JavaScript is disabled in your browser. Please enable JavaScript to view this website.
AB205796

HRP Anti-TOMM20 antibody [EPR15581-39] - Mitochondrial Marker

Be the first to review this product! Submit a review

|

(1 Publication)

Rabbit Recombinant Monoclonal TOMM20 antibody - conjugated to HRP. Mitochondrion marker. Suitable for IHC-P, WB and reacts with Human, Mouse, Rat samples. Cited in 1 publication.

View Alternative Names

KIAA0016, TOMM20, Mitochondrial import receptor subunit TOM20 homolog, Mitochondrial 20 kDa outer membrane protein, Outer mitochondrial membrane receptor Tom20

2 Images
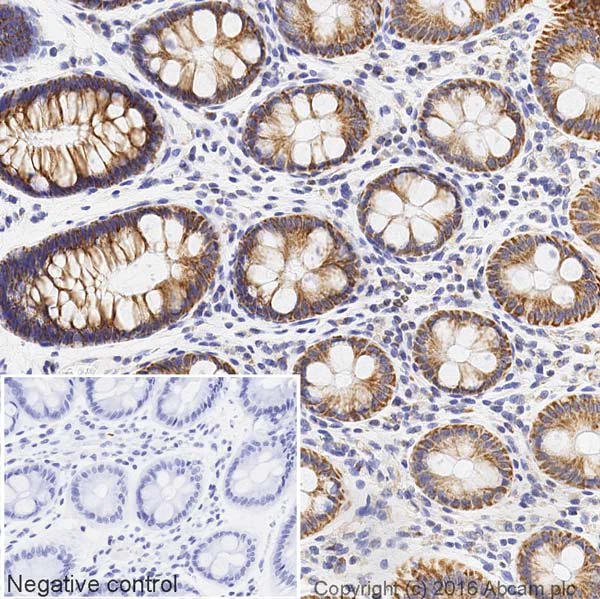
Immunohistochemistry (Formalin/PFA-fixed paraffin-embedded sections) - HRP Anti-TOMM20 antibody [EPR15581-39] - Mitochondrial Marker (AB205796)
  • IHC-P

Lab

Immunohistochemistry (Formalin/PFA-fixed paraffin-embedded sections) - HRP Anti-TOMM20 antibody [EPR15581-39] - Mitochondrial Marker (AB205796)

IHC image of TOMM20 staining in a section of formalin-fixed paraffin-embedded normal human colon*, performed on a Leica BONDTM. The section was pre-treated using heat mediated antigen retrieval with sodium citrate buffer (pH6, epitope retrieval solution 1) for 20mins. The section was then incubated with ab205796, 1/250 dilution, for 15 mins at room temperature. DAB was used as the chromogen. The section was then counterstained with haematoxylin and mounted with DPX. The inset negative control image is taken from an identical assay without primary antibody.

For other IHC staining systems (automated and non-automated) customers should optimize variable parameters such as antigen retrieval conditions, primary antibody concentration and antibody incubation times.

*Tissue obtained from the Human Research Tissue Bank, supported by the NIHR Cambridge Biomedical Research Centre

Western blot - HRP Anti-TOMM20 antibody [EPR15581-39] - Mitochondrial Marker (AB205796)
  • WB

Lab

Western blot - HRP Anti-TOMM20 antibody [EPR15581-39] - Mitochondrial Marker (AB205796)

This blot was produced using a 4-12% Bis-tris gel under the MES buffer system. The gel was run at 200V for 35 minutes before being transferred onto a Nitrocellulose membrane at 30V for 70 minutes. The membrane was then blocked for an hour using 3% milk before being incubated with ab205796 overnight at 4°C. Antibody binding was visualised using ECL development solution ab133406.

All lanes:

Western blot - HRP Anti-TOMM20 antibody [EPR15581-39] - Mitochondrial Marker (ab205796) at 1/5000 dilution

Lane 1:

HepG2 (Human hepatocellular liver carcinoma cell line) Whole Cell Lysate at 10 µg

Lane 2:

HeLa (Human epithelial carcinoma cell line) Whole Cell Lysate at 10 µg

Predicted band size: 16 kDa

Observed band size: 15 kDa

true

Exposure time: 1min

  • 565 Alexa Fluor® 555

    Alexa Fluor® 555 Anti-TOMM20 antibody [EPR15581-39] - Mitochondrial Marker

  • 665 Alexa Fluor® 647

    Alexa Fluor® 647 Anti-TOMM20 antibody [EPR15581-39] - Mitochondrial Marker

  • 519 Alexa Fluor® 488

    Alexa Fluor® 488 Anti-TOMM20 antibody [EPR15581-39] - Mitochondrial Marker

  • Unconjugated

    Anti-TOMM20 antibody [EPR15581-39] - Mitochondrial Marker

  • Carrier free

    Anti-TOMM20 antibody [EPR15581-39] - BSA and Azide free

Key facts

Host species

Rabbit

Clonality

Monoclonal

Clone number

EPR15581-39

Isotype

IgG

Conjugation

HRP

Excitation/Emission
Carrier free

No

Reacts with

Human, Human, Mouse, Rat

Applications

WB, IHC-P

applications

Immunogen

The exact immunogen used to generate this antibody is proprietary information.

