JavaScript is disabled in your browser. Please enable JavaScript to view this website.
AB185065

HRP Anti-Sodium Potassium ATPase antibody [EP1845Y] - Plasma Membrane Loading Control

Be the first to review this product! Submit a review

|

(18 Publications)

Rabbit Recombinant Monoclonal alpha 1 Sodium Potassium ATPase antibody - conjugated to HRP. Suitable for IHC-P, WB and reacts with Mouse, Rat, Human samples. Cited in 18 publications.

View Alternative Names

Sodium/potassium-transporting ATPase subunit alpha-1, Na(+)/K(+) ATPase alpha-1 subunit, Sodium pump subunit alpha-1, ATP1A1

4 Images
Immunohistochemistry (Formalin/PFA-fixed paraffin-embedded sections) - HRP Anti-Sodium Potassium ATPase antibody [EP1845Y] - Plasma Membrane Loading Control (AB185065)
  • IHC-P

Lab

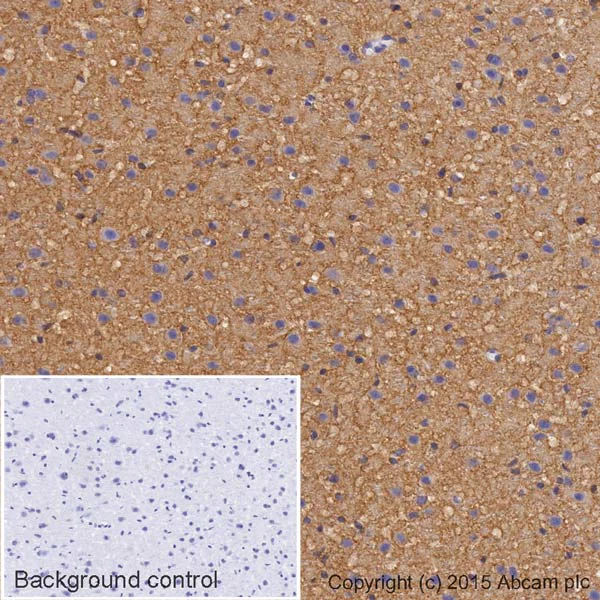
Immunohistochemistry (Formalin/PFA-fixed paraffin-embedded sections) - HRP Anti-Sodium Potassium ATPase antibody [EP1845Y] - Plasma Membrane Loading Control (AB185065)

IHC image of Sodium Potassium ATPase staining in a section of formalin-fixed paraffin-embedded Human brain (cerebral cortex). The section was pre-treated using pressure cooker heat mediated antigen retrieval with sodium citrate buffer (pH6) for 30mins. The section was incubated with ab185065, 1μg/ml overnight at +4°C. The section was counterstained with haematoxylin and mounted with DPX.

The inset negative control image is taken from an identical assay without primary antibody.

For other IHC staining systems (automated and non-automated) customers should optimize variable parameters such as antigen retrieval conditions, primary antibody concentration and antibody incubation times.

Immunohistochemistry (Formalin/PFA-fixed paraffin-embedded sections) - HRP Anti-Sodium Potassium ATPase antibody [EP1845Y] - Plasma Membrane Loading Control (AB185065)
  • IHC-P

Lab

Immunohistochemistry (Formalin/PFA-fixed paraffin-embedded sections) - HRP Anti-Sodium Potassium ATPase antibody [EP1845Y] - Plasma Membrane Loading Control (AB185065)

IHC image of Sodium Potassium ATPase staining in a section of formalin-fixed paraffin-embedded normal mouse brain, performed on a Leica BONDTM. The section was pre-treated using heat mediated antigen retrieval with sodium citrate buffer (pH6, epitope retrieval solution 1) for 20mins. The section was then incubated with ab185065, 1/100 dilution, for 15 mins at room temperature. DAB was used as the chromogen. The section was then counterstained with haematoxylin and mounted with DPX.

The inset background control image is taken from an identical assay without primary antibody.

For other IHC staining systems (automated and non-automated) customers should optimize variable parameters such as antigen retrieval conditions, primary antibody concentration and antibody incubation times.

Immunohistochemistry (Formalin/PFA-fixed paraffin-embedded sections) - HRP Anti-Sodium Potassium ATPase antibody [EP1845Y] - Plasma Membrane Loading Control (AB185065)
  • IHC-P

Lab

Immunohistochemistry (Formalin/PFA-fixed paraffin-embedded sections) - HRP Anti-Sodium Potassium ATPase antibody [EP1845Y] - Plasma Membrane Loading Control (AB185065)

IHC image of Sodium Potassium ATPase staining in a section of formalin-fixed paraffin-embedded normal rat brain, performed on a Leica BONDTM. The section was pre-treated using heat mediated antigen retrieval with sodium citrate buffer (pH6, epitope retrieval solution 1) for 20mins. The section was then incubated with ab185065, 1/100 dilution, for 15 mins at room temperature. DAB was used as the chromogen. The section was then counterstained with haematoxylin and mounted with DPX.

