JavaScript is disabled in your browser. Please enable JavaScript to view this website.
AB76183

Anti-HSF1 (phospho S320) antibody [EPR1712]

Be the first to review this product! Submit a review

|

(5 Publications)

Rabbit Recombinant Monoclonal HSF1 phospho S320 antibody. Suitable for WB, IHC-P and reacts with Human samples. Cited in 5 publications.

View Alternative Names

HSTF1, HSF1, Heat shock factor protein 1, HSF 1, Heat shock transcription factor 1, HSTF 1

2 Images
Immunohistochemistry (Formalin/PFA-fixed paraffin-embedded sections) - Anti-HSF1 (phospho S320) antibody [EPR1712] (AB76183)
  • IHC-P

Unknown

Immunohistochemistry (Formalin/PFA-fixed paraffin-embedded sections) - Anti-HSF1 (phospho S320) antibody [EPR1712] (AB76183)

Immunohistochemical analysis of paraffin-embedded human muscles using ab76183 at 1/100 dilution.

Perform heat mediated antigen retrieval with EDTA buffer pH 9 before commencing with IHC staining protocol.

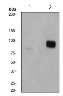
Western blot - Anti-HSF1 (phospho S320) antibody [EPR1712] (AB76183)
  • WB

Unknown

Western blot - Anti-HSF1 (phospho S320) antibody [EPR1712] (AB76183)

All lanes:

Western blot - Anti-HSF1 (phospho S320) antibody [EPR1712] (ab76183) at 1/20000 dilution

Lane 1:

HeLa cell lysate at 10 µg

Lane 2:

HeLa cell lysate, heat treated at 42°C at 10 µg

Secondary

All lanes:

Goat anti-rabbit-HRP at 1/1000 dilution

Predicted band size: 57 kDa

Observed band size: 90 kDa

true

  • Carrier free

    Anti-HSF1 (phospho S320) antibody [EPR1712] - BSA and Azide free

Key facts

Host species

Rabbit

Clonality

Monoclonal

Clone number

EPR1712

Isotype

IgG

Carrier free

No

Reacts with

Human

Applications

IHC-P, WB

applications

Immunogen

The exact immunogen used to generate this antibody is proprietary information.

Reactivity data

{ "title": "Reactivity Data", "filters": { "stats": ["", "Species", "Dilution Info", "Notes"], "tabs": { "all-applications": {"fullname" : "All Applications", "shortname": "All Applications"}, "IP" : {"fullname" : "Immunoprecipitation", "shortname":"IP"}, "FlowCyt" : {"fullname" : "Flow Cytometry", "shortname":"Flow Cyt"}, "WB" : {"fullname" : "Western blot", "shortname":"WB"}, "IHCP" : {"fullname" : "Immunohistochemistry (Formalin/PFA-fixed paraffin-embedded sections)", "shortname":"IHC-P"} }, "product-promise": { "all": "all", "testedAndGuaranteed": "tested", "guaranteed": "expected", "predicted": "predicted", "notRecommended": "not-recommended" } }, "values": { "Human": { "IP-species-checked": "notRecommended", "IP-species-dilution-info": "", "IP-species-notes": "<p></p>", "FlowCyt-species-checked": "notRecommended", "FlowCyt-species-dilution-info": "", "FlowCyt-species-notes": "<p></p>", "WB-species-checked": "testedAndGuaranteed", "WB-species-dilution-info": "1/10000 - 1/20000", "WB-species-notes": "<p></p>", "IHCP-species-checked": "testedAndGuaranteed", "IHCP-species-dilution-info": "1/100 - 1/250", "IHCP-species-notes": "<p></p>" } } }

Product details

Species reactivity
Mouse, Rat: We have preliminary internal testing data to indicate this antibody may not react with these species.
Please contact us for more information.

Patented technology
Our RabMAb® technology is a patented hybridoma-based technology for making rabbit monoclonal antibodies. For details on our patents, please refer to RabMAb® patents.

What are the advantages of a recombinant monoclonal antibody?
This product is a recombinant monoclonal antibody, which offers several advantages including:

  • - High batch-to-batch consistency and reproducibility
  • - Improved sensitivity and specificity
  • - Long-term security of supply
  • - Animal-free batch production

For more information, read more on recombinant antibodies.

Properties and storage information

Form
Liquid
Purification technique
Affinity purification Protein A
Storage buffer
pH: 7.2 - 7.4 Preservative: 0.05% Sodium azide Constituents: 50% Tissue culture supernatant, 40% Glycerol (glycerin, glycerine), 9.85% Tris glycine, 0.1% BSA
Shipped at conditions
Blue Ice
Appropriate short-term storage conditions
+4°C
Appropriate long-term storage conditions
-20°C
Aliquoting information
Upon delivery aliquot
Storage information
Avoid freeze / thaw cycle

Product protocols

For this product, it's our understanding that no specific protocols are required. You can visit:

