JavaScript is disabled in your browser. Please enable JavaScript to view this website.
AB303516

Anti-Hsp 90 alpha antibody [EPR27270-11]

  • BOND RX™ Validated
  • 20ul selling size
  • RabMAb
  • Recombinant
  • KO Validated
  • What is this?

Be the first to review this product! Submit a review

|

(2 Publications)

Rabbit Recombinant Monoclonal HS90A antibody. Suitable for WB, IHC-P, Flow Cyt (Intra) and reacts with Human, Mouse, Rat samples. Cited in 2 publications.

View Alternative Names

HSP90A, HSPC1, HSPCA, HSP90AA1, Heat shock protein HSP 90-alpha, Heat shock 86 kDa, Heat shock protein family C member 1, Lipopolysaccharide-associated protein 2, Renal carcinoma antigen NY-REN-38, HSP 86, HSP86, LAP-2, LPS-associated protein 2

12 Images
Flow Cytometry (Intracellular) - Anti-Hsp 90 alpha antibody [EPR27270-11] (AB303516)
  • Flow Cyt (Intra)

Supplier Data

Flow Cytometry (Intracellular) - Anti-Hsp 90 alpha antibody [EPR27270-11] (AB303516)

Flow cytometric analysis of 4% paraformaldehyde fixed 90% methanol permeabilized Wild-type Wild-type 293T (human embryonic kidney epithelial cell, Right) / Hsp90 alpha knockout 293T(Left) cells labelling Hsp90 alpha with ab303516 at 1/50 dilution (1ug) (Red) (Red) compared with a Rabbit monoclonal IgG (ab172730) (Black) isotype control and an unlabelled control (cells without incubation with primary antibody and secondary antibody) (Blue). A Goat Anti-Rabbit IgG (Alexa Fluor® 488, ab150081) at 1/2000 dilution was used as the secondary antibody. Positive staining on 293T cells (ab255449), while no staining on Hsp90 alpha knockout 293T cells (ab266591).

Immunohistochemistry (Formalin/PFA-fixed paraffin-embedded sections) - Anti-Hsp 90 alpha antibody [EPR27270-11] (AB303516)
  • IHC-P

Supplier Data

Immunohistochemistry (Formalin/PFA-fixed paraffin-embedded sections) - Anti-Hsp 90 alpha antibody [EPR27270-11] (AB303516)

Immunohistochemical analysis of paraffin-embedded Human lung carcinoma tissue labeling Hsp90 alpha with ab303516 at 1/1000 (0.462 ug/ml) followed by a ready to use Rabbit specific IHC polymer detection kit HRP/Dab (ab209101). Positive staining on human lung carcinoma. The section was incubated with ab303516 for 30 mins at room temperature.The immunostaining was performed on a Leica Biosystems BOND® RX instrument Counterstained with Hematoxylin. Secondary antibody only control : Secondary antibody is a ready to use Rabbit specific IHC polymer detection kit HRP/Dab (ab209101).Heat mediated antigen retrieval was performed with Tris-EDTA buffer (pH 9.0, Epitope Retrieval Solution2) for 20 mins

Immunohistochemistry (Formalin/PFA-fixed paraffin-embedded sections) - Anti-Hsp 90 alpha antibody [EPR27270-11] (AB303516)
  • IHC-P

Supplier Data

Immunohistochemistry (Formalin/PFA-fixed paraffin-embedded sections) - Anti-Hsp 90 alpha antibody [EPR27270-11] (AB303516)

Immunohistochemical analysis of paraffin-embedded (A) parental HEK293T tissue labeling Hsp90 alpha with ab303516 at 1/2000 dilution (0.231 μg/mL), followed by a ready to use Rabbit specific IHC polymer detection kit HRP/DAB (ab209101). Positive staining was observed on (A) parental HEK293T cell pellet, no staining is observed on (B) Hsp90 alpha KO HEK293T cell pellet. The section was incubated with ab303516 for 30 mins at room temperature. The immunostaining was performed on a Leica Biosystems BOND® RX instrument. Counterstained with Hematoxylin.

Secondary antibody only control : Secondary antibody is ready to use Rabbit specific IHC polymer detection kit HRP/DAB (ab209101) added without primary.

