JavaScript is disabled in your browser. Please enable JavaScript to view this website.
AB250977

Anti-Hsp20 antibody [EPR14457] - BSA and Azide free

Be the first to review this product! Submit a review

|

(1 Publication)

Rabbit Recombinant Monoclonal Hsp20 antibody. Carrier free. Suitable for IHC-P, ICC/IF, WB and reacts with Human, Rat samples. Cited in 1 publication.

View Alternative Names

Heat shock protein beta-6, HspB6, Heat shock 20 kDa-like protein p20, Heat shock protein family B member 6, HSPB6

4 Images
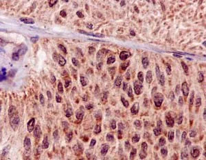
Immunohistochemistry (Formalin/PFA-fixed paraffin-embedded sections) - Anti-Hsp20 antibody [EPR14457] - BSA and Azide free (AB250977)
  • IHC-P

Supplier Data

Immunohistochemistry (Formalin/PFA-fixed paraffin-embedded sections) - Anti-Hsp20 antibody [EPR14457] - BSA and Azide free (AB250977)

This data was developed using ab188864, the same antibody clone in a different buffer formulation.

Immunohistochemical analysis of paraffin-embedded Human transitional cell carcinoma of bladder tissue labeling Hsp20 with ab188864 at 1/100 dilution followed by prediluted HRP Polymer for Rabbit IgG. Counter stained with Hematoxylin.

Perform heat mediated antigen retrieval with Tris/EDTA buffer pH 9.0 before commencing with IHC staining protocol.

Immunocytochemistry/ Immunofluorescence - Anti-Hsp20 antibody [EPR14457] - BSA and Azide free (AB250977)
  • ICC/IF

Supplier Data

Immunocytochemistry/ Immunofluorescence - Anti-Hsp20 antibody [EPR14457] - BSA and Azide free (AB250977)

This data was developed using ab188864, the same antibody clone in a different buffer formulation.

Immunofluorescent analysis of 4% paraformaldehyde-fixed HeLa cells labeling Hsp20 with ab188864 at 1/500 dilution followed by Goat anti rabbit IgG (Alexa Fluor® 555) secondary antibody at 1/200 dilution. Counter stained with Dapi (blue).

Western blot - Anti-Hsp20 antibody [EPR14457] - BSA and Azide free (AB250977)
  • WB

Supplier Data

Western blot - Anti-Hsp20 antibody [EPR14457] - BSA and Azide free (AB250977)

This data was developed using ab188864, the same antibody clone in a different buffer formulation.

All lanes:

Western blot - Anti-Hsp20 antibody [EPR14457] - N-terminal (<a href='/en-us/products/primary-antibodies/hsp20-antibody-epr14457-n-terminal-ab188864'>ab188864</a>) at 1/10000 dilution

All lanes:

Human skeletal muscle tissue lysate at 20 µg

Secondary

All lanes:

Anti-Rabbit IgG (HRP), specific to the non-reduced form of IgG at 1/500 dilution

Predicted band size: 17 kDa

Observed band size: 17 kDa

false

Western blot - Anti-Hsp20 antibody [EPR14457] - BSA and Azide free (AB250977)
  • WB

Supplier Data

Western blot - Anti-Hsp20 antibody [EPR14457] - BSA and Azide free (AB250977)

This data was developed using ab188864, the same antibody clone in a different buffer formulation.

All lanes:

Western blot - Anti-Hsp20 antibody [EPR14457] - N-terminal (<a href='/en-us/products/primary-antibodies/hsp20-antibody-epr14457-n-terminal-ab188864'>ab188864</a>) at 1/1000 dilution

All lanes:

Rat heart tissue lysate at 10 µg

Secondary

All lanes:

Goat Anti-Rabbit IgG, (H+L), Peroxidase conjugate at 1/500 dilution

Predicted band size: 17 kDa

Observed band size: 17 kDa

false

Key facts

Host species

Rabbit

Clonality

Monoclonal

Clone number

EPR14457

Isotype

IgG

Carrier free

Yes

Reacts with

Rat, Human

Applications

IHC-P, ICC/IF, WB

applications

Immunogen

The exact immunogen used to generate this antibody is proprietary information.

Reactivity data

{ "title": "Reactivity Data", "filters": { "stats": ["", "Species", "Dilution Info", "Notes"], "tabs": { "all-applications": {"fullname" : "All Applications", "shortname": "All Applications"}, "IHCP" : {"fullname" : "Immunohistochemistry (Formalin/PFA-fixed paraffin-embedded sections)", "shortname":"IHC-P"}, "ICCIF" : {"fullname" : "Immunocytochemistry/ Immunofluorescence", "shortname":"ICC/IF"}, "WB" : {"fullname" : "Western blot", "shortname":"WB"} }, "product-promise": { "all": "all", "testedAndGuaranteed": "tested", "guaranteed": "expected", "predicted": "predicted", "notRecommended": "not-recommended" } }, "values": { "Human": { "IHCP-species-checked": "testedAndGuaranteed", "IHCP-species-dilution-info": "", "IHCP-species-notes": "<p>For antigen retrieval, heat up to 98 degree C, below boiling, and then let cool for 10-20 minutes.</p>", "ICCIF-species-checked": "testedAndGuaranteed", "ICCIF-species-dilution-info": "", "ICCIF-species-notes": "<p></p>", "WB-species-checked": "testedAndGuaranteed", "WB-species-dilution-info": "", "WB-species-notes": "<p></p>" }, "Mouse": { "IHCP-species-checked": "predicted", "IHCP-species-dilution-info": "", "IHCP-species-notes": "", "ICCIF-species-checked": "predicted", "ICCIF-species-dilution-info": "", "ICCIF-species-notes": "", "WB-species-checked": "predicted", "WB-species-dilution-info": "", "WB-species-notes": "" }, "Rat": { "IHCP-species-checked": "guaranteed", "IHCP-species-dilution-info": "", "IHCP-species-notes": "", "ICCIF-species-checked": "guaranteed", "ICCIF-species-dilution-info": "", "ICCIF-species-notes": "", "WB-species-checked": "testedAndGuaranteed", "WB-species-dilution-info": "", "WB-species-notes": "<p></p>" } } }

Product details

ab250977 is the carrier-free version of ab188864.

