JavaScript is disabled in your browser. Please enable JavaScript to view this website.
AB204014

HRP Anti-YB1 antibody [EP2708Y]

Be the first to review this product! Submit a review

|

(1 Publication)

Rabbit Recombinant Monoclonal YB1 antibody - conjugated to HRP. Suitable for IHC-P, WB and reacts with Human samples. Cited in 1 publication.

View Alternative Names

NSEP1, YB1, YBX1, Y-box-binding protein 1, YB-1, CCAAT-binding transcription factor I subunit A, DNA-binding protein B, Enhancer factor I subunit A, Nuclease-sensitive element-binding protein 1, Y-box transcription factor, CBF-A, DBPB, EFI-A

2 Images
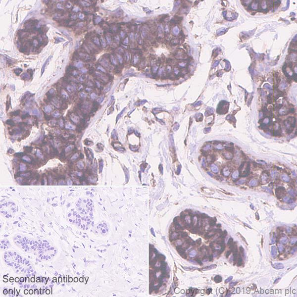
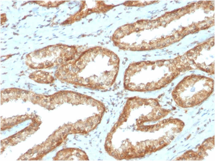
Immunohistochemistry (Formalin/PFA-fixed paraffin-embedded sections) - HRP Anti-YB1 antibody [EP2708Y] (AB204014)
  • IHC-P

Lab

Immunohistochemistry (Formalin/PFA-fixed paraffin-embedded sections) - HRP Anti-YB1 antibody [EP2708Y] (AB204014)

IHC image of YB1 staining in a section of formalin-fixed paraffin-embedded human normal colon*. The section was pre-treated using pressure cooker heat mediated antigen retrieval with sodium citrate buffer (pH6) for 30mins, and incubated overnight at +4°C with ab204014 at 1/50 dilution. DAB was used as the chromogen (ab103723), diluted 1/100 and incubated for 10min at room temperature. The section was counterstained with haematoxylin and mounted with DPX. The inset negative control image is taken from an identical assay without primary antibody.

For other IHC staining systems (automated and non-automated) customers should optimize variable parameters such as antigen retrieval conditions, primary antibody concentration and antibody incubation times.

*Tissue obtained from the Human Research Tissue Bank, supported by the NIHR Cambridge Biomedical Research Centre

Western blot - HRP Anti-YB1 antibody [EP2708Y] (AB204014)
  • WB

Lab

Western blot - HRP Anti-YB1 antibody [EP2708Y] (AB204014)

This blot was produced using a 4-12% Bis-tris gel under the MOPS buffer system. The gel was run at 200V for 50 minutes before being transferred onto a Nitrocellulose membrane at 30V for 70 minutes. The membrane was then blocked for an hour using 3% milk before being incubated with ab204014 overnight at 4°C. Antibody binding was visualised using ECL development solution ab133406.

All lanes:

Western blot - HRP Anti-YB1 antibody [EP2708Y] (ab204014) at 1/5000 dilution

Lane 1:

A549 (Human lung adenocarcinoma epithelial cell line) Whole Cell Lysate at 10 µg

Lane 2:

MCF-7 (Human breast adenocarcinoma cell line) Whole Cell Lysate at 10 µg

Predicted band size: 36 kDa

Observed band size: 48 kDa

true

Exposure time: 20min

Key facts

Host species

Rabbit

Clonality

Monoclonal

Clone number

EP2708Y

Isotype

IgG

Conjugation

HRP

Excitation/Emission
Carrier free

No

Reacts with

Human

Applications

WB, IHC-P

applications

Immunogen

The exact immunogen used to generate this antibody is proprietary information.