Reactivity data

{ "title": "Reactivity Data", "filters": { "stats": ["", "Species", "Dilution Info", "Notes"], "tabs": { "all-applications": {"fullname" : "All Applications", "shortname": "All Applications"}, "IHCP" : {"fullname" : "Immunohistochemistry (Formalin/PFA-fixed paraffin-embedded sections)", "shortname":"IHC-P"}, "WB" : {"fullname" : "Western blot", "shortname":"WB"} }, "product-promise": { "all": "all", "testedAndGuaranteed": "tested", "guaranteed": "expected", "predicted": "predicted", "notRecommended": "not-recommended" } }, "values": { "Human": { "IHCP-species-checked": "testedAndGuaranteed", "IHCP-species-dilution-info": "1/250", "IHCP-species-notes": "<p></p>", "WB-species-checked": "testedAndGuaranteed", "WB-species-dilution-info": "1/5000", "WB-species-notes": "<p></p>" }, "Mouse": { "IHCP-species-checked": "guaranteed", "IHCP-species-dilution-info": "", "IHCP-species-notes": "<p></p>", "WB-species-checked": "guaranteed", "WB-species-dilution-info": "", "WB-species-notes": "<p></p>" }, "Rat": { "IHCP-species-checked": "guaranteed", "IHCP-species-dilution-info": "", "IHCP-species-notes": "<p></p>", "WB-species-checked": "guaranteed", "WB-species-dilution-info": "", "WB-species-notes": "<p></p>" } } }

Product details

Patented technology
Our RabMAb® technology is a patented hybridoma-based technology for making rabbit monoclonal antibodies. For details on our patents, please refer to RabMAb® patents.

What are the advantages of a recombinant monoclonal antibody?
This product is a recombinant monoclonal antibody, which offers several advantages including:

  • - High batch-to-batch consistency and reproducibility
  • - Improved sensitivity and specificity
  • - Long-term security of supply
  • - Animal-free batch production

For more information, read more on recombinant antibodies.

Properties and storage information

Form
Liquid
Purification technique
Affinity purification Protein A
Storage buffer
pH: 7.4 Preservative: 0.1% Proclin 300 Solution Constituents: PBS, 30% Glycerol (glycerin, glycerine), 1% BSA
Shipped at conditions
Blue Ice
Appropriate short-term storage duration
1-2 weeks
Appropriate short-term storage conditions
+4°C
Appropriate long-term storage conditions
-20°C
Aliquoting information
Upon delivery aliquot
Storage information
Avoid freeze / thaw cycle|Store in the dark

Product protocols

For this product, it's our understanding that no specific protocols are required. You can visit:

Target data

Central receptor component of the translocase of the outer membrane of mitochondria (TOM) complex essential for the recognition and translocation of cytosolically synthesized mitochondrial preproteins (PubMed : 40080546). Together with TOMM22 functions as the transit peptide receptor at the surface of the mitochondrion outer membrane and facilitates the movement of preproteins into the TOM40 translocation pore (PubMed : 18331822). The TOM complex associates with the ion channel VDAC2 and PINK1 kinase at depolarized mitochondria, this interaction stabilizes PINK1 at the outer mitochondrial membrane and triggers downstream mitophagy by the recruitment of the E3 ubiquitin ligase PRKN (PubMed : 40080546). Required for the translocation across the mitochondrial outer membrane of cytochrome P450 monooxygenases (By similarity).
See full target information TOMM20

Publications (1)

Recent publications for all applications. Explore the full list and refine your search

Scientific reports 10:12320 PubMed32704072

2020

Roles of sarcoplasmic reticulum Ca ATPase pump in the impairments of lymphatic contractile activity in a metabolic syndrome rat model.

Applications

Unspecified application

Species

Unspecified reactive species

Yang Lee,Sanjukta Chakraborty,Mariappan Muthuchamy
View all publications

Product promise

We are committed to supporting your work with high-quality reagents, and we're here for you every step of the way. In the unlikely event that one of our products does not perform as expected, you're protected by our Product Promise.
For full details, please see our Terms & Conditions

Please note: All products are 'FOR RESEARCH USE ONLY. NOT FOR USE IN DIAGNOSTIC OR THERAPEUTIC PROCEDURES'.

For licensing inquiries, please contact partnerships@abcam.com