JavaScript is disabled in your browser. Please enable JavaScript to view this website.
AB316154

Anti-HSD17B13 antibody [EPR28344-54] - BSA and Azide free

Be the first to review this product! Submit a review

|

(0 Publication)

Rabbit Recombinant Monoclonal HSD17B13 antibody. Carrier free. Suitable for WB, IHC-P and reacts with Human samples.

View Alternative Names

SCDR9, SDR16C3, HMFN0376, UNQ497/PRO1014, HSD17B13, 17-beta-hydroxysteroid dehydrogenase 13, 17-beta-HSD 13, Hepatic retinol/retinal dehydrogenase, Short chain dehydrogenase/reductase family 16C member 3, Short-chain dehydrogenase/reductase 9

5 Images
Immunohistochemistry (Formalin/PFA-fixed paraffin-embedded sections) - Anti-HSD17B13 antibody [EPR28344-54] - BSA and Azide free (AB316154)
  • IHC-P

Supplier Data

Immunohistochemistry (Formalin/PFA-fixed paraffin-embedded sections) - Anti-HSD17B13 antibody [EPR28344-54] - BSA and Azide free (AB316154)

This data was developed using ab316153, the same antibody clone in a different buffer formulation.

Immunohistochemical analysis of paraffin-embedded Human spleen tissue labeling HSD17B13 with ab316153 at 1/500 (1.012 ug/ml) dilution, followed by a ready to use LeicaDS9800 (Bond™ Polymer Refine Detection).

MSD2027 control : no staining on human spleen. The section was incubated with ab316153 for 30 mins at room temperature.
The immunostaining was performed on a Leica Biosystems BOND® RX instrument.

Counterstained with Hematoxylin.

Secondary antibody only control : Secondary antibody is a ready to use LeicaDS9800 (Bond™ Polymer Refine Detection).

Heat mediated antigen retrieval was performed with Tris-EDTA buffer (pH 9.0, Epitope Retrieval Solution2) for 20 mins.

Immunohistochemistry (Formalin/PFA-fixed paraffin-embedded sections) - Anti-HSD17B13 antibody [EPR28344-54] - BSA and Azide free (AB316154)
  • IHC-P

Supplier Data

Immunohistochemistry (Formalin/PFA-fixed paraffin-embedded sections) - Anti-HSD17B13 antibody [EPR28344-54] - BSA and Azide free (AB316154)

This data was developed using ab316153, the same antibody clone in a different buffer formulation.

Immunohistochemical analysis of paraffin-embedded Human fatty liver tissue labeling HSD17B13 with ab316153 at 1/500 (1.012 ug/ml) dilution, followed by a ready to use LeicaDS9800 (Bond™ Polymer Refine Detection).

Positive staining on human fatty liver (PMID : 25028495). The section was incubated with ab316153 for 30 mins at room temperature.
The immunostaining was performed on a Leica Biosystems BOND® RX instrument.

Counterstained with Hematoxylin.

Secondary antibody only control : Secondary antibody is a ready to use LeicaDS9800 (Bond™ Polymer Refine Detection).

Heat mediated antigen retrieval was performed with Tris-EDTA buffer (pH 9.0, Epitope Retrieval Solution2) for 20 mins.

