JavaScript is disabled in your browser. Please enable JavaScript to view this website.
AB201747

HRP Anti-SF3a66 antibody [4G8]

Be the first to review this product! Submit a review

|

(1 Publication)

Mouse Monoclonal SF3a66 antibody - conjugated to HRP. Suitable for IHC-P and reacts with Human samples. Cited in 1 publication.

View Alternative Names

Splicing factor 3A subunit 2

1 Images
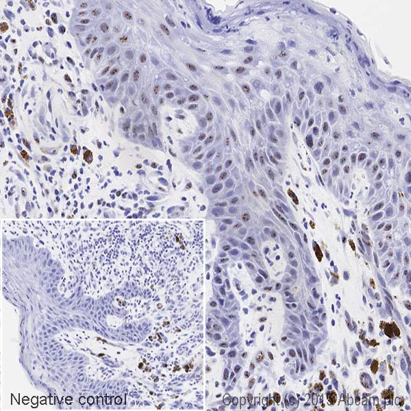
Immunohistochemistry (Formalin/PFA-fixed paraffin-embedded sections) - HRP Anti-SF3a66 antibody [4G8] (AB201747)
  • IHC-P

Unknown

Immunohistochemistry (Formalin/PFA-fixed paraffin-embedded sections) - HRP Anti-SF3a66 antibody [4G8] (AB201747)

IHC image of SF3a66 staining in a section of formalin-fixed paraffin-embedded human normal skin*, performed on a Leica BOND. The section was pre-treated using heat mediated antigen retrieval with sodium citrate buffer (pH6, epitope retrieval solution 1) for 20mins. The section was then incubated with ab201747, 1/100 dilution, for 15 mins at room temperature. DAB was used as the chromogen. The section was then counterstained with haematoxylin and mounted with DPX. The inset negative control image is taken from an identical assay without primary antibody.

For other IHC staining systems (automated and non-automated) customers should optimize variable parameters such as antigen retrieval conditions, primary antibody concentration and antibody incubation times.

*Tissue obtained from the Human Research Tissue Bank, supported by the NIHR Cambridge Biomedical Research Centre.

Key facts

Host species

Mouse

Clonality

Monoclonal

Clone number

4G8

Isotype

IgG1

Conjugation

HRP

Excitation/Emission
Carrier free

No

Reacts with

Human

Applications

IHC-P

applications

Immunogen

The exact immunogen used to generate this antibody is proprietary information.

Epitope

C-terminal, amino acids 212-464.

Reactivity data

{ "title": "Reactivity Data", "filters": { "stats": ["", "Species", "Dilution Info", "Notes"], "tabs": { "all-applications": {"fullname" : "All Applications", "shortname": "All Applications"}, "IHCP" : {"fullname" : "Immunohistochemistry (Formalin/PFA-fixed paraffin-embedded sections)", "shortname":"IHC-P"} }, "product-promise": { "all": "all", "testedAndGuaranteed": "tested", "guaranteed": "expected", "predicted": "predicted", "notRecommended": "not-recommended" } }, "values": { "Human": { "IHCP-species-checked": "testedAndGuaranteed", "IHCP-species-dilution-info": "1/100", "IHCP-species-notes": "<p></p>" }, "Rat": { "IHCP-species-checked": "predicted", "IHCP-species-dilution-info": "", "IHCP-species-notes": "" }, "Monkey": { "IHCP-species-checked": "predicted", "IHCP-species-dilution-info": "", "IHCP-species-notes": "" } } }

Properties and storage information

Form
Liquid
Purification technique
Affinity purification
Storage buffer
pH: 7.4 Preservative: 0.1% Proclin 300 Solution Constituents: PBS, 30% Glycerol (glycerin, glycerine), 1% BSA
Shipped at conditions
Blue Ice
Appropriate short-term storage duration
1-2 weeks
Appropriate short-term storage conditions
+4°C
Appropriate long-term storage conditions
-20°C
Aliquoting information
Upon delivery aliquot
Storage information
Avoid freeze / thaw cycle|Store in the dark

Supplementary information

This supplementary information is collated from multiple sources and compiled automatically.

SF3a66 also known as SAP62 is a component of the SF3a complex and plays a role in pre-mRNA splicing. This protein has a mass of approximately 66 kDa. SF3a66 is expressed in various tissues and it is a subunit of the larger spliceosome machinery which is essential for the accurate removal of introns from pre-mRNA. Additionally SF3a66 interacts with other spliceosome components assisting in the assembly and stability of the spliceosome.
Biological function summary

SF3a66 functions as part of the SF3a complex which also includes SF3a120 and SF3a60. This protein complex binds to the U2 small nuclear ribonucleoprotein (snRNP) to stabilize the interaction with pre-mRNA branchpoint sequences. SF3a66 modulates the splicing accuracy and participates in splice site selection which is a critical step for mRNA maturation and translation. The role of SF3a66 in this process emphasizes its function in gene expression regulation.

Pathways

SF3a66 is an important factor in the mRNA splicing pathway. It interacts with the SUPT6H and SF3b subunits also components of the spliceosome to mediate spliceosome assembly and catalysis. The proper function of SF3a66 influences the expression of genes involved in vital pathways such as the cell cycle and DNA damage response. Through its interactions within these pathways SF3a66 helps coordinate gene expression with cellular responses to internal and external stimuli.

SF3a66 has been implicated in cancer and neurodegenerative diseases. Mutations or aberrant expression of SF3a66 can lead to mis-splicing events and oncogenesis. For instance abnormal SF3a66 function has been linked with breast cancer where it may alter the expression of tumor suppressor genes by improper splicing. In the context of neurodegenerative diseases SF3a66's association with the TDP-43 protein points to its involvement in disorders such as amyotrophic lateral sclerosis (ALS) where RNA metabolism is disrupted.

Product protocols

For this product, it's our understanding that no specific protocols are required. You can visit:

Target data

Component of the 17S U2 SnRNP complex of the spliceosome, a large ribonucleoprotein complex that removes introns from transcribed pre-mRNAs. The 17S U2 SnRNP complex (1) directly participates in early spliceosome assembly and (2) mediates recognition of the intron branch site during pre-mRNA splicing by promoting the selection of the pre-mRNA branch-site adenosine, the nucleophile for the first step of splicing. Within the 17S U2 SnRNP complex, SF3A2 is part of the SF3A subcomplex that contributes to the assembly of the 17S U2 snRNP, and the subsequent assembly of the pre-spliceosome 'E' complex and the pre-catalytic spliceosome 'A' complex. Involved in pre-mRNA splicing as a component of pre-catalytic spliceosome 'B' complexes, including the Bact complex. Interacts directly with the duplex formed by U2 snRNA and the intron.
See full target information Sf3a2

Publications (1)

Recent publications for all applications. Explore the full list and refine your search

Biomicrofluidics 18:054105 PubMed39280192

2024

An multi-organ microphysiological system (MPS) to investigate the gut-to-brain translocation of neurotoxins.

Applications

Unspecified application

Species

Unspecified reactive species

Emily J Jones,Benjamin M Skinner,Aimee Parker,Lydia R Baldwin,John Greenman,Simon R Carding,Simon G P Funnell
View all publications

Product promise

We are committed to supporting your work with high-quality reagents, and we're here for you every step of the way. In the unlikely event that one of our products does not perform as expected, you're protected by our Product Promise.
For full details, please see our Terms & Conditions

Please note: All products are 'FOR RESEARCH USE ONLY. NOT FOR USE IN DIAGNOSTIC OR THERAPEUTIC PROCEDURES'.

For licensing inquiries, please contact partnerships@abcam.com