JavaScript is disabled in your browser. Please enable JavaScript to view this website.
AB184161

Anti-Hsp20 antibody [EPR14458]

Be the first to review this product! Submit a review

|

(7 Publications)

Rabbit Recombinant Monoclonal Hsp20 antibody. Suitable for WB, Flow Cyt (Intra), IHC-P and reacts with Human, Mouse samples. Cited in 7 publications.

View Alternative Names

Heat shock protein beta-6, HspB6, Heat shock 20 kDa-like protein p20, Heat shock protein family B member 6, HSPB6

4 Images
Flow Cytometry (Intracellular) - Anti-Hsp20 antibody [EPR14458] (AB184161)
  • Flow Cyt (Intra)

Supplier Data

Flow Cytometry (Intracellular) - Anti-Hsp20 antibody [EPR14458] (AB184161)

Intracellular flow cytometric analysis of 2% paraformaldehyde-fixed HeLa cells labeling Hsp20 with ab184161 at 1/100 dilution (pink) compared to a Rabbit monoclonal IgG isotype control (green) followed by Goat anti-rabbit IgG (FITC) secondary antibodyat 1/150 dilution.

Western blot - Anti-Hsp20 antibody [EPR14458] (AB184161)
  • WB

Supplier Data

Western blot - Anti-Hsp20 antibody [EPR14458] (AB184161)

All lanes:

Western blot - Anti-Hsp20 antibody [EPR14458] (ab184161) at 1/50000 dilution

All lanes:

Human skeletal muscle tissue lysate at 20 µg

Secondary

All lanes:

Goat Anti-Rabbit IgG, (H+L), Peroxidase conjugated at 1/1000 dilution

Predicted band size: 17 kDa

Observed band size: 17 kDa

false

Immunohistochemistry (Formalin/PFA-fixed paraffin-embedded sections) - Anti-Hsp20 antibody [EPR14458] (AB184161)
  • IHC-P

Supplier Data

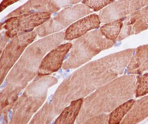
Immunohistochemistry (Formalin/PFA-fixed paraffin-embedded sections) - Anti-Hsp20 antibody [EPR14458] (AB184161)

Immunohistochemical analysis of paraffin-embedded Human skeletal muscle tissue labeling Hsp20 with ab184161 at 1/250 dilution followed by prediluted HRP Polymer for Rabbit IgG. Counter stained with hematoxylin.

Perform heat mediated antigen retrieval with EDTA buffer pH 9 before commencing with IHC staining protocol.

Immunohistochemistry (Formalin/PFA-fixed paraffin-embedded sections) - Anti-Hsp20 antibody [EPR14458] (AB184161)
  • IHC-P

Supplier Data

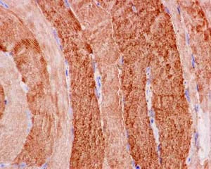
Immunohistochemistry (Formalin/PFA-fixed paraffin-embedded sections) - Anti-Hsp20 antibody [EPR14458] (AB184161)

Immunohistochemical analysis of paraffin-embedded mouse skeletal muscle tissue labeling Hsp20 with ab184161 at 1/250 dilution followed by prediluted HRP Polymer for Rabbit IgG. Counter stained with hematoxylin.

Perform heat mediated antigen retrieval with EDTA buffer pH 9 before commencing with IHC staining protocol.

  • Carrier free

    Anti-Hsp20 antibody [EPR14458] - BSA and Azide free

Key facts

Host species

Rabbit

Clonality

Monoclonal

Clone number

EPR14458

Isotype

IgG

Carrier free

No

Reacts with

Mouse, Human

Applications

WB, IHC-P, Flow Cyt (Intra)

applications

Immunogen

The exact immunogen used to generate this antibody is proprietary information.

