JavaScript is disabled in your browser. Please enable JavaScript to view this website.
AB52757

Anti-HSF1 antibody [EP1710Y] - ChIP Grade

  • BOND RX™ Validated
  • RabMAb
  • Recombinant
  • KO Validated
  • 20ul selling size
  • What is this?

Be the first to review this product! Submit a review

|

(43 Publications)

Rabbit Recombinant Monoclonal HSF1 antibody. Suitable for IP, ChIP, WB, ICC/IF, Flow Cyt (Intra), IHC-P and reacts with Human, Mouse samples. Cited in 43 publications.

View Alternative Names

HSTF1, HSF1, Heat shock factor protein 1, HSF 1, Heat shock transcription factor 1, HSTF 1

13 Images
Immunocytochemistry/ Immunofluorescence - Anti-HSF1 antibody [EP1710Y] - ChIP Grade (AB52757)
  • ICC/IF

Lab

Immunocytochemistry/ Immunofluorescence - Anti-HSF1 antibody [EP1710Y] - ChIP Grade (AB52757)

ab52757 staining HSF1 in wild-type Hap1 cells (top panel) and HSF1 knockout Hap1 cells (bottom panel). The cells were fixed with 100% methanol (5 min), permeabilized with 0.1% Triton X-100 for 5 minutes and then blocked with 1% BSA/10% normal goat serum/0.3M glycine in 0.1% PBS-Tween for 1h. The cells were then incubated with ab52757 at 1/250 dilution and ab7291 (Mouse monoclonal to alpha Tubulin) at 1/1000 dilution overnight at +4°C, followed by a further incubation at room temperature for 1h with a goat secondary antibody to rabbit IgG (Alexa Fluor® 488) (ab150081) at 2 μg/ml (shown in green) and a goat secondary antibody to mouse IgG (Alexa Fluor® 594) (ab150120) at 2 μg/ml (shown in red). Nuclear DNA was labelled in blue with DAPI.

Image was taken with a confocal microscope (Leica-Microsystems, TCS SP8).

Flow Cytometry (Intracellular) - Anti-HSF1 antibody [EP1710Y] - ChIP Grade (AB52757)
  • Flow Cyt (Intra)

Unknown

Flow Cytometry (Intracellular) - Anti-HSF1 antibody [EP1710Y] - ChIP Grade (AB52757)

Overlay histogram showing HeLa cells stained withunpurified ab52757 (red line). The cells were fixed with 80% methanol (5 min) and then permeabilized with 0.1% PBS-Tween for 20 min. The cells were then incubated in 1x PBS / 10% normal goat serum / 0.3M glycine to block non-specific protein-protein interactions followed by the antibody (unpurified ab52757, 1/1000 dilution) for 30 min at 22°C. The secondary antibody used was Alexa Fluorr® 488 goat anti-rabbit IgG (H+L) (ab150077) at 1/2000 dilution for 30 min at 22°C. Isotype control antibody (black line) was rabbit IgG (monoclonal) (0.1μg/1x106 cells) used under the same conditions. Unlabelled sample (blue line) was also used as a control. Acquisition of >5,000 events were collected using a 20mW Argon ion laser (488nm) and 525/30 bandpass filter. This antibody gave a positive signal in HeLa cells fixed with 4% paraformaldehyde (10 min)/permeabilized with 0.1% PBS-Tween for 20 min used under the same conditions.

Immunocytochemistry/ Immunofluorescence - Anti-HSF1 antibody [EP1710Y] - ChIP Grade (AB52757)
  • ICC/IF

Unknown

Immunocytochemistry/ Immunofluorescence - Anti-HSF1 antibody [EP1710Y] - ChIP Grade (AB52757)

Immunocytochemistry/ Immunofluorescence analysis of MCF7 (Human breast adenocarcinoma epithelial cell) cells labeling HSF1 with Purified ab52757 at 1 : 100 dilution. Cells were fixed in 4% Paraformaldehyde and permeabilized with 0.1% tritonX-100. Cells were counterstained with ab195889 Anti-alpha Tubulin antibody [DM1A] - Microtubule Marker (Alexa Fluor® 594) 1 : 200. ab150077 Goat anti rabbit IgG(Alexa Fluor® 488) was used as the secondary antibody at 1 : 1000 dilution. DAPI nuclear counterstain. PBS instead of the primary antibody was used as the secondary antibody only control.

