JavaScript is disabled in your browser. Please enable JavaScript to view this website.
AB196480

HRP Anti-STAT6 antibody [YE361]

Be the first to review this product! Submit a review

|

(1 Publication)

Rabbit Recombinant Monoclonal STAT6 antibody - conjugated to HRP. Suitable for IHC-P, WB and reacts with Human, Mouse samples. Cited in 1 publication.

View Alternative Names

Signal transducer and activator of transcription 6, IL-4 Stat, STAT6

2 Images
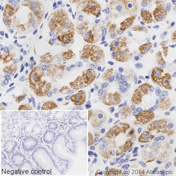
Immunohistochemistry (Formalin/PFA-fixed paraffin-embedded sections) - HRP Anti-STAT6 antibody [YE361] (AB196480)
  • IHC-P

Lab

Immunohistochemistry (Formalin/PFA-fixed paraffin-embedded sections) - HRP Anti-STAT6 antibody [YE361] (AB196480)

IHC image of STAT6 staining in a section of formalin-fixed paraffin-embedded normal human stomach*, performed on a Leica BOND. The section was pre-treated using heat mediated antigen retrieval with sodium citrate buffer (pH6, epitope retrieval solution 1) for 20mins. The section was then incubated with ab196480 at 1/100 dilution, for 15 mins at room temperature. DAB was used as the chromogen. The section was then counterstained with haematoxylin and mounted with DPX. The inset negative control image is taken from an identical assay without primary antibody.

For other IHC staining systems (automated and non-automated) customers should optimize variable parameters such as antigen retrieval conditions, primary antibody concentration and antibody incubation times.

*Tissue obtained from the Human Research Tissue Bank, supported by the NIHR Cambridge Biomedical Research Centre.

Western blot - HRP Anti-STAT6 antibody [YE361] (AB196480)
  • WB

Lab

Western blot - HRP Anti-STAT6 antibody [YE361] (AB196480)

This blot was produced using a 4-12% Bis-tris gel under the MOPS buffer system. The gel was run at 200V for 50 minutes before being transferred onto a Nitrocellulose membrane at 30V for 70 minutes. The membrane was then blocked for an hour using 3% milk before being incubated with ab196480 overnight at 4°C. Antibody binding was visualised using ECL development solution ab133406.

All lanes:

Western blot - HRP Anti-STAT6 antibody [YE361] (ab196480) at 1/5000 dilution

All lanes:

NIH 3T3 (Mouse embryonic fibroblast cell line) Whole Cell Lysate at 10 µg

Predicted band size: 108 kDa,94 kDa

Observed band size: 100 kDa,120 kDa

true

Exposure time: 20min

Key facts

Host species

Rabbit

Clonality

Monoclonal

Clone number

YE361

Isotype

IgG

Conjugation

HRP

Excitation/Emission
Carrier free

No

Reacts with

Mouse, Human

Applications

IHC-P, WB

applications

Immunogen

The exact immunogen used to generate this antibody is proprietary information.

Reactivity data

{ "title": "Reactivity Data", "filters": { "stats": ["", "Species", "Dilution Info", "Notes"], "tabs": { "all-applications": {"fullname" : "All Applications", "shortname": "All Applications"}, "IHCP" : {"fullname" : "Immunohistochemistry (Formalin/PFA-fixed paraffin-embedded sections)", "shortname":"IHC-P"}, "WB" : {"fullname" : "Western blot", "shortname":"WB"} }, "product-promise": { "all": "all", "testedAndGuaranteed": "tested", "guaranteed": "expected", "predicted": "predicted", "notRecommended": "not-recommended" } }, "values": { "Human": { "IHCP-species-checked": "testedAndGuaranteed", "IHCP-species-dilution-info": "1/100", "IHCP-species-notes": "<p></p>", "WB-species-checked": "guaranteed", "WB-species-dilution-info": "", "WB-species-notes": "" }, "Mouse": { "IHCP-species-checked": "guaranteed", "IHCP-species-dilution-info": "", "IHCP-species-notes": "", "WB-species-checked": "testedAndGuaranteed", "WB-species-dilution-info": "1/5000", "WB-species-notes": "<p></p>" } } }

Product details

Patented technology
Our RabMAb® technology is a patented hybridoma-based technology for making rabbit monoclonal antibodies. For details on our patents, please refer to RabMAb® patents.

