JavaScript is disabled in your browser. Please enable JavaScript to view this website.
AB207673

HRP Anti-Tyrosine Hydroxylase antibody [EP1532Y] - Neuronal Marker

  • BOND RX™ Validated
  • RabMAb
  • Recombinant
  • Lab Essentials
  • What is this?

Be the first to review this product! Submit a review

|

(2 Publications)

Rabbit Recombinant Monoclonal Tyrosine Hydroxylase antibody - conjugated to HRP. Neuron marker. Suitable for WB, IHC-P and reacts with Rat, Human samples. Cited in 2 publications.

View Alternative Names

TYH, TH, Tyrosine 3-monooxygenase, Tyrosine 3-hydroxylase

2 Images
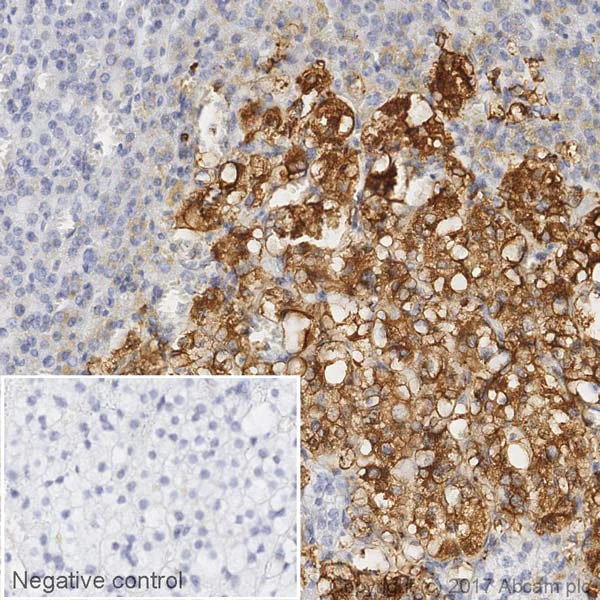
Immunohistochemistry (Formalin/PFA-fixed paraffin-embedded sections) - HRP Anti-Tyrosine Hydroxylase antibody [EP1532Y] - Neuronal Marker (AB207673)
  • IHC-P

Lab

Immunohistochemistry (Formalin/PFA-fixed paraffin-embedded sections) - HRP Anti-Tyrosine Hydroxylase antibody [EP1532Y] - Neuronal Marker (AB207673)

IHC image of Tyrosine Hydroxylase staining in a section of formalin-fixed paraffin-embedded normal human adrenal gland*, performed on a Leica BOND™. The section was pre-treated using heat mediated antigen retrieval with Tris/EDTA buffer (pH9, epitope retrieval solution 2) for 20mins. The section was then incubated with ab207673, 1/1000 dilution, for 15 mins at room temperature. DAB was used as the chromogen. The section was then counterstained with haematoxylin and mounted with DPX. The inset negative control image is taken from an identical assay without primary antibody.

For other IHC staining systems (automated and non-automated) customers should optimize variable parameters such as antigen retrieval conditions, primary antibody concentration and antibody incubation times.

*Tissue obtained from the Human Research Tissue Bank, supported by the NIHR Cambridge Biomedical Research Centre

Western blot - HRP Anti-Tyrosine Hydroxylase antibody [EP1532Y] - Neuronal Marker (AB207673)
  • WB

Lab

Western blot - HRP Anti-Tyrosine Hydroxylase antibody [EP1532Y] - Neuronal Marker (AB207673)

This blot was produced using a 4-12% Bis-tris gel under the MOPS buffer system. The gel was run at 200V for 50 minutes before being transferred onto a Nitrocellulose membrane at 30V for 70 minutes. The membrane was then blocked for an hour using 3% milk before being incubated with ab207673 overnight at 4°C. Antibody binding was visualised using ECL development solution ab133406.

