biomedical Research Centre

Western blot - HRP Anti-Scavenging Receptor SR-BI antibody [EP1556Y] (AB206233)
  • WB

Lab

Western blot - HRP Anti-Scavenging Receptor SR-BI antibody [EP1556Y] (AB206233)

ab206233 was shown to specifically react with Scavenging Receptor SR-BI in wild-type HAP1 cells as signal was lost in SCARB1 (Scavenging Receptor SR-BI) knockout cells. Wild-type and SCARB1 (Scavenging Receptor SR-BI) knockout samples were subjected to SDS-PAGE. ab206233 and ab184095 (Mouse monoclonal [mAbcam 9484] to GAPDH - Loading Control (Alexa Fluor® 680) loading control) were incubated overnight at 4°C at 1/2000 dilution and 1/20000 dilution respectively. The loading control was imaged using the Licor Odyssey CLx prior to blots being developed with ECL technique.

All lanes:

Western blot - HRP Anti-Scavenging Receptor SR-BI antibody [EP1556Y] (ab206233) at 1/2000 dilution

Lane 1:

Wild-type HAP1 whole cell lysate at 20 µg

Lane 2:

SCARB1 (Scavenging Receptor SR-BI) knockout HAP1 whole cell lysate at 20 µg

Predicted band size: 60 kDa

Observed band size: 76 kDa

false

Exposure time: 20min

Western blot - HRP Anti-Scavenging Receptor SR-BI antibody [EP1556Y] (AB206233)
  • WB

Lab

Western blot - HRP Anti-Scavenging Receptor SR-BI antibody [EP1556Y] (AB206233)

This blot was produced using a 4-12% Bis-tris gel under the MOPS buffer system. The gel was run at 200V for 50 minutes before being transferred onto a Nitrocellulose membrane at 30V for 70 minutes. The membrane was then blocked for an hour using 3% milk before being incubated with ab206233 overnight at 4°C. Antibody binding was visualised using ECL development solution ab133406.

All lanes:

Western blot - HRP Anti-Scavenging Receptor SR-BI antibody [EP1556Y] (ab206233) at 1/2000 dilution

All lanes:

Liver (Mouse) Tissue Lysate at 10 µg

Predicted band size: 60 kDa

Observed band size: 76 kDa

true

Exposure time: 8min

  • 519 Alexa Fluor® 488

    Alexa Fluor® 488 Anti-Scavenging Receptor SR-BI antibody [EP1556Y]

  • 665 Alexa Fluor® 647

    Alexa Fluor® 647 Anti-Scavenging Receptor SR-BI antibody [EP1556Y]

  • 603 Alexa Fluor® 568

    Alexa Fluor® 568 Anti-Scavenging Receptor SR-BI antibody [EP1556Y]

  • 565 Alexa Fluor® 555

    Alexa Fluor® 555 Anti-Scavenging Receptor SR-BI antibody [EP1556Y]

  • 775 Alexa Fluor® 750

    Alexa Fluor® 750 Anti-Scavenging Receptor SR-BI antibody [EP1556Y]

  • Unconjugated

    Anti-Scavenging Receptor SR-BI antibody [EP1556Y]

  • Carrier free

    Anti-Scavenging Receptor SR-BI antibody [EP1556Y] - Low endotoxin, Azide free

  • Carrier free

    Anti-Scavenging Receptor SR-BI antibody [EP1556Y] - BSA and Azide free

Key facts

Host species

Rabbit

Clonality

Monoclonal

Clone number

EP1556Y

Isotype

IgG

Conjugation

HRP

Excitation/Emission
Carrier free

No

Reacts with

Mouse, Human

Applications

WB, IHC-P

applications

Immunogen

The exact immunogen used to generate this antibody is proprietary information.

Reactivity data

{ "title": "Reactivity Data", "filters": { "stats": ["", "Species", "Dilution Info", "Notes"], "tabs": { "all-applications": {"fullname" : "All Applications", "shortname": "All Applications"}, "WB" : {"fullname" : "Western blot", "shortname":"WB"}, "IHCP" : {"fullname" : "Immunohistochemistry (Formalin/PFA-fixed paraffin-embedded sections)", "shortname":"IHC-P"} }, "product-promise": { "all": "all", "testedAndGuaranteed": "tested", "guaranteed": "expected", "predicted": "predicted", "notRecommended": "not-recommended" } }, "values": { "Human": { "WB-species-checked": "testedAndGuaranteed", "WB-species-dilution-info": "1/2000", "WB-species-notes": "<p></p>", "IHCP-species-checked": "testedAndGuaranteed", "IHCP-species-dilution-info": "1/100", "IHCP-species-notes": "<p></p>" }, "Mouse": { "WB-species-checked": "testedAndGuaranteed", "WB-species-dilution-info": "1/2000", "WB-species-notes": "<p></p>", "IHCP-species-checked": "guaranteed", "IHCP-species-dilution-info": "", "IHCP-species-notes": "" }, "Rat": { "WB-species-checked": "predicted", "WB-species-dilution-info": "", "WB-species-notes": "", "IHCP-species-checked": "predicted", "IHCP-species-dilution-info": "", "IHCP-species-notes": "" } } }

Product details

Patented technology
Our RabMAb® technology is a patented hybridoma-based technology for making rabbit monoclonal antibodies. For details on our patents, please refer to RabMAb® patents.