The inset background control image is taken from an identical assay without primary antibody.

For other IHC staining systems (automated and non-automated) customers should optimize variable parameters such as antigen retrieval conditions, primary antibody concentration and antibody incubation times.

Western blot - HRP Anti-Sodium Potassium ATPase antibody [EP1845Y] - Plasma Membrane Loading Control (AB185065)
  • WB

Unknown

Western blot - HRP Anti-Sodium Potassium ATPase antibody [EP1845Y] - Plasma Membrane Loading Control (AB185065)

This blot was produced using a 4-12% Bis-tris gel under the MOPS buffer system. The gel was run at 200V for 50 minutes before being transferred onto a Nitrocellulose membrane at 30V for 70 minutes. The membrane was then blocked for an hour using 3% milk before being incubated with ab185065 overnight at 4°C. Antibody binding was visualised using ECL development solution ab133406.

All lanes:

Western blot - HRP Anti-Sodium Potassium ATPase antibody [EP1845Y] - Plasma Membrane Loading Control (ab185065) at 1/5000 dilution

Lane 1:

Western blot - HeLa whole cell lysate (<a href='/en-us/products/cell-lysates/hela-whole-cell-lysate-ab150035'>ab150035</a>) at 10 µg

Lane 2:

HEK293 (Human embryonic kidney cell line) Whole Cell Lysate at 10 µg

Predicted band size: 113 kDa

Observed band size: 100 kDa

true

Exposure time: 30s

  • 565 Alexa Fluor® 555

    Alexa Fluor® 555 Anti-Sodium Potassium ATPase antibody [EP1845Y] - Plasma Membrane Marker

  • 421 Alexa Fluor® 405

    Alexa Fluor® 405 Anti-Sodium Potassium ATPase antibody [EP1845Y] - Plasma Membrane Marker

  • 519 Alexa Fluor® 488

    Alexa Fluor® 488 Anti-Sodium Potassium ATPase antibody [EP1845Y] - Plasma Membrane Marker

  • Biotin

    Biotin Anti-Sodium Potassium ATPase antibody [EP1845Y] - Plasma Membrane Marker

  • 665 Alexa Fluor® 647

    Alexa Fluor® 647 Anti-Sodium Potassium ATPase antibody [EP1845Y] - Plasma Membrane Marker

  • 578 PE

    PE Anti-Sodium Potassium ATPase antibody [EP1845Y] - Plasma Membrane Marker

  • 660 APC

    APC Anti-Sodium Potassium ATPase antibody [EP1845Y] - Plasma Membrane Marker

  • Unconjugated

    Anti-Sodium Potassium ATPase antibody [EP1845Y] - Plasma Membrane Loading Control

  • Carrier free

    Anti-Sodium Potassium ATPase antibody [EP1845Y] - BSA and Azide free

Key facts

Host species

Rabbit

Clonality

Monoclonal

Clone number

EP1845Y

Isotype

IgG

Conjugation

HRP

Excitation/Emission
Carrier free

No

Reacts with

Mouse, Rat, Human

Applications

IHC-P, WB

applications

Immunogen

The exact immunogen used to generate this antibody is proprietary information.