Reactivity data

{ "title": "Reactivity Data", "filters": { "stats": ["", "Species", "Dilution Info", "Notes"], "tabs": { "all-applications": {"fullname" : "All Applications", "shortname": "All Applications"}, "WB" : {"fullname" : "Western blot", "shortname":"WB"}, "FlowCytIntra" : {"fullname" : "Flow Cytometry (Intracellular)", "shortname":"Flow Cyt (Intra)"}, "IHCP" : {"fullname" : "Immunohistochemistry (Formalin/PFA-fixed paraffin-embedded sections)", "shortname":"IHC-P"} }, "product-promise": { "all": "all", "testedAndGuaranteed": "tested", "guaranteed": "expected", "predicted": "predicted", "notRecommended": "not-recommended" } }, "values": { "Human": { "WB-species-checked": "testedAndGuaranteed", "WB-species-dilution-info": "1/10000 - 1/50000", "WB-species-notes": "<p></p>", "FlowCytIntra-species-checked": "testedAndGuaranteed", "FlowCytIntra-species-dilution-info": "1/100", "FlowCytIntra-species-notes": "<p><a href='/en-us/products/primary-antibodies/rabbit-igg-monoclonal-epr25a-isotype-control-ab172730'>ab172730</a> - Rabbit monoclonal IgG, is suitable for use as an isotype control with this antibody.</p>", "IHCP-species-checked": "testedAndGuaranteed", "IHCP-species-dilution-info": "1/100 - 1/250", "IHCP-species-notes": "<p></p>" }, "Mouse": { "WB-species-checked": "guaranteed", "WB-species-dilution-info": "", "WB-species-notes": "", "FlowCytIntra-species-checked": "guaranteed", "FlowCytIntra-species-dilution-info": "", "FlowCytIntra-species-notes": "", "IHCP-species-checked": "testedAndGuaranteed", "IHCP-species-dilution-info": "1/100 - 1/250", "IHCP-species-notes": "<p></p>" }, "Rat": { "WB-species-checked": "predicted", "WB-species-dilution-info": "", "WB-species-notes": "", "FlowCytIntra-species-checked": "predicted", "FlowCytIntra-species-dilution-info": "", "FlowCytIntra-species-notes": "", "IHCP-species-checked": "predicted", "IHCP-species-dilution-info": "", "IHCP-species-notes": "" } } }

Product details

Patented technology
Our RabMAb® technology is a patented hybridoma-based technology for making rabbit monoclonal antibodies. For details on our patents, please refer to RabMAb® patents.

What are the advantages of a recombinant monoclonal antibody?
This product is a recombinant monoclonal antibody, which offers several advantages including:

  • - High batch-to-batch consistency and reproducibility
  • - Improved sensitivity and specificity
  • - Long-term security of supply
  • - Animal-free batch production

For more information, read more on recombinant antibodies.

Properties and storage information

Form
Liquid
Purification technique
Affinity purification Protein A
Storage buffer
pH: 7.2 Preservative: 0.01% Sodium azide Constituents: PBS, 40% Glycerol (glycerin, glycerine), 0.05% BSA
Shipped at conditions
Blue Ice
Appropriate short-term storage duration
1-2 weeks
Appropriate short-term storage conditions
+4°C
Appropriate long-term storage conditions
-20°C
Aliquoting information
Upon delivery aliquot
Storage information
Avoid freeze / thaw cycle

Supplementary information

This supplementary information is collated from multiple sources and compiled automatically.

Hsp20 also known as Heat Shock Protein 20 or HspB6 is a small heat shock protein with a molecular weight of approximately 20 kDa. It functions by binding to partially unfolded proteins preventing them from aggregating and assisting in their proper folding. Hsp20 achieves this through its chaperone activity similar to other small heat shock proteins. This protein is expressed ubiquitously with high levels found in cardiac and skeletal muscles as well as in the brain and placenta.
Biological function summary

The small heat shock protein family which includes Hsp20 plays a critical role in maintaining cellular proteostasis under stress conditions. Hsp20 does not typically form large complexes though it may oligomerize under certain conditions to exert its protective functions. It interacts with cellular structures and proteins to maintain cell integrity and function. Hsp20 can modulate actin filament dynamics influencing cellular motility and smooth muscle relaxation.

Pathways

The Hsp20 protein is actively involved in several key regulatory pathways. It plays a role in the stress response pathway and is engaged in the cardiomyocyte signaling network. Hsp20 interacts closely with proteins such as Akt and PKA which are involved in the signaling cascades that govern cell survival and response to stress. Phosphorylation of Hsp20 by PKA contributes to its protective functions especially in cardiac tissues.

