JavaScript is disabled in your browser. Please enable JavaScript to view this website.
AB307158

Anti-hSET1/SET1 antibody [EPR26821-25]

  • BOND RX™ Validated
  • 20ul selling size
  • RabMAb
  • Recombinant
  • What is this?

Be the first to review this product! Submit a review

|

(0 Publication)

Rabbit Recombinant Monoclonal hSET1/SET1 antibody. Suitable for WB, IHC-P, Flow Cyt (Intra) and reacts with Mouse samples.

View Alternative Names

Histone-lysine N-methyltransferase SETD1A, SET domain-containing protein 1A, Setd1a

5 Images
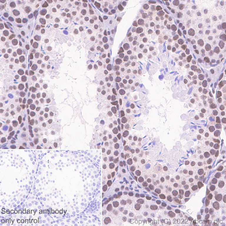
Immunohistochemistry (Formalin/PFA-fixed paraffin-embedded sections) - Anti-hSET1/SET1 antibody [EPR26821-25] (AB307158)
  • IHC-P

Supplier Data

Immunohistochemistry (Formalin/PFA-fixed paraffin-embedded sections) - Anti-hSET1/SET1 antibody [EPR26821-25] (AB307158)

Immunohistochemical analysis of paraffin-embedded Mouse testis tissue labeling hSET1/SET1 with ab307158 at 1/500 (0.996 ug/ml) followed by a ready to use Rabbit specific IHC polymer detection kit HRP/Dab (ab209101). Nuclear staining in mouse testis. The section was incubated with ab307158 for 30 mins at room temperature. The immunostaining was performed on a Leica Biosystems BOND® RX instrument. Counterstained with Hematoxylin. Secondary antibody only control : Secondary antibody is a ready to use Rabbit specific IHC polymer detection kit HRP/Dab (ab209101). Heat mediated antigen retrieval with Tris-EDTA buffer (pH 9.0, epitope retrieval solution2) for 20 mins.

Flow Cytometry (Intracellular) - Anti-hSET1/SET1 antibody [EPR26821-25] (AB307158)
  • Flow Cyt (Intra)

Supplier Data

Flow Cytometry (Intracellular) - Anti-hSET1/SET1 antibody [EPR26821-25] (AB307158)

Flow cytometric analysis of 4% paraformaldehyde fixed 90% methanol permeabilized F9 (mouse embryonal carcinoma epithelial cell) cells labelling hSET1/SET1 with ab307158 at 1/50 dilution (1ug) (Red) (Red) compared with a Rabbit monoclonal IgG (ab172730) (Black) isotype control and an unlabelled control (cells without incubation with primary antibody and secondary antibody) (Blue). A Goat Anti-Rabbit IgG (Alexa Fluor® 488, ab150081) at 1/2000 dilution was used as the secondary antibody.

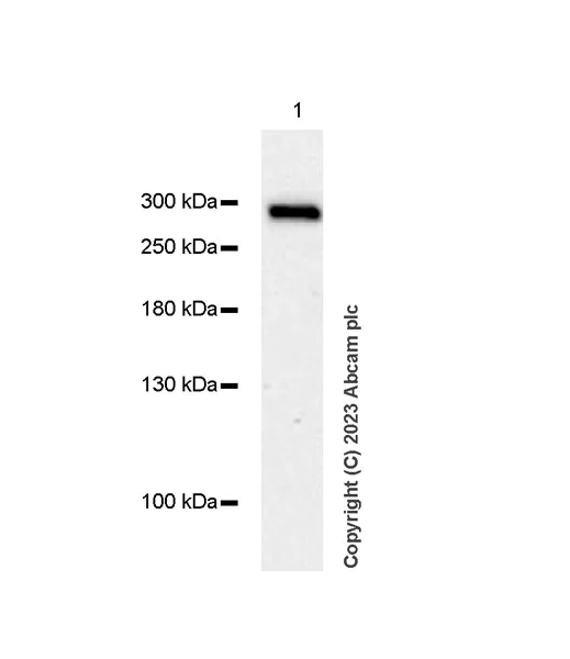
Western blot - Anti-hSET1/SET1 antibody [EPR26821-25] (AB307158)
  • WB

Supplier Data

Western blot - Anti-hSET1/SET1 antibody [EPR26821-25] (AB307158)

Blocking and diluting buffer and concentration : 5% NFDM/TBST Lysates were freshly made and used for Western blotting immediately to minimize protein degradation. Exposure time : 180 seconds

All lanes:

Neuro-2a (mouse neuroblastoma neuroblast) whole cell lysate at 20 µg

Observed band size: 280 kDa

false

Exposure time: 180s

Western blot - Anti-hSET1/SET1 antibody [EPR26821-25] (AB307158)
  • WB

Supplier Data

Western blot - Anti-hSET1/SET1 antibody [EPR26821-25] (AB307158)

Blocking and diluting buffer and concentration : 5% NFDM/TBST Lysates were freshly made and used for Western blotting immediately to minimize protein degradation. Exposure time : 180 seconds

Lane 1:

F9 (mouse embryonal carcinoma epithelial cell) whole cell lysate at 20 µg

Lane 2:

MEF (mouse embryo fibroblast) whole cell lysate at 20 µg

Lane 3:

C2C12 (mouse myoblasts) whole cell lysate at 20 µg

Observed band size: 280 kDa

false

Exposure time: 180s

Western blot - Anti-hSET1/SET1 antibody [EPR26821-25] (AB307158)
  • WB

Supplier Data

Western blot - Anti-hSET1/SET1 antibody [EPR26821-25] (AB307158)

Blocking and diluting buffer and concentration : 5% NFDM/TBST In Western blot, anti- Vinculin antibody (ab129002) loading control staining at 1/10000 dilution. Anti-NUP98 antibody (ab124980) loading control staining at 1/10000 dilution. Lysates were freshly made and used for Western blotting immediately to minimize protein degradation. Exposure time : 180 seconds

Lane 1:

NIH/3T3 (mouse embryonic fibroblast) nuclear fraction at 20 µg

Lane 2:

NIH/3T3 cytoplasmic fraction

Observed band size: 280 kDa

false

Exposure time: 180s

Key facts

Host species

Rabbit

Clonality

Monoclonal

Clone number

EPR26821-25

Isotype

IgG

Carrier free

No

Reacts with

Mouse

Applications

Flow Cyt (Intra), WB, IHC-P

applications

Immunogen

The exact immunogen used to generate this antibody is proprietary information.

Reactivity data

{ "title": "Reactivity Data", "filters": { "stats": ["", "Species", "Dilution Info", "Notes"], "tabs": { "all-applications": {"fullname" : "All Applications", "shortname": "All Applications"}, "WB" : {"fullname" : "Western blot", "shortname":"WB"}, "IHCP" : {"fullname" : "Immunohistochemistry (Formalin/PFA-fixed paraffin-embedded sections)", "shortname":"IHC-P"}, "FlowCytIntra" : {"fullname" : "Flow Cytometry (Intracellular)", "shortname":"Flow Cyt (Intra)"}, "ICCIF" : {"fullname" : "Immunocytochemistry/ Immunofluorescence", "shortname":"ICC/IF"}, "IP" : {"fullname" : "Immunoprecipitation", "shortname":"IP"} }, "product-promise": { "all": "all", "testedAndGuaranteed": "tested", "guaranteed": "expected", "predicted": "predicted", "notRecommended": "not-recommended" } }, "values": { "Human": { "WB-species-checked": "notRecommended", "WB-species-dilution-info": "", "WB-species-notes": "<p></p>", "IHCP-species-checked": "notRecommended", "IHCP-species-dilution-info": "", "IHCP-species-notes": "<p></p>", "FlowCytIntra-species-checked": "notRecommended", "FlowCytIntra-species-dilution-info": "", "FlowCytIntra-species-notes": "<p></p>", "ICCIF-species-checked": "notRecommended", "ICCIF-species-dilution-info": "", "ICCIF-species-notes": "<p></p>", "IP-species-checked": "notRecommended", "IP-species-dilution-info": "", "IP-species-notes": "<p></p>" }, "Mouse": { "WB-species-checked": "testedAndGuaranteed", "WB-species-dilution-info": "1/1000", "WB-species-notes": "<p></p>", "IHCP-species-checked": "testedAndGuaranteed", "IHCP-species-dilution-info": "1/500", "IHCP-species-notes": "<p></p> Perform heat-mediated antigen retrieval with Tris/EDTA buffer pH 9.0 before commencing with IHC staining protocol.", "FlowCytIntra-species-checked": "testedAndGuaranteed", "FlowCytIntra-species-dilution-info": "1/50", "FlowCytIntra-species-notes": "<p></p>", "ICCIF-species-checked": "notRecommended", "ICCIF-species-dilution-info": "", "ICCIF-species-notes": "<p></p>", "IP-species-checked": "notRecommended", "IP-species-dilution-info": "", "IP-species-notes": "<p></p>" }, "Rat": { "WB-species-checked": "notRecommended", "WB-species-dilution-info": "", "WB-species-notes": "<p></p>", "IHCP-species-checked": "notRecommended", "IHCP-species-dilution-info": "", "IHCP-species-notes": "<p></p>", "FlowCytIntra-species-checked": "notRecommended", "FlowCytIntra-species-dilution-info": "", "FlowCytIntra-species-notes": "", "ICCIF-species-checked": "notRecommended", "ICCIF-species-dilution-info": "", "ICCIF-species-notes": "", "IP-species-checked": "notRecommended", "IP-species-dilution-info": "", "IP-species-notes": "" } } }

Product details

Patented technology
Our RabMAb® technology is a patented hybridoma-based technology for making rabbit monoclonal antibodies. For details on our patents, please refer to RabMAb® patents.