All lanes:

Western blot - HRP Anti-Tyrosine Hydroxylase antibody [EP1532Y] - Neuronal Marker (ab207673) at 1/5000 dilution

All lanes:

PC12 (Rat adrenal pheochromocytoma cell line) Whole Cell Lysate at 10 µg

Predicted band size: 58 kDa

Observed band size: 58 kDa

true

Exposure time: 10s

  • 519 Alexa Fluor® 488

    Alexa Fluor® 488 Anti-Tyrosine Hydroxylase antibody [EP1532Y] - Neuronal Marker

  • 603 Alexa Fluor® 568

    Alexa Fluor® 568 Anti-Tyrosine Hydroxylase antibody [EP1532Y] - Neuronal Marker

  • 565 Alexa Fluor® 555

    Alexa Fluor® 555 Anti-Tyrosine Hydroxylase antibody [EP1532Y] - Neuronal Marker

  • 660 APC

    APC Anti-Tyrosine Hydroxylase antibody [EP1532Y] - Neuronal Marker

  • 578 PE

    PE Anti-Tyrosine Hydroxylase antibody [EP1532Y] - Neuronal Marker

  • 665 Alexa Fluor® 647

    Alexa Fluor® 647 Anti-Tyrosine Hydroxylase antibody [EP1532Y] - Neuronal Marker

  • 617 Alexa Fluor® 594

    Alexa Fluor® 594 Anti-Tyrosine Hydroxylase antibody [EP1532Y] - Neuronal Marker

  • 775 Alexa Fluor® 750

    Alexa Fluor® 750 Anti-Tyrosine Hydroxylase antibody [EP1532Y] - Neuronal Marker

Key facts

Host species

Rabbit

Clonality

Monoclonal

Clone number

EP1532Y

Isotype

IgG

Conjugation

HRP

Excitation/Emission
Carrier free

No

Reacts with

Rat, Human

Applications

WB, IHC-P

applications

Immunogen

The exact immunogen used to generate this antibody is proprietary information.

Reactivity data

{ "title": "Reactivity Data", "filters": { "stats": ["", "Species", "Dilution Info", "Notes"], "tabs": { "all-applications": {"fullname" : "All Applications", "shortname": "All Applications"}, "WB" : {"fullname" : "Western blot", "shortname":"WB"}, "IHCP" : {"fullname" : "Immunohistochemistry (Formalin/PFA-fixed paraffin-embedded sections)", "shortname":"IHC-P"}, "FlowCytIntra" : {"fullname" : "Flow Cytometry (Intracellular)", "shortname":"Flow Cyt (Intra)"} }, "product-promise": { "all": "all", "testedAndGuaranteed": "tested", "guaranteed": "expected", "predicted": "predicted", "notRecommended": "not-recommended" } }, "values": { "Human": { "WB-species-checked": "guaranteed", "WB-species-dilution-info": "", "WB-species-notes": "", "IHCP-species-checked": "testedAndGuaranteed", "IHCP-species-dilution-info": "1/1000", "IHCP-species-notes": "<p></p> Perform heat-mediated antigen retrieval with Tris/EDTA buffer pH 9.0 before commencing with IHC staining protocol.", "FlowCytIntra-species-checked": "notRecommended", "FlowCytIntra-species-dilution-info": "", "FlowCytIntra-species-notes": "<p></p>" }, "Mouse": { "WB-species-checked": "predicted", "WB-species-dilution-info": "", "WB-species-notes": "", "IHCP-species-checked": "predicted", "IHCP-species-dilution-info": "", "IHCP-species-notes": "", "FlowCytIntra-species-checked": "notRecommended", "FlowCytIntra-species-dilution-info": "", "FlowCytIntra-species-notes": "" }, "Rat": { "WB-species-checked": "testedAndGuaranteed", "WB-species-dilution-info": "1/5000", "WB-species-notes": "<p></p>", "IHCP-species-checked": "guaranteed", "IHCP-species-dilution-info": "", "IHCP-species-notes": "", "FlowCytIntra-species-checked": "notRecommended", "FlowCytIntra-species-dilution-info": "", "FlowCytIntra-species-notes": "" }, "Pig": { "WB-species-checked": "predicted", "WB-species-dilution-info": "", "WB-species-notes": "", "IHCP-species-checked": "predicted", "IHCP-species-dilution-info": "", "IHCP-species-notes": "", "FlowCytIntra-species-checked": "notRecommended", "FlowCytIntra-species-dilution-info": "", "FlowCytIntra-species-notes": "" } } }

Product details

Patented technology
Our RabMAb® technology is a patented hybridoma-based technology for making rabbit monoclonal antibodies. For details on our patents, please refer to RabMAb® patents.

Properties and storage information

Form
Liquid
Purification technique
Affinity purification
Storage buffer
pH: 7.4 Preservative: 0.1% Proclin 300 Solution Constituents: PBS, 30% Glycerol (glycerin, glycerine), 1% BSA
Shipped at conditions
Blue Ice
Appropriate short-term storage duration
1-2 weeks
Appropriate short-term storage conditions
+4°C
Appropriate long-term storage conditions
-20°C
Aliquoting information
Upon delivery aliquot
Storage information
Avoid freeze / thaw cycle|Store in the dark

Supplementary information

This supplementary information is collated from multiple sources and compiled automatically.

