JavaScript is disabled in your browser. Please enable JavaScript to view this website.
AB204290

HRP Anti-VCP antibody [EPR3307(2)]

Be the first to review this product! Submit a review

|

(4 Publications)

Rabbit Recombinant Monoclonal VCP antibody - conjugated to HRP. Suitable for IHC-P, WB and reacts with Rat, Human samples. Cited in 4 publications.

View Alternative Names

HEL-220, HEL-S-70, VCP, Transitional endoplasmic reticulum ATPase, TER ATPase, 15S Mg(2+)-ATPase p97 subunit, Valosin-containing protein

2 Images
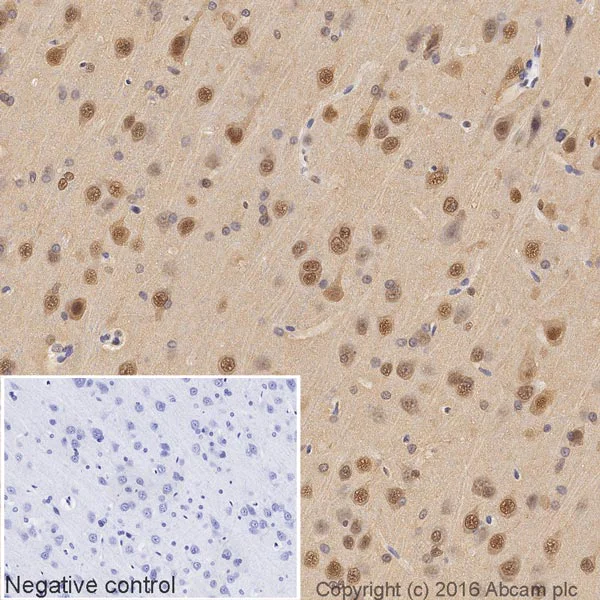
Immunohistochemistry (Formalin/PFA-fixed paraffin-embedded sections) - HRP Anti-VCP antibody [EPR3307(2)] (AB204290)
  • IHC-P

Lab

Immunohistochemistry (Formalin/PFA-fixed paraffin-embedded sections) - HRP Anti-VCP antibody [EPR3307(2)] (AB204290)

IHC image of VCP staining in a section of formalin-fixed paraffin-embedded normal rat brain tissue, performed on a Leica BONDTM. The section was pre-treated using heat mediated antigen retrieval with sodium citrate buffer (pH6, epitope retrieval solution

  1. for 20mins. The section was then incubated with ab204290, 1/1000 dilution, for 15 mins at room temperature. DAB was used as the chromogen. The section was then counterstained with haematoxylin and mounted with DPX. The inset negative control image is taken from an identical assay without primary antibody.

For other IHC staining systems (automated and non-automated) customers should optimize variable parameters such as antigen retrieval conditions, primary antibody concentration and antibody incubation times.

Western blot - HRP Anti-VCP antibody [EPR3307(2)] (AB204290)
  • WB

Lab

Western blot - HRP Anti-VCP antibody [EPR3307(2)] (AB204290)

This blot was produced using a 4-12% Bis-tris gel under the MOPS buffer system. The gel was run at 200V for 50 minutes before being transferred onto a Nitrocellulose membrane at 30V for 70 minutes. The membrane was then blocked for an hour using 3% milk before being incubated with ab204290 overnight at 4°C. Antibody binding was visualised using ECL development solution ab133406.

All lanes:

Western blot - HRP Anti-VCP antibody [EPR3307(2)] (ab204290) at 1/5000 dilution

Lane 1:

MCF-7 (Human breast adenocarcinoma cell line) Whole Cell Lysate at 10 µg

Lane 2:

Western blot - HeLa whole cell lysate (<a href='/en-us/products/cell-lysates/hela-whole-cell-lysate-ab150035'>ab150035</a>) at 10 µg

Lane 3:

A549 (Human lung adenocarcinoma epithelial cell line) Whole Cell Lysate at 10 µg

Lane 4:

SH-SY5Y (Human neuroblastoma cell line) Whole Cell Lysate at 10 µg

Predicted band size: 89 kDa

Observed band size: 100 kDa

true

Exposure time: 10s

Key facts

Host species

Rabbit

Clonality

Monoclonal

Clone number

EPR3307(2)

Isotype

IgG

Conjugation

HRP

Excitation/Emission
Carrier free

No

Reacts with

Rat, Human

Applications

IHC-P, WB

applications

Immunogen

The exact immunogen used to generate this antibody is proprietary information.