Properties and storage information

Form
Liquid
Purification technique
Affinity purification Protein A
Storage buffer
pH: 7.4 Preservative: 0.1% Proclin 300 Solution Constituents: PBS, 30% Glycerol (glycerin, glycerine), 1% BSA
Shipped at conditions
Blue Ice
Appropriate short-term storage duration
1-2 weeks
Appropriate short-term storage conditions
+4°C
Appropriate long-term storage conditions
-20°C
Aliquoting information
Upon delivery aliquot
Storage information
Stable for 12 months at -20°C|Store in the dark

Supplementary information

This supplementary information is collated from multiple sources and compiled automatically.

Scavenging Receptor Class B Type 1 (SR-BI) also known as CLA-1 in humans is a membrane protein involved in the selective uptake of lipids. This protein has a molecular mass of approximately 82 kDa and is primarily expressed in the liver and non-placental tissues such as adrenal glands and ovaries. SR-BI mediates the transfer of cholesterol esters from high-density lipoprotein (HDL) to cells while playing a role in reverse cholesterol transport. Its function is essential for maintaining cholesterol homeostasis.
Biological function summary

SR-BI contributes to lipid metabolism by influencing the dynamics of cholesterol and lipid circulation within the body. It forms part of the larger HDL receptor complex which facilitates the selective uptake of lipids without internalizing the entire lipoprotein. Through this mechanism SR-BI assists cells in acquiring necessary components for membrane synthesis and hormone production.

Pathways

SR-BI integrates into the cholesterol biosynthesis pathway and the reverse cholesterol transport pathway. In these pathways SR-BI works closely with proteins like ATP-binding cassette transporter A1 (ABCA1) and lecithin-cholesterol acyltransferase (LCAT). These interactions promote the efflux and transport of cholesterol therefore playing a vital role in lipid regulation and metabolic processes.

SR-BI's malfunction can lead to cardiovascular diseases due to its role in cholesterol metabolism. Elevated levels of HDL cholesterol without functional SR-BI impair reverse cholesterol transport potentially leading to atherosclerosis. Moreover SR-BI interacts with apolipoprotein A-I (apoA-I) a major protein component of HDL impacting its efficacy and connection to coronary artery disease. Understanding SR-BI pathways and their interactions can provide insights into therapeutic strategies for treating cholesterol-related disorders.

Product protocols

For this product, it's our understanding that no specific protocols are required. You can visit:

Target data

Receptor for different ligands such as phospholipids, cholesterol ester, lipoproteins, phosphatidylserine and apoptotic cells (PubMed : 12016218, PubMed : 12519372, PubMed : 21226579). Receptor for HDL, mediating selective uptake of cholesteryl ether and HDL-dependent cholesterol efflux (PubMed : 26965621). Also facilitates the flux of free and esterified cholesterol between the cell surface and apoB-containing lipoproteins and modified lipoproteins, although less efficiently than HDL. May be involved in the phagocytosis of apoptotic cells, via its phosphatidylserine binding activity (PubMed : 12016218).. (Microbial infection) Acts as a receptor for hepatitis C virus in hepatocytes and appears to facilitate its cell entry (PubMed : 12356718, PubMed : 12913001, PubMed : 18000990). Binding between SCARB1 and the hepatitis C virus glycoprotein E2 is independent of the genotype of the viral isolate (PubMed : 12356718).. (Microbial infection) Mediates uptake of M.fortuitum, E.coli and S.aureus.. (Microbial infection) Facilitates the entry of human coronavirus SARS-CoV-2 by acting as an entry cofactor through HDL binding.
See full target information SCARB1

Publications (2)

Recent publications for all applications. Explore the full list and refine your search

Frontiers in molecular biosciences 8:792540 PubMed35096968

2022

Characterization of an Aging-Based Diagnostic Gene Signature and Molecular Subtypes With Diverse Immune Infiltrations in Atherosclerosis.

Applications

Unspecified application

Species

Unspecified reactive species

Lei Zhao,Fengfeng Lv,Ye Zheng,Liqiu Yan,Xufen Cao

Journal of immunology (Baltimore, Md. : 1950) 193:3126-33 PubMed25143442

2014

Live simian immunodeficiency virus vaccine correlate of protection: immune complex-inhibitory Fc receptor interactions that reduce target cell availability.

Applications

Unspecified application

Species

Unspecified reactive species

Anthony J Smith,Stephen W Wietgrefe,Liang Shang,Cavan S Reilly,Peter J Southern,Katherine E Perkey,Lijie Duan,Heinz Kohler,Sybille Müller,James Robinson,John V Carlis,Qingsheng Li,R Paul Johnson,Ashley T Haase
View all publications

Product promise

We are committed to supporting your work with high-quality reagents, and we're here for you every step of the way. In the unlikely event that one of our products does not perform as expected, you're protected by our Product Promise.
For full details, please see our Terms & Conditions

Please note: All products are 'FOR RESEARCH USE ONLY. NOT FOR USE IN DIAGNOSTIC OR THERAPEUTIC PROCEDURES'.

For licensing inquiries, please contact partnerships@abcam.com