JavaScript is disabled in your browser. Please enable JavaScript to view this website.
AB198493

HRP Anti-SDHA antibody [2E3GC12FB2AE2]

Be the first to review this product! Submit a review

|

(1 Publication)

Mouse Monoclonal SDHA antibody - conjugated to HRP. Suitable for IHC-P, WB and reacts with Human samples. Cited in 1 publication.

View Alternative Names

SDH2, SDHF, SDHA, Flavoprotein subunit of complex II, Malate dehydrogenase [quinone] flavoprotein subunit, Fp

3 Images
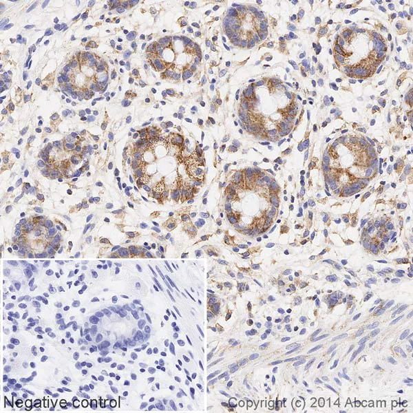
Immunohistochemistry (Formalin/PFA-fixed paraffin-embedded sections) - HRP Anti-SDHA antibody [2E3GC12FB2AE2] (AB198493)
  • IHC-P

Lab

Immunohistochemistry (Formalin/PFA-fixed paraffin-embedded sections) - HRP Anti-SDHA antibody [2E3GC12FB2AE2] (AB198493)

IHC image of SDHA staining in a section of formalin-fixed paraffin-embedded normal human colon*, performed on a Leica BOND. The section was pre-treated using heat mediated antigen retrieval with sodium citrate buffer (pH6, epitope retrieval solution 1) for 20mins. The section was then incubated with ab198493, 1/100 dilution, for 15 mins at room temperature. DAB was used as the chromogen. The section was then counterstained with haematoxylin and mounted with DPX. The inset negative control image is taken from an identical assay without primary antibody.

For other IHC staining systems (automated and non-automated) customers should optimize variable parameters such as antigen retrieval conditions, primary antibody concentration and antibody incubation times.

*Tissue obtained from the Human Research Tissue Bank, supported by the NIHR Cambridge Biomedical Research Centre.

Western blot - HRP Anti-SDHA antibody [2E3GC12FB2AE2] (AB198493)
  • WB

Lab

Western blot - HRP Anti-SDHA antibody [2E3GC12FB2AE2] (AB198493)

This blot was produced using a 4-12% Bis-tris gel under the MOPS buffer system. The gel was run at 200V for 50 minutes before being transferred onto a Nitrocellulose membrane at 30V for 70 minutes. The membrane was then blocked for an hour using 3% milk before being incubated with ab198493 overnight at 4°C. Antibody binding was visualised using ECL development solution ab133406.

All lanes:

Western blot - HRP Anti-SDHA antibody [2E3GC12FB2AE2] (ab198493) at 1/5000 dilution

Lane 1:

Human heart tissue lysate - mitochondrial extract (<a href='/en-us/products/unavailable/human-heart-tissue-lysate-mitochondrial-extract-ab110337'>ab110337</a>) at 10 µg

Lane 2:

Human heart tissue lysate - mitochondrial extract (<a href='/en-us/products/unavailable/human-heart-tissue-lysate-mitochondrial-extract-ab110337'>ab110337</a>) at 5 µg

Predicted band size: 72 kDa

Observed band size: 31 kDa,42 kDa,72 kDa

true

Exposure time: 10s

Western blot - HRP Anti-SDHA antibody [2E3GC12FB2AE2] (AB198493)
  • WB

Lab

Western blot - HRP Anti-SDHA antibody [2E3GC12FB2AE2] (AB198493)

ab198493 was shown to specifically react with SDHA in wild-type HEK-293 cells as signal was lost in SDHA knockout cells. Wild-type and SDHA knockout samples were subjected to SDS-PAGE. ab198493 and ab181602 (Rabbit monoclonal to GAPDH - Loading Control loading) were incubated overnight at 4°C at 1/5000 dilution and 1/20000 dilution respectively. The loading control was imaged using the Licor Odyssey CLx prior to blots being developed with ECL technique.

All lanes:

Western blot - HRP Anti-SDHA antibody [2E3GC12FB2AE2] (ab198493) at 1/5000 dilution

Lane 1:

Wild-type HEK-293 (Human epithelial cell line from embryonic kidney) whole cell lysate at 20 µg

Lane 2:

SDHA knockout HEK-293 (Human epithelial cell line from embryonic kidney) whole cell lysate at 20 µg

Lane 2:

Western blot - Human SDHA knockout HEK-293 cell line (<a href='/en-us/products/cell-lines/human-sdha-knockout-hek-293-cell-line-ab261853'>ab261853</a>)

Lane 3:

MCF7 (Human breast adenocarcinoma cell line) whole cell lysate at 20 µg

Lane 4:

Hep G2 (Human liver hepatocellular carcinoma cell line) whole cell lysate at 20 µg

Predicted band size: 72 kDa

false

Key facts

Host species

Mouse

Clonality

Monoclonal

Clone number

2E3GC12FB2AE2

Isotype

IgG1

Light chain type

kappa

Conjugation

HRP

Excitation/Emission
Carrier free

No

Reacts with

Human

Applications

WB, IHC-P

applications

Immunogen

The exact immunogen used to generate this antibody is proprietary information.

