JavaScript is disabled in your browser. Please enable JavaScript to view this website.
AB61382

Anti-HSF1 antibody [10H8]

Be the first to review this product! Submit a review

|

(16 Publications)

Rat Monoclonal HSF1 antibody. Suitable for Flow Cyt, WB, IHC-P and reacts with Human samples. Cited in 16 publications.

View Alternative Names

HSTF1, HSF1, Heat shock factor protein 1, HSF 1, Heat shock transcription factor 1, HSTF 1

3 Images
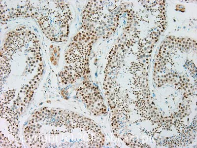
Immunohistochemistry (Formalin/PFA-fixed paraffin-embedded sections) - Anti-HSF1 antibody [10H8] (AB61382)
  • IHC-P

Unknown

Immunohistochemistry (Formalin/PFA-fixed paraffin-embedded sections) - Anti-HSF1 antibody [10H8] (AB61382)

IHC image of HSF1 staining in Human normal testis formalin fixed paraffin embedded tissue section, performed on a Leica BondTM system using the standard protocol B. The section was pre-treated using heat mediated antigen retrieval with sodium citrate buffer (pH6, epitope retrieval solution 1) for 20 mins. The section was then incubated with ab61382, 5μg/ml, for 15 mins at room temperature. A Goat anti-Rat biotinylated secondary antibody was used to detect the primary, and visualized using an HRP conjugated ABC system. DAB was used as the chromogen. The section was then counterstained with haematoxylin and mounted with DPX.

For other IHC staining systems (automated and non-automated) customers should optimize variable parameters such as antigen retrieval conditions, primary antibody concentration and antibody incubation times.

Flow Cytometry - Anti-HSF1 antibody [10H8] (AB61382)
  • Flow Cyt

Unknown

Flow Cytometry - Anti-HSF1 antibody [10H8] (AB61382)

Overlay histogram showing HeLa cells stained with ab61382 (red line). The cells were fixed with 80% methanol (5 min) and then permeabilized with 0.1% PBS-Tween for 20 min. The cells were then incubated in 1x PBS / 10% normal goat serum / 0.3M glycine to block non-specific protein-protein interactions followed by the antibody (ab61382, 1μg/1x106 cells) for 30 min at 22°C. The secondary antibody used was DyLight® 488 goat anti-rat IgG (H+L) (ab98386) at 1/500 dilution for 30 min at 22°C. Isotype control antibody (black line) was rat IgG1 [RTK2071] (ab18412, 1μg/1x106 cells) used under the same conditions. Unlabelled sample (blue line). Acquisition of >5,000 events were collected using a 20mW Argon ion laser (488nm) and 525/30 bandpass filter. This antibody gave a positive signal in HeLa cells fixed with 4% paraformaldehyde (10 min)/permeabilized with 0.1% PBS-Tween for 20 min used under the same conditions.

Western blot - Anti-HSF1 antibody [10H8] (AB61382)
  • WB

Lab

Western blot - Anti-HSF1 antibody [10H8] (AB61382)

Lanes 1 - 4 : Merged signal (red and green). Green - ab61382 observed at 57 kDa. Red - loading control, ab181602, observed at 37 kDa.

ab61382 was shown to recognize in wild-type HAP1 cells as signal was lost at the expected MW in Hsf1 knockout cells. Additional cross-reactive bands were observed in the wild-type and knockout cells. Wild-type and Hsf1 knockout samples were subjected to SDS-PAGE. ab61382 and ab181602 (Rabbit anti-GAPDH loading control) were incubated overnight at 4°C at 1/1000 dilution and 1/20000 dilution respectively. Blots were developed with Goat anti-Rat IgG H&L (IRDye® 800CW) preabsorbed and Goat anti-Rabbit IgG H&L (IRDye® 680RD) preabsorbed ab216777 secondary antibodies at 1/20000 dilution for 1 hour at room temperature before imaging.

All lanes:

Western blot - Anti-HSF1 antibody [10H8] (ab61382) at 1/1000 dilution

Lane 1:

Wild-type HAP1 whole cell lysate at 20 µg

Lane 2:

Hsf1 knockout HAP1 whole cell lysate at 20 µg

Lane 3:

HeLa whole cell lysate at 20 µg

Lane 4:

K562 whole cell lysate at 20 µg

Predicted band size: 57 kDa

false

Key facts

Host species

Rat

Clonality

Monoclonal

Clone number

10H8

Isotype

IgG1

Carrier free

No

Reacts with

Human

Applications

Flow Cyt, WB, IHC-P

applications

Immunogen

The exact immunogen used to generate this antibody is proprietary information.

