JavaScript is disabled in your browser. Please enable JavaScript to view this website.
AB223840

Anti-HRPT2/Parafibromin antibody [EPR19927]

Be the first to review this product! Submit a review

|

(3 Publications)

Rabbit Recombinant Monoclonal HRPT2/Parafibromin antibody. Suitable for WB, Flow Cyt (Intra), IHC-P and reacts with Human, Mouse, Rat samples. Cited in 3 publications.

View Alternative Names

C1orf28, HRPT2, CDC73, Parafibromin, Cell division cycle protein 73 homolog, Hyperparathyroidism 2 protein

6 Images
Immunohistochemistry (Formalin/PFA-fixed paraffin-embedded sections) - Anti-HRPT2/Parafibromin antibody [EPR19927] (AB223840)
  • IHC-P

Supplier Data

Immunohistochemistry (Formalin/PFA-fixed paraffin-embedded sections) - Anti-HRPT2/Parafibromin antibody [EPR19927] (AB223840)

Immunohistochemical analysis of paraffin-embedded mouse brain tissue labeling HRPT2/Parafibromin with ab223840 at 1/1000 dilution followed by Goat Anti-Rabbit IgG H&L (HRP) Ready to use. Nuclear staining in neurons in murine neurons is observed. Counter stained with hematoxylin.

Secondary antibody only control : Used PBS instead of primary antibody secondary antibody is Goat Anti-Rabbit IgG H&L (HRP) Ready to use.

Perform heat mediated antigen retrieval with Tris/EDTA buffer pH 9.0 before commencing with IHC staining protocol.

Immunohistochemistry (Formalin/PFA-fixed paraffin-embedded sections) - Anti-HRPT2/Parafibromin antibody [EPR19927] (AB223840)
  • IHC-P

Supplier Data

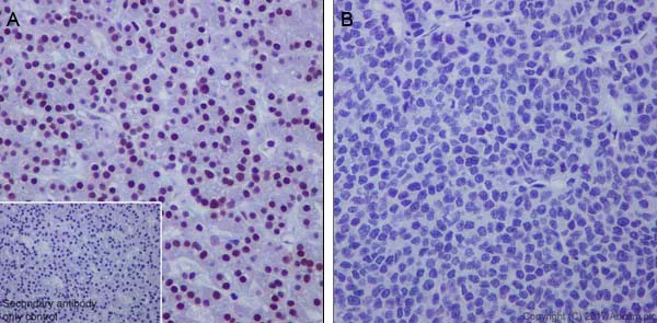
Immunohistochemistry (Formalin/PFA-fixed paraffin-embedded sections) - Anti-HRPT2/Parafibromin antibody [EPR19927] (AB223840)

Immunohistochemical analysis of paraffin-embedded human parathyroid carcinoma case 1 (A) and human parathyroid carcinoma case 2 (B) labeling HRPT2/Parafibromin with ab223840 at 1/1000 dilution followed by Goat Anti-Rabbit IgG H&L (HRP) Ready to use. Nuclear staining observed in one parathyroid carcinoma case while another case was found to be negative for the target (PMID : 16728578). Counter stained with hematoxylin.

Secondary antibody only control : Used PBS instead of primary antibody secondary antibody is Goat Anti-Rabbit IgG H&L (HRP) Ready to use.

Perform heat mediated antigen retrieval with Tris/EDTA buffer pH 9.0 before commencing with IHC staining protocol.

Immunohistochemistry (Formalin/PFA-fixed paraffin-embedded sections) - Anti-HRPT2/Parafibromin antibody [EPR19927] (AB223840)
  • IHC-P

Supplier Data

Immunohistochemistry (Formalin/PFA-fixed paraffin-embedded sections) - Anti-HRPT2/Parafibromin antibody [EPR19927] (AB223840)

Immunohistochemical analysis of paraffin-embedded rat brain tissue labeling HRPT2/Parafibromin with ab223840 at 1/1000 dilution followed by Goat Anti-Rabbit IgG H&L (HRP) Ready to use. Nuclear staining in neurons in rat brain is observed. Counter stained with hematoxylin.

Secondary antibody only control : Used PBS instead of primary antibody secondary antibody is followed by Goat Anti-Rabbit IgG H&L (HRP) Ready to use.

Perform heat mediated antigen retrieval with Tris/EDTA buffer pH 9.0 before commencing with IHC staining protocol.