Reactivity data

{ "title": "Reactivity Data", "filters": { "stats": ["", "Species", "Dilution Info", "Notes"], "tabs": { "all-applications": {"fullname" : "All Applications", "shortname": "All Applications"}, "IHCP" : {"fullname" : "Immunohistochemistry (Formalin/PFA-fixed paraffin-embedded sections)", "shortname":"IHC-P"}, "WB" : {"fullname" : "Western blot", "shortname":"WB"} }, "product-promise": { "all": "all", "testedAndGuaranteed": "tested", "guaranteed": "expected", "predicted": "predicted", "notRecommended": "not-recommended" } }, "values": { "Human": { "IHCP-species-checked": "testedAndGuaranteed", "IHCP-species-dilution-info": "1 µg/mL", "IHCP-species-notes": "<p><a href='/en-us/products/primary-antibodies/hrp-rabbit-igg-monoclonal-epr25a-isotype-control-ab199507'>ab199507</a> - Rabbit monoclonal IgG (HRP), is suitable for use an as isotype control with this antibody.</p> Perform heat-mediated antigen retrieval before commencing with IHC staining protocol.", "WB-species-checked": "testedAndGuaranteed", "WB-species-dilution-info": "1/5000", "WB-species-notes": "<p></p>" }, "Mouse": { "IHCP-species-checked": "testedAndGuaranteed", "IHCP-species-dilution-info": "1 µg/mL", "IHCP-species-notes": "<p><a href='/en-us/products/primary-antibodies/hrp-rabbit-igg-monoclonal-epr25a-isotype-control-ab199507'>ab199507</a> - Rabbit monoclonal IgG (HRP), is suitable for use an as isotype control with this antibody.</p> Perform heat-mediated antigen retrieval before commencing with IHC staining protocol.", "WB-species-checked": "guaranteed", "WB-species-dilution-info": "", "WB-species-notes": "" }, "Rat": { "IHCP-species-checked": "testedAndGuaranteed", "IHCP-species-dilution-info": "1 µg/mL", "IHCP-species-notes": "<p><a href='/en-us/products/primary-antibodies/hrp-rabbit-igg-monoclonal-epr25a-isotype-control-ab199507'>ab199507</a> - Rabbit monoclonal IgG (HRP), is suitable for use an as isotype control with this antibody.</p> Perform heat-mediated antigen retrieval before commencing with IHC staining protocol.", "WB-species-checked": "guaranteed", "WB-species-dilution-info": "", "WB-species-notes": "" }, "Tilapia": { "IHCP-species-checked": "predicted", "IHCP-species-dilution-info": "", "IHCP-species-notes": "", "WB-species-checked": "predicted", "WB-species-dilution-info": "", "WB-species-notes": "" } } }

Product details

Patented technology
Our RabMAb® technology is a patented hybridoma-based technology for making rabbit monoclonal antibodies. For details on our patents, please refer to RabMAb® patents.

Properties and storage information

Form
Liquid
Purification technique
Affinity purification Protein A
Storage buffer
pH: 7.4 Preservative: 0.1% Proclin 300 Solution Constituents: PBS, 30% Glycerol (glycerin, glycerine), 1% BSA
Shipped at conditions
Blue Ice
Appropriate short-term storage duration
1-2 weeks
Appropriate short-term storage conditions
+4°C
Appropriate long-term storage conditions
-20°C
Aliquoting information
Upon delivery aliquot
Storage information
Avoid freeze / thaw cycle|Store in the dark

Supplementary information

This supplementary information is collated from multiple sources and compiled automatically.

The Sodium Potassium ATPase also known as Na/K-ATPase or NaK Pump is an essential enzyme that performs active transport of sodium (Na+) and potassium (K+) ions across the plasma membrane. This transmembrane protein has a molecular weight typically ranging from 100 to 120 kDa. It is expressed in most cell types particularly abundant in nerve and muscle cells. The ATPase hydrolyzes ATP to drive the exchange of three intracellular sodium ions for two extracellular potassium ions maintaining vital gradients across the cell membrane.
Biological function summary

The Na/K ATPase plays an important role in maintaining cellular homeostasis and membrane potential. It is an integral component of the cell membrane often operating as part of larger multiprotein complexes. This pump is responsible for providing the driving force behind secondary transport systems by maintaining ionic gradients. The presence of Na/K ATPase is also important for the functioning of the nervous system as it helps propagate action potentials in neurons.

Pathways

The Na/K ATPase is integral to the regulation of cardiac contraction and nerve signal transmission. It participates in pathways like the cardiac glycoside pharmacodynamics and the sodium ion transport pathway. It interacts with proteins such as ankyrin which link the ATPase to the cellular cytoskeleton facilitating its distribution and stability within the cell membrane. These interactions are significant for ensuring precise ion homeostasis and efficient cellular operation.

Na/K ATPase is linked to conditions such as hypertension and congestive heart failure. These diseases are associated with improper functioning or regulation of the ATPase which affects sodium and potassium balance and blood pressure regulation. The target also interacts with the protein PLM (phospholemman) which modulates its activity under different physiological and pathological conditions. Malfunction or mutations in the genes encoding Na/K ATPase subunits can contribute to neurological and cardiovascular disorders making it a therapeutic target in associated treatment strategies.

Product protocols

For this product, it's our understanding that no specific protocols are required. You can visit:

Target data

This is the catalytic component of the active enzyme, which catalyzes the hydrolysis of ATP coupled with the exchange of sodium and potassium ions across the plasma membrane. This action creates the electrochemical gradient of sodium and potassium ions, providing the energy for active transport of various nutrients (PubMed : 29499166, PubMed : 30388404). Could also be part of an osmosensory signaling pathway that senses body-fluid sodium levels and controls salt intake behavior as well as voluntary water intake to regulate sodium homeostasis (By similarity).
See full target information ATP1A1

Publications (18)

Recent publications for all applications. Explore the full list and refine your search

Hepatology communications 8: PubMed38381537

2024

Alterations in zonal distribution and plasma membrane localization of hepatocyte bile acid transporters in patients with NAFLD.