Specificity

Detects ~85kDa (unstressed cell lysates), and~95kDa (heat shocked cell lysates).

Reactivity data

{ "title": "Reactivity Data", "filters": { "stats": ["", "Species", "Dilution Info", "Notes"], "tabs": { "all-applications": {"fullname" : "All Applications", "shortname": "All Applications"}, "FlowCyt" : {"fullname" : "Flow Cytometry", "shortname":"Flow Cyt"}, "WB" : {"fullname" : "Western blot", "shortname":"WB"}, "IHCP" : {"fullname" : "Immunohistochemistry (Formalin/PFA-fixed paraffin-embedded sections)", "shortname":"IHC-P"} }, "product-promise": { "all": "all", "testedAndGuaranteed": "tested", "guaranteed": "expected", "predicted": "predicted", "notRecommended": "not-recommended" } }, "values": { "Human": { "FlowCyt-species-checked": "testedAndGuaranteed", "FlowCyt-species-dilution-info": "1 µg for 10^6 Cells", "FlowCyt-species-notes": "<p><a href='/en-us/products/unavailable/rat-igg1-kappa-rtk2071-isotype-control-low-endotoxin-azide-free-ab18407'>ab18407</a> - Rat monoclonal IgG1, is suitable for use as an isotype control with this antibody.</p>", "WB-species-checked": "testedAndGuaranteed", "WB-species-dilution-info": "1/1000", "WB-species-notes": "<p></p>", "IHCP-species-checked": "testedAndGuaranteed", "IHCP-species-dilution-info": "5 µg/mL", "IHCP-species-notes": "<p></p>" }, "Mouse": { "FlowCyt-species-checked": "predicted", "FlowCyt-species-dilution-info": "", "FlowCyt-species-notes": "", "WB-species-checked": "predicted", "WB-species-dilution-info": "", "WB-species-notes": "", "IHCP-species-checked": "predicted", "IHCP-species-dilution-info": "", "IHCP-species-notes": "" }, "Rat": { "FlowCyt-species-checked": "predicted", "FlowCyt-species-dilution-info": "", "FlowCyt-species-notes": "", "WB-species-checked": "predicted", "WB-species-dilution-info": "", "WB-species-notes": "", "IHCP-species-checked": "predicted", "IHCP-species-dilution-info": "", "IHCP-species-notes": "" }, "Cow": { "FlowCyt-species-checked": "predicted", "FlowCyt-species-dilution-info": "", "FlowCyt-species-notes": "", "WB-species-checked": "predicted", "WB-species-dilution-info": "", "WB-species-notes": "", "IHCP-species-checked": "predicted", "IHCP-species-dilution-info": "", "IHCP-species-notes": "" }, "Guinea pig": { "FlowCyt-species-checked": "predicted", "FlowCyt-species-dilution-info": "", "FlowCyt-species-notes": "", "WB-species-checked": "predicted", "WB-species-dilution-info": "", "WB-species-notes": "", "IHCP-species-checked": "predicted", "IHCP-species-dilution-info": "", "IHCP-species-notes": "" }, "Hamster": { "FlowCyt-species-checked": "predicted", "FlowCyt-species-dilution-info": "", "FlowCyt-species-notes": "", "WB-species-checked": "predicted", "WB-species-dilution-info": "", "WB-species-notes": "", "IHCP-species-checked": "predicted", "IHCP-species-dilution-info": "", "IHCP-species-notes": "" }, "Monkey": { "FlowCyt-species-checked": "predicted", "FlowCyt-species-dilution-info": "", "FlowCyt-species-notes": "", "WB-species-checked": "predicted", "WB-species-dilution-info": "", "WB-species-notes": "", "IHCP-species-checked": "predicted", "IHCP-species-dilution-info": "", "IHCP-species-notes": "" }, "Rabbit": { "FlowCyt-species-checked": "predicted", "FlowCyt-species-dilution-info": "", "FlowCyt-species-notes": "", "WB-species-checked": "predicted", "WB-species-dilution-info": "", "WB-species-notes": "", "IHCP-species-checked": "predicted", "IHCP-species-dilution-info": "", "IHCP-species-notes": "" } } }