Flow Cytometry (Intracellular) - Anti-HRPT2/Parafibromin antibody [EPR19927] (AB223840)
  • Flow Cyt (Intra)

Unknown

Flow Cytometry (Intracellular) - Anti-HRPT2/Parafibromin antibody [EPR19927] (AB223840)

Intracellular flow cytometric analysis of4% paraformaldehyde fixed, 90% methanol permeabilized HeLa (human epithelial cell line from cervix adenocarcinoma) cell line labeling HRPT2/Parafibromin with ab223840 at 1/500 dilution (red) compared with a Rabbit IgG, monoclonal [EPR25A] - Isotype Control (ab172730) (black) and an unlabeled control (cells without incubation with primary antibody and secondary antibody) (blue). Goat Anti-Rabbit IgG H&L (Alexa Fluor® 488) (ab150077) at 1/2000 dilution was used as the secondary antibody.

Immunohistochemistry (Formalin/PFA-fixed paraffin-embedded sections) - Anti-HRPT2/Parafibromin antibody [EPR19927] (AB223840)
  • IHC-P

Supplier Data

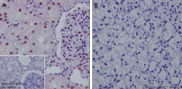
Immunohistochemistry (Formalin/PFA-fixed paraffin-embedded sections) - Anti-HRPT2/Parafibromin antibody [EPR19927] (AB223840)

Immunohistochemical analysis of paraffin-embedded human kidney (A) and human clear cell renal cell carcinoma (B) labeling HRPT2/Parafibromin with ab223840 at 1/1000 dilution followed by Goat Anti-Rabbit IgG H&L (HRP) Ready to use. Nuclear staining of human kidney epithelium; human clear cell renal cell carcinoma is negative for HRPT2/Parafibromin (PMID : 23361235). Counter stained with hematoxylin.

Secondary antibody only control : Used PBS instead of primary antibody secondary antibody is Goat Anti-Rabbit IgG H&L (HRP) Ready to use.

Perform heat mediated antigen retrieval with Tris/EDTA buffer pH 9.0 before commencing with IHC staining protocol.

Western blot - Anti-HRPT2/Parafibromin antibody [EPR19927] (AB223840)
  • WB

Supplier Data

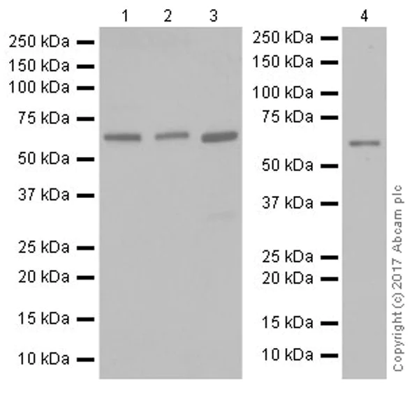
Western blot - Anti-HRPT2/Parafibromin antibody [EPR19927] (AB223840)

Blocking/Dilution buffer : 5% NFDM/TBST.

Exposure time : Lanes 1-3 : 30 seconds Lane 4 : 3 minutes.

All lanes:

Western blot - Anti-HRPT2/Parafibromin antibody [EPR19927] (ab223840) at 1/1000 dilution

Lane 1:

HeLa (human epithelial cell line from cervix adenocarcinoma) whole cell lysate at 20 µg

Lane 2:

Caco-2 (human colorectal adenocarcinoma cell line) whole cell lysate at 20 µg

Lane 3:

HepG2 (human liver hepatocellular carcinoma cell line) whole cell lysate at 20 µg

Lane 4:

Human fetal kidney lysate at 10 µg

Secondary

Lanes 1 - 3:

Western blot - Goat Anti-Rabbit IgG H&L (HRP) (<a href='/en-us/products/secondary-antibodies/goat-rabbit-igg-h-l-hrp-ab97051'>ab97051</a>) at 1/100000 dilution

Lane 4:

Goat Anti-Rabbit IgG Peroxidase Conjugate, specific to the non-reduced form of IgG at 1/10000 dilution

Predicted band size: 61 kDa

Observed band size: 60 kDa

true

  • 578 PE

    PE Anti-HRPT2 antibody [EPR19927]

  • 660 APC

    APC Anti-HRPT2 antibody [EPR19927]

  • HRP

    HRP Anti-HRPT2 antibody [EPR19927]

  • 519 Alexa Fluor® 488

    Alexa Fluor® 488 Anti-HRPT2 antibody [EPR19927]

  • 665 Alexa Fluor® 647

    Alexa Fluor® 647 Anti-HRPT2 antibody [EPR19927]