Heat mediated antigen retrieval was performed with Tris-EDTA buffer (pH 9.0, epitope retrieval solution 2) for 20 mins

Immunohistochemistry (Formalin/PFA-fixed paraffin-embedded sections) - Anti-Hsp 90 alpha antibody [EPR27270-11] (AB303516)
  • IHC-P

Supplier Data

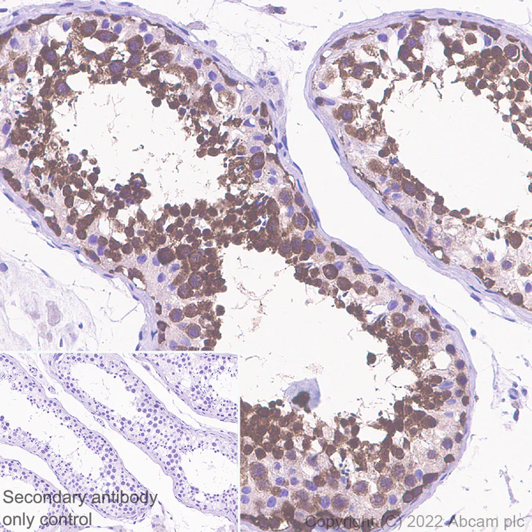
Immunohistochemistry (Formalin/PFA-fixed paraffin-embedded sections) - Anti-Hsp 90 alpha antibody [EPR27270-11] (AB303516)

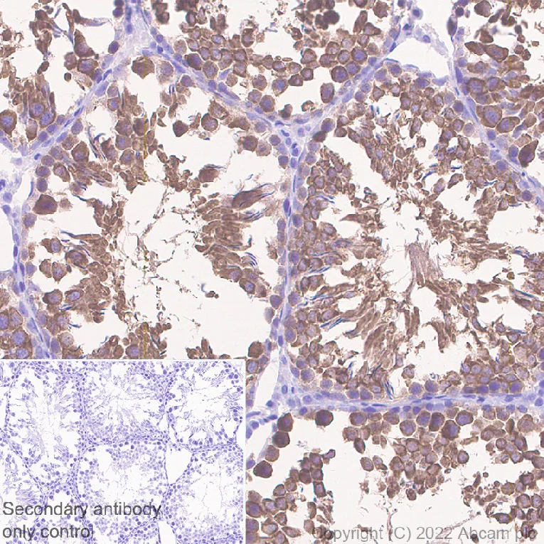
Immunohistochemical analysis of paraffin-embedded Human testis tissue labeling Hsp90 alpha with ab303516 at 1/1000 (0.462 ug/ml) followed by a ready to use Rabbit specific IHC polymer detection kit HRP/Dab (ab209101). Positive staining on human testis. The section was incubated with ab303516 for 30 mins at room temperature.The immunostaining was performed on a Leica Biosystems BOND® RX instrument Counterstained with Hematoxylin. Secondary antibody only control : Secondary antibody is a ready to use Rabbit specific IHC polymer detection kit HRP/Dab (ab209101).Heat mediated antigen retrieval was performed with Tris-EDTA buffer (pH 9.0, Epitope Retrieval Solution2) for 20 mins

Immunohistochemistry (Formalin/PFA-fixed paraffin-embedded sections) - Anti-Hsp 90 alpha antibody [EPR27270-11] (AB303516)
  • IHC-P

Supplier Data

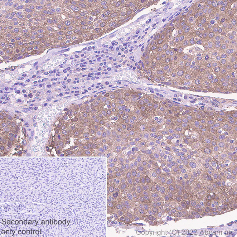
Immunohistochemistry (Formalin/PFA-fixed paraffin-embedded sections) - Anti-Hsp 90 alpha antibody [EPR27270-11] (AB303516)

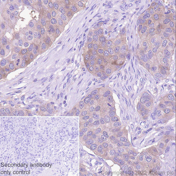
Immunohistochemical analysis of paraffin-embedded human breast carcinoma tissue labeling Hsp90 alpha with ab303516 at 1/1000 dilution (0.462 µg/mL), followed by a ready to use Rabbit specific IHC polymer detection kit HRP/DAB (ab209101). Positive staining was observed on human breast carcinoma. The section was incubated with ab303516 for 30 mins at room temperature. The immunostaining was performed on a Leica Biosystems BOND® RX instrument. Counterstained with Hematoxylin. Secondary antibody only control : Secondary antibody is ready to use Rabbit specific IHC polymer detection kit HRP/DAB (ab209101) at Ready to use dilution. Heat mediated antigen retrieval was performed with Tris-EDTA buffer (pH 9.0, epitope retrieval solution 2) for 20 mins