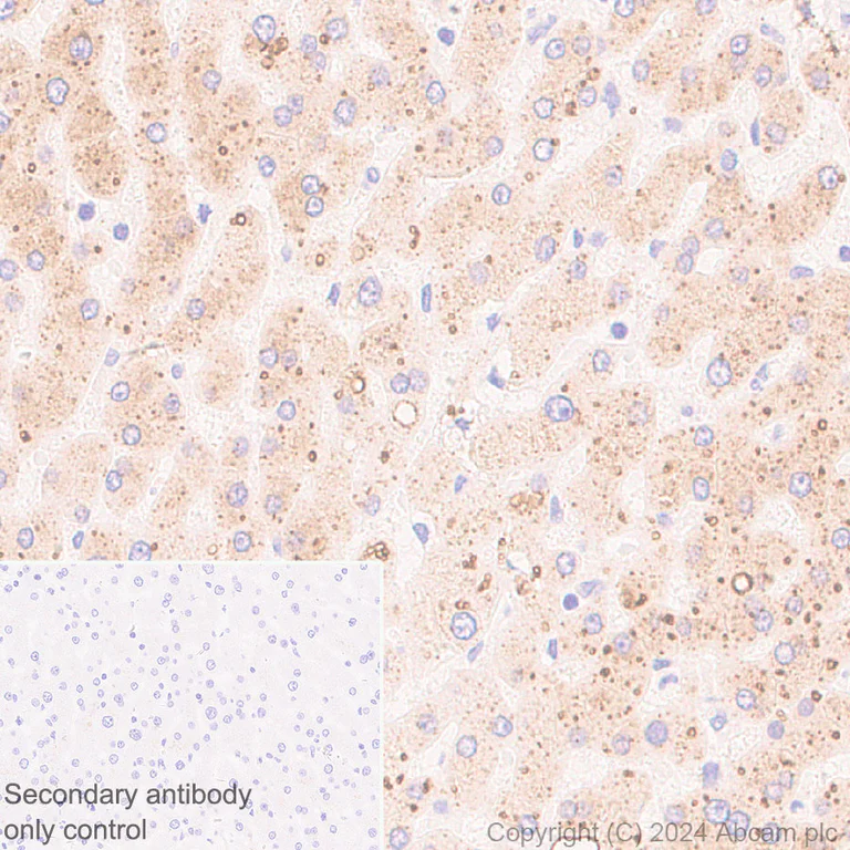
Immunohistochemistry (Formalin/PFA-fixed paraffin-embedded sections) - Anti-HSD17B13 antibody [EPR28344-54] - BSA and Azide free (AB316154)
  • IHC-P

Supplier Data

Immunohistochemistry (Formalin/PFA-fixed paraffin-embedded sections) - Anti-HSD17B13 antibody [EPR28344-54] - BSA and Azide free (AB316154)

This data was developed using ab316153, the same antibody clone in a different buffer formulation.

Immunohistochemical analysis of paraffin-embedded Human normal liver tissue labeling HSD17B13 with ab316153 at 1/500 (1.012 ug/ml) dilution, followed by a ready to use LeicaDS9800 (Bond™ Polymer Refine Detection).

Positive staining on human normal liver (PMID : 25028495). The section was incubated with ab316153 for 30 mins at room temperature.
The immunostaining was performed on a Leica Biosystems BOND® RX instrument.

Counterstained with Hematoxylin.

Secondary antibody only control : Secondary antibody is a ready to use LeicaDS9800 (Bond™ Polymer Refine Detection).

Heat mediated antigen retrieval was performed with Tris-EDTA buffer (pH 9.0, Epitope Retrieval Solution2) for 20 mins.

Western blot - Anti-HSD17B13 antibody [EPR28344-54] - BSA and Azide free (AB316154)
  • WB

Supplier Data

Western blot - Anti-HSD17B13 antibody [EPR28344-54] - BSA and Azide free (AB316154)

This data was developed using ab316153, the same antibody clone in a different buffer formulation.

Blocking and diluting buffer and concentration : 5% NFDM/TBST.

Negative control : thymus (PMID : 17311113), spleen (PMID : 17311113), tonsil.

The identity of the bands between 37 kDa and 75 kDa are unknown.

In Western blot, Anti-GAPDH antibody [EPR16891] - Loading Control (ab181602) staining at 1/200000 dilution.