Immunohistochemistry (Formalin/PFA-fixed paraffin-embedded sections) - Anti-HSF1 antibody [EP1710Y] - ChIP Grade (AB52757)
  • IHC-P

Supplier Data

Immunohistochemistry (Formalin/PFA-fixed paraffin-embedded sections) - Anti-HSF1 antibody [EP1710Y] - ChIP Grade (AB52757)

Immunohistochemistry (Formalin/PFA-fixed paraffin-embedded sections) analysis of Human ovarian carcinoma tissue sections labeling HSF1 with Purified ab52757 at 1 : 250 dilution (1.06 μg/ml). Heat mediated antigen retrieval was performed using ab93684 (Tris/EDTA buffer, pH 9.0). Tissue was counterstained with Hematoxylin. ImmunoHistoProbe one step HRP Polymer (ready to use) secondary antibody was used at 1 : 0 dilution. PBS instead of the primary antibody was used as the negative control.

Immunocytochemistry/ Immunofluorescence - Anti-HSF1 antibody [EP1710Y] - ChIP Grade (AB52757)
  • ICC/IF

Unknown

Immunocytochemistry/ Immunofluorescence - Anti-HSF1 antibody [EP1710Y] - ChIP Grade (AB52757)

Immunocytochemistry/Immunofluorescence analysis of MCF-7 cells labelling HSF1 with unpurified ab52757 at 1/1000. Cells were fixed with 4% paraformaldehyde and permeabilized with 0.1% Triton X-100. ab150077, an Alexa Fluor® 488-conjugated goat anti-rabbit IgG (1/1000) was used as the secondary antibody.
Control : PBS only.
Nuclear counter stain : DAPI.

Flow Cytometry (Intracellular) - Anti-HSF1 antibody [EP1710Y] - ChIP Grade (AB52757)
  • Flow Cyt (Intra)

Unknown

Flow Cytometry (Intracellular) - Anti-HSF1 antibody [EP1710Y] - ChIP Grade (AB52757)

Intracellular Flow Cytometry analysis of HeLa (Human cervix adenocarcinoma epithelial cell) cells labeling HSF1 with purified ab52757 at 1/20 dilution (10μg/ml) (red). Cells were fixed with 80% Methanol and permeabilised with 0.1% Tween-20. A Goat anti rabbit IgG (Alexa Fluor® 488) secondary antibody was used at 1/2000 dilution. Isotype control - Rabbit monoclonal IgG (Black). Unlabeled control - Cell without incubation with primary antibody and secondary antibody (Blue).

Immunoprecipitation - Anti-HSF1 antibody [EP1710Y] - ChIP Grade (AB52757)
  • IP

Unknown

Immunoprecipitation - Anti-HSF1 antibody [EP1710Y] - ChIP Grade (AB52757)

ab52757 (purified) at 1 : 20 dilution (2μg) immunoprecipitating HSF1 in HeLa (Human cervix adenocarcinoma epithelial cell) whole cell lysate.

Lane 1 (input) : HeLa (Human cervix adenocarcinoma epithelial cell) whole cell lysate 10ug
Lane 2 (+) : ab52757 & HeLa (Human cervix adenocarcinoma epithelial cell) whole cell lysate
Lane 3 (-) : Rabbit monoclonal IgG (ab172730) instead of ab52727 in HeLa (Human cervix adenocarcinoma epithelial cell) whole cell lysate

For western blotting, VeriBlot for IP Detection Reagent (HRP) (ab131366) was used for detection at 1 : 1000 dilution.
Blocking and diluting buffer : 5% NFDM/TBST.

All lanes:

Immunoprecipitation - Anti-HSF1 antibody [EP1710Y] - ChIP Grade (ab52757)

Predicted band size: 57 kDa

false

ChIP - Anti-HSF1 antibody [EP1710Y] - ChIP Grade (AB52757)
  • ChIP

Unknown

ChIP - Anti-HSF1 antibody [EP1710Y] - ChIP Grade (AB52757)

Chromatin was prepared from HeLa cells heat shocked (42oC 30 minutes) according to the Abcam Dual X-ChIP protocol. Cells were fixed with EGS for 30 minutes, then formaldehyde for 10 minutes.
The ChIP was performed with 25 μg of chromatin, 5 μg of ab52757 (red), and 20 μl of Protein A/G sepharose beads. 5 μg of rabbit normal IgG was added to the beads control (gray). The immunoprecipitated DNA was quantified by real time PCR (sybr green approach).
Primers and probes are located in the first kb of the transcribed region.
*http : //www.abcam.com/resources?keywords=X%20ChIP%20protocol