Alterations in Hsp20 expression or function can impact the development of cardiac diseases and neurodegenerative disorders. The protein is associated with cardiomyopathies where its protective role is important in managing stress in cardiac cells. Furthermore changes in Hsp20 have implications for Alzheimer's disease due to its interactions with tau protein. Enhanced understanding of Hsp20's mechanisms might lead to better therapeutic strategies for these diseases.

Product protocols

For this product, it's our understanding that no specific protocols are required. You can visit:

Target data

Small heat shock protein which functions as a molecular chaperone probably maintaining denatured proteins in a folding-competent state. Seems to have versatile functions in various biological processes. Plays a role in regulating muscle function such as smooth muscle vasorelaxation and cardiac myocyte contractility. May regulate myocardial angiogenesis implicating KDR. Overexpression mediates cardioprotection and angiogenesis after induced damage. Stabilizes monomeric YWHAZ thereby supporting YWHAZ chaperone-like activity.
See full target information HSPB6

Publications (7)

Recent publications for all applications. Explore the full list and refine your search

Oxidative medicine and cellular longevity 2021:9942557 PubMed34422215

2021

MicroRNA-23a-5p Is Involved in the Regulation of Lipopolysaccharide-Induced Acute Lung Injury by Targeting HSP20/ASK1.

Applications

Unspecified application

Species

Unspecified reactive species

Yi-Fei Chen,Fen Hu,Xian-Guo Wang,Zheng Tang,He-Xiao Tang,Ming Xu

Cell & bioscience 10:120 PubMed33088476

2020

Inducible expression of heat shock protein 20 protects airway epithelial cells against oxidative injury involving the Nrf2-NQO-1 pathway.

Applications

Unspecified application

Species

Unspecified reactive species

Aihua Bao,Aying Ma,Hui Zhang,Lihua Qiao,Suqin Ben,Xin Zhou,Min Zhang

American journal of physiology. Heart and circulat 319:H1036-H1043 PubMed32946285

2020

Tissue-specific small heat shock protein 20 activation is not associated with traditional autophagy markers in Ossabaw swine with cardiometabolic heart failure.

Applications

Unspecified application

Species

Unspecified reactive species

Kleiton Augusto Santos Silva,Emily V Leary,T Dylan Olver,Timothy L Domeier,Jaume Padilla,R Scott Rector,Craig A Emter

Frontiers in oncology 9:523 PubMed31293967

2019

Comprehensive Gene Expression Analysis in NMIBC Using RNA-seq Reveals New Therapy Strategies.

Applications

Unspecified application

Species

Unspecified reactive species

Xiaoliang Chen,Fuquan Jiang,Chunshu Jia,Ming Liu,Yonghao Nan,Licheng Qu,Qingkuo Kong,Fangfang Hou,Wenshan Luo,Wanli Na,Xuefei Jin,Jiufeng Tan

Clinical and experimental immunology 194:137-152 PubMed30014472

2018

Heat shock proteins are differentially expressed in brain and spinal cord: implications for multiple sclerosis.

Applications

Unspecified application

Species

Unspecified reactive species

R P Gorter,E Nutma,M-C Jahrei,J C de Jonge,R A Quinlan,P van der Valk,J M van Noort,W Baron,S Amor

The Journal of physiology 594:6369-6393 PubMed27328735

2016

Differential impact of acute and prolonged cAMP agonist exposure on protein kinase A activation and human myometrium contractile activity.

Applications

Unspecified application

Species

Unspecified reactive species

Pei F Lai,Rachel M Tribe,Mark R Johnson

Oxidative medicine and cellular longevity 2015:606934 PubMed26199678

2015

Hsp20 Protects against Oxygen-Glucose Deprivation/Reperfusion-Induced Golgi Fragmentation and Apoptosis through Fas/FasL Pathway.

Applications

IP

Species

Unspecified reactive species

Bingwu Zhong,Zhiping Hu,Jieqiong Tan,Tonglin Lu,Qiang Lei,Chunli Chen,Liuwang Zeng
View all publications

Product promise

We are committed to supporting your work with high-quality reagents, and we're here for you every step of the way. In the unlikely event that one of our products does not perform as expected, you're protected by our Product Promise.
For full details, please see our Terms & Conditions

Please note: All products are 'FOR RESEARCH USE ONLY. NOT FOR USE IN DIAGNOSTIC OR THERAPEUTIC PROCEDURES'.

For licensing inquiries, please contact partnerships@abcam.com