Specificity

From Jan 2026, QC testing of replenishment batches of this primary conjugate changed. All tested and expected application and reactive species combinations are still covered by our Abcam product promise. However, the replenishment lots are subjected to bioanalytical testing only. For more information on a specific batch, please contact our Scientific Support who will be happy to help.

Reactivity data

{ "title": "Reactivity Data", "filters": { "stats": ["", "Species", "Dilution Info", "Notes"], "tabs": { "all-applications": {"fullname" : "All Applications", "shortname": "All Applications"}, "IHCP" : {"fullname" : "Immunohistochemistry (Formalin/PFA-fixed paraffin-embedded sections)", "shortname":"IHC-P"}, "WB" : {"fullname" : "Western blot", "shortname":"WB"} }, "product-promise": { "all": "all", "testedAndGuaranteed": "tested", "guaranteed": "expected", "predicted": "predicted", "notRecommended": "not-recommended" } }, "values": { "Human": { "IHCP-species-checked": "testedAndGuaranteed", "IHCP-species-dilution-info": "1/100", "IHCP-species-notes": "<p></p>", "WB-species-checked": "testedAndGuaranteed", "WB-species-dilution-info": "1/5000", "WB-species-notes": "<p></p>" }, "Mouse": { "IHCP-species-checked": "predicted", "IHCP-species-dilution-info": "", "IHCP-species-notes": "", "WB-species-checked": "predicted", "WB-species-dilution-info": "", "WB-species-notes": "" } } }

Properties and storage information

Form
Liquid
Purity
IgG fraction
Purification notes
Near homogeneity as judged by SDS-PAGE. The antibody was produced in vitro using hybridomas grown in serum-free medium, and then purified by biochemical fractionation.
Storage buffer
pH: 7.4 Preservative: 0.1% Proclin 300 Solution Constituents: PBS, 30% Glycerol (glycerin, glycerine), 1% BSA
Shipped at conditions
Blue Ice
Appropriate short-term storage duration
1-2 weeks
Appropriate short-term storage conditions
+4°C
Appropriate long-term storage conditions
-20°C
Aliquoting information
Upon delivery aliquot
Storage information
Avoid freeze / thaw cycle|Store in the dark

Supplementary information

This supplementary information is collated from multiple sources and compiled automatically.

Succinate dehydrogenase complex flavoprotein subunit A (SDHA) also known as complex II Fp or SDH2 plays an important role in the mitochondrial electron transport chain and the tricarboxylic acid (TCA) cycle. It functions as a flavoprotein oxidoreductase catalyzing the oxidation of succinate to fumarate. With a molecular mass of approximately 72 kDa SDHA is expressed in the inner mitochondrial membrane of eukaryotic cells where it is a core component of the succinate dehydrogenase complex (SDHC). The complex is essential for cellular respiration and energy production.
Biological function summary

SDHA participates in the TCA cycle by accepting electrons from succinate which it donates to the coenzyme Q in the electron transport chain. This essential role connects SDHA to the regulation of ATP production in cells. SDHA operates as part of the larger succinate dehydrogenase (SDH) complex which includes other subunits such as SDHB SDHC and SDHD. This structurally integrated multisubunit complex influences mitochondrial integrity and cellular energy homeostasis.

Pathways

SDHA is deeply involved in the TCA cycle and oxidative phosphorylation pathway. As a part of these pathways it links to other critical enzymes such as fumarase and aconitase working in concert to drive the conversion of biochemical fuel into usable cellular energy. Its interactions with coenzyme Q and cytochrome complex enzymes are important for electron flow and proton gradient formation across the mitochondrial membrane. Such interactions are central to cellular respiration and energy generation.

Mutations in SDHA correlate with various mitochondrial diseases and cancer syndromes. Specifically SDHA mutations have an association with Leigh syndrome and certain types of mitochondrial complex II deficiency. These mutations disrupt the function of the SDH complex causing metabolic imbalances and energy production issues. Furthermore the integral interaction of SDHA with other SDH subunits means that alterations can impact this entire enzymatic complex with implications for cellular respiration and disease progression.

Product protocols

For this product, it's our understanding that no specific protocols are required. You can visit:

Target data

Flavoprotein (FP) subunit of succinate dehydrogenase (SDH) that is involved in complex II of the mitochondrial electron transport chain and is responsible for transferring electrons from succinate to ubiquinone (coenzyme Q) (PubMed : 10746566, PubMed : 24781757). SDH also oxidizes malate to the non-canonical enol form of oxaloacetate, enol-oxaloacetate (By similarity). Enol-oxaloacetate, which is a potent inhibitor of the succinate dehydrogenase activity, is further isomerized into keto-oxaloacetate (By similarity). Can act as a tumor suppressor (PubMed : 20484225).
See full target information SDHA

Publications (1)

Recent publications for all applications. Explore the full list and refine your search

Molecules (Basel, Switzerland) 26: PubMed33921211

2021

Multiplexed In Situ Protein Profiling with High-Performance Cleavable Fluorescent Tyramide.

Applications

Unspecified application

Species

Unspecified reactive species

Thai Pham,Renjie Liao,Joshua Labaer,Jia Guo
View all publications

Product promise

We are committed to supporting your work with high-quality reagents, and we're here for you every step of the way. In the unlikely event that one of our products does not perform as expected, you're protected by our Product Promise.
For full details, please see our Terms & Conditions

Please note: All products are 'FOR RESEARCH USE ONLY. NOT FOR USE IN DIAGNOSTIC OR THERAPEUTIC PROCEDURES'.

For licensing inquiries, please contact partnerships@abcam.com