JavaScript is disabled in your browser. Please enable JavaScript to view this website.
AB151552

Anti-Hsp22/HSPB8 antibody [EPR9714]

5

(2 Reviews)

|

(14 Publications)

Rabbit Recombinant Monoclonal Hsp22/HSPB8 antibody. Suitable for IHC-P, WB, ICC/IF and reacts with Mouse, Human samples. Cited in 14 publications.

View Alternative Names

CRYAC, E2IG1, HSP22, PP1629, HSPB8, Heat shock protein beta-8, HspB8, Alpha-crystallin C chain, E2-induced gene 1 protein, Heat shock protein family B member 8, Protein kinase H11, Small stress protein-like protein HSP22

9 Images
Immunocytochemistry/ Immunofluorescence - Anti-Hsp22/HSPB8 antibody [EPR9714] (AB151552)
  • ICC/IF

Unknown

Immunocytochemistry/ Immunofluorescence - Anti-Hsp22/HSPB8 antibody [EPR9714] (AB151552)

Immunofluorescent analysis of A673 cells labeling Hsp22/HSPB8 with ab151552 at 1/50 dilution.

Immunohistochemistry (Formalin/PFA-fixed paraffin-embedded sections) - Anti-Hsp22/HSPB8 antibody [EPR9714] (AB151552)
  • IHC-P

Unknown

Immunohistochemistry (Formalin/PFA-fixed paraffin-embedded sections) - Anti-Hsp22/HSPB8 antibody [EPR9714] (AB151552)

Immunohistochemical analysis of paraffin embedded normal Human uterus tissue using ab151552 showing -ve staining.

Perform heat mediated antigen retrieval with citrate buffer pH 6 before commencing with IHC staining protocol.

Immunohistochemistry (Formalin/PFA-fixed paraffin-embedded sections) - Anti-Hsp22/HSPB8 antibody [EPR9714] (AB151552)
  • IHC-P

Unknown

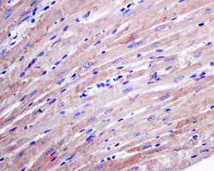
Immunohistochemistry (Formalin/PFA-fixed paraffin-embedded sections) - Anti-Hsp22/HSPB8 antibody [EPR9714] (AB151552)

Immunohistochemical analysis of paraffin-embedded Human skeletal muscle tissue labeling Hsp22/HSPB8 with ab151552 at 1/50 dilution.

Perform heat mediated antigen retrieval with citrate buffer pH 6 before commencing with IHC staining protocol.

Immunohistochemistry (Formalin/PFA-fixed paraffin-embedded sections) - Anti-Hsp22/HSPB8 antibody [EPR9714] (AB151552)
  • IHC-P

Unknown

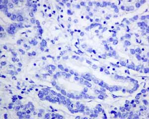
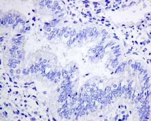
Immunohistochemistry (Formalin/PFA-fixed paraffin-embedded sections) - Anti-Hsp22/HSPB8 antibody [EPR9714] (AB151552)

Immunohistochemical analysis of paraffin embedded Human Gastric carcinoma tissue using ab151552 showing -ve staining.

Perform heat mediated antigen retrieval with citrate buffer pH 6 before commencing with IHC staining protocol.

Immunohistochemistry (Formalin/PFA-fixed paraffin-embedded sections) - Anti-Hsp22/HSPB8 antibody [EPR9714] (AB151552)
  • IHC-P

Unknown

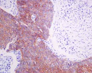
Immunohistochemistry (Formalin/PFA-fixed paraffin-embedded sections) - Anti-Hsp22/HSPB8 antibody [EPR9714] (AB151552)

Immunohistochemical analysis of paraffin embedded Human Cervical carcinoma tissue using ab151552 showing +ve staining.

Perform heat mediated antigen retrieval with citrate buffer pH 6 before commencing with IHC staining protocol.

