JavaScript is disabled in your browser. Please enable JavaScript to view this website.
AB198329

HRP Anti-SDHB antibody [EPR10880]

Be the first to review this product! Submit a review

|

(1 Publication)

Rabbit Recombinant Monoclonal SDHB antibody - conjugated to HRP. Suitable for IHC-P, WB and reacts with Human samples. Cited in 1 publication.

View Alternative Names

SDH, SDH1, SDHB, Iron-sulfur subunit of complex II, Malate dehydrogenase [quinone] iron-sulfur subunit, Ip

2 Images
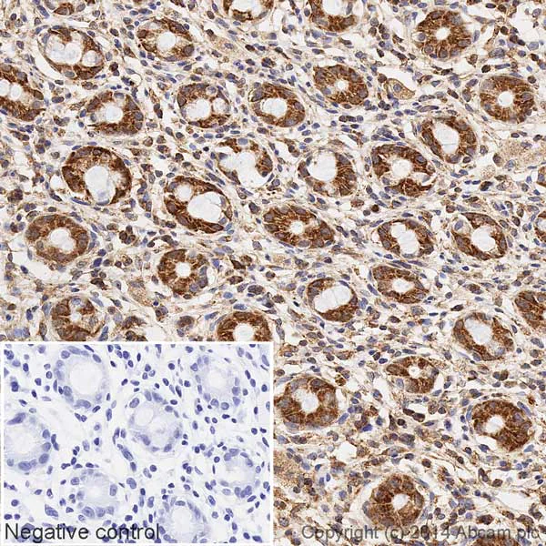
Immunohistochemistry (Formalin/PFA-fixed paraffin-embedded sections) - HRP Anti-SDHB antibody [EPR10880] (AB198329)
  • IHC-P

Lab

Immunohistochemistry (Formalin/PFA-fixed paraffin-embedded sections) - HRP Anti-SDHB antibody [EPR10880] (AB198329)

IHC image of SDHB staining in a section of formalin-fixed paraffin-embedded normal human colon*, performed on a Leica BOND. The section was pre-treated using heat mediated antigen retrieval with sodium citrate buffer (pH6, epitope retrieval solution

  1. for 20mins. The section was then incubated with ab198329, 1/100 dilution, for 15 mins at room temperature. DAB was used as the chromogen. The section was then counterstained with haematoxylin and mounted with DPX. The inset negative control image is taken from an identical assay without primary antibody.

For other IHC staining systems (automated and non-automated) customers should optimize variable parameters such as antigen retrieval conditions, primary antibody concentration and antibody incubation times.

*Tissue obtained from the Human Research Tissue Bank, supported by the NIHR Cambridge Biomedical Research Centre

Western blot - HRP Anti-SDHB antibody [EPR10880] (AB198329)
  • WB

Lab

Western blot - HRP Anti-SDHB antibody [EPR10880] (AB198329)

This blot was produced using a 4-12% Bis-tris gel under the MOPS buffer system. The gel was run at 200V for 50 minutes before being transferred onto a Nitrocellulose membrane at 30V for 70 minutes. The membrane was then blocked for an hour using 3% milk before being incubated with ab198329 overnight at 4°C. Antibody binding was visualised using ECL development solution ab133406.

All lanes:

Western blot - HRP Anti-SDHB antibody [EPR10880] (ab198329) at 1/5000 dilution

All lanes:

Jurkat (Human T cell lymphoblast-like cell line) Whole Cell Lysate at 10 µg

Predicted band size: 32 kDa

Observed band size: 29 kDa

true

Exposure time: 2min

  • Biotin

    Biotin Anti-SDHB antibody [EPR10880]

  • Unconjugated

    Anti-SDHB antibody [EPR10880]

  • Carrier free

    Anti-SDHB antibody [EPR10880] - BSA and Azide free

Key facts

Host species

Rabbit

Clonality

Monoclonal

Clone number

EPR10880

Isotype

IgG

Conjugation

HRP

Excitation/Emission
Carrier free

No

Reacts with

Human

Applications

WB, IHC-P

applications

Immunogen

The exact immunogen used to generate this antibody is proprietary information.

Reactivity data

{ "title": "Reactivity Data", "filters": { "stats": ["", "Species", "Dilution Info", "Notes"], "tabs": { "all-applications": {"fullname" : "All Applications", "shortname": "All Applications"}, "IHCP" : {"fullname" : "Immunohistochemistry (Formalin/PFA-fixed paraffin-embedded sections)", "shortname":"IHC-P"}, "WB" : {"fullname" : "Western blot", "shortname":"WB"} }, "product-promise": { "all": "all", "testedAndGuaranteed": "tested", "guaranteed": "expected", "predicted": "predicted", "notRecommended": "not-recommended" } }, "values": { "Human": { "IHCP-species-checked": "testedAndGuaranteed", "IHCP-species-dilution-info": "1/100", "IHCP-species-notes": "<p></p>", "WB-species-checked": "testedAndGuaranteed", "WB-species-dilution-info": "1/5000", "WB-species-notes": "<p></p>" }, "Mouse": { "IHCP-species-checked": "predicted", "IHCP-species-dilution-info": "", "IHCP-species-notes": "", "WB-species-checked": "predicted", "WB-species-dilution-info": "", "WB-species-notes": "" }, "Rat": { "IHCP-species-checked": "predicted", "IHCP-species-dilution-info": "", "IHCP-species-notes": "", "WB-species-checked": "predicted", "WB-species-dilution-info": "", "WB-species-notes": "" } } }

Product details

Patented technology
Our RabMAb® technology is a patented hybridoma-based technology for making rabbit monoclonal antibodies. For details on our patents, please refer to RabMAb® patents.