Properties and storage information

Form
Liquid
Purification technique
Affinity purification Protein A
Storage buffer
pH: 7.4 Preservative: 0.1% Proclin 300 Solution Constituents: PBS, 30% Glycerol (glycerin, glycerine), 1% BSA
Shipped at conditions
Blue Ice
Appropriate short-term storage duration
1-2 weeks
Appropriate short-term storage conditions
+4°C
Appropriate long-term storage conditions
-20°C
Aliquoting information
Upon delivery aliquot
Storage information
Avoid freeze / thaw cycle|Store in the dark

Supplementary information

This supplementary information is collated from multiple sources and compiled automatically.

STAT6 also known as Signal Transducer and Activator of Transcription 6 is a transcription factor with a mass of around 94 kDa. This protein is an important component in the signaling pathways that respond to cytokines especially those of the IL-4 and IL-13 receptors. STAT6 mainly expresses in immune cells including T cells B cells and macrophages. It exists in the cytoplasm until the cytokine stimulation prompts its phosphorylation and translocation to the nucleus where it influences gene expression.
Biological function summary

STAT6 plays a central role in the development and function of Th2 cells a subset of T helper cells. The protein controls genes linked to the immune response and inflammation such as IL-4 and IL-13 by binding to specific DNA sequences as part of the transcriptional complex. These processes are critical for antibody class switching in B cells and also for regulating the differentiation of T cells which are processes important in defending against parasitic infections and are linked to allergies.

Pathways

STAT6 functions mainly in the JAK-STAT signaling pathway a pathway important for transmitting information from chemical signals outside cells to the cell nucleus resulting in DNA transcription. Within this pathway STAT6 works closely with JAK1 and JAK3 kinases which phosphorylate STAT6 enabling its activation. The protein also connects with other members of the STAT family like STAT1 and STAT3 during overlapping signaling processes.

STAT6 has associations with asthma and certain types of cancer such as colorectal cancer. In asthma STAT6 influences the production of IgE and eosinophilic inflammation often connected to allergic responses. Meanwhile STAT6 promotes tumorigenesis in some cancers by regulating genes responsible for cell survival and proliferation. It connects with proteins like IL-4 and IL-13 in these disorders which suggests potential therapeutic targets for treatment.

Product protocols

For this product, it's our understanding that no specific protocols are required. You can visit:

Target data

Carries out a dual function : signal transduction and activation of transcription. Involved in IL4/interleukin-4- and IL3/interleukin-3-mediated signaling.
See full target information STAT6

Publications (1)

Recent publications for all applications. Explore the full list and refine your search

Journal of immunology (Baltimore, Md. : 1950) 211:414-428 PubMed37314520

2023

Epigenetic Regulation of Leukocyte Inflammatory Mediator Production Dictates Staphylococcus aureus Craniotomy Infection Outcome.

Applications

Unspecified application

Species

Unspecified reactive species

Zachary Van Roy,Wen Shi,Gunjan Kak,Bin Duan,Tammy Kielian
View all publications

Product promise

We are committed to supporting your work with high-quality reagents, and we're here for you every step of the way. In the unlikely event that one of our products does not perform as expected, you're protected by our Product Promise.
For full details, please see our Terms & Conditions

Please note: All products are 'FOR RESEARCH USE ONLY. NOT FOR USE IN DIAGNOSTIC OR THERAPEUTIC PROCEDURES'.

For licensing inquiries, please contact partnerships@abcam.com