JavaScript is disabled in your browser. Please enable JavaScript to view this website.
AB47369

Anti-HSF1 (phospho S303) antibody

Be the first to review this product! Submit a review

|

(6 Publications)

Rabbit Polyclonal HSF1 phospho S303 antibody. Suitable for WB, IHC-P, ICC/IF and reacts with Human samples. Cited in 6 publications. Immunogen corresponding to Synthetic Peptide within Human HSF1 phospho S303 aa 250-350.

View Alternative Names

HSTF1, HSF1, Heat shock factor protein 1, HSF 1, Heat shock transcription factor 1, HSTF 1

3 Images
Immunocytochemistry/ Immunofluorescence - Anti-HSF1 (phospho S303) antibody (AB47369)
  • ICC/IF

Unknown

Immunocytochemistry/ Immunofluorescence - Anti-HSF1 (phospho S303) antibody (AB47369)

ICC/IF image of ab47369 stained HepG2 cells. The cells were 4% PFA fixed (10 min) and then incubated in 1%BSA / 10% normal goat serum / 0.3M glycine in 0.1% PBS-Tween for 1h to permeabilise the cells and block non-specific protein-protein interactions. The cells were then incubated with the antibody (ab47369, 1µg/ml) overnight at +4°C. The secondary antibody (green) was Alexa Fluor® 488 goat anti-rabbit IgG (H+L) used at a 1/1000 dilution for 1h. Alexa Fluor® 594 WGA was used to label plasma membranes (red) at a 1/200 dilution for 1h. DAPI was used to stain the cell nuclei (blue) at a concentration of 1.43µM.

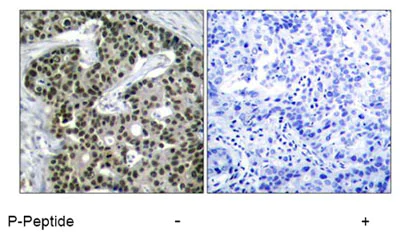
Immunohistochemistry (Formalin/PFA-fixed paraffin-embedded sections) - Anti-HSF1 (phospho S303) antibody (AB47369)
  • IHC-P

Unknown

Immunohistochemistry (Formalin/PFA-fixed paraffin-embedded sections) - Anti-HSF1 (phospho S303) antibody (AB47369)

ab47369 (1/50) staining HSF1 in paraffin-embedded human breast carcinoma tissue. Right-hand panel corresponds to a negative control for which ab47369 was pre-incubated with the immunising (blocking) peptide.

Western blot - Anti-HSF1 (phospho S303) antibody (AB47369)
  • WB

Unknown

Western blot - Anti-HSF1 (phospho S303) antibody (AB47369)

Lanes 1 - 2:

HSF1 antibody at 1/500 dilution

Lanes 3 - 4:

Western blot - Anti-HSF1 (phospho S303) antibody (ab47369) at 1/500 dilution

Lanes 1 and 4:

Extracts from MCF cells treated with TNF alpha (20ng/ml, 30min). No peptide.

Lane 2:

Extracts from MCF cells treated with TNF alpha (20ng/ml, 30min). Synthetic phosphopeptide present.

Lane 3:

Extracts from MCF cells not treated with TNF alpha. No peptide.

Predicted band size: 57 kDa

Observed band size: 85 kDa

false

Key facts

Host species

Rabbit

Clonality

Polyclonal

Isotype

IgG

Carrier free

No

Reacts with

Human

Applications

ICC/IF, WB, IHC-P

applications

Immunogen

Synthetic Peptide within Human HSF1 phospho S303 aa 250-350. The exact immunogen used to generate this antibody is proprietary information.