What are the advantages of a recombinant monoclonal antibody?
This product is a recombinant monoclonal antibody, which offers several advantages including:

  • - High batch-to-batch consistency and reproducibility
  • - Improved sensitivity and specificity
  • - Long-term security of supply
  • - Animal-free batch production

For more information, read more on recombinant antibodies.

Properties and storage information

Form
Liquid
Purification technique
Affinity purification Protein A
Storage buffer
pH: 7.4 Preservative: 0.1% Proclin 300 Solution Constituents: PBS, 30% Glycerol (glycerin, glycerine), 1% BSA
Shipped at conditions
Blue Ice
Appropriate short-term storage duration
1-2 weeks
Appropriate short-term storage conditions
+4°C
Appropriate long-term storage conditions
-20°C
Aliquoting information
Upon delivery aliquot
Storage information
Avoid freeze / thaw cycle|Store in the dark

Supplementary information

This supplementary information is collated from multiple sources and compiled automatically.

The protein SDHB also known as Succinate Dehydrogenase Complex Iron Sulfur Subunit B plays a mechanical role as a component of the succinate dehydrogenase (SDH) enzyme. This subunit has a molecular mass of approximately 30 kDa. SDHB is part of the mitochondrial inner membrane where it is expressed in high levels across various tissues including heart kidney and muscle. It contributes to the electron transport chain by facilitating the oxidation of succinate to fumarate an important step in energy production through the tricarboxylic acid (TCA) cycle.
Biological function summary

SDHB participates in the succinate dehydrogenase complex acting within both the TCA cycle and the electron transport chain. By transferring electrons to coenzyme Q it helps generate an electrochemical gradient important for ATP synthesis. This complex also called Complex II includes other subunits such as SDHA SDHC and SDHD. Their interactions ensure proper function of metabolic processes within mitochondria bridging the gap between foundational energy metabolism and complex cellular processes.

Pathways

SDHB plays an important role in cellular respiration and metabolic cycles. It resides in the TCA cycle and the mitochondrial electron transport chain connecting its function to energy generation pathways. Specifically SDHB relates closely to SDHA and coenzyme Q all working together to facilitate electron transfer and effective mitochondrial energy output. The transfer of electrons through this pathway highlights its essential contribution to maintaining cellular energy homeostasis.

SDHB mutations are associated with conditions such as paraganglioma and pheochromocytoma. These genetic alterations disrupt normal complex II function leading to the accumulation of succinate and succinate-related oncogenesis. In addition to causing tumor development defective SDHB is linked with familial paraganglioma syndromes. Its interaction with proteins such as SDHA and SDHD critical for the succinate dehydrogenase functionality highlights its significant role in maintaining metabolic balance and when defective contributing to disease pathogenesis.

Product protocols

For this product, it's our understanding that no specific protocols are required. You can visit:

Target data

Iron-sulfur protein (IP) subunit of the succinate dehydrogenase complex (mitochondrial respiratory chain complex II), responsible for transferring electrons from succinate to ubiquinone (coenzyme Q) (PubMed : 26925370, PubMed : 27604842). SDH also oxidizes malate to the non-canonical enol form of oxaloacetate, enol-oxaloacetate (By similarity). Enol-oxaloacetate, which is a potent inhibitor of the succinate dehydrogenase activity, is further isomerized into keto-oxaloacetate (By similarity).
See full target information SDHB

Publications (1)

Recent publications for all applications. Explore the full list and refine your search

Developmental cell 58:2495-2509.e6 PubMed37683630

2023

Usp25-Erlin1/2 activity limits cholesterol flux to restrict virus infection.

Applications

Unspecified application

Species

Unspecified reactive species

Qi Wen Teo,Ho Him Wong,Tiaan Heunis,Viktoriya Stancheva,Asmaa Hachim,Huibin Lv,Lewis Siu,Julian Ho,Yun Lan,Chris Ka Pun Mok,Rachel Ulferts,Sumana Sanyal
View all publications

Product promise

We are committed to supporting your work with high-quality reagents, and we're here for you every step of the way. In the unlikely event that one of our products does not perform as expected, you're protected by our Product Promise.
For full details, please see our Terms & Conditions

Please note: All products are 'FOR RESEARCH USE ONLY. NOT FOR USE IN DIAGNOSTIC OR THERAPEUTIC PROCEDURES'.

For licensing inquiries, please contact partnerships@abcam.com