Immunohistochemistry (Formalin/PFA-fixed paraffin-embedded sections) - Anti-Hsp 90 alpha antibody [EPR27270-11] (AB303516)
  • IHC-P

Supplier Data

Immunohistochemistry (Formalin/PFA-fixed paraffin-embedded sections) - Anti-Hsp 90 alpha antibody [EPR27270-11] (AB303516)

Immunohistochemical analysis of paraffin-embedded human skeletal muscle tissue labeling Hsp90 alpha with ab303516 at 1/1000 dilution (0.462 µg/mL), followed by a ready to use Rabbit specific IHC polymer detection kit HRP/DAB (ab209101). Negative control : no staining is observed on human skeletal muscle. The section was incubated with ab303516 for 30 mins at room temperature. The immunostaining was performed on a Leica Biosystems BOND® RX instrument. Counterstained with Hematoxylin. Heat mediated antigen retrieval was performed with Tris-EDTA buffer (pH 9.0, epitope retrieval solution 2) for 20 mins

Immunohistochemistry (Formalin/PFA-fixed paraffin-embedded sections) - Anti-Hsp 90 alpha antibody [EPR27270-11] (AB303516)
  • IHC-P

Supplier Data

Immunohistochemistry (Formalin/PFA-fixed paraffin-embedded sections) - Anti-Hsp 90 alpha antibody [EPR27270-11] (AB303516)

Immunohistochemical analysis of paraffin-embedded rat testis tissue labeling Hsp90 alpha with ab303516 at 1/1000 dilution (0.462 μg/mL), followed by a ready to use Rabbit specific IHC polymer detection kit HRP/DAB (ab209101). Positive staining was observed on rat testis. The section was incubated with ab303516 for 30 mins at room temperature. The immunostaining was performed on a Leica Biosystems BOND® RX instrument. Counterstained with Hematoxylin.

Secondary antibody only control : Secondary antibody is ready to use Rabbit specific IHC polymer detection kit HRP/DAB (ab209101) at Ready to use dilution.

Heat mediated antigen retrieval was performed with Tris-EDTA buffer (pH 9.0, epitope retrieval solution 2) for 20 mins

Immunohistochemistry (Formalin/PFA-fixed paraffin-embedded sections) - Anti-Hsp 90 alpha antibody [EPR27270-11] (AB303516)
  • IHC-P

Supplier Data

Immunohistochemistry (Formalin/PFA-fixed paraffin-embedded sections) - Anti-Hsp 90 alpha antibody [EPR27270-11] (AB303516)

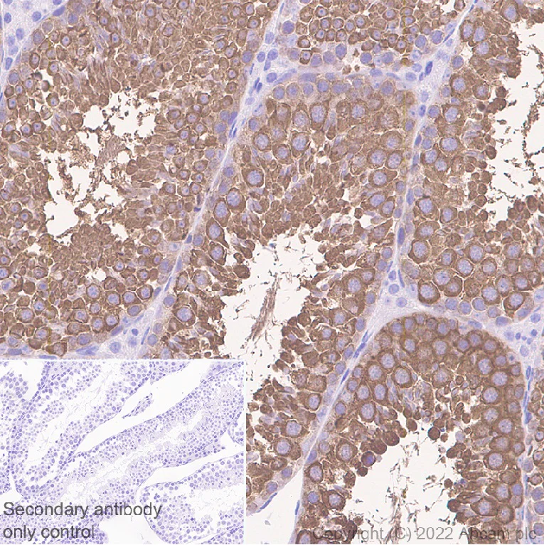
Immunohistochemical analysis of paraffin-embedded mouse testis tissue labeling Hsp90 alpha with ab303516 at 1/1000 dilution (0.462 μg/mL), followed by a ready to use Rabbit specific IHC polymer detection kit HRP/DAB (ab209101). Positive staining was observed on mouse testis. The section was incubated with ab303516 for 30 mins at room temperature. The immunostaining was performed on a Leica Biosystems BOND® RX instrument. Counterstained with Hematoxylin.

Secondary antibody only control : Secondary antibody is ready to use Rabbit specific IHC polymer detection kit HRP/DAB (ab209101) at Ready to use dilution.