Properties and storage information

Form
Liquid
Purification technique
Affinity purification Protein G
Storage buffer
Preservative: 0.09% Sodium azide Constituents: PBS, 50% Glycerol (glycerin, glycerine)
Shipped at conditions
Blue Ice
Appropriate short-term storage duration
1-2 weeks
Appropriate short-term storage conditions
+4°C
Appropriate long-term storage conditions
-20°C
Aliquoting information
Upon delivery aliquot
Storage information
Avoid freeze / thaw cycle

Product protocols

For this product, it's our understanding that no specific protocols are required. You can visit:

Target data

Functions as a stress-inducible and DNA-binding transcription factor that plays a central role in the transcriptional activation of the heat shock response (HSR), leading to the expression of a large class of molecular chaperones, heat shock proteins (HSPs), that protect cells from cellular insult damage (PubMed : 11447121, PubMed : 12659875, PubMed : 12917326, PubMed : 15016915, PubMed : 18451878, PubMed : 1871105, PubMed : 1986252, PubMed : 25963659, PubMed : 26754925, PubMed : 7623826, PubMed : 7760831, PubMed : 8940068, PubMed : 8946918, PubMed : 9121459, PubMed : 9341107, PubMed : 9499401, PubMed : 9535852, PubMed : 9727490). In unstressed cells, is present in a HSP90-containing multichaperone complex that maintains it in a non-DNA-binding inactivated monomeric form (PubMed : 11583998, PubMed : 16278218, PubMed : 9727490). Upon exposure to heat and other stress stimuli, undergoes homotrimerization and activates HSP gene transcription through binding to site-specific heat shock elements (HSEs) present in the promoter regions of HSP genes (PubMed : 10359787, PubMed : 11583998, PubMed : 12659875, PubMed : 16278218, PubMed : 1871105, PubMed : 1986252, PubMed : 25963659, PubMed : 26754925, PubMed : 7623826, PubMed : 7935471, PubMed : 8455624, PubMed : 8940068, PubMed : 9499401, PubMed : 9727490). Upon heat shock stress, forms a chromatin-associated complex with TTC5/STRAP and p300/EP300 to stimulate HSR transcription, therefore increasing cell survival (PubMed : 18451878). Activation is reversible, and during the attenuation and recovery phase period of the HSR, returns to its unactivated form (PubMed : 11583998, PubMed : 16278218). Binds to inverted 5'-NGAAN-3' pentamer DNA sequences (PubMed : 1986252, PubMed : 26727489). Binds to chromatin at heat shock gene promoters (PubMed : 25963659). Activates transcription of transcription factor FOXR1 which in turn activates transcription of the heat shock chaperones HSPA1A and HSPA6 and the antioxidant NADPH-dependent reductase DHRS2 (PubMed : 34723967). Also serves several other functions independently of its transcriptional activity. Involved in the repression of Ras-induced transcriptional activation of the c-fos gene in heat-stressed cells (PubMed : 9341107). Positively regulates pre-mRNA 3'-end processing and polyadenylation of HSP70 mRNA upon heat-stressed cells in a symplekin (SYMPK)-dependent manner (PubMed : 14707147). Plays a role in nuclear export of stress-induced HSP70 mRNA (PubMed : 17897941). Plays a role in the regulation of mitotic progression (PubMed : 18794143). Also plays a role as a negative regulator of non-homologous end joining (NHEJ) repair activity in a DNA damage-dependent manner (PubMed : 26359349). Involved in stress-induced cancer cell proliferation in a IER5-dependent manner (PubMed : 26754925).. (Microbial infection) Plays a role in latent human immunodeficiency virus (HIV-1) transcriptional reactivation. Binds to the HIV-1 long terminal repeat promoter (LTR) to reactivate viral transcription by recruiting cellular transcriptional elongation factors, such as CDK9, CCNT1 and EP300.
See full target information HSF1

Publications (16)

Recent publications for all applications. Explore the full list and refine your search

Clinical and experimental pharmacology & physiology 50:698-707 PubMed37308449

2023

Geldanamycin ameliorates multiple organ dysfunction and microthrombosis in septic mice by inhibiting the formation of the neutrophil extracellular network by activating heat shock factor 1 HSF1.

Applications

Unspecified application

Species

Unspecified reactive species

Jing Li,Ruijing Xuan,Weidong Wu,Hailong Zhang,Jie Zhao,Shan Zhang

Cell reports 42:112157 PubMed36882059

2023

Minimal upstream open reading frame of Per2 mediates phase fitness of the circadian clock to day/night physiological body temperature rhythm.

