JavaScript is disabled in your browser. Please enable JavaScript to view this website.
AB232342

Anti-HSF1 antibody [EP1710Y] - BSA and Azide free

  • BOND RX™ Validated
  • RabMAb
  • Recombinant
  • KO Validated
  • What is this?

Be the first to review this product! Submit a review

|

(1 Publication)

Rabbit Recombinant Monoclonal HSF1 antibody. Carrier free. Suitable for IP, ChIP, WB, ICC/IF, Flow Cyt (Intra), IHC-P and reacts with Human, Mouse samples. Cited in 1 publication.

View Alternative Names

HSTF1, HSF1, Heat shock factor protein 1, HSF 1, Heat shock transcription factor 1, HSTF 1

11 Images
Flow Cytometry (Intracellular) - Anti-HSF1 antibody [EP1710Y] - BSA and Azide free (AB232342)
  • Flow Cyt (Intra)

Unknown

Flow Cytometry (Intracellular) - Anti-HSF1 antibody [EP1710Y] - BSA and Azide free (AB232342)

Intracellular Flow Cytometry analysis of HeLa (Human cervix adenocarcinoma epithelial cell) cells labeling HSF1 with purified ab52757 at 1/20 dilution (10 μg/ml) (red). Cells were fixed with 80% Methanol and permeabilised with 0.1% Tween-20. A Goat anti rabbit IgG (Alexa Fluor® 488) secondary antibody was used at 1/2000 dilution. Isotype control - Rabbit monoclonal IgG (Black). Unlabeled control - Cell without incubation with primary antibody and secondary antibody (Blue).

This data was developed using the same antibody clone in a different buffer formulation containing PBS, BSA, glycerol, and sodium azide (ab52757).

Immunohistochemistry (Formalin/PFA-fixed paraffin-embedded sections) - Anti-HSF1 antibody [EP1710Y] - BSA and Azide free (AB232342)
  • IHC-P

Unknown

Immunohistochemistry (Formalin/PFA-fixed paraffin-embedded sections) - Anti-HSF1 antibody [EP1710Y] - BSA and Azide free (AB232342)

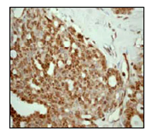
Immunohistochemical staining of paraffin-embedded human ovarian carcinoma using unpurified ab52757 at a 1 : 100 dilution.

This data was developed using the same antibody clone in a different buffer formulation containing PBS, BSA, glycerol, and sodium azide (ab52757).

Flow Cytometry (Intracellular) - Anti-HSF1 antibody [EP1710Y] - BSA and Azide free (AB232342)
  • Flow Cyt (Intra)

Unknown

Flow Cytometry (Intracellular) - Anti-HSF1 antibody [EP1710Y] - BSA and Azide free (AB232342)

Overlay histogram showing HeLa cells stained with unpurified ab52757 (red line). The cells were fixed with 80% methanol (5 min) and then permeabilized with 0.1% PBS-Tween for 20 min. The cells were then incubated in 1x PBS / 10% normal goat serum / 0.3M glycine to block non-specific protein-protein interactions followed by the antibody (unpurified ab52757, 1/1000 dilution) for 30 min at 22°C. The secondary antibody used was Alexa Fluor® 488 goat anti-rabbit IgG (H+L) (ab150077) at 1/2000 dilution for 30 min at 22°C. Isotype control antibody (black line) was rabbit IgG (monoclonal) (0.1μg/1x106 cells) used under the same conditions. Unlabelled sample (blue line) was also used as a control. Acquisition of >5,000 events were collected using a 20mW Argon ion laser (488nm) and 525/30 bandpass filter. This antibody gave a positive signal in HeLa cells fixed with 4% paraformaldehyde (10 min)/permeabilized with 0.1% PBS-Tween for 20 min used under the same conditions.

This data was developed using the same antibody clone in a different buffer formulation containing PBS, BSA, glycerol, and sodium azide (ab52757).