Heat mediated antigen retrieval was performed with Tris-EDTA buffer (pH 9.0, epitope retrieval solution 2) for 20 mins

Western blot - Anti-Hsp 90 alpha antibody [EPR27270-11] (AB303516)
  • WB

Supplier Data

Western blot - Anti-Hsp 90 alpha antibody [EPR27270-11] (AB303516)

Blocking / Diluting buffer and concentration : 5% NFDM/TBST Negative control : skeletal muscle (PMID : 21209834)

All lanes:

Western blot - Anti-Hsp 90 alpha antibody [EPR27270-11] (ab303516) at 1/1000 dilution

Lane 1:

Human testis tissue lysate at 20 µg

Lane 2:

Human skeletal muscle tissue lysate at 20 µg

Secondary

All lanes:

Western blot - Goat Anti-Rabbit IgG H&L (HRP) (<a href='/en-us/products/secondary-antibodies/goat-rabbit-igg-h-l-hrp-ab97051'>ab97051</a>) at 1/100000 dilution

Predicted band size: 85 kDa

Observed band size: 90 kDa

false

Exposure time: 48s

Western blot - Anti-Hsp 90 alpha antibody [EPR27270-11] (AB303516)
  • WB

Supplier Data

Western blot - Anti-Hsp 90 alpha antibody [EPR27270-11] (AB303516)

Blocking / Diluting buffer and concentration : 5% NFDM/TBST The samples were run on a Bis-Tris gel. Performed under reducing conditions. False colour image of Western blot : Anti-Hsp90 alpha antibody (ab303516) staining at 1/1000 dilution, shown in green; Mouse anti-GAPDH antibody [6C5] (ab8245) loading control staining at 1/20000 dilution, shown in red. In Western blot, ab303516 was shown to bind specifically to Hsp90 alpha. A band was observed at 90 kDa in wild-type 293T cell lysates with no signal observed at this size in Hsp90 alpha knockout cell line. To generate this image, wild-type and Hsp90 alpha knockout 293T cell lysates were analyzed. First, samples were run on an SDS-PAGE gel then transferred onto an immobilon-FL PVDF membrane. Membranes were blocked in in Intercept® (TBS) Blocking Buffer diluted with an equal volume of 0.1% TBS before incubation with primary antibodies overnight at 4 °C. Blots were washed four times in TBS-T, incubated with secondary antibodies for 1 h at room temperature, washed again four times then imaged.

All lanes:

Western blot - Anti-Hsp 90 alpha antibody [EPR27270-11] (ab303516) at 1/1000 dilution

Lane 1:

Wild-type 293T (human embryonic kidney epithelial cell) whole cell lysate at 20 µg

Lane 2:

Hsp90 alpha knockout 293T whole cell lysate at 20 µg

Lane 3:

Human testis tissue lysate, at 20 µg

Lane 4:

Human kidney tissue lysate at 20 µg

Lane 5:

NIH/3T3 (mouse embryonic fibroblast) whole cell lysate at 20 µg

Lane 6:

C6 (rat glial tumor glial cell), whole cell lysate at 20 µg

Secondary

Lanes 1 - 6:

Western blot - Goat anti-Rabbit IgG H&L (IRDye® 800CW) preadsorbed (<a href='/en-us/products/secondary-antibodies/goat-rabbit-igg-h-l-irdye-800cw-preadsorbed-ab216773'>ab216773</a>) at 1/20000 dilution

Lanes 1 - 6:

Western blot - Goat anti-Mouse IgG H&L (IRDye® 680RD) preadsorbed (<a href='/en-us/products/secondary-antibodies/goat-mouse-igg-h-l-irdye-680rd-preadsorbed-ab216776'>ab216776</a>) at 1/20000 dilution

Predicted band size: 85 kDa

Observed band size: 90 kDa

false

Western blot - Anti-Hsp 90 alpha antibody [EPR27270-11] (AB303516)
  • WB

Supplier Data

Western blot - Anti-Hsp 90 alpha antibody [EPR27270-11] (AB303516)

Blocking / Diluting buffer and concentration : 5% NFDM/TBST Negative control : skeletal muscle (PMID : 21209834)

All lanes:

Western blot - Anti-Hsp 90 alpha antibody [EPR27270-11] (ab303516) at 1/1000 dilution

Lane 1:

Human testis tissue lysate at 20 µg

Lane 2:

Human skeletal muscle tissue lysate at 20 µg

Secondary

All lanes:

Western blot - Goat Anti-Rabbit IgG H&L (HRP) (<a href='/en-us/products/secondary-antibodies/goat-rabbit-igg-h-l-hrp-ab97051'>ab97051</a>) at 1/100000 dilution

Predicted band size: 85 kDa

Observed band size: 90 kDa

false

Exposure time: 114s

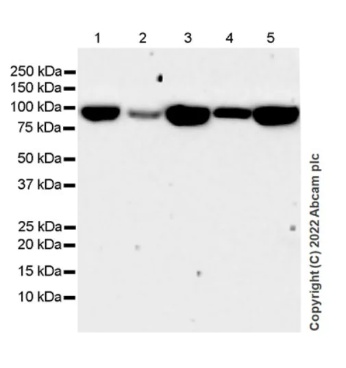
Western blot - Anti-Hsp 90 alpha antibody [EPR27270-11] (AB303516)
  • WB

Supplier Data

Western blot - Anti-Hsp 90 alpha antibody [EPR27270-11] (AB303516)

Blocking / Diluting buffer and concentration : 5% NFDM/TBST

All lanes:

Western blot - Anti-Hsp 90 alpha antibody [EPR27270-11] (ab303516) at 1/1000 dilution

Lane 1:

Mouse brain tissue lysate at 20 µg

Lane 2:

Mouse kidney tissue lysate at 20 µg

Lane 3:

Mouse testis tissue lysate at 20 µg

Lane 4:

Rat brain tissue lysate at 20 µg

Lane 5:

Rat testis tissue lysate at 20 µg

Secondary

All lanes:

Western blot - Goat Anti-Rabbit IgG H&L (HRP) (<a href='/en-us/products/secondary-antibodies/goat-rabbit-igg-h-l-hrp-ab97051'>ab97051</a>) at 1/100000 dilution

Predicted band size: 85 kDa

Observed band size: 90 kDa

false

Exposure time: 114s

  • Carrier free

    Anti-Hsp 90 alpha antibody [EPR27270-11] - BSA and Azide free

Key facts

Host species

Rabbit

Clonality

Monoclonal

Clone number

EPR27270-11

Isotype

IgG

Carrier free

No

Reacts with

Human, Mouse, Rat

Applications

WB, Flow Cyt (Intra), IHC-P

applications

Immunogen

The exact immunogen used to generate this antibody is proprietary information.

Reactivity data

{ "title": "Reactivity Data", "filters": { "stats": ["", "Species", "Dilution Info", "Notes"], "tabs": { "all-applications": {"fullname" : "All Applications", "shortname": "All Applications"}, "WB" : {"fullname" : "Western blot", "shortname":"WB"}, "IHCP" : {"fullname" : "Immunohistochemistry (Formalin/PFA-fixed paraffin-embedded sections)", "shortname":"IHC-P"}, "IHCFr" : {"fullname" : "Immunohistochemistry (Frozen sections)", "shortname":"IHC-Fr"}, "ICCIF" : {"fullname" : "Immunocytochemistry/ Immunofluorescence", "shortname":"ICC/IF"}, "FlowCytIntra" : {"fullname" : "Flow Cytometry (Intracellular)", "shortname":"Flow Cyt (Intra)"}, "IP" : {"fullname" : "Immunoprecipitation", "shortname":"IP"} }, "product-promise": { "all": "all", "testedAndGuaranteed": "tested", "guaranteed": "expected", "predicted": "predicted", "notRecommended": "not-recommended" } }, "values": { "Human": { "WB-species-checked": "testedAndGuaranteed", "WB-species-dilution-info": "1/1000", "WB-species-notes": "<p></p>", "IHCP-species-checked": "testedAndGuaranteed", "IHCP-species-dilution-info": "1/1000", "IHCP-species-notes": "<p></p> Perform heat-mediated antigen retrieval with Tris/EDTA buffer pH 9.0 before commencing with IHC staining protocol.", "IHCFr-species-checked": "notRecommended", "IHCFr-species-dilution-info": "", "IHCFr-species-notes": "", "ICCIF-species-checked": "notRecommended", "ICCIF-species-dilution-info": "", "ICCIF-species-notes": "<p></p>", "FlowCytIntra-species-checked": "testedAndGuaranteed", "FlowCytIntra-species-dilution-info": "1/50", "FlowCytIntra-species-notes": "<p></p>", "IP-species-checked": "notRecommended", "IP-species-dilution-info": "", "IP-species-notes": "<p></p>" }, "Mouse": { "WB-species-checked": "testedAndGuaranteed", "WB-species-dilution-info": "1/1000", "WB-species-notes": "<p></p>", "IHCP-species-checked": "testedAndGuaranteed", "IHCP-species-dilution-info": "1/1000", "IHCP-species-notes": "<p></p> Perform heat-mediated antigen retrieval with Tris/EDTA buffer pH 9.0 before commencing with IHC staining protocol.", "IHCFr-species-checked": "notRecommended", "IHCFr-species-dilution-info": "", "IHCFr-species-notes": "<p></p>", "ICCIF-species-checked": "notRecommended", "ICCIF-species-dilution-info": "", "ICCIF-species-notes": "<p></p>", "FlowCytIntra-species-checked": "guaranteed", "FlowCytIntra-species-dilution-info": "", "FlowCytIntra-species-notes": "", "IP-species-checked": "notRecommended", "IP-species-dilution-info": "", "IP-species-notes": "<p></p>" }, "Rat": { "WB-species-checked": "testedAndGuaranteed", "WB-species-dilution-info": "1/1000", "WB-species-notes": "<p></p>", "IHCP-species-checked": "testedAndGuaranteed", "IHCP-species-dilution-info": "1/1000", "IHCP-species-notes": "<p></p> Perform heat-mediated antigen retrieval with Tris/EDTA buffer pH 9.0 before commencing with IHC staining protocol.", "IHCFr-species-checked": "notRecommended", "IHCFr-species-dilution-info": "", "IHCFr-species-notes": "<p></p>", "ICCIF-species-checked": "notRecommended", "ICCIF-species-dilution-info": "", "ICCIF-species-notes": "", "FlowCytIntra-species-checked": "guaranteed", "FlowCytIntra-species-dilution-info": "", "FlowCytIntra-species-notes": "", "IP-species-checked": "notRecommended", "IP-species-dilution-info": "", "IP-species-notes": "<p></p>" } } }