What are the advantages of a recombinant monoclonal antibody?
This product is a recombinant monoclonal antibody, which offers several advantages including:

  • - High batch-to-batch consistency and reproducibility
  • - Improved sensitivity and specificity
  • - Long-term security of supply
  • - Animal-free batch production

For more information, read more on recombinant antibodies.

Properties and storage information

Form
Liquid
Purification technique
Affinity purification Protein A
Storage buffer
pH: 7.2 - 7.4 Preservative: 0.01% Sodium azide Constituents: PBS, 40% Glycerol (glycerin, glycerine), 0.05% BSA
Shipped at conditions
Blue Ice
Appropriate short-term storage duration
1-2 weeks
Appropriate short-term storage conditions
+4°C
Appropriate long-term storage conditions
-20°C
Aliquoting information
Upon delivery aliquot
Storage information
Avoid freeze / thaw cycle

Supplementary information

This supplementary information is collated from multiple sources and compiled automatically.

HSET1 also known as SET1 is a protein complex known for its role in histone methylation specifically on histone H3 at lysine 4 (H3K4). This methylation activity plays an important role in gene expression regulation. Predominantly expressed in the nucleus of eukaryotic cells hSET1 forms part of the COMPASS complex which weighs around 600 kDa. The enzyme encompasses various subunits each contributing to the overall stability and functionality of the complex.
Biological function summary

HSET1 influences chromatin structure modifications that regulate transcriptional activity. As a histone methyltransferase its activity results in epigenetic changes that turn genes on or off. hSET1 as part of the COMPASS complex recruits other factors to transcription initiation sites leading to active gene expression. This activity highlights its significant role in cell differentiation and development affecting how cells progress from one state to another.

Pathways

HSET1 plays a major role in the regulation of the Wnt signaling pathway and the DNA damage response pathway. Through the Wnt pathway hSET1 influences the dynamic process of cellular growth and differentiation interacting with proteins such as β-catenin. In the DNA damage response hSET1 modulates chromatin modifications facilitating the repair of damaged DNA coordinating with proteins like p53 to maintain genomic stability.

Aberrations in hSET1 functions associate with leukemias and certain neurodevelopmental disorders. In leukemia inappropriate activity or mutation in hSET1 leads to misregulated gene expression contributing to malignancy progression. Neurodevelopmental disorders have also shown correlations with abnormal hSET1 expression possibly affecting synaptic connectivity. Proteins such as EZH2 in the context of leukemia show interactions with SET1-related pathways highlighting its potential as a therapeutic target.

Product protocols

For this product, it's our understanding that no specific protocols are required. You can visit:

Target data

Histone methyltransferase that catalyzes methyl group transfer from S-adenosyl-L-methionine to the epsilon-amino group of 'Lys-4' of histone H3 (H3K4) via a non-processive mechanism. Part of chromatin remodeling machinery, forms H3K4me1, H3K4me2 and H3K4me3 methylation marks at active chromatin sites where transcription and DNA repair take place (By similarity). Responsible for H3K4me3 enriched promoters and transcriptional programming of inner mass stem cells and neuron progenitors during embryogenesis (PubMed : 24550110, PubMed : 29490266, PubMed : 31197650). Required for H3K4me1 mark at stalled replication forks. Mediates FANCD2-dependent nucleosome remodeling and RAD51 nucleofilaments stabilization at reversed forks, protecting them from nucleolytic degradation. Does not methylate 'Lys-4' of histone H3 if the neighboring 'Lys-9' residue is already methylated (By similarity). Has RNA binding activity towards transcripts involved in RNA processing and the DNA damage response (By similarity).
See full target information Setd1a

Product promise

We are committed to supporting your work with high-quality reagents, and we're here for you every step of the way. In the unlikely event that one of our products does not perform as expected, you're protected by our Product Promise.
For full details, please see our Terms & Conditions

Please note: All products are 'FOR RESEARCH USE ONLY. NOT FOR USE IN DIAGNOSTIC OR THERAPEUTIC PROCEDURES'.

For licensing inquiries, please contact partnerships@abcam.com