Reactivity data

{ "title": "Reactivity Data", "filters": { "stats": ["", "Species", "Dilution Info", "Notes"], "tabs": { "all-applications": {"fullname" : "All Applications", "shortname": "All Applications"}, "IHCP" : {"fullname" : "Immunohistochemistry (Formalin/PFA-fixed paraffin-embedded sections)", "shortname":"IHC-P"}, "WB" : {"fullname" : "Western blot", "shortname":"WB"} }, "product-promise": { "all": "all", "testedAndGuaranteed": "tested", "guaranteed": "expected", "predicted": "predicted", "notRecommended": "not-recommended" } }, "values": { "Human": { "IHCP-species-checked": "guaranteed", "IHCP-species-dilution-info": "", "IHCP-species-notes": "", "WB-species-checked": "testedAndGuaranteed", "WB-species-dilution-info": "1/5000", "WB-species-notes": "<p></p>" }, "Mouse": { "IHCP-species-checked": "predicted", "IHCP-species-dilution-info": "", "IHCP-species-notes": "", "WB-species-checked": "predicted", "WB-species-dilution-info": "", "WB-species-notes": "" }, "Rat": { "IHCP-species-checked": "testedAndGuaranteed", "IHCP-species-dilution-info": "1/1000", "IHCP-species-notes": "<p></p>", "WB-species-checked": "guaranteed", "WB-species-dilution-info": "", "WB-species-notes": "" } } }

Product details

Patented technology
Our RabMAb® technology is a patented hybridoma-based technology for making rabbit monoclonal antibodies. For details on our patents, please refer to RabMAb® patents.

What are the advantages of a recombinant monoclonal antibody?
This product is a recombinant monoclonal antibody, which offers several advantages including:

  • - High batch-to-batch consistency and reproducibility
  • - Improved sensitivity and specificity
  • - Long-term security of supply
  • - Animal-free batch production

For more information, read more on recombinant antibodies.

Properties and storage information

Form
Liquid
Purification technique
Affinity purification Protein A
Storage buffer
pH: 7.4 Preservative: 0.1% Proclin 300 Solution Constituents: PBS, 30% Glycerol (glycerin, glycerine), 1% BSA
Shipped at conditions
Blue Ice
Appropriate short-term storage duration
1-2 weeks
Appropriate short-term storage conditions
+4°C
Appropriate long-term storage conditions
-20°C
Aliquoting information
Upon delivery aliquot
Storage information
Avoid freeze / thaw cycle|Store in the dark

Supplementary information

This supplementary information is collated from multiple sources and compiled automatically.

The VCP protein also known as p97 or valosin-containing protein is a significant ATPase. It is involved mechanically in a range of cellular activities. VCP has a mass of approximately 97 kDa and is ubiquitously expressed in many tissues. It plays a role in protein homeostasis particularly in the degradation process of misfolded proteins via the ubiquitin-proteasome system. This protein comprises the D1 and D2 ATPase domains that are important for its unfolding activities.
Biological function summary

The VCP protein operates as a vital part of cellular machinery and functions in various complexes. It assists in protein quality control by participating in processes such as ER-associated degradation (ERAD) where it retrotranslocates misfolded proteins from the endoplasmic reticulum for degradation. VCP also contributes to the regulation of endocytosis autophagy and cell cycle control. These functions are important in maintaining cellular integrity.

Pathways

VCP integrates into cellular processes by engaging in essential pathways like the ubiquitin-proteasome system and autophagy. It associates with proteins such as UFD1 and NPL4 in these pathways illustrating its multifaceted role in cellular regulation. VCP's action is closely tied with the p97 protein complexes where it influences protein degradation and recycling thereby controlling protein turnover.

There are findings linking VCP to conditions such as inclusion body myopathy and Paget's disease of bone. Its malfunction due to mutations can trigger these diseases affecting muscle and bone tissues respectively. VCP's connection to other proteins like Parkin and Optineurin in these disorders highlights the protein's relevance in neurodegenerative and skeletal disease pathways emphasizing its pivotal role in maintaining cellular health.

Product protocols

For this product, it's our understanding that no specific protocols are required. You can visit:

Target data

Necessary for the fragmentation of Golgi stacks during mitosis and for their reassembly after mitosis. Involved in the formation of the transitional endoplasmic reticulum (tER). The transfer of membranes from the endoplasmic reticulum to the Golgi apparatus occurs via 50-70 nm transition vesicles which derive from part-rough, part-smooth transitional elements of the endoplasmic reticulum (tER). Vesicle budding from the tER is an ATP-dependent process. The ternary complex containing UFD1, VCP and NPLOC4 binds ubiquitinated proteins and is necessary for the export of misfolded proteins from the ER to the cytoplasm, where they are degraded by the proteasome. The NPLOC4-UFD1-VCP complex regulates spindle disassembly at the end of mitosis and is necessary for the formation of a closed nuclear envelope. Regulates E3 ubiquitin-protein ligase activity of RNF19A. Component of the VCP/p97-AMFR/gp78 complex that participates in the final step of the sterol-mediated ubiquitination and endoplasmic reticulum-associated degradation (ERAD) of HMGCR. Mediates the endoplasmic reticulum-associated degradation of CHRNA3 in cortical neurons as part of the STUB1-VCP-UBXN2A complex (PubMed : 26265139). Involved in endoplasmic reticulum stress-induced pre-emptive quality control, a mechanism that selectively attenuates the translocation of newly synthesized proteins into the endoplasmic reticulum and reroutes them to the cytosol for proteasomal degradation (PubMed : 26565908). Involved in clearance process by mediating G3BP1 extraction from stress granules (PubMed : 29804830, PubMed : 34739333). Also involved in DNA damage response : recruited to double-strand breaks (DSBs) sites in a RNF8- and RNF168-dependent manner and promotes the recruitment of TP53BP1 at DNA damage sites (PubMed : 22020440, PubMed : 22120668). Recruited to stalled replication forks by SPRTN : may act by mediating extraction of DNA polymerase eta (POLH) to prevent excessive translesion DNA synthesis and limit the incidence of mutations induced by DNA damage (PubMed : 23042605, PubMed : 23042607). Together with SPRTN metalloprotease, involved in the repair of covalent DNA-protein cross-links (DPCs) during DNA synthesis (PubMed : 32152270). Involved in interstrand cross-link repair in response to replication stress by mediating unloading of the ubiquitinated CMG helicase complex (By similarity). Mediates extraction of PARP1 trapped to chromatin : recognizes and binds ubiquitinated PARP1 and promotes its removal (PubMed : 35013556). Required for cytoplasmic retrotranslocation of stressed/damaged mitochondrial outer-membrane proteins and their subsequent proteasomal degradation (PubMed : 16186510, PubMed : 21118995). Essential for the maturation of ubiquitin-containing autophagosomes and the clearance of ubiquitinated protein by autophagy (PubMed : 20104022, PubMed : 27753622). Acts as a negative regulator of type I interferon production by interacting with RIGI : interaction takes place when RIGI is ubiquitinated via 'Lys-63'-linked ubiquitin on its CARD domains, leading to recruit RNF125 and promote ubiquitination and degradation of RIGI (PubMed : 26471729). May play a role in the ubiquitin-dependent sorting of membrane proteins to lysosomes where they undergo degradation (PubMed : 21822278). May more particularly play a role in caveolins sorting in cells (PubMed : 21822278, PubMed : 23335559). By controlling the steady-state expression of the IGF1R receptor, indirectly regulates the insulin-like growth factor receptor signaling pathway (PubMed : 26692333).
See full target information VCP

Publications (4)

Recent publications for all applications. Explore the full list and refine your search

ACS pharmacology & translational science 7:2527-2543 PubMed39144560

2024

5-Methoxy-2-aminoindane Reverses Diet-Induced Obesity and Improves Metabolic Parameters in Mice: A Potential New Class of Antiobesity Therapeutics.

Applications

Unspecified application

Species

Unspecified reactive species

Saja Baraghithy,Asaad Gammal,Anna Permyakova,Sharleen Hamad,Radka Kočvarová,Yael Calles,Joseph Tam

Nature communications 13:1783 PubMed35379807

2022

Opposite physiological and pathological mTORC1-mediated roles of the CB1 receptor in regulating renal tubular function.

Applications

Unspecified application

Species

Unspecified reactive species

Liad Hinden,Majdoleen Ahmad,Sharleen Hamad,Alina Nemirovski,Gergő Szanda,Sandra Glasmacher,Aviram Kogot-Levin,Rinat Abramovitch,Bernard Thorens,Jürg Gertsch,Gil Leibowitz,Joseph Tam

Cells 10: PubMed33671138

2021

Renal Proximal Tubule Cell Cannabinoid-1 Receptor Regulates Bone Remodeling and Mass via a Kidney-to-Bone Axis.

Applications

Unspecified application

Species

Unspecified reactive species

Saja Baraghithy,Yael Soae,Dekel Assaf,Liad Hinden,Shiran Udi,Adi Drori,Yankel Gabet,Joseph Tam

Cell reports 29:2702-2717.e7 PubMed31775039

2019

Temporal Control of the TGF-β Signaling Network by Mouse ESC MicroRNA Targets of Different Affinities.

Applications

Unspecified application

Species

Unspecified reactive species

Timothy J Kelly,Anneke Brümmer,Nima Hooshdaran,Mito Tariveranmoshabad,Jesse R Zamudio
View all publications

Product promise

We are committed to supporting your work with high-quality reagents, and we're here for you every step of the way. In the unlikely event that one of our products does not perform as expected, you're protected by our Product Promise.
For full details, please see our Terms & Conditions

Please note: All products are 'FOR RESEARCH USE ONLY. NOT FOR USE IN DIAGNOSTIC OR THERAPEUTIC PROCEDURES'.

For licensing inquiries, please contact partnerships@abcam.com