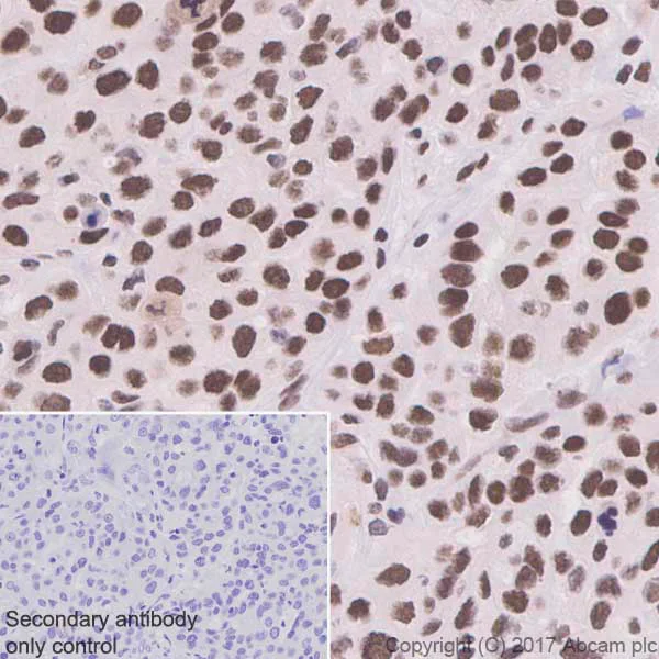
Immunohistochemistry (Formalin/PFA-fixed paraffin-embedded sections) - Anti-HSF1 antibody [EP1710Y] - ChIP Grade (AB52757)
  • IHC-P

Unknown

Immunohistochemistry (Formalin/PFA-fixed paraffin-embedded sections) - Anti-HSF1 antibody [EP1710Y] - ChIP Grade (AB52757)

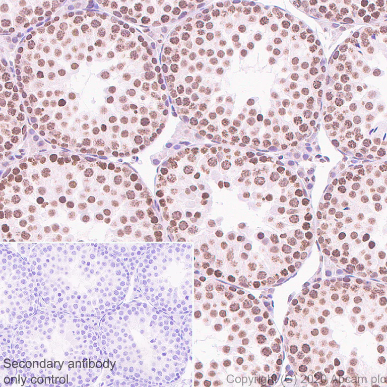
Immunohistochemical analysis of paraffin-embedded Mouse testis tissue labeling HSF1 with ab52757 at 1/1000 followed by a Rabbit specific IHC polymer detection kit HRP/DAB (ab209101) Ready to use. Nuclear staining on mouse testis. The section was incubated with ab52757 for 30 mins at room temperature.The immunostaining was performed on a Leica Biosystems BOND® RX instrument Counterstained with Hematoxylin.

Secondary antibody only control : Secondary antibody is Rabbit specific IHC polymer detection kit HRP/DAB (ab209101), Ready to use.

Heat mediated antigen retrieval with Citrate buffer (pH 6.0, epitope retrieval solution 1) for 20 mins

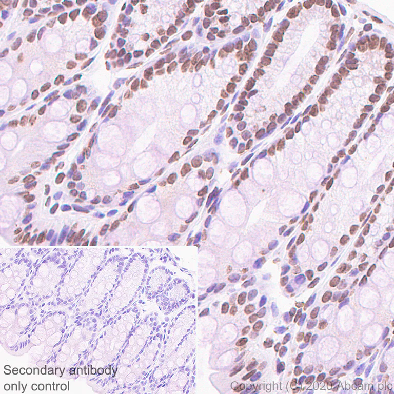
Immunohistochemistry (Formalin/PFA-fixed paraffin-embedded sections) - Anti-HSF1 antibody [EP1710Y] - ChIP Grade (AB52757)
  • IHC-P

Unknown

Immunohistochemistry (Formalin/PFA-fixed paraffin-embedded sections) - Anti-HSF1 antibody [EP1710Y] - ChIP Grade (AB52757)

Immunohistochemical analysis of paraffin-embedded Mouse colon tissue labeling HSF1 with ab52757 at 1/1000 followed by a Rabbit specific IHC polymer detection kit HRP/DAB (ab209101) Ready to use. Nuclear staining on mouse colon. The section was incubated with ab52757 for 30 mins at room temperature.The immunostaining was performed on a Leica Biosystems BOND® RX instrument Counterstained with Hematoxylin.

