JavaScript is disabled in your browser. Please enable JavaScript to view this website.
AB76005

Anti-HSC70 Interacting Protein HIP antibody [EP3264]

Be the first to review this product! Submit a review

|

(3 Publications)

Rabbit Monoclonal HSC70 Interacting Protein HIP antibody. Suitable for IHC-P, WB and reacts with Human samples. Cited in 3 publications.

View Alternative Names

AAG2, FAM10A1, HIP, SNC6, ST13, Hsc70-interacting protein, Hip, Aging-associated protein 2, Progesterone receptor-associated p48 protein, Protein FAM10A1, Putative tumor suppressor ST13, Renal carcinoma antigen NY-REN-33, Suppression of tumorigenicity 13 protein

3 Images
Immunohistochemistry (Formalin/PFA-fixed paraffin-embedded sections) - Anti-HSC70 Interacting Protein HIP antibody [EP3264] (AB76005)
  • IHC-P

Unknown

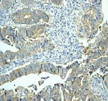
Immunohistochemistry (Formalin/PFA-fixed paraffin-embedded sections) - Anti-HSC70 Interacting Protein HIP antibody [EP3264] (AB76005)

ab76005 at 1/100 dilution staining HSC70 Interacting Protein HIP in human normal colon by Immunohistochemistry, Paraffin-embedded tissue.

Perform heat mediated antigen retrieval before commencing with IHC staining protocol.

Immunohistochemistry (Formalin/PFA-fixed paraffin-embedded sections) - Anti-HSC70 Interacting Protein HIP antibody [EP3264] (AB76005)
  • IHC-P

Unknown

Immunohistochemistry (Formalin/PFA-fixed paraffin-embedded sections) - Anti-HSC70 Interacting Protein HIP antibody [EP3264] (AB76005)

ab76005 at 1/100 dilution staining HSC70 Interacting Protein HIP in human colonic adenocarcinoma by Immunohistochemistry, Paraffin-embedded tissue.

Perform heat mediated antigen retrieval before commencing with IHC staining protocol.

Western blot - Anti-HSC70 Interacting Protein HIP antibody [EP3264] (AB76005)
  • WB

Unknown

Western blot - Anti-HSC70 Interacting Protein HIP antibody [EP3264] (AB76005)

All lanes:

Western blot - Anti-HSC70 Interacting Protein HIP antibody [EP3264] (ab76005) at 1/100000 dilution

Lane 1:

293T cell lysate at 10 µg

Lane 2:

SW480 cell lysate at 10 µg

Secondary

All lanes:

goat anti-rabbit HRP at 1/1000 dilution

Predicted band size: 41 kDa

Observed band size: 47 kDa

true

  • Carrier free

    Anti-HSC70 Interacting Protein HIP antibody [EP3264] - BSA and Azide free

Key facts

Host species

Rabbit

Clonality

Monoclonal

Clone number

EP3264

Isotype

IgG

Carrier free

No

Reacts with

Human

Applications

WB, IHC-P

applications

Immunogen

The exact immunogen used to generate this antibody is proprietary information.

Reactivity data

{ "title": "Reactivity Data", "filters": { "stats": ["", "Species", "Dilution Info", "Notes"], "tabs": { "all-applications": {"fullname" : "All Applications", "shortname": "All Applications"}, "IHCP" : {"fullname" : "Immunohistochemistry (Formalin/PFA-fixed paraffin-embedded sections)", "shortname":"IHC-P"}, "IP" : {"fullname" : "Immunoprecipitation", "shortname":"IP"}, "WB" : {"fullname" : "Western blot", "shortname":"WB"} }, "product-promise": { "all": "all", "testedAndGuaranteed": "tested", "guaranteed": "expected", "predicted": "predicted", "notRecommended": "not-recommended" } }, "values": { "Human": { "IHCP-species-checked": "testedAndGuaranteed", "IHCP-species-dilution-info": "1/100 - 1/250", "IHCP-species-notes": "<p></p> Perform heat-mediated antigen retrieval before commencing with IHC staining protocol.", "IP-species-checked": "notRecommended", "IP-species-dilution-info": "", "IP-species-notes": "<p></p>", "WB-species-checked": "testedAndGuaranteed", "WB-species-dilution-info": "1/2500 - 1/5000", "WB-species-notes": "<p></p>" }, "Mouse": { "IHCP-species-checked": "predicted", "IHCP-species-dilution-info": "", "IHCP-species-notes": "", "IP-species-checked": "notRecommended", "IP-species-dilution-info": "", "IP-species-notes": "", "WB-species-checked": "predicted", "WB-species-dilution-info": "", "WB-species-notes": "" } } }

