JavaScript is disabled in your browser. Please enable JavaScript to view this website.
AB203132

Anti-HSD11B2 antibody

Be the first to review this product! Submit a review

|

(6 Publications)

Rabbit Polyclonal HSD11B2 antibody. Suitable for IHC-P, WB and reacts with Mouse, Rat, Human, Horse samples. Cited in 6 publications. Immunogen corresponding to Synthetic Peptide within Human HSD11B2 aa 150-250 conjugated to Keyhole Limpet Haemocyanin.

View Alternative Names

HSD11K, SDR9C3, HSD11B2, 11-beta-hydroxysteroid dehydrogenase type 2, 11-DH2, 11-beta-HSD2, 11-beta-hydroxysteroid dehydrogenase type II, Corticosteroid 11-beta-dehydrogenase isozyme 2, NAD-dependent 11-beta-hydroxysteroid dehydrogenase, Short chain dehydrogenase/reductase family 9C member 3, 11-HSD type II, 11-beta-HSD type II

7 Images
Immunohistochemistry (Formalin/PFA-fixed paraffin-embedded sections) - Anti-HSD11B2 antibody (AB203132)
  • IHC-P

Supplier Data

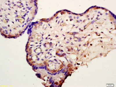
Immunohistochemistry (Formalin/PFA-fixed paraffin-embedded sections) - Anti-HSD11B2 antibody (AB203132)

Immunohistochemical analysis of formalin-fixed, paraffin-embedded human placenta tissue labeling HSD11B2 with ab203132 at 1/200 dilution followed by conjugation to the secondary antibody and DAB staining.

Immunohistochemistry (Formalin/PFA-fixed paraffin-embedded sections) - Anti-HSD11B2 antibody (AB203132)
  • IHC-P

Supplier Data

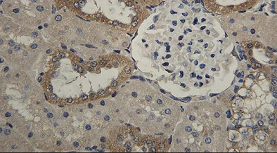
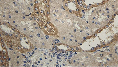
Immunohistochemistry (Formalin/PFA-fixed paraffin-embedded sections) - Anti-HSD11B2 antibody (AB203132)

Immunohistochemical analysis of formalin-fixed, paraffin-embedded mouse kidney tissue labeling HSD11B2 with ab203132 at 1/200 dilution followed by conjugation to the secondary antibody and DAB staining.

Immunohistochemistry (Formalin/PFA-fixed paraffin-embedded sections) - Anti-HSD11B2 antibody (AB203132)
  • IHC-P

Supplier Data

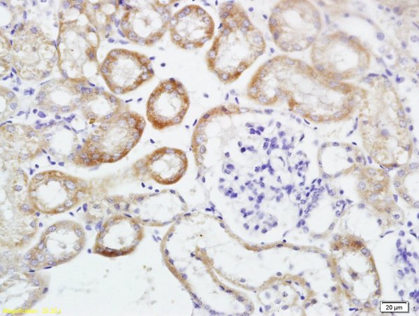
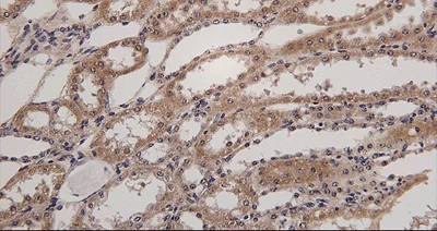
Immunohistochemistry (Formalin/PFA-fixed paraffin-embedded sections) - Anti-HSD11B2 antibody (AB203132)

Immunohistochemical analysis of formalin-fixed, paraffin-embedded rat kidney tissue labeling HSD11B2 with ab203132 at 1/200 dilution followed by conjugation to the secondary antibody and DAB staining.

Immunohistochemistry (Formalin/PFA-fixed paraffin-embedded sections) - Anti-HSD11B2 antibody (AB203132)
  • IHC-P

Supplier Data

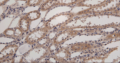
Immunohistochemistry (Formalin/PFA-fixed paraffin-embedded sections) - Anti-HSD11B2 antibody (AB203132)

Immunohistochemical analysis of formalin-fixed, paraffin-embedded rat kidney tissue labeling HSD11B2 with ab203132 at 1/200 dilution followed by conjugation to the secondary antibody and DAB staining.

Immunohistochemistry (Formalin/PFA-fixed paraffin-embedded sections) - Anti-HSD11B2 antibody (AB203132)
  • IHC-P

Supplier Data

Immunohistochemistry (Formalin/PFA-fixed paraffin-embedded sections) - Anti-HSD11B2 antibody (AB203132)

Immunohistochemical analysis of formalin-fixed, paraffin-embedded horse kidney tissue labeling HSD11B2 with ab203132 at 1/200 dilution followed by conjugation to the secondary antibody and DAB staining.