Secondary antibody only control : Secondary antibody is Rabbit specific IHC polymer detection kit HRP/DAB (ab209101), Ready to use.

Heat mediated antigen retrieval with Citrate buffer (pH 6.0, epitope retrieval solution 1) for 20 mins

Western blot - Anti-HSF1 antibody [EP1710Y] - ChIP Grade (AB52757)
  • WB

Lab

Western blot - Anti-HSF1 antibody [EP1710Y] - ChIP Grade (AB52757)

Blocking and diluting buffer : 5% NFDM/TBST

All lanes:

Western blot - Anti-HSF1 antibody [EP1710Y] - ChIP Grade (ab52757) at 1/50000 dilution

All lanes:

HeLa (Human cervix adenocarcinoma epithelial cell ) whole cell lysates at 15 µg

Secondary

All lanes:

Western blot - Goat Anti-Rabbit IgG H&L (HRP) (<a href='/en-us/products/secondary-antibodies/goat-rabbit-igg-h-l-hrp-ab97051'>ab97051</a>) at 1/20000 dilution

Predicted band size: 57 kDa

Observed band size: 80 kDa

false

Western blot - Anti-HSF1 antibody [EP1710Y] - ChIP Grade (AB52757)
  • WB

Lab

Western blot - Anti-HSF1 antibody [EP1710Y] - ChIP Grade (AB52757)

Lanes 1 - 4 : Merged signal (red and green). Green - ab52757 observed at 57 kDa. Red - loading control, ab9484, observed at 37 kDa.

ab52757 was shown to specifically react with in wild-type HAP1 cells as signal was lost in Hsf1 knockout cells. Wild-type and Hsf1 knockout samples were subjected to SDS-PAGE. ab52757 and ab9484 (Mouse anti-GAPDH loading control) were incubated overnight at 4°C at 1/100000 dilution and 1/20000 dilution respectively. Blots were developed with Goat anti-Rabbit IgG H&L (IRDye® 800CW) preabsorbed ab216773 and Goat anti-Mouse IgG H&L (IRDye® 680RD) preabsorbed ab216776 secondary antibodies at 1/20000 dilution for 1 hour at room temperature before imaging.

All lanes:

Western blot - Anti-HSF1 antibody [EP1710Y] - ChIP Grade (ab52757) at 1/100000 dilution

Lane 1:

Wild-type HAP1 whole cell lysate at 20 µg

Lane 2:

Hsf1 knockout HAP1 whole cell lysate at 20 µg

Lane 3:

HeLa whole cell lysate at 20 µg

Lane 4:

K562 whole cell lysate at 20 µg

Predicted band size: 57 kDa

Observed band size: 57 kDa

false

Western blot - Anti-HSF1 antibody [EP1710Y] - ChIP Grade (AB52757)
  • WB

Unknown

Western blot - Anti-HSF1 antibody [EP1710Y] - ChIP Grade (AB52757)

All lanes:

Western blot - Anti-HSF1 antibody [EP1710Y] - ChIP Grade (ab52757) at 1/100000 dilution

All lanes:

HeLa cell lysate at 10 µg

Secondary

All lanes:

HRP-conjugated goat anti-rabbit IgG at 1/2000 dilution

Predicted band size: 57 kDa

Observed band size: 85 kDa

false

  • Carrier free

    Anti-HSF1 antibody [EP1710Y] - BSA and Azide free

Key facts

Host species

Rabbit

Clonality

Monoclonal

Clone number

EP1710Y

Isotype

IgG

Carrier free

No

Reacts with

Mouse, Human

Applications

WB, ChIP, IP, Flow Cyt (Intra), IHC-P, ICC/IF

applications

Immunogen

The exact immunogen used to generate this antibody is proprietary information.