  • 617 Alexa Fluor® 594

    Alexa Fluor® 594 Anti-HRPT2 antibody [EPR19927]

  • 603 Alexa Fluor® 568

    Alexa Fluor® 568 Anti-HRPT2/Parafibromin antibody [EPR19927]

  • Carrier free

    Anti-HRPT2/Parafibromin antibody [EPR19927] - BSA and Azide free

  • 565 Alexa Fluor® 555

    Alexa Fluor® 555 Anti-HRPT2 antibody [EPR19927]

  • 775 Alexa Fluor® 750

    Alexa Fluor® 750 Anti-HRPT2/Parafibromin antibody [EPR19927]

Key facts

Host species

Rabbit

Clonality

Monoclonal

Clone number

EPR19927

Isotype

IgG

Carrier free

No

Reacts with

Mouse, Rat, Human

Applications

IHC-P, WB, Flow Cyt (Intra)

applications

Immunogen

The exact immunogen used to generate this antibody is proprietary information.

Reactivity data

{ "title": "Reactivity Data", "filters": { "stats": ["", "Species", "Dilution Info", "Notes"], "tabs": { "all-applications": {"fullname" : "All Applications", "shortname": "All Applications"}, "WB" : {"fullname" : "Western blot", "shortname":"WB"}, "FlowCytIntra" : {"fullname" : "Flow Cytometry (Intracellular)", "shortname":"Flow Cyt (Intra)"}, "IHCP" : {"fullname" : "Immunohistochemistry (Formalin/PFA-fixed paraffin-embedded sections)", "shortname":"IHC-P"} }, "product-promise": { "all": "all", "testedAndGuaranteed": "tested", "guaranteed": "expected", "predicted": "predicted", "notRecommended": "not-recommended" } }, "values": { "Human": { "WB-species-checked": "testedAndGuaranteed", "WB-species-dilution-info": "1/1000", "WB-species-notes": "<p></p>", "FlowCytIntra-species-checked": "testedAndGuaranteed", "FlowCytIntra-species-dilution-info": "1/500", "FlowCytIntra-species-notes": "<p></p>", "IHCP-species-checked": "testedAndGuaranteed", "IHCP-species-dilution-info": "1/1000", "IHCP-species-notes": "<p></p>" }, "Mouse": { "WB-species-checked": "guaranteed", "WB-species-dilution-info": "", "WB-species-notes": "", "FlowCytIntra-species-checked": "guaranteed", "FlowCytIntra-species-dilution-info": "", "FlowCytIntra-species-notes": "", "IHCP-species-checked": "testedAndGuaranteed", "IHCP-species-dilution-info": "1/1000", "IHCP-species-notes": "<p></p>" }, "Rat": { "WB-species-checked": "guaranteed", "WB-species-dilution-info": "", "WB-species-notes": "", "FlowCytIntra-species-checked": "guaranteed", "FlowCytIntra-species-dilution-info": "", "FlowCytIntra-species-notes": "", "IHCP-species-checked": "testedAndGuaranteed", "IHCP-species-dilution-info": "1/1000", "IHCP-species-notes": "<p></p>" } } }

Product details

Patented technology
Our RabMAb® technology is a patented hybridoma-based technology for making rabbit monoclonal antibodies. For details on our patents, please refer to RabMAb® patents.

What are the advantages of a recombinant monoclonal antibody?
This product is a recombinant monoclonal antibody, which offers several advantages including:

  • - High batch-to-batch consistency and reproducibility
  • - Improved sensitivity and specificity
  • - Long-term security of supply
  • - Animal-free batch production

For more information, read more on recombinant antibodies.

Properties and storage information

Form
Liquid
Purification technique
Affinity purification Protein A
Storage buffer
pH: 7.2 - 7.4 Preservative: 0.01% Sodium azide Constituents: PBS, 40% Glycerol (glycerin, glycerine), 0.05% BSA
Shipped at conditions
Blue Ice
Appropriate short-term storage duration
1-2 weeks
Appropriate short-term storage conditions
+4°C
Appropriate long-term storage conditions
-20°C
Aliquoting information
Upon delivery aliquot
Storage information
Avoid freeze / thaw cycle

Product protocols

For this product, it's our understanding that no specific protocols are required. You can visit:

Target data

Tumor suppressor probably involved in transcriptional and post-transcriptional control pathways. May be involved in cell cycle progression through the regulation of cyclin D1/PRAD1 expression. Component of the PAF1 complex (PAF1C) which has multiple functions during transcription by RNA polymerase II and is implicated in regulation of development and maintenance of embryonic stem cell pluripotency. PAF1C associates with RNA polymerase II through interaction with POLR2A CTD non-phosphorylated and 'Ser-2'- and 'Ser-5'-phosphorylated forms and is involved in transcriptional elongation, acting both independently and synergistically with TCEA1 and in cooperation with the DSIF complex and HTATSF1. PAF1C is required for transcription of Hox and Wnt target genes. PAF1C is involved in hematopoiesis and stimulates transcriptional activity of KMT2A/MLL1; it promotes leukemogenesis through association with KMT2A/MLL1-rearranged oncoproteins, such as KMT2A/MLL1-MLLT3/AF9 and KMT2A/MLL1-MLLT1/ENL. PAF1C is involved in histone modifications such as ubiquitination of histone H2B and methylation on histone H3 'Lys-4' (H3K4me3). PAF1C recruits the RNF20/40 E3 ubiquitin-protein ligase complex and the E2 enzyme UBE2A or UBE2B to chromatin which mediate monoubiquitination of 'Lys-120' of histone H2B (H2BK120ub1); UB2A/B-mediated H2B ubiquitination is proposed to be coupled to transcription. PAF1C is involved in mRNA 3' end formation probably through association with cleavage and poly(A) factors. In case of infection by influenza A strain H3N2, PAF1C associates with viral NS1 protein, thereby regulating gene transcription. Connects PAF1C with the cleavage and polyadenylation specificity factor (CPSF) complex and the cleavage stimulation factor (CSTF) complex, and with Wnt signaling. Involved in polyadenylation of mRNA precursors.
See full target information CDC73

Publications (3)

Recent publications for all applications. Explore the full list and refine your search

Cancers 14: PubMed36010997

2022

Patterns and Predictors of Cervical Lymph Node Metastasis in Parathyroid Carcinoma.

Applications

Unspecified application

Species

Unspecified reactive species

Ya Hu,Ming Cui,Xiaoyan Chang,Ou Wang,Tianqi Chen,Jinheng Xiao,Mengyi Wang,Surong Hua,Quan Liao

Clinical endocrinology 92:295-302 PubMed31945198

2020

Prognostic role of parafibromin staining and CDC73 mutation in patients with parathyroid carcinoma: A systematic review and meta-analysis based on individual patient data.

Applications

Unspecified application

Species

Unspecified reactive species

Ruizhe Zhu,Zixing Wang,Ya Hu

Endocrine practice : official journal of the Ameri 25:634-641 PubMed30865538

2019

THE INFLUENCE OF SURGICAL EXTENT AND PARAFIBROMIN STAINING ON THE OUTCOME OF PARATHYROID CARCINOMA: 20-YEAR EXPERIENCE FROM A SINGLE INSTITUTE.

Applications

Unspecified application

Species

Unspecified reactive species

Ya Hu,Yalan Bi,Ming Cui,Xiang Zhang,Zhe Su,Mengyi Wang,Surong Hua,Quan Liao,Yupei Zhao
View all publications

Product promise

We are committed to supporting your work with high-quality reagents, and we're here for you every step of the way. In the unlikely event that one of our products does not perform as expected, you're protected by our Product Promise.
For full details, please see our Terms & Conditions

Associated Products

Select an associated product type
Alternative Product
Primary Antibodies

AB139189

Anti-HRPT2/Parafibromin antibody [EPR9218]

primary-antibodies

hrpt2-parafibromin-antibody-epr9218-ab139189

0

(0 reviews)

Alternative Product
Primary Antibodies

AB220097

Anti-HRPT2/Parafibromin antibody

primary-antibodies

hrpt2-parafibromin-antibody-ab220097

0

(0 reviews)

Alternative Product
Primary Antibodies

AB70533

Anti-HRPT2/Parafibromin antibody

primary-antibodies

hrpt2-parafibromin-antibody-ab70533

0

(0 reviews)

Alternative Product
Primary Antibodies

AB139187

Anti-HRPT2/Parafibromin antibody [EPR9219]

primary-antibodies

hrpt2-parafibromin-antibody-epr9219-ab139187

0

(0 reviews)

Please note: All products are 'FOR RESEARCH USE ONLY. NOT FOR USE IN DIAGNOSTIC OR THERAPEUTIC PROCEDURES'.

For licensing inquiries, please contact partnerships@abcam.com