JavaScript is disabled in your browser. Please enable JavaScript to view this website.
AB175049

Anti-HSD11B1 antibody [EPR9407(2)] - BSA and Azide free

Be the first to review this product! Submit a review

|

(1 Publication)

Rabbit Recombinant Monoclonal HSD11B1 antibody. Carrier free. Suitable for IHC-P, ICC/IF, WB, Flow Cyt (Intra) and reacts with Human samples. Cited in 1 publication.

View Alternative Names

HSD11, HSD11L, SDR26C1, HSD11B1, 11-beta-hydroxysteroid dehydrogenase 1, 11-DH, 11-beta-HSD1, 7-oxosteroid reductase, Corticosteroid 11-beta-dehydrogenase isozyme 1, Short chain dehydrogenase/reductase family 26C member 1

4 Images
Flow Cytometry (Intracellular) - Anti-HSD11B1 antibody [EPR9407(2)] - BSA and Azide free (AB175049)
  • Flow Cyt (Intra)

Lab

Flow Cytometry (Intracellular) - Anti-HSD11B1 antibody [EPR9407(2)] - BSA and Azide free (AB175049)

This data was developed using ab157223, the same antibody clone in a different buffer formulation. Intracellular Flow Cytometry analysis of HepG2 (Human hepatocellular carcinoma epithelial cell) cells labeling HSD11B1 with Purified ab157223 at 1/30 dilution (10 μg/ml) (Red). Cells were fixed with 4% Paraformaldehyde and permeabilised with 90% Methanol. A Goat anti rabbit IgG (Alexa Fluor® 488 ,ab150077) secondary antibody was used at 1/2000. Isotype control - Rabbit monoclonal IgG (Black). Unlabeled control - Cell without incubation with primary antibody and secondary antibody (Blue).

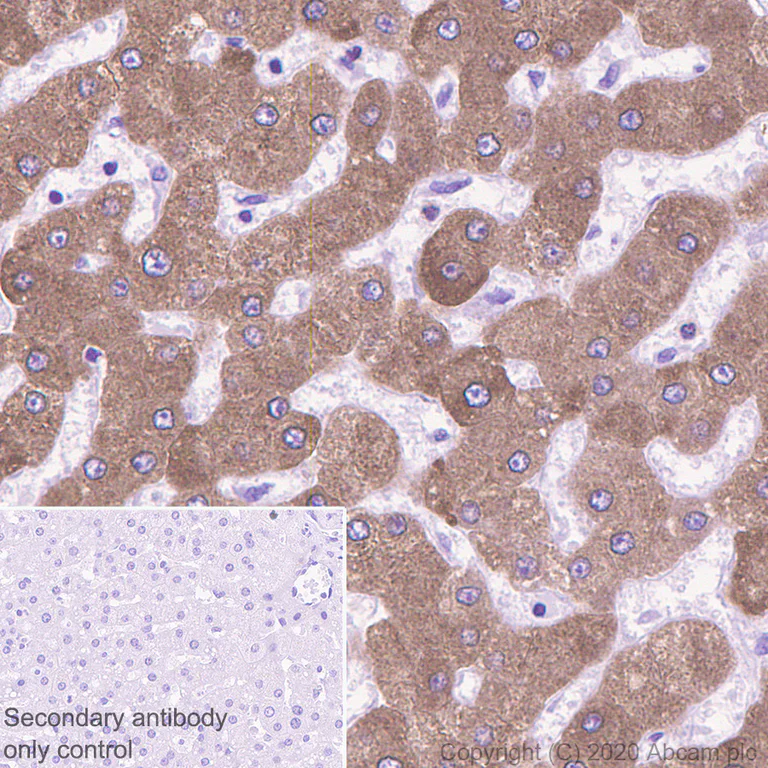
Immunohistochemistry (Formalin/PFA-fixed paraffin-embedded sections) - Anti-HSD11B1 antibody [EPR9407(2)] - BSA and Azide free (AB175049)
  • IHC-P

Lab

Immunohistochemistry (Formalin/PFA-fixed paraffin-embedded sections) - Anti-HSD11B1 antibody [EPR9407(2)] - BSA and Azide free (AB175049)

This data was developed using ab157223, the same antibody clone in a different buffer formulation.
Immunohistochemistry (Formalin/PFA-fixed paraffin-embedded sections) analysis of Human liver tissue sections labeling HSD11B1 with purified ab157223 at 1/1500 dilution (0.172 µg/mL). Heat mediated antigen retrieval using Bond™ Epitope Retrieval Solution 2 (pH 9.0). The immunostaining was performed on a Leica Biosystems BOND® RX instrument. Rabbit specific IHC polymer detection kit HRP/DAB (ab209101) was used as the secondary antibody. Negative control : PBS instead of the primary antibody. Hematoxylin was used as a counterstain.