Product details

What are the advantages of a recombinant monoclonal antibody?
This product is a recombinant monoclonal antibody, which offers several advantages including:

  • - High batch-to-batch consistency and reproducibility
  • - Improved sensitivity and specificity
  • - Long-term security of supply
  • - Animal-free batch production

For more information, read more on recombinant antibodies.

Patented technology
Our RabMAb® technology is a patented hybridoma-based technology for making rabbit monoclonal antibodies. For details on our patents, please refer to RabMAb® patents.

Properties and storage information

Form
Liquid
Purification technique
Affinity purification Protein A
Storage buffer
pH: 7.2 - 7.4 Preservative: 0.01% Sodium azide Constituents: PBS, 40% Glycerol (glycerin, glycerine), 0.05% BSA
Shipped at conditions
Blue Ice
Appropriate short-term storage duration
1-2 weeks
Appropriate short-term storage conditions
+4°C
Appropriate long-term storage conditions
-20°C
Aliquoting information
Upon delivery aliquot
Storage information
Avoid freeze / thaw cycle

Supplementary information

This supplementary information is collated from multiple sources and compiled automatically.

Hsp90 alpha also known as Hsp90AA1 or 5G5 is a molecular chaperone with an approximate molecular weight of 90 kDa. It plays an important role in the folding stability and function of many client proteins. This protein is expressed ubiquitously in eukaryotic cells with high levels in the cytoplasm and the endoplasmic reticulum. Hsp90 alpha operates through a unique ATPase-driven chaperone cycle that modulates protein conformations helping in the assembly and disassembly of protein complexes.
Biological function summary

Hsp90 alpha assists in maintaining protein homeostasis and is part of a larger chaperome complex including co-chaperones and other chaperones such as Hsp70. It plays an important role in stress response by stabilizing proteins and preventing aggregation. Hsp90 alpha is essential for the normal function of several kinases and transcription factors which are important for cell signaling and regulation processes. It functions as a mediator for cellular response to environmental cues.

Pathways

Hsp90 alpha is an integral component in the signal transduction and cell cycle control pathways. It interacts with various signaling proteins and receptors like AKT and steroid hormone receptors to facilitate their proper folding and activation. Furthermore Hsp90 alpha influences the MAPK/ERK pathway playing a role in cell proliferation and differentiation. Its interaction with Hsp90 protein clients creates a regulatory framework across multiple pathways allowing precise control over cellular function.