Q00613

Reactivity data

{ "title": "Reactivity Data", "filters": { "stats": ["", "Species", "Dilution Info", "Notes"], "tabs": { "all-applications": {"fullname" : "All Applications", "shortname": "All Applications"}, "WB" : {"fullname" : "Western blot", "shortname":"WB"}, "IHCP" : {"fullname" : "Immunohistochemistry (Formalin/PFA-fixed paraffin-embedded sections)", "shortname":"IHC-P"}, "ICCIF" : {"fullname" : "Immunocytochemistry/ Immunofluorescence", "shortname":"ICC/IF"} }, "product-promise": { "all": "all", "testedAndGuaranteed": "tested", "guaranteed": "expected", "predicted": "predicted", "notRecommended": "not-recommended" } }, "values": { "Human": { "WB-species-checked": "testedAndGuaranteed", "WB-species-dilution-info": "1/500 - 1/1000", "WB-species-notes": "<p></p>", "IHCP-species-checked": "testedAndGuaranteed", "IHCP-species-dilution-info": "", "IHCP-species-notes": "<p></p>", "ICCIF-species-checked": "testedAndGuaranteed", "ICCIF-species-dilution-info": "1-5 µg/mL", "ICCIF-species-notes": "<p></p>" } } }

Properties and storage information

Form
Liquid
Purification technique
Affinity purification Immunogen
Purification notes
The antibody was affinity purified from rabbit antiserum by affinity chromatography using epitope specific phosphopeptide. The antibody against non phosphopeptide was removed by chromatography using non phosphopeptide corresponding to the phosphorylation site.
Storage buffer
pH: 7.4 Preservative: 0.02% Sodium azide Constituents: PBS, 50% Glycerol (glycerin, glycerine), 0.87% Sodium chloride
Shipped at conditions
Blue Ice
Appropriate short-term storage conditions
+4°C
Appropriate long-term storage conditions
-20°C
Aliquoting information
Upon delivery aliquot
Storage information
Avoid freeze / thaw cycle

Product protocols

For this product, it's our understanding that no specific protocols are required. You can visit:

Target data

Functions as a stress-inducible and DNA-binding transcription factor that plays a central role in the transcriptional activation of the heat shock response (HSR), leading to the expression of a large class of molecular chaperones, heat shock proteins (HSPs), that protect cells from cellular insult damage (PubMed : 11447121, PubMed : 12659875, PubMed : 12917326, PubMed : 15016915, PubMed : 18451878, PubMed : 1871105, PubMed : 1986252, PubMed : 25963659, PubMed : 26754925, PubMed : 7623826, PubMed : 7760831, PubMed : 8940068, PubMed : 8946918, PubMed : 9121459, PubMed : 9341107, PubMed : 9499401, PubMed : 9535852, PubMed : 9727490). In unstressed cells, is present in a HSP90-containing multichaperone complex that maintains it in a non-DNA-binding inactivated monomeric form (PubMed : 11583998, PubMed : 16278218, PubMed : 9727490). Upon exposure to heat and other stress stimuli, undergoes homotrimerization and activates HSP gene transcription through binding to site-specific heat shock elements (HSEs) present in the promoter regions of HSP genes (PubMed : 10359787, PubMed : 11583998, PubMed : 12659875, PubMed : 16278218, PubMed : 1871105, PubMed : 1986252, PubMed : 25963659, PubMed : 26754925, PubMed : 7623826, PubMed : 7935471, PubMed : 8455624, PubMed : 8940068, PubMed : 9499401, PubMed : 9727490). Upon heat shock stress, forms a chromatin-associated complex with TTC5/STRAP and p300/EP300 to stimulate HSR transcription, therefore increasing cell survival (PubMed : 18451878). Activation is reversible, and during the attenuation and recovery phase period of the HSR, returns to its unactivated form (PubMed : 11583998, PubMed : 16278218). Binds to inverted 5'-NGAAN-3' pentamer DNA sequences (PubMed : 1986252, PubMed : 26727489). Binds to chromatin at heat shock gene promoters (PubMed : 25963659). Activates transcription of transcription factor FOXR1 which in turn activates transcription of the heat shock chaperones HSPA1A and HSPA6 and the antioxidant NADPH-dependent reductase DHRS2 (PubMed : 34723967). Also serves several other functions independently of its transcriptional activity. Involved in the repression of Ras-induced transcriptional activation of the c-fos gene in heat-stressed cells (PubMed : 9341107). Positively regulates pre-mRNA 3'-end processing and polyadenylation of HSP70 mRNA upon heat-stressed cells in a symplekin (SYMPK)-dependent manner (PubMed : 14707147). Plays a role in nuclear export of stress-induced HSP70 mRNA (PubMed : 17897941). Plays a role in the regulation of mitotic progression (PubMed : 18794143). Also plays a role as a negative regulator of non-homologous end joining (NHEJ) repair activity in a DNA damage-dependent manner (PubMed : 26359349). Involved in stress-induced cancer cell proliferation in a IER5-dependent manner (PubMed : 26754925).. (Microbial infection) Plays a role in latent human immunodeficiency virus (HIV-1) transcriptional reactivation. Binds to the HIV-1 long terminal repeat promoter (LTR) to reactivate viral transcription by recruiting cellular transcriptional elongation factors, such as CDK9, CCNT1 and EP300.
See full target information HSF1 phospho S303