Product details

Patented technology
Our RabMAb® technology is a patented hybridoma-based technology for making rabbit monoclonal antibodies. For details on our patents, please refer to RabMAb® patents.

Species reactivity
Rat: We have preliminary internal testing data to indicate this antibody may not react with this species.
Please contact us for more information.

Properties and storage information

Form
Liquid
Purity
Tissue culture supernatant
Storage buffer
pH: 7.2 - 7.4 Preservative: 0.05% Sodium azide Constituents: 50% Tissue culture supernatant, 40% Glycerol (glycerin, glycerine), 9.85% Tris glycine, 0.1% BSA
Shipped at conditions
Blue Ice
Appropriate short-term storage conditions
+4°C
Appropriate long-term storage conditions
-20°C
Aliquoting information
Upon delivery aliquot
Storage information
Avoid freeze / thaw cycle

Product protocols

For this product, it's our understanding that no specific protocols are required. You can visit:

Target data

One HIP oligomer binds the ATPase domains of at least two HSC70 molecules dependent on activation of the HSC70 ATPase by HSP40. Stabilizes the ADP state of HSC70 that has a high affinity for substrate protein. Through its own chaperone activity, it may contribute to the interaction of HSC70 with various target proteins (By similarity).
See full target information ST13

Publications (3)

Recent publications for all applications. Explore the full list and refine your search

Frontiers in oncology 11:672684 PubMed34249713

2021

Exosomal miR-183-5p Shuttled by M2 Polarized Tumor-Associated Macrophage Promotes the Development of Colon Cancer Targeting THEM4 Mediated PI3K/AKT and NF-κB Pathways.

Applications

Unspecified application

Species

Unspecified reactive species

Shangxin Zhang,Deguan Li,Min Zhao,Fei Yang,Changye Sang,Changhong Yan,Zhenjun Wang,Yongxiang Li

Biomaterials science 7:4310-4324 PubMed31410428

2019

Use of l-pNIPAM hydrogel as a 3D-scaffold for intestinal crypts and stem cell tissue engineering.

Applications

Unspecified application

Species

Unspecified reactive species

Rasha H Dosh,Nicola Jordan-Mahy,Christopher Sammon,Christine L Le Maitre

Biomedicine & pharmacotherapy = Biomedecine & phar 107:1210-1217 PubMed30257335

2018

Toll-like receptor 4 shRNA attenuates lipopolysaccharide-induced epithelial-mesenchymal transition of intrahepatic biliary epithelial cells in rats.

Applications

Unspecified application

Species

Unspecified reactive species

Shifang Tang,Xiuhan Jiang,Lang Wu,Shifa Chen,Ling Chen,Jichang Jiang,Pengzhan Yan,Fang Wang,Kui Tu,Dianbei Wang,Jin Gu,Lijin Zhao
View all publications

Product promise

We are committed to supporting your work with high-quality reagents, and we're here for you every step of the way. In the unlikely event that one of our products does not perform as expected, you're protected by our Product Promise.
For full details, please see our Terms & Conditions

Please note: All products are 'FOR RESEARCH USE ONLY. NOT FOR USE IN DIAGNOSTIC OR THERAPEUTIC PROCEDURES'.

For licensing inquiries, please contact partnerships@abcam.com