Reactivity data

{ "title": "Reactivity Data", "filters": { "stats": ["", "Species", "Dilution Info", "Notes"], "tabs": { "all-applications": {"fullname" : "All Applications", "shortname": "All Applications"}, "IP" : {"fullname" : "Immunoprecipitation", "shortname":"IP"}, "ChIP" : {"fullname" : "ChIP", "shortname":"ChIP"}, "WB" : {"fullname" : "Western blot", "shortname":"WB"}, "ICCIF" : {"fullname" : "Immunocytochemistry/ Immunofluorescence", "shortname":"ICC/IF"}, "FlowCytIntra" : {"fullname" : "Flow Cytometry (Intracellular)", "shortname":"Flow Cyt (Intra)"}, "IHCP" : {"fullname" : "Immunohistochemistry (Formalin/PFA-fixed paraffin-embedded sections)", "shortname":"IHC-P"} }, "product-promise": { "all": "all", "testedAndGuaranteed": "tested", "guaranteed": "expected", "predicted": "predicted", "notRecommended": "not-recommended" } }, "values": { "Human": { "IP-species-checked": "testedAndGuaranteed", "IP-species-dilution-info": "1/20", "IP-species-notes": "<p><strong>For unpurified use at 1/100.</strong></p>", "ChIP-species-checked": "testedAndGuaranteed", "ChIP-species-dilution-info": "", "ChIP-species-notes": "<p></p>", "WB-species-checked": "testedAndGuaranteed", "WB-species-dilution-info": "1/50000", "WB-species-notes": "<p><strong>For unpurified use at 1/100000. </strong></p>", "ICCIF-species-checked": "testedAndGuaranteed", "ICCIF-species-dilution-info": "1/100 - 1/250", "ICCIF-species-notes": "<p></p>", "FlowCytIntra-species-checked": "testedAndGuaranteed", "FlowCytIntra-species-dilution-info": "1/20", "FlowCytIntra-species-notes": "<p><a href='/en-us/products/primary-antibodies/rabbit-igg-monoclonal-epr25a-isotype-control-ab172730'>ab172730</a> - Rabbit monoclonal IgG, is suitable for use as an isotype control with this antibody.</p>", "IHCP-species-checked": "testedAndGuaranteed", "IHCP-species-dilution-info": "1/250", "IHCP-species-notes": "<p></p> Perform heat-mediated antigen retrieval with Tris/EDTA buffer pH 9.0 before commencing with IHC staining protocol." }, "Mouse": { "IP-species-checked": "guaranteed", "IP-species-dilution-info": "", "IP-species-notes": "", "ChIP-species-checked": "guaranteed", "ChIP-species-dilution-info": "", "ChIP-species-notes": "", "WB-species-checked": "notRecommended", "WB-species-dilution-info": "1/50000", "WB-species-notes": "<p><strong>For unpurified use at 1/100000. </strong></p>", "ICCIF-species-checked": "guaranteed", "ICCIF-species-dilution-info": "", "ICCIF-species-notes": "", "FlowCytIntra-species-checked": "guaranteed", "FlowCytIntra-species-dilution-info": "", "FlowCytIntra-species-notes": "", "IHCP-species-checked": "testedAndGuaranteed", "IHCP-species-dilution-info": "1/250", "IHCP-species-notes": "<p></p> Perform heat-mediated antigen retrieval with Tris/EDTA buffer pH 9.0 before commencing with IHC staining protocol." } } }

Product details

Species reactivity
Mouse, Rat: We have preliminary internal testing data to indicate this antibody may not react with these species.
Please contact us for more information.

Patented technology
Our RabMAb® technology is a patented hybridoma-based technology for making rabbit monoclonal antibodies. For details on our patents, please refer to RabMAb® patents.

What are the advantages of a recombinant monoclonal antibody?
This product is a recombinant monoclonal antibody, which offers several advantages including:

  • - High batch-to-batch consistency and reproducibility
  • - Improved sensitivity and specificity
  • - Long-term security of supply
  • - Animal-free batch production

For more information, read more on recombinant antibodies.