Applications

Unspecified application

Species

Unspecified reactive species

William A Murphy,Anna Mae Diehl,Matthew Shane Loop,Dong Fu,Cynthia D Guy,Manal F Abdelmalek,Georgia Sofia Karachaliou,Noora Sjöstedt,Sibylle Neuhoff,Paavo Honkakoski,Kim L R Brouwer

Scientific reports 13:4663 PubMed36949141

2023

NTSR1 glycosylation and MMP dependent cleavage generate three distinct forms of the protein.

Applications

Unspecified application

Species

Unspecified reactive species

Fotine Libanje,Raphael Delille,Pamela A Young,Sylvie Rolland,Florence Meyer-Losic,Elodie Lewkowicz,Stephan Klinz

Animal nutrition (Zhongguo xu mu shou yi xue hui) 10:12-18 PubMed35601254

2022

The ubiquitin ligase Nedd4-2 mediates the regulation of PepT2 by mTORC1 in bovine mammary epithelial cells.

Applications

Unspecified application

Species

Unspecified reactive species

Caihong Wang,Fengqi Zhao,Jianxin Liu,Hongyun Liu

The Journal of pharmacology and experimental therapeutics 380:114-125 PubMed34794962

2021

Novel Bile Acid-Dependent Mechanisms of Hepatotoxicity Associated with Tyrosine Kinase Inhibitors.

Applications

Unspecified application

Species

Unspecified reactive species

Chitra Saran,Louise Sundqvist,Henry Ho,Jonna Niskanen,Paavo Honkakoski,Kim L R Brouwer

eLife 10: PubMed34766907

2021

The molecular appearance of native TRPM7 channel complexes identified by high-resolution proteomics.

Applications

Unspecified application

Species

Unspecified reactive species

Astrid Kollewe,Vladimir Chubanov,Fong Tsuen Tseung,Leonor Correia,Eva Schmidt,Anna Rössig,Susanna Zierler,Alexander Haupt,Catrin Swantje Müller,Wolfgang Bildl,Uwe Schulte,Annette Nicke,Bernd Fakler,Thomas Gudermann

Cell reports 36:109392 PubMed34289364

2021

LYSMD3: A mammalian pattern recognition receptor for chitin.

Applications

Unspecified application

Species

Unspecified reactive species

Xin He,Brad A Howard,Yang Liu,Aaron K Neumann,Liwu Li,Nidhi Menon,Tiffany Roach,Shiv D Kale,David C Samuels,Hongyan Li,Trenton Kite,Hirohito Kita,Tony Y Hu,Mengyao Luo,Caroline N Jones,Uju Joy Okaa,Diane L Squillace,Bruce S Klein,Christopher B Lawrence

Toxicological sciences : an official journal of the Society of Toxicology 176:34-35 PubMed32294204

2020

Role of Organic Solute Transporter Alpha/Beta in Hepatotoxic Bile Acid Transport and Drug Interactions.

Applications

Unspecified application

Species

Unspecified reactive species

James J Beaudoin,Jacqueline Bezençon,Noora Sjöstedt,John K Fallon,Kim L R Brouwer

The journal of pathology. Clinical research 5:12-24 PubMed30191677

2018

High frequency of CD74 expression in lymphomas: implications for targeted therapy using a novel anti-CD74-drug conjugate.

Applications

Unspecified application

Species

Unspecified reactive species

Shuchun Zhao,Arturo Molina,Abigail Yu,Jeff Hanson,Harry Cheung,Xiaofan Li,Yasodha Natkunam

Frontiers in pharmacology 9:814 PubMed30104974

2018

Gambogic Acid and Its Analogs Inhibit Gap Junctional Intercellular Communication.

Applications

Unspecified application

Species

Unspecified reactive species

Eun J Choi,Joo H Yeo,Sei M Yoon,Jinu Lee

BioTechniques 63:253-260 PubMed29235971

2017

Western blot analysis of cells encapsulated in self-assembling peptide hydrogels.

Applications

Unspecified application

Species

Unspecified reactive species

Kyle A Burgess,Aline F Miller,Delvac Oceandy,Alberto Saiani
View all publications

Product promise

We are committed to supporting your work with high-quality reagents, and we're here for you every step of the way. In the unlikely event that one of our products does not perform as expected, you're protected by our Product Promise.
For full details, please see our Terms & Conditions

Please note: All products are 'FOR RESEARCH USE ONLY. NOT FOR USE IN DIAGNOSTIC OR THERAPEUTIC PROCEDURES'.

For licensing inquiries, please contact partnerships@abcam.com