Immunocytochemistry/ Immunofluorescence - Anti-HSD11B1 antibody [EPR9407(2)] - BSA and Azide free (AB175049)
  • ICC/IF

Lab

Immunocytochemistry/ Immunofluorescence - Anti-HSD11B1 antibody [EPR9407(2)] - BSA and Azide free (AB175049)

This data was developed using ab157223, the same antibody clone in a different buffer formulation.
Immunocytochemistry analysis of HepG2 (Human hepatocellular carcinoma epithelial cell) cells labeling HSD11B1 with Purified ab157223 at 1 : 50 dilution (5.2 μg/ml). Cells were fixed in 4% Paraformaldehyde and permeabilized with 0.1% tritonX-100. Cells were counterstained with ab195889 Anti-alpha Tubulin antibody [DM1A] - Microtubule Marker (Alexa Fluor® 594) 1 : 200 (2.5 μg/ml). Goat anti rabbit IgG (Alexa Fluor® 488,ab150077) was used as the secondary antibody at 1 : 1000 (2 μg/ml) dilution. DAPI (blue) was used as nuclear counterstain. PBS instead of the primary antibody was used as the secondary antibody only control.

Western blot - Anti-HSD11B1 antibody [EPR9407(2)] - BSA and Azide free (AB175049)
  • WB

Unknown

Western blot - Anti-HSD11B1 antibody [EPR9407(2)] - BSA and Azide free (AB175049)

All lanes:

Western blot - Anti-HSD11B1 antibody [EPR9407(2)] (<a href='/en-us/products/primary-antibodies/hsd11b1-antibody-epr94072-ab157223'>ab157223</a>) at 1/10000 dilution

All lanes:

Human liver lysate

Secondary

All lanes:

Goat Anti-Rabbit IgG (HRP) with minimal cross-reactivity with human IgG at 1/2000 dilution

Predicted band size: 32 kDa

false

Key facts

Host species

Rabbit

Clonality

Monoclonal

Clone number

EPR9407(2)

Isotype

IgG

Carrier free

Yes

Reacts with

Human

Applications

Flow Cyt (Intra), IHC-P, WB, ICC/IF

applications

Immunogen

The exact immunogen used to generate this antibody is proprietary information.

Reactivity data

{ "title": "Reactivity Data", "filters": { "stats": ["", "Species", "Dilution Info", "Notes"], "tabs": { "all-applications": {"fullname" : "All Applications", "shortname": "All Applications"}, "IHCP" : {"fullname" : "Immunohistochemistry (Formalin/PFA-fixed paraffin-embedded sections)", "shortname":"IHC-P"}, "ICCIF" : {"fullname" : "Immunocytochemistry/ Immunofluorescence", "shortname":"ICC/IF"}, "WB" : {"fullname" : "Western blot", "shortname":"WB"}, "FlowCytIntra" : {"fullname" : "Flow Cytometry (Intracellular)", "shortname":"Flow Cyt (Intra)"} }, "product-promise": { "all": "all", "testedAndGuaranteed": "tested", "guaranteed": "expected", "predicted": "predicted", "notRecommended": "not-recommended" } }, "values": { "Human": { "IHCP-species-checked": "testedAndGuaranteed", "IHCP-species-dilution-info": "", "IHCP-species-notes": "<p></p>", "ICCIF-species-checked": "testedAndGuaranteed", "ICCIF-species-dilution-info": "", "ICCIF-species-notes": "<p></p>", "WB-species-checked": "testedAndGuaranteed", "WB-species-dilution-info": "", "WB-species-notes": "<p></p>", "FlowCytIntra-species-checked": "testedAndGuaranteed", "FlowCytIntra-species-dilution-info": "", "FlowCytIntra-species-notes": "<p></p>" } } }

Product details

ab175049 is the carrier-free version of ab157223.

Species reactivity
Mouse, Rat: We have preliminary internal testing data to indicate this antibody may not react with these species.
Please contact us for more information.

Patented technology
Our RabMAb® technology is a patented hybridoma-based technology for making rabbit monoclonal antibodies. For details on our patents, please refer to RabMAb® patents.

What are the advantages of a recombinant monoclonal antibody?
This product is a recombinant monoclonal antibody, which offers several advantages including:

  • - High batch-to-batch consistency and reproducibility
  • - Improved sensitivity and specificity
  • - Long-term security of supply
  • - Animal-free batch production

For more information, read more on recombinant antibodies.