Properties and storage information

Form
Liquid
Purification technique
Affinity purification Protein A
Storage buffer
pH: 7.2 - 7.4 Preservative: 0.01% Sodium azide Constituents: PBS, 40% Glycerol (glycerin, glycerine), 0.21% BSA
Shipped at conditions
Blue Ice
Appropriate short-term storage duration
1-2 weeks
Appropriate short-term storage conditions
+4°C
Appropriate long-term storage conditions
-20°C
Aliquoting information
Upon delivery aliquot
Storage information
Avoid freeze / thaw cycle|Stable for 12 months at -20°C

Product protocols

For this product, it's our understanding that no specific protocols are required. You can visit:

Target data

Functions as a stress-inducible and DNA-binding transcription factor that plays a central role in the transcriptional activation of the heat shock response (HSR), leading to the expression of a large class of molecular chaperones, heat shock proteins (HSPs), that protect cells from cellular insult damage (PubMed : 11447121, PubMed : 12659875, PubMed : 12917326, PubMed : 15016915, PubMed : 18451878, PubMed : 1871105, PubMed : 1986252, PubMed : 25963659, PubMed : 26754925, PubMed : 7623826, PubMed : 7760831, PubMed : 8940068, PubMed : 8946918, PubMed : 9121459, PubMed : 9341107, PubMed : 9499401, PubMed : 9535852, PubMed : 9727490). In unstressed cells, is present in a HSP90-containing multichaperone complex that maintains it in a non-DNA-binding inactivated monomeric form (PubMed : 11583998, PubMed : 16278218, PubMed : 9727490). Upon exposure to heat and other stress stimuli, undergoes homotrimerization and activates HSP gene transcription through binding to site-specific heat shock elements (HSEs) present in the promoter regions of HSP genes (PubMed : 10359787, PubMed : 11583998, PubMed : 12659875, PubMed : 16278218, PubMed : 1871105, PubMed : 1986252, PubMed : 25963659, PubMed : 26754925, PubMed : 7623826, PubMed : 7935471, PubMed : 8455624, PubMed : 8940068, PubMed : 9499401, PubMed : 9727490). Upon heat shock stress, forms a chromatin-associated complex with TTC5/STRAP and p300/EP300 to stimulate HSR transcription, therefore increasing cell survival (PubMed : 18451878). Activation is reversible, and during the attenuation and recovery phase period of the HSR, returns to its unactivated form (PubMed : 11583998, PubMed : 16278218). Binds to inverted 5'-NGAAN-3' pentamer DNA sequences (PubMed : 1986252, PubMed : 26727489). Binds to chromatin at heat shock gene promoters (PubMed : 25963659). Activates transcription of transcription factor FOXR1 which in turn activates transcription of the heat shock chaperones HSPA1A and HSPA6 and the antioxidant NADPH-dependent reductase DHRS2 (PubMed : 34723967). Also serves several other functions independently of its transcriptional activity. Involved in the repression of Ras-induced transcriptional activation of the c-fos gene in heat-stressed cells (PubMed : 9341107). Positively regulates pre-mRNA 3'-end processing and polyadenylation of HSP70 mRNA upon heat-stressed cells in a symplekin (SYMPK)-dependent manner (PubMed : 14707147). Plays a role in nuclear export of stress-induced HSP70 mRNA (PubMed : 17897941). Plays a role in the regulation of mitotic progression (PubMed : 18794143). Also plays a role as a negative regulator of non-homologous end joining (NHEJ) repair activity in a DNA damage-dependent manner (PubMed : 26359349). Involved in stress-induced cancer cell proliferation in a IER5-dependent manner (PubMed : 26754925).. (Microbial infection) Plays a role in latent human immunodeficiency virus (HIV-1) transcriptional reactivation. Binds to the HIV-1 long terminal repeat promoter (LTR) to reactivate viral transcription by recruiting cellular transcriptional elongation factors, such as CDK9, CCNT1 and EP300.
See full target information HSF1

Publications (43)

Recent publications for all applications. Explore the full list and refine your search

Nature cell biology 26:1943-1957 PubMed39482354

2024

Caspase-2 is a condensate-mediated deubiquitinase in protein quality control.

Applications

Unspecified application

Species

Unspecified reactive species

Yingwei Ge,Lijie Zhou,Yesheng Fu,Lijuan He,Yi Chen,Dingchang Li,Yuping Xie,Jun Yang,Haitao Wu,Hongmiao Dai,Zhiqiang Peng,Yong Zhang,Shaoqiong Yi,Bo Wu,Xin Zhang,Yangjun Zhang,Wantao Ying,Chun-Ping Cui,Cui Hua Liu,Lingqiang Zhang

Cell genomics 4:100680 PubMed39437788

2024

Single-cell multi-modal integrative analyses highlight functional dynamic gene regulatory networks directing human cardiac development.