Reactivity data

{ "title": "Reactivity Data", "filters": { "stats": ["", "Species", "Dilution Info", "Notes"], "tabs": { "all-applications": {"fullname" : "All Applications", "shortname": "All Applications"}, "IHCP" : {"fullname" : "Immunohistochemistry (Formalin/PFA-fixed paraffin-embedded sections)", "shortname":"IHC-P"}, "WB" : {"fullname" : "Western blot", "shortname":"WB"} }, "product-promise": { "all": "all", "testedAndGuaranteed": "tested", "guaranteed": "expected", "predicted": "predicted", "notRecommended": "not-recommended" } }, "values": { "Human": { "IHCP-species-checked": "testedAndGuaranteed", "IHCP-species-dilution-info": "1/50", "IHCP-species-notes": "<p></p> Perform heat-mediated antigen retrieval with citrate buffer pH 6 before commencing with IHC staining protocol.", "WB-species-checked": "testedAndGuaranteed", "WB-species-dilution-info": "1/5000", "WB-species-notes": "<p></p>" }, "Mouse": { "IHCP-species-checked": "predicted", "IHCP-species-dilution-info": "", "IHCP-species-notes": "", "WB-species-checked": "predicted", "WB-species-dilution-info": "", "WB-species-notes": "" }, "Rat": { "IHCP-species-checked": "predicted", "IHCP-species-dilution-info": "", "IHCP-species-notes": "", "WB-species-checked": "predicted", "WB-species-dilution-info": "", "WB-species-notes": "" } } }

Product details

Patented technology
Our RabMAb® technology is a patented hybridoma-based technology for making rabbit monoclonal antibodies. For details on our patents, please refer to RabMAb® patents.

What are the advantages of a recombinant monoclonal antibody?
This product is a recombinant monoclonal antibody, which offers several advantages including:

  • - High batch-to-batch consistency and reproducibility
  • - Improved sensitivity and specificity
  • - Long-term security of supply
  • - Animal-free batch production

For more information, read more on recombinant antibodies.

Properties and storage information

Form
Liquid
Purification technique
Affinity purification Protein A
Storage buffer
pH: 7.4 Preservative: 0.1% Proclin 300 Solution Constituents: PBS, 30% Glycerol (glycerin, glycerine), 1% BSA
Shipped at conditions
Blue Ice
Appropriate short-term storage duration
1-2 weeks
Appropriate short-term storage conditions
+4°C
Appropriate long-term storage conditions
-20°C
Aliquoting information
Upon delivery aliquot
Storage information
Stable for 12 months at -20°C|Store in the dark

Supplementary information

This supplementary information is collated from multiple sources and compiled automatically.

Y-box Binding Protein 1 (YB1) also known as YBX1 is a multifunctional protein with a mass of approximately 36 kDa. It belongs to the cold shock protein family that contains a highly conserved cold shock domain. YB1 is broadly expressed across many tissues predominantly found in the cytoplasm and nucleus where it functions as a transcription factor and RNA-binding protein. Through its transcriptional regulatory activity YB1 can bind to Y-box sequences in the promoter regions of genes and modulate their expression.
Biological function summary

YB1 plays vital roles in regulating cell proliferation stress response and differentiation. It does not operate alone; it interacts with various complexes notably ribonucleoprotein complexes. YB1 regulates gene expression at both transcriptional and translational levels impacting cell cycle progression and apoptosis pathways. Its ability to bind RNA and DNA makes it integral in controlling the expression of genes related to stress responses and developmental processes.

Pathways

YB1 is essential in many signaling pathways that govern cell growth and survival including the PI3K/AKT pathway and MAPK pathway. In these pathways it interacts with proteins like AKT1 and MAPK3 influencing cellular responses to external and internal stimuli. These interactions reveal the adaptability of YB1 in various cellular contexts allowing it to mediate pathway-specific responses to environmental cues thereby promoting the maintenance of cellular homeostasis and adaptation.

The dysregulation of YB1 has been linked to cancer and neurodegenerative diseases. Overexpression or altered localization of YB1 often in connection with other proteins such as p53 contributes to tumorigenesis by enhancing cell proliferation and inhibiting programmed cell death. In neurodegenerative diseases impaired YB1 function can negatively affect neuronal survival potentially mediated through its interactions with proteins like tau which are implicated in conditions such as Alzheimer's disease. Understanding of these associations highlights the potential of YB1 as a therapeutic target in disease management.