Tyrosine hydroxylase also known as TH is an enzyme that catalyzes the conversion of L-tyrosine to L-DOPA. It weighs approximately 60 kDa. You can find this enzyme expressed mainly in the brain adrenal glands and some peripheral tissues. Commonly studied antibodies include anti-tyrosine hydroxylase or anti-TH. It plays a significant role in the catecholamine biosynthesis pathway serving as the rate-limiting step in dopamine synthesis.
Biological function summary

Tyrosine hydroxylase is essential for synthesizing catecholamines including dopamine norepinephrine and epinephrine. This enzyme associates with other components in the catecholamine biosynthetic pathway. It functions as part of a larger complex within certain cells where its action determines levels of important neurotransmitters. These neurotransmitters help regulate numerous central and peripheral nervous system activities.

Pathways

Tyrosine hydroxylase acts as a critical component in both the dopaminergic and adrenergic pathways. In the dopaminergic pathway tyrosine hydroxylase facilitates dopamine production influencing various physiological processes. The enzyme also correlates with ardrd protein in these pathways allowing fine-tuned control of neurotransmitter synthesis. Proteins related to tyrosine hydroxylase in these pathways include aromatic L-amino acid decarboxylase which further processes L-DOPA into dopamine.

Tyrosine hydroxylase has connections with neurodegenerative diseases like Parkinson's disease and conditions such as dystonia. Dysfunctional expression or activity of this enzyme can lead to dopamine deficiency contributing to the motor symptoms in Parkinson's disease. In dystonia alterations in tyrosine hydroxylase activity affect neurotransmitter balance influencing muscle coordination. The relationship with ardrd protein highlights tyrosine hydroxylase's role in maintaining neural health and it highlights potential areas for therapeutic intervention.

Product protocols

For this product, it's our understanding that no specific protocols are required. You can visit:

Target data

Catalyzes the conversion of L-tyrosine to L-dihydroxyphenylalanine (L-Dopa), the rate-limiting step in the biosynthesis of cathecolamines, dopamine, noradrenaline, and adrenaline. Uses tetrahydrobiopterin and molecular oxygen to convert tyrosine to L-Dopa (PubMed : 15287903, PubMed : 1680128, PubMed : 17391063, PubMed : 24753243, PubMed : 34922205, PubMed : 8528210, Ref.18). In addition to tyrosine, is able to catalyze the hydroxylation of phenylalanine and tryptophan with lower specificity (By similarity). Positively regulates the regression of retinal hyaloid vessels during postnatal development (By similarity).. Isoform 5. Lacks catalytic activity.. Isoform 6. Lacks catalytic activity.
See full target information TH

Publications (2)

Recent publications for all applications. Explore the full list and refine your search

Hypertension research : official journal of the Japanese Society of Hypertension 48:2083-2094 PubMed40335722

2025

Identification of putative baroreceptors in human aortic arch by histological and omics analyses.

Applications

Unspecified application

Species

Unspecified reactive species

Yankey Yundung,Jaroslav Pelisek,Umberto Maccio,Zsuzsanna Varga,Houria Ech-Cherif,Enni Markkanen,Fabian Rössler,Ahmed Ouda,Omer Dzemali,Alexander Zimmermann,Benedikt Reutersberg

International journal of molecular medicine 40:1201-1209 PubMed28849073

2017

Endothelial cell-derived exosomes protect SH-SY5Y nerve cells against ischemia/reperfusion injury.

Applications

Unspecified application

Species

Unspecified reactive species

Bing Xiao,Yi Chai,Shigang Lv,Minhua Ye,Miaojing Wu,Liyuan Xie,Yanghua Fan,Xingen Zhu,Ziyun Gao
View all publications

Product promise

We are committed to supporting your work with high-quality reagents, and we're here for you every step of the way. In the unlikely event that one of our products does not perform as expected, you're protected by our Product Promise.
For full details, please see our Terms & Conditions

Please note: All products are 'FOR RESEARCH USE ONLY. NOT FOR USE IN DIAGNOSTIC OR THERAPEUTIC PROCEDURES'.

For licensing inquiries, please contact partnerships@abcam.com