Applications

Unspecified application

Species

Unspecified reactive species

Takahito Miyake,Yuichi Inoue,Xinyan Shao,Takehito Seta,Yuto Aoki,Khanh Tien Nguyen Pham,Yuichi Shichino,Junko Sasaki,Takehiko Sasaki,Masahito Ikawa,Yoshiaki Yamaguchi,Hitoshi Okamura,Shintaro Iwasaki,Masao Doi

Nature communications 14:1221 PubMed36869047

2023

ARF suppression by MYC but not MYCN confers increased malignancy of aggressive pediatric brain tumors.

Applications

Unspecified application

Species

Unspecified reactive species

Oliver J Mainwaring,Holger Weishaupt,Miao Zhao,Gabriela Rosén,Anna Borgenvik,Laura Breinschmid,Annemieke D Verbaan,Stacey Richardson,Dean Thompson,Steven C Clifford,Rebecca M Hill,Karl Annusver,Anders Sundström,Karl O Holmberg,Maria Kasper,Sonja Hutter,Fredrik J Swartling

Experimental and therapeutic medicine 22:820 PubMed34131443

2021

Significant effects of polysaccharide on lipid metabolism in diabetes may be associated with the activation of the FAM3C-HSF1-CAM signaling pathway.

Applications

Unspecified application

Species

Unspecified reactive species

Rui Pan,Jian Lou,Ling Wei

FEBS open bio 10:1135-1148 PubMed32302062

2020

HSF1 is required for induction of mitochondrial chaperones during the mitochondrial unfolded protein response.

Applications

Unspecified application

Species

Unspecified reactive species

Arpit Katiyar,Mitsuaki Fujimoto,Ke Tan,Ai Kurashima,Pratibha Srivastava,Mariko Okada,Ryosuke Takii,Akira Nakai

Life sciences 241:117120 PubMed31825792

2019

HMGB1 was negatively regulated by HSF1 and mediated the TLR4/MyD88/NF-κB signal pathway in asthma.

Applications

Unspecified application

Species

Unspecified reactive species

Liqun Shang,Li Wang,Xiaolan Shi,Ning Wang,Long Zhao,Jing Wang,Cuicui Liu

Medical science monitor : international medical jo 24:2700-2710 PubMed29715263

2018

Downregulation of MiR-199b-5p Inducing Differentiation of Bone-Marrow Mesenchymal Stem Cells (BMSCs) Toward Cardiomyocyte-Like Cells via HSF1/HSP70 Pathway.

Applications

Unspecified application

Species

Unspecified reactive species

Fangjie Dai,Peizhao Du,Yaowei Chang,Endong Ji,Yunjia Xu,Chunyan Wei,Jiming Li

Nature methods 13:938-944 PubMed27595406

2016

Directing cellular information flow via CRISPR signal conductors.

Applications

Unspecified application

Species

Unspecified reactive species

Yuchen Liu,Yonghao Zhan,Zhicong Chen,Anbang He,Jianfa Li,Hanwei Wu,Li Liu,Chengle Zhuang,Junhao Lin,Xiaoqiang Guo,Qiaoxia Zhang,Weiren Huang,Zhiming Cai

PloS one 11:e0161615 PubMed27580124

2016

Loading-Induced Heat-Shock Response in Bovine Intervertebral Disc Organ Culture.

Applications

IF

Species

Unspecified reactive species

Wai Hon Chooi,Samantha Chun Wai Chan,Benjamin Gantenbein,Barbara Pui Chan

International journal of molecular medicine 37:56-62 PubMed26719858

2016

The interactive association between heat shock factor 1 and heat shock proteins in primary myocardial cells subjected to heat stress.

Applications

WB

Species

Unspecified reactive species

Shu Tang,Hongbo Chen,Yanfen Cheng,Mohammad Abdel Nasir,Nicole Kemper,Endong Bao
View all publications

Product promise

We are committed to supporting your work with high-quality reagents, and we're here for you every step of the way. In the unlikely event that one of our products does not perform as expected, you're protected by our Product Promise.
For full details, please see our Terms & Conditions

Please note: All products are 'FOR RESEARCH USE ONLY. NOT FOR USE IN DIAGNOSTIC OR THERAPEUTIC PROCEDURES'.

For licensing inquiries, please contact partnerships@abcam.com