Immunohistochemistry (Formalin/PFA-fixed paraffin-embedded sections) - Anti-Hsp22/HSPB8 antibody [EPR9714] (AB151552)
  • IHC-P

Unknown

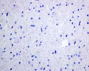
Immunohistochemistry (Formalin/PFA-fixed paraffin-embedded sections) - Anti-Hsp22/HSPB8 antibody [EPR9714] (AB151552)

Immunohistochemical analysis of paraffin embedded normal Human brain tissue using ab151552 showing -ve staining.

Perform heat mediated antigen retrieval with citrate buffer pH 6 before commencing with IHC staining protocol.

Immunohistochemistry (Formalin/PFA-fixed paraffin-embedded sections) - Anti-Hsp22/HSPB8 antibody [EPR9714] (AB151552)
  • IHC-P

Unknown

Immunohistochemistry (Formalin/PFA-fixed paraffin-embedded sections) - Anti-Hsp22/HSPB8 antibody [EPR9714] (AB151552)

Immunohistochemical analysis of paraffin embedded Mouse brain tissue using ab151552 showing +ve staining.

Perform heat mediated antigen retrieval with citrate buffer pH 6 before commencing with IHC staining protocol.

Western blot - Anti-Hsp22/HSPB8 antibody [EPR9714] (AB151552)
  • WB

Unknown

Western blot - Anti-Hsp22/HSPB8 antibody [EPR9714] (AB151552)

All lanes:

Western blot - Anti-Hsp22/HSPB8 antibody [EPR9714] (ab151552) at 1/1000 dilution

Lane 1:

Fetal heart lysate at 10 µg

Lane 2:

Fetal muscle lysate at 10 µg

Secondary

All lanes:

HRP labeled goat anti-rabbit at 1/2000 dilution

Predicted band size: 21 kDa

false

Western blot - Anti-Hsp22/HSPB8 antibody [EPR9714] (AB151552)
  • WB

Lab

Western blot - Anti-Hsp22/HSPB8 antibody [EPR9714] (AB151552)

Lanes 1 - 2 : Merged signal (red and green). Green - ab151552 observed at 212 kDa. Red - loading control ab7291 (Mouse anti-Alpha Tubulin [DM1A]) observed at 55 kDa.

ab151552 was shown to react with Hsp22/HSPB8 in wild-type HeLa cells in Western blot with loss of signal observed in HSPB8 knockout cell line ab265112 (HSPB8 knockout cell lysate ab257468). Wild-type HeLa and HSPB8 knockout cell lysates were subjected to SDS-PAGE. Membranes were blocked in 3 % milk in TBS-T (0.1 % Tween®) before incubation with ab151552 and ab7291 (Mouse anti-Alpha Tubulin [DM1A]) overnight at 4 °C at a 1 in 1000 dilution and a 1 in 20000 dilution respectively. Blots were incubated with Goat anti-Rabbit IgG H&L (IRDye® 800CW) preabsorbed (ab216773) and Goat anti-Mouse IgG H&L (IRDye® 680RD) preabsorbed (ab216776) secondary antibodies at 1 in 20000 dilution for 1 h at room temperature before imaging.

All lanes:

Western blot - Anti-Hsp22/HSPB8 antibody [EPR9714] (ab151552) at 1/1000 dilution

Lane 1:

Wild-type HeLa (Human epithelial cell line from cervix adenocarcinoma) whole cell lysate at 20 µg

Lane 2:

HSPB8 knockout HeLa (Human epithelial cell line from cervix adenocarcinoma) whole cell lysate at 20 µg

Lane 2:

Western blot - Human HSPB8 (Hsp22) knockout HeLa cell line (<a href='/en-us/products/cell-lines/human-hspb8-hsp22-knockout-hela-cell-line-ab265112'>ab265112</a>)

Predicted band size: 21 kDa

Observed band size: 21 kDa

false

  • Carrier free

    Anti-Hsp22/HSPB8 antibody [EPR9714] - BSA and Azide free

Key facts

Host species

Rabbit

Clonality

Monoclonal

Clone number

EPR9714

Isotype

IgG

Carrier free

No

Reacts with

Mouse, Human

Applications

WB, IHC-P, ICC/IF

applications

Immunogen

The exact immunogen used to generate this antibody is proprietary information.