Immunocytochemistry/ Immunofluorescence - Anti-HSF1 antibody [EP1710Y] - BSA and Azide free (AB232342)
  • ICC/IF

Unknown

Immunocytochemistry/ Immunofluorescence - Anti-HSF1 antibody [EP1710Y] - BSA and Azide free (AB232342)

Immunocytochemistry/ Immunofluorescence analysis of MCF7 (Human breast adenocarcinoma epithelial cell) cells labeling HSF1 with Purified ab52757 at 1 : 100 dilution. Cells were fixed in 4% Paraformaldehyde and permeabilized with 0.1% tritonX-100. Cells were counterstained with ab195889 Anti-alpha Tubulin antibody [DM1A] - Microtubule Marker (Alexa Fluor® 594) 1 : 200. ab150077 Goat anti rabbit IgG(Alexa Fluor® 488) was used as the secondary antibody at 1 : 1000 dilution. DAPI nuclear counterstain. PBS instead of the primary antibody was used as the secondary antibody only control.

This data was developed using the same antibody clone in a different buffer formulation containing PBS, BSA, glycerol, and sodium azide (ab52757).

Immunohistochemistry (Formalin/PFA-fixed paraffin-embedded sections) - Anti-HSF1 antibody [EP1710Y] - BSA and Azide free (AB232342)
  • IHC-P

Supplier Data

Immunohistochemistry (Formalin/PFA-fixed paraffin-embedded sections) - Anti-HSF1 antibody [EP1710Y] - BSA and Azide free (AB232342)

Immunohistochemistry (Formalin/PFA-fixed paraffin-embedded sections) analysis of Human ovarian carcinoma tissue sections labeling HSF1 with Purified ab52757 at 1 : 250 dilution (1.06 μg/ml). Heat mediated antigen retrieval was performed using ab93684 (Tris/EDTA buffer, pH 9.0). Tissue was counterstained with Hematoxylin. ImmunoHistoProbe one step HRP Polymer (ready to use) secondary antibody was used at 1 : 0 dilution. PBS instead of the primary antibody was used as the negative control.

This data was developed using the same antibody clone in a different buffer formulation containing PBS, BSA, glycerol, and sodium azide (ab52757).

Immunocytochemistry/ Immunofluorescence - Anti-HSF1 antibody [EP1710Y] - BSA and Azide free (AB232342)
  • ICC/IF

Unknown

Immunocytochemistry/ Immunofluorescence - Anti-HSF1 antibody [EP1710Y] - BSA and Azide free (AB232342)

Immunocytochemistry/Immunofluorescence analysis of MCF-7 cells labelling HSF1 with unpurified ab52757 at 1/1000. Cells were fixed with 4% paraformaldehyde and permeabilized with 0.1% Triton X-100. ab150077, an Alexa Fluor® 488-conjugated goat anti-rabbit IgG (1/1000) was used as the secondary antibody.
Control : PBS only.
Nuclear counter stain : DAPI.

This data was developed using the same antibody clone in a different buffer formulation containing PBS, BSA, glycerol, and sodium azide (ab52757).

ChIP - Anti-HSF1 antibody [EP1710Y] - BSA and Azide free (AB232342)
  • ChIP

Unknown

ChIP - Anti-HSF1 antibody [EP1710Y] - BSA and Azide free (AB232342)

Chromatin was prepared from HeLa cells heat shocked (42oC 30 minutes) according to the Abcam Dual X-ChIP protocol. Cells were fixed with EGS for 30 minutes, then formaldehyde for 10 minutes.
The ChIP was performed with 25 μg of chromatin, 5 μg of ab52757 (red), and 20 μl of Protein A/G sepharose beads. 5 μg of rabbit normal IgG was added to the beads control (gray). The immunoprecipitated DNA was quantified by real time PCR (sybr green approach).
Primers and probes are located in the first kb of the transcribed region.
*http : //www.abcam.com/resources?keywords=X%20ChIP%20protocol
This data was developed using the same antibody clone in a different buffer formulation containing PBS, BSA, glycerol, and sodium azide (ab52757).

Immunoprecipitation - Anti-HSF1 antibody [EP1710Y] - BSA and Azide free (AB232342)
  • IP

Unknown

Immunoprecipitation - Anti-HSF1 antibody [EP1710Y] - BSA and Azide free (AB232342)

ab52757 (purified) at 1 : 20 dilution (2μg) immunoprecipitating HSF1 in HeLa (Human cervix adenocarcinoma epithelial cell) whole cell lysate.

