JavaScript is disabled in your browser. Please enable JavaScript to view this website.
AB247308

Anti-HSD17B1 antibody [EP1682Y] - BSA and Azide free

Be the first to review this product! Submit a review

|

(0 Publication)

Rabbit Recombinant Monoclonal HSD17B1 antibody. Carrier free. Suitable for IHC-P, IP, WB, Flow Cyt (Intra) and reacts with Human samples.

View Alternative Names

E17KSR, EDH17B1, EDH17B2, EDHB17, SDR28C1, HSD17B1, 17-beta-hydroxysteroid dehydrogenase type 1, 17-beta-HSD 1, 20 alpha-hydroxysteroid dehydrogenase, E2DH, Estradiol 17-beta-dehydrogenase 1, Placental 17-beta-hydroxysteroid dehydrogenase, Short chain dehydrogenase/reductase family 28C member 1, 20-alpha-HSD

4 Images
Flow Cytometry (Intracellular) - Anti-HSD17B1 antibody [EP1682Y] - BSA and Azide free (AB247308)
  • Flow Cyt (Intra)

Unknown

Flow Cytometry (Intracellular) - Anti-HSD17B1 antibody [EP1682Y] - BSA and Azide free (AB247308)

This data was developed using ab51045, the same antibody clone in a different buffer formulation.

Overlay histogram showing JEG3 cells stained with ab51045 (red line). The cells were fixed with 80% methanol (5 min) and then permeabilized with 0.1% PBS-Tween for 20 min. The cells were then incubated in 1x PBS / 10% normal goat serum / 0.3M glycine to block non-specific protein-protein interactions. The cells were then incubated with the antibody (ab51045, 1μg/1x106 cells) for 30 min at 22°C. The secondary antibody used was DyLight® 488 goat anti-rabbit IgG (H+L) (ab96899) at 1/500 dilution for 30 min at 22°C. Isotype control antibody (black line) was rabbit IgG (monoclonal) (1μg/1x106 cells) used under the same conditions. Acquisition of >5,000 events was performed.

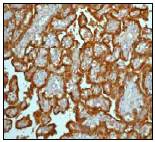
Immunohistochemistry (Formalin/PFA-fixed paraffin-embedded sections) - Anti-HSD17B1 antibody [EP1682Y] - BSA and Azide free (AB247308)
  • IHC-P

Unknown

Immunohistochemistry (Formalin/PFA-fixed paraffin-embedded sections) - Anti-HSD17B1 antibody [EP1682Y] - BSA and Azide free (AB247308)

This data was developed using ab51045, the same antibody clone in a different buffer formulation.

ab51045 (1/100 dilution) staining human HSD17B1 in paraffin embedded human placenta tissue by Immunohistochemistry.

Perform heat mediated antigen retrieval with citrate buffer pH 6 before commencing with IHC staining protocol.

Immunoprecipitation - Anti-HSD17B1 antibody [EP1682Y] - BSA and Azide free (AB247308)
  • IP

Lab

Immunoprecipitation - Anti-HSD17B1 antibody [EP1682Y] - BSA and Azide free (AB247308)

This data was developed using ab51045, the same antibody clone in a different buffer formulation.
Purified ab51045 at 1/50 dilution (2μg) immunoprecipitating HSD17B1 in Human placenta lysate.
Lane 1 (input) : Human placenta lysate 10μg
Lane 2 (+) : ab51045 + Human placenta lysate.
Lane 3 (-) : Rabbit monoclonal IgG (ab172730) instead of ab51045 in Human placenta lysate.
VeriBlot for IP Detection Reagent (HRP) (ab131366) (1/1000 dilution) was used for Western blotting.
Blocking Buffer and concentration : 5% NFDM/TBST.
Diluting buffer and concentration : 5% NFDM/TBST.
Observed band size : 34 kDa

All lanes:

Immunoprecipitation - Anti-HSD17B1 antibody [EP1682Y] (<a href='/en-us/products/primary-antibodies/hsd17b1-antibody-ep1682y-ab51045'>ab51045</a>)

Predicted band size: 35 kDa

false

Western blot - Anti-HSD17B1 antibody [EP1682Y] - BSA and Azide free (AB247308)
  • WB

Unknown

Western blot - Anti-HSD17B1 antibody [EP1682Y] - BSA and Azide free (AB247308)

This data was developed using ab51045, the same antibody clone in a different buffer formulation.