Target data

Functions as a stress-inducible and DNA-binding transcription factor that plays a central role in the transcriptional activation of the heat shock response (HSR), leading to the expression of a large class of molecular chaperones, heat shock proteins (HSPs), that protect cells from cellular insult damage (PubMed : 11447121, PubMed : 12659875, PubMed : 12917326, PubMed : 15016915, PubMed : 18451878, PubMed : 1871105, PubMed : 1986252, PubMed : 25963659, PubMed : 26754925, PubMed : 7623826, PubMed : 7760831, PubMed : 8940068, PubMed : 8946918, PubMed : 9121459, PubMed : 9341107, PubMed : 9499401, PubMed : 9535852, PubMed : 9727490). In unstressed cells, is present in a HSP90-containing multichaperone complex that maintains it in a non-DNA-binding inactivated monomeric form (PubMed : 11583998, PubMed : 16278218, PubMed : 9727490). Upon exposure to heat and other stress stimuli, undergoes homotrimerization and activates HSP gene transcription through binding to site-specific heat shock elements (HSEs) present in the promoter regions of HSP genes (PubMed : 10359787, PubMed : 11583998, PubMed : 12659875, PubMed : 16278218, PubMed : 1871105, PubMed : 1986252, PubMed : 25963659, PubMed : 26754925, PubMed : 7623826, PubMed : 7935471, PubMed : 8455624, PubMed : 8940068, PubMed : 9499401, PubMed : 9727490). Upon heat shock stress, forms a chromatin-associated complex with TTC5/STRAP and p300/EP300 to stimulate HSR transcription, therefore increasing cell survival (PubMed : 18451878). Activation is reversible, and during the attenuation and recovery phase period of the HSR, returns to its unactivated form (PubMed : 11583998, PubMed : 16278218). Binds to inverted 5'-NGAAN-3' pentamer DNA sequences (PubMed : 1986252, PubMed : 26727489). Binds to chromatin at heat shock gene promoters (PubMed : 25963659). Activates transcription of transcription factor FOXR1 which in turn activates transcription of the heat shock chaperones HSPA1A and HSPA6 and the antioxidant NADPH-dependent reductase DHRS2 (PubMed : 34723967). Also serves several other functions independently of its transcriptional activity. Involved in the repression of Ras-induced transcriptional activation of the c-fos gene in heat-stressed cells (PubMed : 9341107). Positively regulates pre-mRNA 3'-end processing and polyadenylation of HSP70 mRNA upon heat-stressed cells in a symplekin (SYMPK)-dependent manner (PubMed : 14707147). Plays a role in nuclear export of stress-induced HSP70 mRNA (PubMed : 17897941). Plays a role in the regulation of mitotic progression (PubMed : 18794143). Also plays a role as a negative regulator of non-homologous end joining (NHEJ) repair activity in a DNA damage-dependent manner (PubMed : 26359349). Involved in stress-induced cancer cell proliferation in a IER5-dependent manner (PubMed : 26754925).. (Microbial infection) Plays a role in latent human immunodeficiency virus (HIV-1) transcriptional reactivation. Binds to the HIV-1 long terminal repeat promoter (LTR) to reactivate viral transcription by recruiting cellular transcriptional elongation factors, such as CDK9, CCNT1 and EP300.
See full target information HSF1 phospho S320

Publications (5)

Recent publications for all applications. Explore the full list and refine your search

Cell death and differentiation 28:1563-1578 PubMed33268814

2020

The stress-responsive kinase DYRK2 activates heat shock factor 1 promoting resistance to proteotoxic stress.

Applications

Unspecified application

Species

Unspecified reactive species

Rita Moreno,Sourav Banerjee,Angus W Jackson,Jean Quinn,Gregg Baillie,Jack E Dixon,Albena T Dinkova-Kostova,Joanne Edwards,Laureano de la Vega

eLife 9: PubMed32324136

2020

Serotonin signaling by maternal neurons upon stress ensures progeny survival.

Applications

Unspecified application

Species

Unspecified reactive species

Srijit Das,Felicia K Ooi,Johnny Cruz Corchado,Leah C Fuller,Joshua A Weiner,Veena Prahlad

Cellular immunology 327:26-35 PubMed29525181

2018

Heat shock factor 1 suppresses the HIV-induced inflammatory response by inhibiting nuclear factor-κB.

Applications

Unspecified application

Species

Unspecified reactive species

Xiaoyan Pan,Jian Lin,Xiaoyun Zeng,Wenjuan Li,Wenjiao Wu,Wan Zhen Lu,Jing Liu,Shuwen Liu

Toxicological sciences : an official journal of th 128:126-36 PubMed22496356

2012

Inhibition of the heat shock response by PI103 enhances the cytotoxicity of arsenic trioxide.

Applications

Unspecified application

Species

Unspecified reactive species

Ling-Huei Yih,Nai-Chi Hsu,Hsiao-Hui Kuo,Yi-Chen Wu

PloS one 5:e13830 PubMed21085490

2010

Protein kinase A binds and activates heat shock factor 1.

Applications

WB

Species

Human

Ayesha Murshid,Shiuh-Dih Chou,Thomas Prince,Yue Zhang,Ajit Bharti,Stuart K Calderwood
View all publications

Product promise

We are committed to supporting your work with high-quality reagents, and we're here for you every step of the way. In the unlikely event that one of our products does not perform as expected, you're protected by our Product Promise.
For full details, please see our Terms & Conditions

Please note: All products are 'FOR RESEARCH USE ONLY. NOT FOR USE IN DIAGNOSTIC OR THERAPEUTIC PROCEDURES'.

For licensing inquiries, please contact partnerships@abcam.com