Lane 1 (input) : HeLa (Human cervix adenocarcinoma epithelial cell) whole cell lysate 10ug
Lane 2 (+) : ab52757 & HeLa (Human cervix adenocarcinoma epithelial cell) whole cell lysate
Lane 3 (-) : Rabbit monoclonal IgG (ab172730) instead of ab52727 in HeLa (Human cervix adenocarcinoma epithelial cell) whole cell lysate

For western blotting, VeriBlot for IP Detection Reagent (HRP) (ab131366) was used for detection at 1 : 1000 dilution.
Blocking and diluting buffer : 5% NFDM/TBST.

This data was developed using the same antibody clone in a different buffer formulation containing PBS, BSA, glycerol, and sodium azide (ab52757).

All lanes:

Immunoprecipitation - Anti-HSF1 antibody [EP1710Y] - ChIP Grade (<a href='/en-us/products/primary-antibodies/hsf1-antibody-ep1710y-chip-grade-ab52757'>ab52757</a>)

Predicted band size: 57 kDa

false

Immunohistochemistry (Formalin/PFA-fixed paraffin-embedded sections) - Anti-HSF1 antibody [EP1710Y] - BSA and Azide free (AB232342)
  • IHC-P

Unknown

Immunohistochemistry (Formalin/PFA-fixed paraffin-embedded sections) - Anti-HSF1 antibody [EP1710Y] - BSA and Azide free (AB232342)

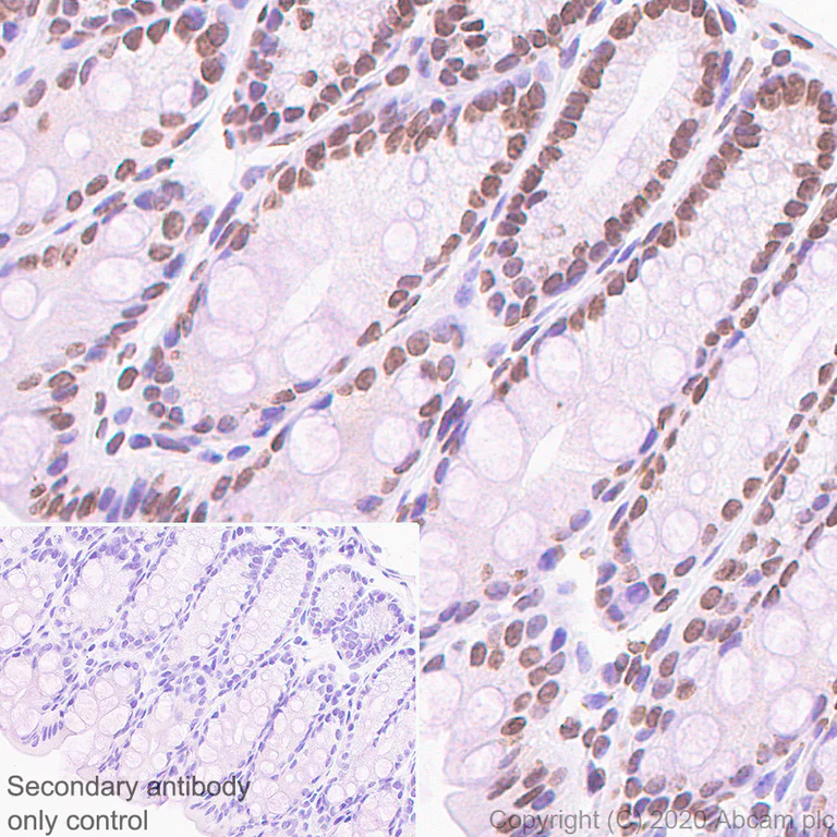
Immunohistochemical analysis of paraffin-embedded Mouse colon tissue labeling HSF1 with ab52757 at 1/1000 followed by a Rabbit specific IHC polymer detection kit HRP/DAB (ab209101) Ready to use. Nuclear staining on mouse colon. The section was incubated with ab52757 for 30 mins at room temperature.The immunostaining was performed on a Leica Biosystems BOND® RX instrument Counterstained with Hematoxylin.

Secondary antibody only control : Secondary antibody is Rabbit specific IHC polymer detection kit HRP/DAB (ab209101) Ready to use.