All lanes:

Western blot - Anti-HSD17B1 antibody [EP1682Y] (<a href='/en-us/products/primary-antibodies/hsd17b1-antibody-ep1682y-ab51045'>ab51045</a>) at 1/100000 dilution

All lanes:

Human placenta tissue lysate at 10 µg

Secondary

All lanes:

Goat anti-Rabbit HRP labeled at 1/2000 dilution

Predicted band size: 35 kDa

Observed band size: 35 kDa

false

Key facts

Host species

Rabbit

Clonality

Monoclonal

Clone number

EP1682Y

Isotype

IgG

Carrier free

Yes

Reacts with

Human

Applications

IHC-P, WB, Flow Cyt (Intra), IP

applications

Immunogen

The exact immunogen used to generate this antibody is proprietary information.

Reactivity data

{ "title": "Reactivity Data", "filters": { "stats": ["", "Species", "Dilution Info", "Notes"], "tabs": { "all-applications": {"fullname" : "All Applications", "shortname": "All Applications"}, "IHCP" : {"fullname" : "Immunohistochemistry (Formalin/PFA-fixed paraffin-embedded sections)", "shortname":"IHC-P"}, "IP" : {"fullname" : "Immunoprecipitation", "shortname":"IP"}, "WB" : {"fullname" : "Western blot", "shortname":"WB"}, "ICCIF" : {"fullname" : "Immunocytochemistry/ Immunofluorescence", "shortname":"ICC/IF"}, "FlowCytIntra" : {"fullname" : "Flow Cytometry (Intracellular)", "shortname":"Flow Cyt (Intra)"} }, "product-promise": { "all": "all", "testedAndGuaranteed": "tested", "guaranteed": "expected", "predicted": "predicted", "notRecommended": "not-recommended" } }, "values": { "Human": { "IHCP-species-checked": "testedAndGuaranteed", "IHCP-species-dilution-info": "", "IHCP-species-notes": "<p></p>", "IP-species-checked": "testedAndGuaranteed", "IP-species-dilution-info": "", "IP-species-notes": "<p></p>", "WB-species-checked": "testedAndGuaranteed", "WB-species-dilution-info": "", "WB-species-notes": "<p></p>", "ICCIF-species-checked": "notRecommended", "ICCIF-species-dilution-info": "", "ICCIF-species-notes": "<p></p>", "FlowCytIntra-species-checked": "testedAndGuaranteed", "FlowCytIntra-species-dilution-info": "", "FlowCytIntra-species-notes": "<p></p>" } } }

Product details

ab247308 is the carrier-free version of ab51045.

Species reactivity
Mouse, Rat: We have preliminary internal testing data to indicate this antibody may not react with these species.
Please contact us for more information.

Patented technology
Our RabMAb® technology is a patented hybridoma-based technology for making rabbit monoclonal antibodies. For details on our patents, please refer to RabMAb® patents.

What are the advantages of a recombinant monoclonal antibody?
This product is a recombinant monoclonal antibody, which offers several advantages including:

  • - High batch-to-batch consistency and reproducibility
  • - Improved sensitivity and specificity
  • - Long-term security of supply
  • - Animal-free batch production

For more information, read more on recombinant antibodies.

Conjugation ready
Our carrier-free antibodies are typically supplied in a PBS-only formulation, purified and free of BSA, sodium azide and glycerol. This conjugation-ready format is designed for use with fluorochromes, metal isotopes, oligonucleotides, and enzymes, which makes them ideal for antibody labelling, functional and cell-based assays, flow-based assays (e.g. mass cytometry) and Multiplex Imaging applications.

Use our conjugation kits for antibody conjugates that are ready-to-use in as little as 20 minutes with 1 minute hands-on-time and 100% antibody recovery: available for fluorescent dyes, HRP, biotin and gold.

Compatibility
This product is compatible with the Maxpar® Antibody Labeling Kit from Fluidigm, without the need for antibody preparation. Maxpar® is a trademark of Fluidigm Canada Inc.

Properties and storage information

Form
Liquid
Purification technique
Affinity purification Protein A
Storage buffer
pH: 7.2 - 7.4 Constituents: PBS
Shipped at conditions
Blue Ice
Appropriate short-term storage conditions
+4°C
Appropriate long-term storage conditions
+4°C
Storage information
Do Not Freeze

Product protocols

For this product, it's our understanding that no specific protocols are required. You can visit:

Target data

Favors the reduction of estrogens and androgens. Converts estrone (E1) to a more potent estrogen, 17beta-estradiol (E2) (PubMed : 8994190). Also has 20-alpha-HSD activity. Uses preferentially NADH.
See full target information HSD17B1

Product promise

We are committed to supporting your work with high-quality reagents, and we're here for you every step of the way. In the unlikely event that one of our products does not perform as expected, you're protected by our Product Promise.
For full details, please see our Terms & Conditions

Please note: All products are 'FOR RESEARCH USE ONLY. NOT FOR USE IN DIAGNOSTIC OR THERAPEUTIC PROCEDURES'.

For licensing inquiries, please contact partnerships@abcam.com