Conjugation ready
Our carrier-free antibodies are typically supplied in a PBS-only formulation, purified and free of BSA, sodium azide and glycerol. This conjugation-ready format is designed for use with fluorochromes, metal isotopes, oligonucleotides, and enzymes, which makes them ideal for antibody labelling, functional and cell-based assays, flow-based assays (e.g. mass cytometry) and Multiplex Imaging applications.

Use our conjugation kits for antibody conjugates that are ready-to-use in as little as 20 minutes with 1 minute hands-on-time and 100% antibody recovery: available for fluorescent dyes, HRP, biotin and gold.

Compatibility
This product is compatible with the Maxpar® Antibody Labeling Kit from Fluidigm, without the need for antibody preparation. Maxpar® is a trademark of Fluidigm Canada Inc.

Properties and storage information

Form
Liquid
Purification technique
Affinity purification Protein A
Storage buffer
Constituents: PBS
Shipped at conditions
Blue Ice
Appropriate short-term storage conditions
+4°C
Appropriate long-term storage conditions
+4°C
Storage information
Do Not Freeze

Product protocols

For this product, it's our understanding that no specific protocols are required. You can visit:

Target data

Controls the reversible conversion of biologically active glucocorticoids such as cortisone to cortisol, and 11-dehydrocorticosterone to corticosterone in the presence of NADP(H) (PubMed : 10497248, PubMed : 12460758, PubMed : 14973125, PubMed : 15152005, PubMed : 15280030, PubMed : 17593962, PubMed : 21453287, PubMed : 27927697, PubMed : 30902677). Participates in the corticosteroid receptor-mediated anti-inflammatory response, as well as metabolic and homeostatic processes (PubMed : 10497248, PubMed : 12414862, PubMed : 15152005, PubMed : 21453287). Plays a role in the secretion of aqueous humor in the eye, maintaining a normotensive, intraocular environment (PubMed : 11481269). Bidirectional in vitro, predominantly functions as a reductase in vivo, thereby increasing the concentration of active glucocorticoids (PubMed : 10497248, PubMed : 11481269, PubMed : 12414862, PubMed : 12460758). It has broad substrate specificity, besides glucocorticoids, it accepts other steroid and sterol substrates (PubMed : 15095019, PubMed : 15152005, PubMed : 17593962, PubMed : 21453287). Interconverts 7-oxo- and 7-hydroxy-neurosteroids such as 7-oxopregnenolone and 7beta-hydroxypregnenolone, 7-oxodehydroepiandrosterone (3beta-hydroxy-5-androstene-7,17-dione) and 7beta-hydroxydehydroepiandrosterone (3beta,7beta-dihydroxyandrost-5-en-17-one), among others (PubMed : 17593962). Catalyzes the stereo-specific conversion of the major dietary oxysterol, 7-ketocholesterol (7-oxocholesterol), into the more polar 7-beta-hydroxycholesterol metabolite (PubMed : 15095019, PubMed : 15152005). 7-oxocholesterol is one of the most important oxysterols, it participates in several events such as induction of apoptosis, accumulation in atherosclerotic lesions, lipid peroxidation, and induction of foam cell formation (PubMed : 15095019). Mediates the 7-oxo reduction of 7-oxolithocholate mainly to chenodeoxycholate, and to a lesser extent to ursodeoxycholate, both in its free form and when conjugated to glycine or taurine, providing a link between glucocorticoid activation and bile acid metabolism (PubMed : 21453287). Catalyzes the synthesis of 7-beta-25-dihydroxycholesterol from 7-oxo-25-hydroxycholesterol in vitro, which acts as a ligand for the G-protein-coupled receptor (GPCR) Epstein-Barr virus-induced gene 2 (EBI2) and may thereby regulate immune cell migration (PubMed : 30902677).
See full target information HSD11B1

Publications (1)

Recent publications for all applications. Explore the full list and refine your search

The Journal of cell biology 224: PubMed40116769

2025

STIM1/2 maintain signaling competence at ER-PM contact sites during neutrophil spreading.

Applications

Unspecified application

Species

Unspecified reactive species

Camille Rabesahala de Meritens,Amado Carreras-Sureda,Nicolas Rosa,Robert Pick,Christoph Scheiermann,Nicolas Demaurex
View all publications

Product promise

We are committed to supporting your work with high-quality reagents, and we're here for you every step of the way. In the unlikely event that one of our products does not perform as expected, you're protected by our Product Promise.
For full details, please see our Terms & Conditions

Please note: All products are 'FOR RESEARCH USE ONLY. NOT FOR USE IN DIAGNOSTIC OR THERAPEUTIC PROCEDURES'.

For licensing inquiries, please contact partnerships@abcam.com