Heat mediated antigen retrieval with Citrate buffer (pH 6.0, epitope retrieval solution 1) for 20 mins

This data was developed using the same antibody clone in a different buffer formulation containing PBS, BSA, glycerol, and sodium azide (ab52757).

Immunohistochemistry (Formalin/PFA-fixed paraffin-embedded sections) - Anti-HSF1 antibody [EP1710Y] - BSA and Azide free (AB232342)
  • IHC-P

Unknown

Immunohistochemistry (Formalin/PFA-fixed paraffin-embedded sections) - Anti-HSF1 antibody [EP1710Y] - BSA and Azide free (AB232342)

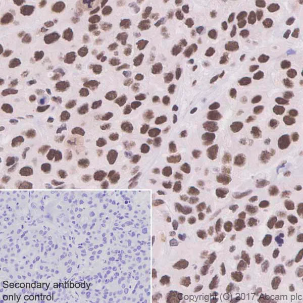
Immunohistochemical analysis of paraffin-embedded Mouse testis tissue labeling HSF1 with ab52757 at 1/1000 followed by a Rabbit specific IHC polymer detection kit HRP/DAB (ab209101) Ready to use. Nuclear staining on mouse testis. The section was incubated with ab52757 for 30 mins at room temperature.The immunostaining was performed on a Leica Biosystems BOND® RX instrument Counterstained with Hematoxylin.

Secondary antibody only control : Secondary antibody is Rabbit specific IHC polymer detection kit HRP/DAB (ab209101) Ready to use.

Heat mediated antigen retrieval with Citrate buffer (pH 6.0, epitope retrieval solution 1) for 20 mins

This data was developed using the same antibody clone in a different buffer formulation containing PBS, BSA, glycerol, and sodium azide (ab52757).

Western blot - Anti-HSF1 antibody [EP1710Y] - BSA and Azide free (AB232342)
  • WB

Lab

Western blot - Anti-HSF1 antibody [EP1710Y] - BSA and Azide free (AB232342)

Lanes 1 - 4 : Merged signal (red and green). Green - ab52757 observed at 57 kDa. Red - loading control, ab9484, observed at 37 kDa.

ab52757 was shown to specifically react with in wild-type HAP1 cells as signal was lost in Hsf1 knockout cells. Wild-type and Hsf1 knockout samples were subjected to SDS-PAGE. ab52757 and ab9484 (Mouse anti-GAPDH loading control) were incubated overnight at 4°C at 1/100000 dilution and 1/20000 dilution respectively. Blots were developed with Goat anti-Rabbit IgG H&L (IRDye® 800CW) preabsorbed ab216773 and Goat anti-Mouse IgG H&L (IRDye® 680RD) preabsorbed ab216776 secondary antibodies at 1/20000 dilution for 1 hour at room temperature before imaging.

This data was developed using the same antibody clone in a different buffer formulation containing PBS, BSA, glycerol, and sodium azide (ab52757).

All lanes:

Western blot - Anti-HSF1 antibody [EP1710Y] - ChIP Grade (<a href='/en-us/products/primary-antibodies/hsf1-antibody-ep1710y-chip-grade-ab52757'>ab52757</a>) at 1/100000 dilution

Lane 1:

Wild-type HAP1 whole cell lysate at 20 µg

Lane 2:

Hsf1 knockout HAP1 whole cell lysate at 20 µg

Lane 3:

HeLa whole cell lysate at 20 µg

Lane 4:

K562 whole cell lysate at 20 µg

Predicted band size: 57 kDa

Observed band size: 57 kDa

false

Key facts

Host species

Rabbit

Clonality

Monoclonal

Clone number

EP1710Y

Isotype

IgG

Carrier free

Yes

Reacts with

Mouse, Human

Applications

ICC/IF, IP, Flow Cyt (Intra), IHC-P, WB, ChIP

applications

Immunogen

The exact immunogen used to generate this antibody is proprietary information.