Publications (6)

Recent publications for all applications. Explore the full list and refine your search

Biochimica et biophysica acta. Gene regulatory mec 1862:846-857 PubMed31054961

2019

HSF1 phosphorylation by cyclosporin A confers hyperthermia sensitivity through suppression of HSP expression.

Applications

Unspecified application

Species

Unspecified reactive species

Jingyu Shao,Beibei Han,Pengxiu Cao,Bingwei Zhang,Ming Liu,Danyu Li,Nan Zhou,Qiang Hao,Xianglin Duan,Yanzhong Chang,Akira Nakai,Yumei Fan,Ke Tan

Nature communications 8:14405 PubMed28194040

2017

Abnormal degradation of the neuronal stress-protective transcription factor HSF1 in Huntington's disease.

Applications

IHC, WB

Species

Unspecified reactive species, Unspecified reactive species

Rocio Gomez-Pastor,Eileen T Burchfiel,Daniel W Neef,Alex M Jaeger,Elisa Cabiscol,Spencer U McKinstry,Argenia Doss,Alejandro Aballay,Donald C Lo,Sergey S Akimov,Christopher A Ross,Cagla Eroglu,Dennis J Thiele

Molecular medicine reports 12:5872-8 PubMed26239834

2015

Roles of heat shock factor 1 in isoproterenol‑induced myocardial fibrosis in mice.

Applications

Unspecified application

Species

Unspecified reactive species

Yong Xie,Lihua Zhang,Bin Zhang,Li Fang

Oncogene 34:2178-2188 PubMed24954509

2014

HSF1 regulation of β-catenin in mammary cancer cells through control of HuR/elavL1 expression.

Applications

Unspecified application

Species

Unspecified reactive species

Shiuh-Dih Chou,Ayesha Murshid,Takanori Eguchi,Jianlin Gong,Stuart K Calderwood

PLoS pathogens 10:e1003904 PubMed24516381

2014

The master regulator of the cellular stress response (HSF1) is critical for orthopoxvirus infection.

Applications

WB

Species

Human

Claire Marie Filone,Ignacio S Caballero,Ken Dower,Marc L Mendillo,Glenn S Cowley,Sandro Santagata,Daniel K Rozelle,Judy Yen,Kathleen H Rubins,Nir Hacohen,David E Root,Lisa E Hensley,John Connor

PloS one 6:e15976 PubMed21253609

2011

Deciphering human heat shock transcription factor 1 regulation via post-translational modification in yeast.

Applications

WB, WB

Species

Human, Mouse

Liliana Batista-Nascimento,Daniel W Neef,Phillip C C Liu,Claudina Rodrigues-Pousada,Dennis J Thiele
View all publications

Product promise

We are committed to supporting your work with high-quality reagents, and we're here for you every step of the way. In the unlikely event that one of our products does not perform as expected, you're protected by our Product Promise.
For full details, please see our Terms & Conditions

Please note: All products are 'FOR RESEARCH USE ONLY. NOT FOR USE IN DIAGNOSTIC OR THERAPEUTIC PROCEDURES'.

For licensing inquiries, please contact partnerships@abcam.com