Immunohistochemistry (Formalin/PFA-fixed paraffin-embedded sections) - Anti-HSD11B2 antibody (AB203132)
  • IHC-P

Supplier Data

Immunohistochemistry (Formalin/PFA-fixed paraffin-embedded sections) - Anti-HSD11B2 antibody (AB203132)

Immunohistochemical analysis of formalin-fixed, paraffin-embedded horse kidney tissue labeling HSD11B2 with ab203132 at 1/200 dilution followed by conjugation to the secondary antibody and DAB staining.

Western blot - Anti-HSD11B2 antibody (AB203132)
  • WB

Lab

Western blot - Anti-HSD11B2 antibody (AB203132)

All lanes:

Western blot - Anti-HSD11B2 antibody (ab203132) at 1/1000 dilution

All lanes:

Mouse kidney lysates

Secondary

All lanes:

Conjugated secondary antibody at 1/20000 dilution

Predicted band size: 44 kDa

false

Key facts

Host species

Rabbit

Clonality

Polyclonal

Isotype

IgG

Carrier free

No

Reacts with

Mouse, Rat, Horse, Human

Applications

WB, IHC-P

applications

Immunogen

Synthetic Peptide within Human HSD11B2 aa 150-250 conjugated to Keyhole Limpet Haemocyanin. The exact immunogen used to generate this antibody is proprietary information.

P80365

Reactivity data

{ "title": "Reactivity Data", "filters": { "stats": ["", "Species", "Dilution Info", "Notes"], "tabs": { "all-applications": {"fullname" : "All Applications", "shortname": "All Applications"}, "IHCP" : {"fullname" : "Immunohistochemistry (Formalin/PFA-fixed paraffin-embedded sections)", "shortname":"IHC-P"}, "WB" : {"fullname" : "Western blot", "shortname":"WB"} }, "product-promise": { "all": "all", "testedAndGuaranteed": "tested", "guaranteed": "expected", "predicted": "predicted", "notRecommended": "not-recommended" } }, "values": { "Human": { "IHCP-species-checked": "testedAndGuaranteed", "IHCP-species-dilution-info": "1/100 - 1/500", "IHCP-species-notes": "<p></p>", "WB-species-checked": "guaranteed", "WB-species-dilution-info": "", "WB-species-notes": "" }, "Mouse": { "IHCP-species-checked": "testedAndGuaranteed", "IHCP-species-dilution-info": "1/100 - 1/500", "IHCP-species-notes": "<p></p>", "WB-species-checked": "testedAndGuaranteed", "WB-species-dilution-info": "1/1000", "WB-species-notes": "<p></p>" }, "Rat": { "IHCP-species-checked": "testedAndGuaranteed", "IHCP-species-dilution-info": "1/100 - 1/500", "IHCP-species-notes": "<p></p>", "WB-species-checked": "guaranteed", "WB-species-dilution-info": "", "WB-species-notes": "" }, "Horse": { "IHCP-species-checked": "testedAndGuaranteed", "IHCP-species-dilution-info": "1/100 - 1/500", "IHCP-species-notes": "<p></p>", "WB-species-checked": "guaranteed", "WB-species-dilution-info": "", "WB-species-notes": "" } } }

Properties and storage information

Form
Liquid
Purification technique
Affinity purification Protein A
Storage buffer
pH: 7.4 Preservative: 0.02% Proclin 300 Constituents: 50% Glycerol (glycerin, glycerine), 48.98% TBS, 1X, 1% BSA
Shipped at conditions
Blue Ice
Appropriate short-term storage duration
1-2 weeks
Appropriate short-term storage conditions
+4°C
Appropriate long-term storage conditions
-20°C
Aliquoting information
Upon delivery aliquot
Storage information
Avoid freeze / thaw cycle

Product protocols

For this product, it's our understanding that no specific protocols are required. You can visit:

Target data

Catalyzes the conversion of biologically active 11beta-hydroxyglucocorticoids (11beta-hydroxysteroid) such as cortisol, to inactive 11-ketoglucocorticoids (11-oxosteroid) such as cortisone, in the presence of NAD(+) (PubMed : 10497248, PubMed : 12788846, PubMed : 17314322, PubMed : 22796344, PubMed : 27927697, PubMed : 30902677, PubMed : 33387577, PubMed : 7859916, PubMed : 8538347). Functions as a dehydrogenase (oxidase), thereby decreasing the concentration of active glucocorticoids, thus protecting the nonselective mineralocorticoid receptor from occupation by glucocorticoids (PubMed : 10497248, PubMed : 12788846, PubMed : 17314322, PubMed : 33387577, PubMed : 7859916). Plays an important role in maintaining glucocorticoids balance during preimplantation and protects the fetus from excessive maternal corticosterone exposure (By similarity). Catalyzes the oxidation of 11beta-hydroxytestosterone (11beta,17beta-dihydroxyandrost-4-ene-3-one) to 11-ketotestosterone (17beta-hydroxyandrost-4-ene-3,11-dione), a major bioactive androgen (PubMed : 22796344, PubMed : 27927697). Catalyzes the conversion of 11beta-hydroxyandrostenedione (11beta-hydroxyandrost-4-ene-3,17-dione) to 11-ketoandrostenedione (androst-4-ene-3,11,17-trione), which can be further metabolized to 11-ketotestosterone (PubMed : 27927697). Converts 7-beta-25-dihydroxycholesterol to 7-oxo-25-hydroxycholesterol in vitro (PubMed : 30902677). 7-beta-25-dihydroxycholesterol (not 7-oxo-25-hydroxycholesterol) acts as a ligand for the G-protein-coupled receptor (GPCR) Epstein-Barr virus-induced gene 2 (EBI2) and may thereby regulate immune cell migration (PubMed : 30902677). May protect ovulating oocytes and fertilizing spermatozoa from the adverse effects of cortisol (By similarity).
See full target information HSD11B2

Publications (6)

Recent publications for all applications. Explore the full list and refine your search

Biology methods & protocols 10:bpaf056 PubMed40809868

2025

Innovative approach for the qualitative-quantitative assessment of neurodevelopment biomarkers research in placenta tissue using immunohistochemistry digital image analysis.

Applications

Unspecified application

Species

Unspecified reactive species

Caroline Camilo,Luana Martos Vieira,Gisele Rodrigues Gouveia,Arleti Caramori Torrezan,Andrea Peixoto,Veronica Euclydes,Rossana Pulcineli Vieira Francisco,Alexandra Brentani,Aloisio Felipe-Silva,Helena Brentani

Viruses 15: PubMed37243119

2023

Immunostaining of βA-Activin and Follistatin Is Decreased in HPV(+) Cervical Pre-Neoplastic and Neoplastic Lesions.

Applications

Unspecified application

Species

Unspecified reactive species

Victor Jesus Huaringa Payano,Lara Verônica de Araújo Lopes,Larissa Rodrigues Peixoto,Keila Alves da Silva,Tania Maria Ortiga-Carvalho,Alexandre Tafuri,Annamaria Ravara Vago,Enrrico Bloise

Cells 11: PubMed36230992

2022

Di-n-Butyl Phthalate and Its Monoester Metabolite Impairs Steroid Hormone Biosynthesis in Human Cells: Mechanistic In Vitro Studies.

Applications

Unspecified application

Species

Unspecified reactive species

Liselott Källsten,Paula Pierozan,Jonathan W Martin,Oskar Karlsson

Cells 11: PubMed36078114

2022

Aldosterone Increases Vascular Permeability in Rat Skin.

Applications

Unspecified application

Species

Unspecified reactive species

Michal Aleksiejczuk,Anna Gromotowicz-Poplawska,Natalia Marcinczyk,Joanna Stelmaszewska,Janusz Dzieciol,Ewa Chabielska

Bioengineered 13:11456-11470 PubMed35506414

2022

Sufentanil alleviates pre-eclampsia via silencing microRNA-24-3p to target 11β-Hydroxysteroid dehydrogenase type 2.

Applications

Unspecified application

Species

Unspecified reactive species

Yang Yue,Fu Xu,JiaRong Zhang,Miao Zhao,FangFang Zhou

Clinical science (London, England : 1979) 133:2449-2461 PubMed31799617

2019

Relationship between the renin-angiotensin-aldosterone system and renal Kir5.1 channels.

Applications

Unspecified application

Species

Unspecified reactive species

Anna D Manis,Oleg Palygin,Sherif Khedr,Vladislav Levchenko,Matthew R Hodges,Alexander Staruschenko
View all publications

Product promise

We are committed to supporting your work with high-quality reagents, and we're here for you every step of the way. In the unlikely event that one of our products does not perform as expected, you're protected by our Product Promise.
For full details, please see our Terms & Conditions

Please note: All products are 'FOR RESEARCH USE ONLY. NOT FOR USE IN DIAGNOSTIC OR THERAPEUTIC PROCEDURES'.

For licensing inquiries, please contact partnerships@abcam.com