Hsp90 alpha is linked to cancer and neurodegenerative diseases. Its enhanced expression in tumors correlates with the stabilization of oncogenic client proteins such as HER2 contributing to cancer progression. Additionally Hsp90 alpha relates to disorders like Alzheimer's disease due to its role in handling misfolded proteins. The protein interacts with co-chaperones like H1L1 which may influence its impact on disease outcomes highlighting the therapeutic potential of targeting Hsp90 alpha in these conditions.

Product protocols

For this product, it's our understanding that no specific protocols are required. You can visit:

Target data

Molecular chaperone that promotes the maturation, structural maintenance and proper regulation of specific target proteins involved for instance in cell cycle control and signal transduction. Undergoes a functional cycle that is linked to its ATPase activity which is essential for its chaperone activity. This cycle probably induces conformational changes in the client proteins, thereby causing their activation. Interacts dynamically with various co-chaperones that modulate its substrate recognition, ATPase cycle and chaperone function (PubMed : 11274138, PubMed : 12526792, PubMed : 15577939, PubMed : 15937123, PubMed : 27353360, PubMed : 29127155). Engages with a range of client protein classes via its interaction with various co-chaperone proteins or complexes, that act as adapters, simultaneously able to interact with the specific client and the central chaperone itself (PubMed : 29127155). Recruitment of ATP and co-chaperone followed by client protein forms a functional chaperone. After the completion of the chaperoning process, properly folded client protein and co-chaperone leave HSP90 in an ADP-bound partially open conformation and finally, ADP is released from HSP90 which acquires an open conformation for the next cycle (PubMed : 26991466, PubMed : 27295069). Plays a critical role in mitochondrial import, delivers preproteins to the mitochondrial import receptor TOMM70 (PubMed : 12526792). Apart from its chaperone activity, it also plays a role in the regulation of the transcription machinery. HSP90 and its co-chaperones modulate transcription at least at three different levels (PubMed : 25973397). In the first place, they alter the steady-state levels of certain transcription factors in response to various physiological cues (PubMed : 25973397). Second, they modulate the activity of certain epigenetic modifiers, such as histone deacetylases or DNA methyl transferases, and thereby respond to the change in the environment (PubMed : 25973397). Third, they participate in the eviction of histones from the promoter region of certain genes and thereby turn on gene expression (PubMed : 25973397). Binds bacterial lipopolysaccharide (LPS) and mediates LPS-induced inflammatory response, including TNF secretion by monocytes (PubMed : 11276205). Antagonizes STUB1-mediated inhibition of TGF-beta signaling via inhibition of STUB1-mediated SMAD3 ubiquitination and degradation (PubMed : 24613385). Mediates the association of TOMM70 with IRF3 or TBK1 in mitochondrial outer membrane which promotes host antiviral response (PubMed : 20628368, PubMed : 25609812).. (Microbial infection) Seems to interfere with N.meningitidis NadA-mediated invasion of human cells. Decreasing HSP90 levels increases adhesion and entry of E.coli expressing NadA into human Chang cells; increasing its levels leads to decreased adhesion and invasion.
See full target information HSP90AA1

Publications (2)

Recent publications for all applications. Explore the full list and refine your search

ACS applied bio materials 8:5266-5275 PubMed40442102

2025

Development of Theranostic Lu-Labeled Polymeric Nanoparticles (Lu-PNPs) for the Treatment of Head and Neck Cancer.

Applications

Unspecified application

Species

Unspecified reactive species

Hsin-Hua Hsieh,Shih-Po Su,Yang-Hsiang Chan,Huihua Kenny Chiang,Yi-Jang Lee,Chun-Yi Wu

iScience 27:111005 PubMed39474068

2024

AMPD3 promotes doxorubicin-induced cardiomyopathy through HSP90α-mediated ferroptosis.

Applications

Unspecified application

Species

Unspecified reactive species

Liting Cheng,Mingxiang Zhu,Xiang Xu,Xin Li,Yongming Yao,Chunlei Liu,Kunlun He
View all publications

Product promise

We are committed to supporting your work with high-quality reagents, and we're here for you every step of the way. In the unlikely event that one of our products does not perform as expected, you're protected by our Product Promise.
For full details, please see our Terms & Conditions

Please note: All products are 'FOR RESEARCH USE ONLY. NOT FOR USE IN DIAGNOSTIC OR THERAPEUTIC PROCEDURES'.

For licensing inquiries, please contact partnerships@abcam.com