Product protocols

For this product, it's our understanding that no specific protocols are required. You can visit:

Target data

DNA- and RNA-binding protein involved in various processes, such as translational repression, RNA stabilization, mRNA splicing, DNA repair and transcription regulation (PubMed : 10817758, PubMed : 11698476, PubMed : 14718551, PubMed : 18809583, PubMed : 31358969, PubMed : 8188694). Predominantly acts as a RNA-binding protein : binds preferentially to the 5'-[CU]CUGCG-3' RNA motif and specifically recognizes mRNA transcripts modified by C5-methylcytosine (m5C) (PubMed : 19561594, PubMed : 31358969). Promotes mRNA stabilization : acts by binding to m5C-containing mRNAs and recruiting the mRNA stability maintainer ELAVL1, thereby preventing mRNA decay (PubMed : 10817758, PubMed : 11698476, PubMed : 31358969). Component of the CRD-mediated complex that promotes MYC mRNA stability (PubMed : 19029303). Contributes to the regulation of translation by modulating the interaction between the mRNA and eukaryotic initiation factors (By similarity). Plays a key role in RNA composition of extracellular exosomes by defining the sorting of small non-coding RNAs, such as tRNAs, Y RNAs, Vault RNAs and miRNAs (PubMed : 27559612, PubMed : 29073095). Probably sorts RNAs in exosomes by recognizing and binding C5-methylcytosine (m5C)-containing RNAs (PubMed : 28341602, PubMed : 29073095). Acts as a key effector of epidermal progenitors by preventing epidermal progenitor senescence : acts by regulating the translation of a senescence-associated subset of cytokine mRNAs, possibly by binding to m5C-containing mRNAs (PubMed : 29712925). Also involved in pre-mRNA alternative splicing regulation : binds to splice sites in pre-mRNA and regulates splice site selection (PubMed : 12604611). Binds to TSC22D1 transcripts, thereby inhibiting their translation and negatively regulating TGF-beta-mediated transcription of COL1A2 (By similarity). Also able to bind DNA : regulates transcription of the multidrug resistance gene MDR1 is enhanced in presence of the APEX1 acetylated form at 'Lys-6' and 'Lys-7' (PubMed : 18809583). Binds to promoters that contain a Y-box (5'-CTGATTGGCCAA-3'), such as MDR1 and HLA class II genes (PubMed : 18809583, PubMed : 8188694). Promotes separation of DNA strands that contain mismatches or are modified by cisplatin (PubMed : 14718551). Has endonucleolytic activity and can introduce nicks or breaks into double-stranded DNA, suggesting a role in DNA repair (PubMed : 14718551). The secreted form acts as an extracellular mitogen and stimulates cell migration and proliferation (PubMed : 19483673).
See full target information YBX1

Publications (1)

Recent publications for all applications. Explore the full list and refine your search

Nature communications 12:4354 PubMed34272374

2021

SARS-CoV-2 infection induces the dedifferentiation of multiciliated cells and impairs mucociliary clearance.

Applications

Unspecified application

Species

Unspecified reactive species

Rémy Robinot,Mathieu Hubert,Guilherme Dias de Melo,Françoise Lazarini,Timothée Bruel,Nikaïa Smith,Sylvain Levallois,Florence Larrous,Julien Fernandes,Stacy Gellenoncourt,Stéphane Rigaud,Olivier Gorgette,Catherine Thouvenot,Céline Trébeau,Adeline Mallet,Guillaume Duménil,Samy Gobaa,Raphaël Etournay,Pierre-Marie Lledo,Marc Lecuit,Hervé Bourhy,Darragh Duffy,Vincent Michel,Olivier Schwartz,Lisa A Chakrabarti
View all publications

Product promise

We are committed to supporting your work with high-quality reagents, and we're here for you every step of the way. In the unlikely event that one of our products does not perform as expected, you're protected by our Product Promise.
For full details, please see our Terms & Conditions

Please note: All products are 'FOR RESEARCH USE ONLY. NOT FOR USE IN DIAGNOSTIC OR THERAPEUTIC PROCEDURES'.

For licensing inquiries, please contact partnerships@abcam.com