Reactivity data

{ "title": "Reactivity Data", "filters": { "stats": ["", "Species", "Dilution Info", "Notes"], "tabs": { "all-applications": {"fullname" : "All Applications", "shortname": "All Applications"}, "IHCP" : {"fullname" : "Immunohistochemistry (Formalin/PFA-fixed paraffin-embedded sections)", "shortname":"IHC-P"}, "IP" : {"fullname" : "Immunoprecipitation", "shortname":"IP"}, "WB" : {"fullname" : "Western blot", "shortname":"WB"}, "ICCIF" : {"fullname" : "Immunocytochemistry/ Immunofluorescence", "shortname":"ICC/IF"} }, "product-promise": { "all": "all", "testedAndGuaranteed": "tested", "guaranteed": "expected", "predicted": "predicted", "notRecommended": "not-recommended" } }, "values": { "Human": { "IHCP-species-checked": "testedAndGuaranteed", "IHCP-species-dilution-info": "1/50 - 1/100", "IHCP-species-notes": "<p></p>", "IP-species-checked": "notRecommended", "IP-species-dilution-info": "", "IP-species-notes": "<p></p>", "WB-species-checked": "testedAndGuaranteed", "WB-species-dilution-info": "1/1000 - 1/10000", "WB-species-notes": "<p></p>", "ICCIF-species-checked": "testedAndGuaranteed", "ICCIF-species-dilution-info": "1/50 - 1/100", "ICCIF-species-notes": "<p></p>" }, "Mouse": { "IHCP-species-checked": "testedAndGuaranteed", "IHCP-species-dilution-info": "1/50 - 1/100", "IHCP-species-notes": "<p></p>", "IP-species-checked": "notRecommended", "IP-species-dilution-info": "", "IP-species-notes": "<p></p>", "WB-species-checked": "guaranteed", "WB-species-dilution-info": "", "WB-species-notes": "", "ICCIF-species-checked": "guaranteed", "ICCIF-species-dilution-info": "", "ICCIF-species-notes": "" }, "Rat": { "IHCP-species-checked": "predicted", "IHCP-species-dilution-info": "", "IHCP-species-notes": "", "IP-species-checked": "notRecommended", "IP-species-dilution-info": "", "IP-species-notes": "", "WB-species-checked": "predicted", "WB-species-dilution-info": "", "WB-species-notes": "", "ICCIF-species-checked": "predicted", "ICCIF-species-dilution-info": "", "ICCIF-species-notes": "" } } }

Product details

Patented technology
Our RabMAb® technology is a patented hybridoma-based technology for making rabbit monoclonal antibodies. For details on our patents, please refer to RabMAb® patents.

What are the advantages of a recombinant monoclonal antibody?
This product is a recombinant monoclonal antibody, which offers several advantages including:

  • - High batch-to-batch consistency and reproducibility
  • - Improved sensitivity and specificity
  • - Long-term security of supply
  • - Animal-free batch production

For more information, read more on recombinant antibodies.

Properties and storage information

Form
Liquid
Purification technique
Affinity purification Protein A
Storage buffer
pH: 7.2 - 7.4 Preservative: 0.01% Sodium azide Constituents: PBS, 50% Tissue culture supernatant, 40% Glycerol (glycerin, glycerine), 0.05% BSA
Shipped at conditions
Blue Ice
Appropriate short-term storage conditions
+4°C
Appropriate long-term storage conditions
-20°C

Supplementary information

This supplementary information is collated from multiple sources and compiled automatically.