Reactivity data

{ "title": "Reactivity Data", "filters": { "stats": ["", "Species", "Dilution Info", "Notes"], "tabs": { "all-applications": {"fullname" : "All Applications", "shortname": "All Applications"}, "IP" : {"fullname" : "Immunoprecipitation", "shortname":"IP"}, "ChIP" : {"fullname" : "ChIP", "shortname":"ChIP"}, "WB" : {"fullname" : "Western blot", "shortname":"WB"}, "ICCIF" : {"fullname" : "Immunocytochemistry/ Immunofluorescence", "shortname":"ICC/IF"}, "FlowCytIntra" : {"fullname" : "Flow Cytometry (Intracellular)", "shortname":"Flow Cyt (Intra)"}, "IHCP" : {"fullname" : "Immunohistochemistry (Formalin/PFA-fixed paraffin-embedded sections)", "shortname":"IHC-P"} }, "product-promise": { "all": "all", "testedAndGuaranteed": "tested", "guaranteed": "expected", "predicted": "predicted", "notRecommended": "not-recommended" } }, "values": { "Human": { "IP-species-checked": "testedAndGuaranteed", "IP-species-dilution-info": "", "IP-species-notes": "<p></p>", "ChIP-species-checked": "testedAndGuaranteed", "ChIP-species-dilution-info": "", "ChIP-species-notes": "<p></p>", "WB-species-checked": "testedAndGuaranteed", "WB-species-dilution-info": "", "WB-species-notes": "<p></p>", "ICCIF-species-checked": "testedAndGuaranteed", "ICCIF-species-dilution-info": "", "ICCIF-species-notes": "<p></p>", "FlowCytIntra-species-checked": "testedAndGuaranteed", "FlowCytIntra-species-dilution-info": "", "FlowCytIntra-species-notes": "<p><a href='/en-us/products/primary-antibodies/rabbit-igg-monoclonal-epr25a-isotype-control-ab172730'>ab172730</a> - Rabbit monoclonal IgG, is suitable for use as an isotype control with this antibody.</p>", "IHCP-species-checked": "testedAndGuaranteed", "IHCP-species-dilution-info": "", "IHCP-species-notes": "<p></p>" }, "Mouse": { "IP-species-checked": "guaranteed", "IP-species-dilution-info": "", "IP-species-notes": "", "ChIP-species-checked": "guaranteed", "ChIP-species-dilution-info": "", "ChIP-species-notes": "", "WB-species-checked": "guaranteed", "WB-species-dilution-info": "", "WB-species-notes": "", "ICCIF-species-checked": "guaranteed", "ICCIF-species-dilution-info": "", "ICCIF-species-notes": "", "FlowCytIntra-species-checked": "guaranteed", "FlowCytIntra-species-dilution-info": "", "FlowCytIntra-species-notes": "", "IHCP-species-checked": "testedAndGuaranteed", "IHCP-species-dilution-info": "", "IHCP-species-notes": "<p></p>" } } }

Product details

ab232342 is the carrier-free version of ab52757.

Patented technology
Our RabMAb® technology is a patented hybridoma-based technology for making rabbit monoclonal antibodies. For details on our patents, please refer to RabMAb® patents.

What are the advantages of a recombinant monoclonal antibody?
This product is a recombinant monoclonal antibody, which offers several advantages including:

  • - High batch-to-batch consistency and reproducibility
  • - Improved sensitivity and specificity
  • - Long-term security of supply
  • - Animal-free batch production

For more information, read more on recombinant antibodies.

Conjugation ready
Our carrier-free antibodies are typically supplied in a PBS-only formulation, purified and free of BSA, sodium azide and glycerol. This conjugation-ready format is designed for use with fluorochromes, metal isotopes, oligonucleotides, and enzymes, which makes them ideal for antibody labelling, functional and cell-based assays, flow-based assays (e.g. mass cytometry) and Multiplex Imaging applications.

Use our conjugation kits for antibody conjugates that are ready-to-use in as little as 20 minutes with 1 minute hands-on-time and 100% antibody recovery: available for fluorescent dyes, HRP, biotin and gold.

Compatibility
This product is compatible with the Maxpar® Antibody Labeling Kit from Fluidigm, without the need for antibody preparation. Maxpar® is a trademark of Fluidigm Canada Inc.