All lanes:

Western blot - Anti-HSD17B13 antibody [EPR28344-54] (<a href='/en-us/products/primary-antibodies/hsd17b13-antibody-epr28344-54-ab316153'>ab316153</a>) at 1/1000 dilution

Lane 1:

Human liver tissue lysate at 50 µg

Lane 2:

Human thymus tissue lysate at 50 µg

Lane 3:

Human spleen tissue lysate at 50 µg

Lane 4:

Human tonsil tissue lysate at 50 µg

Secondary

All lanes:

Goat Anti-Rabbit IgG (HRP) with minimal cross-reactivity with human IgG at 1/2000 dilution

Observed band size: 30 kDa,36 kDa

true

Exposure time: 92s

Western blot - Anti-HSD17B13 antibody [EPR28344-54] - BSA and Azide free (AB316154)
  • WB

Supplier Data

Western blot - Anti-HSD17B13 antibody [EPR28344-54] - BSA and Azide free (AB316154)

This data was developed using ab316153, the same antibody clone in a different buffer formulation.

Blocking and diluting buffer and concentration : 5% NFDM/TBST.

Low expression : HepG2.

In Western blot, Anti-Vinculin antibody [EPR8185] (ab129002) staining at 1/10000 dilution.

All lanes:

Western blot - Anti-HSD17B13 antibody [EPR28344-54] (<a href='/en-us/products/primary-antibodies/hsd17b13-antibody-epr28344-54-ab316153'>ab316153</a>) at 1/1000 dilution

Lane 1:

NCI-H69 (human lung small cell carcinoma cell) whole cell lysate at 40 µg

Lane 2:

HepG2 (human hepatocellar carcinoma epithelial cell) whole cell lysate at 40 µg

Secondary

All lanes:

Western blot - Goat Anti-Rabbit IgG H&L (HRP) (<a href='/en-us/products/secondary-antibodies/goat-rabbit-igg-h-l-hrp-ab97051'>ab97051</a>) at 1/20000 dilution

Observed band size: 30 kDa,124 kDa

false

Exposure time: 92s

Key facts

Host species

Rabbit

Clonality

Monoclonal

Clone number

EPR28344-54

Isotype

IgG

Carrier free

Yes

Reacts with

Human

Applications

WB, IHC-P

applications

Immunogen

The exact immunogen used to generate this antibody is proprietary information.

Reactivity data

{ "title": "Reactivity Data", "filters": { "stats": ["", "Species", "Dilution Info", "Notes"], "tabs": { "all-applications": {"fullname" : "All Applications", "shortname": "All Applications"}, "WB" : {"fullname" : "Western blot", "shortname":"WB"}, "IHCP" : {"fullname" : "Immunohistochemistry (Formalin/PFA-fixed paraffin-embedded sections)", "shortname":"IHC-P"}, "IP" : {"fullname" : "Immunoprecipitation", "shortname":"IP"}, "ICCIF" : {"fullname" : "Immunocytochemistry/ Immunofluorescence", "shortname":"ICC/IF"}, "FlowCytIntra" : {"fullname" : "Flow Cytometry (Intracellular)", "shortname":"Flow Cyt (Intra)"} }, "product-promise": { "all": "all", "testedAndGuaranteed": "tested", "guaranteed": "expected", "predicted": "predicted", "notRecommended": "not-recommended" } }, "values": { "Human": { "WB-species-checked": "testedAndGuaranteed", "WB-species-dilution-info": "", "WB-species-notes": "<p></p>", "IHCP-species-checked": "testedAndGuaranteed", "IHCP-species-dilution-info": "", "IHCP-species-notes": "<p></p>", "IP-species-checked": "notRecommended", "IP-species-dilution-info": "", "IP-species-notes": "<p></p>", "ICCIF-species-checked": "notRecommended", "ICCIF-species-dilution-info": "", "ICCIF-species-notes": "<p></p>", "FlowCytIntra-species-checked": "notRecommended", "FlowCytIntra-species-dilution-info": "", "FlowCytIntra-species-notes": "<p></p>" }, "Mouse": { "WB-species-checked": "notRecommended", "WB-species-dilution-info": "", "WB-species-notes": "<p></p>", "IHCP-species-checked": "notRecommended", "IHCP-species-dilution-info": "", "IHCP-species-notes": "<p></p>", "IP-species-checked": "notRecommended", "IP-species-dilution-info": "", "IP-species-notes": "", "ICCIF-species-checked": "notRecommended", "ICCIF-species-dilution-info": "", "ICCIF-species-notes": "<p></p>", "FlowCytIntra-species-checked": "notRecommended", "FlowCytIntra-species-dilution-info": "", "FlowCytIntra-species-notes": "" }, "Rat": { "WB-species-checked": "notRecommended", "WB-species-dilution-info": "", "WB-species-notes": "<p></p>", "IHCP-species-checked": "notRecommended", "IHCP-species-dilution-info": "", "IHCP-species-notes": "<p></p>", "IP-species-checked": "notRecommended", "IP-species-dilution-info": "", "IP-species-notes": "", "ICCIF-species-checked": "notRecommended", "ICCIF-species-dilution-info": "", "ICCIF-species-notes": "", "FlowCytIntra-species-checked": "notRecommended", "FlowCytIntra-species-dilution-info": "", "FlowCytIntra-species-notes": "" } } }

