JavaScript is disabled in your browser. Please enable JavaScript to view this website.
AB137808

Anti-Hsc70 antibody

Be the first to review this product! Submit a review

|

(4 Publications)

Rabbit Polyclonal Hsc70 antibody. Suitable for IHC-P, WB and reacts with Human, Mouse samples. Cited in 4 publications. Immunogen corresponding to Recombinant Fragment Protein within Human HSPA8 aa 300-600.

View Alternative Names

HSC70, HSP73, HSPA10, HSPA8, Heat shock cognate 71 kDa protein, Heat shock 70 kDa protein 8, Heat shock protein family A member 8, Lipopolysaccharide-associated protein 1, LAP-1, LPS-associated protein 1

4 Images
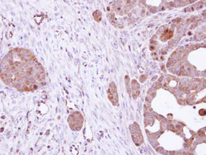
Immunohistochemistry (Formalin/PFA-fixed paraffin-embedded sections) - Anti-Hsc70 antibody (AB137808)
  • IHC-P

Unknown

Immunohistochemistry (Formalin/PFA-fixed paraffin-embedded sections) - Anti-Hsc70 antibody (AB137808)

Immunohistochemical analysis of paraffin-embedded Human NCIN87 xenograft tissue labelling Hsc70 with ab137808 at 1/500 dilution.

Western blot - Anti-Hsc70 antibody (AB137808)
  • WB

Unknown

Western blot - Anti-Hsc70 antibody (AB137808)

7.5% SDS PAGE

All lanes:

Western blot - Anti-Hsc70 antibody (ab137808) at 1/1000 dilution

Lane 1:

A431 whole cell lysate at 30 µg

Lane 2:

H1299 whole cell lysate at 30 µg

Lane 3:

HeLa whole cell lysate at 30 µg

Lane 4:

HepG2 whole cell lysate at 30 µg

Predicted band size: 70 kDa

false

Western blot - Anti-Hsc70 antibody (AB137808)
  • WB

Unknown

Western blot - Anti-Hsc70 antibody (AB137808)

7.5% SDS PAGE

All lanes:

Western blot - Anti-Hsc70 antibody (ab137808) at 1/10000 dilution

All lanes:

Mouse brain whole cell lysate at 50 µg

Predicted band size: 61 kDa,70 kDa

false

Western blot - Anti-Hsc70 antibody (AB137808)
  • WB

Unknown

Western blot - Anti-Hsc70 antibody (AB137808)

All lanes:

Western blot - Anti-Hsc70 antibody (ab137808) at 1/2000 dilution

All lanes:

RAW 264.7 whole cell lysate at 20 µg

Predicted band size: 70 kDa

false

Key facts

Host species

Rabbit

Clonality

Polyclonal

Isotype

IgG

Carrier free

No

Reacts with

Mouse, Human

Applications

IHC-P, WB

applications

Immunogen

Recombinant Fragment Protein within Human HSPA8 aa 300-600. The exact immunogen used to generate this antibody is proprietary information.

P11142

Reactivity data

{ "title": "Reactivity Data", "filters": { "stats": ["", "Species", "Dilution Info", "Notes"], "tabs": { "all-applications": {"fullname" : "All Applications", "shortname": "All Applications"}, "IHCP" : {"fullname" : "Immunohistochemistry (Formalin/PFA-fixed paraffin-embedded sections)", "shortname":"IHC-P"}, "WB" : {"fullname" : "Western blot", "shortname":"WB"} }, "product-promise": { "all": "all", "testedAndGuaranteed": "tested", "guaranteed": "expected", "predicted": "predicted", "notRecommended": "not-recommended" } }, "values": { "Human": { "IHCP-species-checked": "testedAndGuaranteed", "IHCP-species-dilution-info": "1/100 - 1/1000", "IHCP-species-notes": "<p></p> Perform heat-mediated antigen retrieval with citrate buffer pH 6 before commencing with IHC staining protocol.", "WB-species-checked": "testedAndGuaranteed", "WB-species-dilution-info": "1/1000 - 1/10000", "WB-species-notes": "<p></p>" }, "Mouse": { "IHCP-species-checked": "guaranteed", "IHCP-species-dilution-info": "", "IHCP-species-notes": "", "WB-species-checked": "testedAndGuaranteed", "WB-species-dilution-info": "1/1000 - 1/10000", "WB-species-notes": "<p></p>" }, "Rat": { "IHCP-species-checked": "predicted", "IHCP-species-dilution-info": "", "IHCP-species-notes": "", "WB-species-checked": "predicted", "WB-species-dilution-info": "", "WB-species-notes": "" }, "Chicken": { "IHCP-species-checked": "predicted", "IHCP-species-dilution-info": "", "IHCP-species-notes": "", "WB-species-checked": "predicted", "WB-species-dilution-info": "", "WB-species-notes": "" }, "Cow": { "IHCP-species-checked": "predicted", "IHCP-species-dilution-info": "", "IHCP-species-notes": "", "WB-species-checked": "predicted", "WB-species-dilution-info": "", "WB-species-notes": "" }, "Xenopus laevis": { "IHCP-species-checked": "predicted", "IHCP-species-dilution-info": "", "IHCP-species-notes": "", "WB-species-checked": "predicted", "WB-species-dilution-info": "", "WB-species-notes": "" }, "Zebrafish": { "IHCP-species-checked": "predicted", "IHCP-species-dilution-info": "", "IHCP-species-notes": "", "WB-species-checked": "predicted", "WB-species-dilution-info": "", "WB-species-notes": "" } } }