Applications

Unspecified application

Species

Unspecified reactive species

Alyssa R Holman,Shaina Tran,Eugin Destici,Elie N Farah,Ting Li,Aileena C Nelson,Adam J Engler,Neil C Chi

Cellular and molecular life sciences : CMLS 81:407 PubMed39287670

2024

Extended replicative lifespan of primary resting T cells by CRISPR/dCas9-based epigenetic modifiers and transcriptional activators.

Applications

Unspecified application

Species

Unspecified reactive species

Siping Huang,Cia-Hin Lau,Chung Tin,Raymond H W Lam

Cartilage 16:486-494 PubMed38366389

2024

HSF1 Increases EOGT-Mediated Glycosylation of Notch1 to Promote IL-1β-Induced Inflammatory Injury of Chondrocytes.

Applications

Unspecified application

Species

Unspecified reactive species

Yuanchi Huang,Wenjie Pan,Huanli Bao,Xiangxiang Sun,Chao Xu,Jianbing Ma

Communications biology 7:9 PubMed38172561

2024

Heat shock factor 1 directly regulates transsulfuration pathway to promote prostate cancer proliferation and survival.

Applications

Unspecified application

Species

Unspecified reactive species

J Spencer Hauck,David Moon,Xue Jiang,Mu-En Wang,Yue Zhao,Lingfan Xu,Holly Quang,William Butler,Ming Chen,Everardo Macias,Xia Gao,Yiping He,Jiaoti Huang

Cell death & disease 14:535 PubMed37598177

2023

HSF-1/miR-145-5p transcriptional axis enhances hyperthermic intraperitoneal chemotherapy efficacy on peritoneal ovarian carcinosis.

Applications

Unspecified application

Species

Unspecified reactive species

Silvia Di Agostino,Valeria Canu,Sara Donzelli,Claudio Pulito,Andrea Sacconi,Federica Ganci,Fabio Valenti,Frauke Goeman,Stefano Scalera,Francesca Rollo,Anna Bagnato,Maria Grazia Diodoro,Enrico Vizza,Mariantonia Carosi,Beatrice Rufini,Orietta Federici,Manuel Giofrè,Fabio Carboni,Paola Muti,Gennaro Ciliberto,Sabrina Strano,Mario Valle,Giovanni Blandino

Discover. Oncology 14:107 PubMed37351671

2023

HSF1 is a novel prognostic biomarker in high-risk prostate cancer that correlates with ferroptosis.

Applications

Unspecified application

Species

Unspecified reactive species

GaoZhen Jia,WenBo Wu,Lei Chen,Yang Yu,QiLin Tang,HaiTao Liu,Qi Jiang,BangMin Han

Clinical and experimental pharmacology & physiology 50:698-707 PubMed37308449

2023

Geldanamycin ameliorates multiple organ dysfunction and microthrombosis in septic mice by inhibiting the formation of the neutrophil extracellular network by activating heat shock factor 1 HSF1.

Applications

Unspecified application

Species

Unspecified reactive species

Jing Li,Ruijing Xuan,Weidong Wu,Hailong Zhang,Jie Zhao,Shan Zhang

Nature communications 14:2498 PubMed37120615

2023

Nanoparticle-mediated TRPV1 channel blockade amplifies cancer thermo-immunotherapy via heat shock factor 1 modulation.

Applications

Unspecified application

Species

Unspecified reactive species

Ting Li,Shuhui Jiang,Ying Zhang,Jie Luo,Ming Li,Hengte Ke,Yibin Deng,Tao Yang,Xiaohui Sun,Huabing Chen

Folia neuropathologica 61:53-67 PubMed37114961

2023

HSF1 inhibits microglia activation to attenuate neuroinflammation via regulating miR-214-3p and NFATc2 in Parkinson's disease.

Applications

Unspecified application

Species

Unspecified reactive species

Yuangao Liao,Yong Gu,Jinhua Wang,Yu Tian,Xiaohong Ni,Lei Zhou,Ye Ye,Guangming Xia
View all publications

Product promise

We are committed to supporting your work with high-quality reagents, and we're here for you every step of the way. In the unlikely event that one of our products does not perform as expected, you're protected by our Product Promise.
For full details, please see our Terms & Conditions

Please note: All products are 'FOR RESEARCH USE ONLY. NOT FOR USE IN DIAGNOSTIC OR THERAPEUTIC PROCEDURES'.

For licensing inquiries, please contact partnerships@abcam.com