Product details

ab316154 is the carrirer-free version of ab316153.

Patented technology
Our RabMAb® technology is a patented hybridoma-based technology for making rabbit monoclonal antibodies. For details on our patents, please refer to RabMAb® patents.

What are the advantages of a recombinant monoclonal antibody?
This product is a recombinant monoclonal antibody, which offers several advantages including:

  • - High batch-to-batch consistency and reproducibility
  • - Improved sensitivity and specificity
  • - Long-term security of supply
  • - Animal-free batch production

For more information, read more on recombinant antibodies.

Conjugation ready
Our carrier-free antibodies are typically supplied in a PBS-only formulation, purified and free of BSA, sodium azide and glycerol. This conjugation-ready format is designed for use with fluorochromes, metal isotopes, oligonucleotides, and enzymes, which makes them ideal for antibody labelling, functional and cell-based assays, flow-based assays (e.g. mass cytometry) and Multiplex Imaging applications.

Use our conjugation kits for antibody conjugates that are ready-to-use in as little as 20 minutes with 1 minute hands-on-time and 100% antibody recovery: available for fluorescent dyes, HRP, biotin and gold.

Compatibility
This product is compatible with the Maxpar® Antibody Labeling Kit from Fluidigm, without the need for antibody preparation. Maxpar® is a trademark of Fluidigm Canada Inc.

Properties and storage information

Form
Liquid
Purification technique
Affinity purification Protein A
Storage buffer
pH: 7.2 - 7.4 Constituents: PBS
Shipped at conditions
Blue Ice
Appropriate short-term storage conditions
+4°C
Appropriate long-term storage conditions
+4°C

Product protocols

For this product, it's our understanding that no specific protocols are required. You can visit:

Target data

Plays a pivotal role in hepatic lipid metabolism (PubMed : 29562163). In vitro, it catalyzes the oxidation of a variety of lipid substrates, including 17beta-estradiol, retinol, retinal, and leukotriene B4 (PubMed : 29562163, PubMed : 30415504, PubMed : 32973038).. Isoform 2. Has retinol/retinal dehydrogenase activity in vitro.. Isoform 1. Does not have retinol/retinal dehydrogenase activity in vitro.
See full target information HSD17B13

Product promise

We are committed to supporting your work with high-quality reagents, and we're here for you every step of the way. In the unlikely event that one of our products does not perform as expected, you're protected by our Product Promise.
For full details, please see our Terms & Conditions

Please note: All products are 'FOR RESEARCH USE ONLY. NOT FOR USE IN DIAGNOSTIC OR THERAPEUTIC PROCEDURES'.

For licensing inquiries, please contact partnerships@abcam.com