Properties and storage information

Form
Liquid
Purification technique
Affinity purification Immunogen
Storage buffer
pH: 7 Preservative: 0.01% Thimerosal (merthiolate) Constituents: 10% Glycerol (glycerin, glycerine), 1.21% Tris, 0.75% Glycine
Shipped at conditions
Blue Ice
Appropriate short-term storage conditions
+4°C
Appropriate long-term storage conditions
-20°C
Aliquoting information
Upon delivery aliquot
Storage information
Avoid freeze / thaw cycle

Supplementary information

This supplementary information is collated from multiple sources and compiled automatically.

The heat shock cognate 70 (Hsc70) protein also known as HSPA8 plays an important role in chaperone-mediated cellular processes. It exhibits a molecular weight of approximately 70 kDa. Hsc70 is abundantly expressed in various tissues and organs including the brain muscle and liver. As a member of the heat shock protein family Hsc70 maintains protein homeostasis by preventing protein aggregation and assisting in protein folding.
Biological function summary

Hsc70 participates in several processes beyond protein folding. This includes its involvement in the transport of proteins across cellular membranes and the degradation of misfolded proteins. Hsc70 often works in conjunction with co-chaperones and forms part of large protein complexes such as the chaperone machinery involved in clathrin-mediated endocytosis. It also plays a part in cellular stress responses supporting cell survival under various stress conditions.

Pathways

Hsc70 integrates into fundamental cellular pathways such as the ubiquitin-proteasome system and the ER-associated degradation pathway. These pathways are important for protein quality control where Hsc70 collaborates with other heat shock proteins like Hsp40 to facilitate the correct folding and clearance of proteins. In the context of autophagy Hsc70 mediates the recognition and trafficking of specific substrates to lysosomes for degradation demonstrating its importance in maintaining cellular health through these pathways.

Hsc70 shows a strong connection to neurodegenerative diseases and cancer. Misregulation of Hsc70 activity can result in protein aggregation seen in disorders such as Parkinson's disease. This situation often links Hsc70 to proteins like alpha-synuclein which accumulate abnormally in these diseases. In cancer altered expression of Hsc70 can promote tumor development by hyper-accommodating the stress conditions within the tumor microenvironment. Hsc70's interplay with proteins such as p53 highlights its role in the pathology of tumorigenesis.

Product protocols

For this product, it's our understanding that no specific protocols are required. You can visit:

Target data

Molecular chaperone implicated in a wide variety of cellular processes, including protection of the proteome from stress, folding and transport of newly synthesized polypeptides, chaperone-mediated autophagy, activation of proteolysis of misfolded proteins, formation and dissociation of protein complexes, and antigen presentation. Plays a pivotal role in the protein quality control system, ensuring the correct folding of proteins, the re-folding of misfolded proteins and controlling the targeting of proteins for subsequent degradation (PubMed : 21148293, PubMed : 21150129, PubMed : 23018488, PubMed : 24732912, PubMed : 27916661, PubMed : 2799391, PubMed : 36586411). This is achieved through cycles of ATP binding, ATP hydrolysis and ADP release, mediated by co-chaperones (PubMed : 12526792, PubMed : 21148293, PubMed : 21150129, PubMed : 23018488, PubMed : 24732912, PubMed : 27916661). The co-chaperones have been shown to not only regulate different steps of the ATPase cycle of HSP70, but they also have an individual specificity such that one co-chaperone may promote folding of a substrate while another may promote degradation (PubMed : 12526792, PubMed : 21148293, PubMed : 21150129, PubMed : 23018488, PubMed : 24732912, PubMed : 27916661). The affinity of HSP70 for polypeptides is regulated by its nucleotide bound state. In the ATP-bound form, it has a low affinity for substrate proteins. However, upon hydrolysis of the ATP to ADP, it undergoes a conformational change that increases its affinity for substrate proteins. HSP70 goes through repeated cycles of ATP hydrolysis and nucleotide exchange, which permits cycles of substrate binding and release. The HSP70-associated co-chaperones are of three types : J-domain co-chaperones HSP40s (stimulate ATPase hydrolysis by HSP70), the nucleotide exchange factors (NEF) such as BAG1/2/3 (facilitate conversion of HSP70 from the ADP-bound to the ATP-bound state thereby promoting substrate release), and the TPR domain chaperones such as HOPX and STUB1 (PubMed : 24121476, PubMed : 24318877, PubMed : 26865365, PubMed : 27474739). Plays a critical role in mitochondrial import, delivers preproteins to the mitochondrial import receptor TOMM70 (PubMed : 12526792). Acts as a repressor of transcriptional activation. Inhibits the transcriptional coactivator activity of CITED1 on Smad-mediated transcription. Component of the PRP19-CDC5L complex that forms an integral part of the spliceosome and is required for activating pre-mRNA splicing. May have a scaffolding role in the spliceosome assembly as it contacts all other components of the core complex. Binds bacterial lipopolysaccharide (LPS) and mediates LPS-induced inflammatory response, including TNF secretion by monocytes (PubMed : 10722728, PubMed : 11276205). Substrate recognition component in chaperone-mediated autophagy (CMA), a selective protein degradation process that mediates degradation of proteins with a -KFERQ motif : HSPA8/HSC70 specifically recognizes and binds cytosolic proteins bearing a -KFERQ motif and promotes their recruitment to the surface of the lysosome where they bind to lysosomal protein LAMP2 (PubMed : 11559757, PubMed : 2799391, PubMed : 36586411). KFERQ motif-containing proteins are eventually transported into the lysosomal lumen where they are degraded (PubMed : 11559757, PubMed : 2799391, PubMed : 36586411). In conjunction with LAMP2, facilitates MHC class II presentation of cytoplasmic antigens by guiding antigens to the lysosomal membrane for interaction with LAMP2 which then elicits MHC class II presentation of peptides to the cell membrane (PubMed : 15894275). Participates in the ER-associated degradation (ERAD) quality control pathway in conjunction with J domain-containing co-chaperones and the E3 ligase STUB1 (PubMed : 23990462). It is recruited to clathrin-coated vesicles through its interaction with DNAJC6 leading to activation of HSPA8/HSC70 ATPase activity and therefore uncoating of clathrin-coated vesicles (By similarity).
See full target information HSPA8

Publications (4)

Recent publications for all applications. Explore the full list and refine your search

Conservation physiology 8:coaa101 PubMed34868596

2020

Compromised thermal tolerance of cardiovascular capacity in upstream migrating Arctic char and brown trout-are hot summers threatening migrating salmonids?

Applications

Unspecified application

Species

Unspecified reactive species

Giovanna Mottola,Torstein Kristensen,Katja Anttila

Virologica Sinica 35:143-155 PubMed31429011

2019

Proteomic Profiling of Purified Rabies Virus Particles.

Applications

Unspecified application

Species

Unspecified reactive species

Yan Zhang,Yuyang Wang,Ye Feng,Zhongzhong Tu,Zhiyong Lou,Changchun Tu

Journal of extracellular vesicles 7:1422675 PubMed29410779

2018

Exosomes as secondary inductive signals involved in kidney organogenesis.

Applications

Unspecified application

Species

Unspecified reactive species

Mirja Krause,Aleksandra Rak-Raszewska,Florence Naillat,Ulla Saarela,Christina Schmidt,Veli-Pekka Ronkainen,Geneviève Bart,Seppo Ylä-Herttuala,Seppo J Vainio

Scientific reports 6:36961 PubMed27833127

2016

Two-Dimensional Gel Electrophoresis-Based Proteomic Analysis Reveals N-terminal Truncation of the Hsc70 Protein in Cotton Fibers In Vivo.

Applications

WB

Species

Unspecified reactive species

Chengcheng Tao,Xiang Jin,Liping Zhu,Hongbin Li
View all publications

Product promise

We are committed to supporting your work with high-quality reagents, and we're here for you every step of the way. In the unlikely event that one of our products does not perform as expected, you're protected by our Product Promise.
For full details, please see our Terms & Conditions

Please note: All products are 'FOR RESEARCH USE ONLY. NOT FOR USE IN DIAGNOSTIC OR THERAPEUTIC PROCEDURES'.

For licensing inquiries, please contact partnerships@abcam.com