Properties and storage information

Form
Liquid
Purification technique
Affinity purification Protein A
Storage buffer
pH: 7.2 - 7.4 Constituents: PBS
Shipped at conditions
Blue Ice
Appropriate short-term storage conditions
+4°C
Appropriate long-term storage conditions
+4°C
Storage information
Do Not Freeze

Product protocols

For this product, it's our understanding that no specific protocols are required. You can visit:

Target data

Functions as a stress-inducible and DNA-binding transcription factor that plays a central role in the transcriptional activation of the heat shock response (HSR), leading to the expression of a large class of molecular chaperones, heat shock proteins (HSPs), that protect cells from cellular insult damage (PubMed : 11447121, PubMed : 12659875, PubMed : 12917326, PubMed : 15016915, PubMed : 18451878, PubMed : 1871105, PubMed : 1986252, PubMed : 25963659, PubMed : 26754925, PubMed : 7623826, PubMed : 7760831, PubMed : 8940068, PubMed : 8946918, PubMed : 9121459, PubMed : 9341107, PubMed : 9499401, PubMed : 9535852, PubMed : 9727490). In unstressed cells, is present in a HSP90-containing multichaperone complex that maintains it in a non-DNA-binding inactivated monomeric form (PubMed : 11583998, PubMed : 16278218, PubMed : 9727490). Upon exposure to heat and other stress stimuli, undergoes homotrimerization and activates HSP gene transcription through binding to site-specific heat shock elements (HSEs) present in the promoter regions of HSP genes (PubMed : 10359787, PubMed : 11583998, PubMed : 12659875, PubMed : 16278218, PubMed : 1871105, PubMed : 1986252, PubMed : 25963659, PubMed : 26754925, PubMed : 7623826, PubMed : 7935471, PubMed : 8455624, PubMed : 8940068, PubMed : 9499401, PubMed : 9727490). Upon heat shock stress, forms a chromatin-associated complex with TTC5/STRAP and p300/EP300 to stimulate HSR transcription, therefore increasing cell survival (PubMed : 18451878). Activation is reversible, and during the attenuation and recovery phase period of the HSR, returns to its unactivated form (PubMed : 11583998, PubMed : 16278218). Binds to inverted 5'-NGAAN-3' pentamer DNA sequences (PubMed : 1986252, PubMed : 26727489). Binds to chromatin at heat shock gene promoters (PubMed : 25963659). Activates transcription of transcription factor FOXR1 which in turn activates transcription of the heat shock chaperones HSPA1A and HSPA6 and the antioxidant NADPH-dependent reductase DHRS2 (PubMed : 34723967). Also serves several other functions independently of its transcriptional activity. Involved in the repression of Ras-induced transcriptional activation of the c-fos gene in heat-stressed cells (PubMed : 9341107). Positively regulates pre-mRNA 3'-end processing and polyadenylation of HSP70 mRNA upon heat-stressed cells in a symplekin (SYMPK)-dependent manner (PubMed : 14707147). Plays a role in nuclear export of stress-induced HSP70 mRNA (PubMed : 17897941). Plays a role in the regulation of mitotic progression (PubMed : 18794143). Also plays a role as a negative regulator of non-homologous end joining (NHEJ) repair activity in a DNA damage-dependent manner (PubMed : 26359349). Involved in stress-induced cancer cell proliferation in a IER5-dependent manner (PubMed : 26754925).. (Microbial infection) Plays a role in latent human immunodeficiency virus (HIV-1) transcriptional reactivation. Binds to the HIV-1 long terminal repeat promoter (LTR) to reactivate viral transcription by recruiting cellular transcriptional elongation factors, such as CDK9, CCNT1 and EP300.
See full target information HSF1

Publications (1)

Recent publications for all applications. Explore the full list and refine your search

Acta neuropathologica communications 12:37 PubMed38429841

2024

Prophylactic nicotinamide treatment protects from rotenone-induced neurodegeneration by increasing mitochondrial content and volume.

Applications

Unspecified application

Species

Unspecified reactive species

Amin Otmani,Gauti Jóhannesson,Rune Brautaset,James R Tribble,Pete A Williams
View all publications

Product promise

We are committed to supporting your work with high-quality reagents, and we're here for you every step of the way. In the unlikely event that one of our products does not perform as expected, you're protected by our Product Promise.
For full details, please see our Terms & Conditions

Please note: All products are 'FOR RESEARCH USE ONLY. NOT FOR USE IN DIAGNOSTIC OR THERAPEUTIC PROCEDURES'.

For licensing inquiries, please contact partnerships@abcam.com