Patented technology
Our RabMAb® technology is a patented hybridoma-based technology for making rabbit monoclonal antibodies. For details on our patents, please refer to RabMAb® patents.

What are the advantages of a recombinant monoclonal antibody?
This product is a recombinant monoclonal antibody, which offers several advantages including:

  • - High batch-to-batch consistency and reproducibility
  • - Improved sensitivity and specificity
  • - Long-term security of supply
  • - Animal-free batch production

For more information, read more on recombinant antibodies.

Conjugation ready
Our carrier-free antibodies are typically supplied in a PBS-only formulation, purified and free of BSA, sodium azide and glycerol. This conjugation-ready format is designed for use with fluorochromes, metal isotopes, oligonucleotides, and enzymes, which makes them ideal for antibody labelling, functional and cell-based assays, flow-based assays (e.g. mass cytometry) and Multiplex Imaging applications.

Use our conjugation kits for antibody conjugates that are ready-to-use in as little as 20 minutes with 1 minute hands-on-time and 100% antibody recovery: available for fluorescent dyes, HRP, biotin and gold.

Compatibility
This product is compatible with the Maxpar® Antibody Labeling Kit from Fluidigm, without the need for antibody preparation. Maxpar® is a trademark of Fluidigm Canada Inc.

Properties and storage information

Form
Liquid
Purification technique
Affinity purification Protein A
Storage buffer
pH: 7.2 - 7.4 Constituents: PBS
Shipped at conditions
Blue Ice
Appropriate short-term storage conditions
+4°C
Appropriate long-term storage conditions
+4°C
Storage information
Do Not Freeze

Supplementary information

This supplementary information is collated from multiple sources and compiled automatically.

Hsp20 also known as Heat Shock Protein 20 or HspB6 is a small heat shock protein with a molecular weight of approximately 20 kDa. It functions by binding to partially unfolded proteins preventing them from aggregating and assisting in their proper folding. Hsp20 achieves this through its chaperone activity similar to other small heat shock proteins. This protein is expressed ubiquitously with high levels found in cardiac and skeletal muscles as well as in the brain and placenta.
Biological function summary

The small heat shock protein family which includes Hsp20 plays a critical role in maintaining cellular proteostasis under stress conditions. Hsp20 does not typically form large complexes though it may oligomerize under certain conditions to exert its protective functions. It interacts with cellular structures and proteins to maintain cell integrity and function. Hsp20 can modulate actin filament dynamics influencing cellular motility and smooth muscle relaxation.

Pathways

The Hsp20 protein is actively involved in several key regulatory pathways. It plays a role in the stress response pathway and is engaged in the cardiomyocyte signaling network. Hsp20 interacts closely with proteins such as Akt and PKA which are involved in the signaling cascades that govern cell survival and response to stress. Phosphorylation of Hsp20 by PKA contributes to its protective functions especially in cardiac tissues.

Alterations in Hsp20 expression or function can impact the development of cardiac diseases and neurodegenerative disorders. The protein is associated with cardiomyopathies where its protective role is important in managing stress in cardiac cells. Furthermore changes in Hsp20 have implications for Alzheimer's disease due to its interactions with tau protein. Enhanced understanding of Hsp20's mechanisms might lead to better therapeutic strategies for these diseases.

Product protocols

For this product, it's our understanding that no specific protocols are required. You can visit:

Target data

Small heat shock protein which functions as a molecular chaperone probably maintaining denatured proteins in a folding-competent state. Seems to have versatile functions in various biological processes. Plays a role in regulating muscle function such as smooth muscle vasorelaxation and cardiac myocyte contractility. May regulate myocardial angiogenesis implicating KDR. Overexpression mediates cardioprotection and angiogenesis after induced damage. Stabilizes monomeric YWHAZ thereby supporting YWHAZ chaperone-like activity.
See full target information HSPB6

Publications (1)

Recent publications for all applications. Explore the full list and refine your search

Genes 14: PubMed37239471

2023

Differential Regulation of POC5 by ERα in Human Normal and Scoliotic Cells.

Applications

Unspecified application

Species

Unspecified reactive species

Amani Hassan,Edward T Bagu,Shunmoogum A Patten,Sirinart Molidperee,Stefan Parent,Soraya Barchi,Isabelle Villemure,André Tremblay,Florina Moldovan
View all publications

Product promise

We are committed to supporting your work with high-quality reagents, and we're here for you every step of the way. In the unlikely event that one of our products does not perform as expected, you're protected by our Product Promise.
For full details, please see our Terms & Conditions

Please note: All products are 'FOR RESEARCH USE ONLY. NOT FOR USE IN DIAGNOSTIC OR THERAPEUTIC PROCEDURES'.

For licensing inquiries, please contact partnerships@abcam.com