Hsp22 also known as HSPB8 is a small heat shock protein with a molecular weight of approximately 22 kDa. Expressed in various tissues including heart skeletal muscle and brain Hsp22 functions as a chaperone in cellular conditions. It prevents aggregation and aids in the refolding of misfolded proteins matching its role among the heat shock family proteins known for stress response.
Biological function summary

Hsp22 plays a critical role in maintaining protein homeostasis as part of a larger chaperone complex. It forms hetero-oligomers with other small heat shock proteins like HSPB1 and HSPB6 enhancing its protein-protective functions. These interactions allow Hsp22 to stabilize cytoskeletal elements and partake in autophagic pathways highlighting its importance during cellular stress conditions.

Pathways

Hsp22 integrates into cellular processes of autophagy and proteostasis. It participates in the chaperone-assisted selective autophagy (CASA) pathway. Here it associates with the cochaperone BAG3 facilitating the degradation of damaged proteins. Hsp22 also plays a role in the heat shock response pathway cooperating with other heat shock proteins like HSP70 to protect cells from damage induced by increased temperatures.

Hsp22 has associations with diseases like myopathy and neurodegeneration. In myopathies mutations in Hsp22 can disrupt normal muscular functions leading to muscle weakness and degeneration. In neurodegenerative conditions such as amyotrophic lateral sclerosis (ALS) abnormalities in the function or expression of Hsp22 together with its interaction with proteins such as HSPB1 can contribute to the disease's pathogenic mechanisms highlighting its clinical relevance.

Product protocols

For this product, it's our understanding that no specific protocols are required. You can visit:

Target data

Displays temperature-dependent chaperone activity.
See full target information HSPB8

Publications (14)

Recent publications for all applications. Explore the full list and refine your search

Biochemistry and biophysics reports 41:101893 PubMed39760097

2025

Construction and evaluation of a prognostic model of autophagy-related genes in hepatocellular carcinoma.

Applications

Unspecified application

Species

Unspecified reactive species

Yutao He,Bin Du,Weiran Liao,Wei Wang,Jifeng Su,Chen Guo,Kai Zhang,Zhitian Shi

Scientific reports 14:23527 PubMed39384968

2024

Heat shock protein 22 alleviates doxorubicin-induced kidney injury by suppressing oxidative stress and apoptosis.

Applications

Unspecified application

Species

Unspecified reactive species

Yuan-Feng Zhou,Yang Fu,Ze-Qun Lai,Hai-Ling Xu,Na Shen,Jun Long,Huang Zhang,Yi-Fei Dong

Journal of Cancer 15:645-658 PubMed38213722

2024

HSPB8 Facilitates the Oncogenesis and Advancement of Bladder Cancer via Activation of HSP27.

Applications

Unspecified application

Species

Unspecified reactive species

Wei Du,Kai Guo,Peng Wang,Jianye Zhong,Ning Jiang

Epigenetics 18:2239607 PubMed37523636

2023

Oncogenic DNA methyltransferase 1 activates the PI3K/AKT/mTOR signalling by blocking the binding of HSPB8 and BAG3 in melanoma.

Applications

Unspecified application

Species

Unspecified reactive species

Yemei Yang,Shengfang Ma,Zi Ye,Yushi Zheng,Zhenjiong Zheng,Xiongshan Liu,Xianyi Zhou

Aging 15:1977-2004 PubMed36934348

2023

Hsp22 pretreatment protects against LPS-induced hippocampal injury by alleviating neuroinflammation and apoptosis by regulating the NLRP3/Caspase1/IL-1β signaling pathway in mice.

Applications

Unspecified application

Species

Unspecified reactive species

Shengliang Peng,Yun Yu,Juan Li,Danling Jiang,Guohai Xu,Lidong Wu,Jialing Hu

iScience 26:106194 PubMed36968091

2023

Rosiglitazone reduces diabetes angiopathy by inhibiting mitochondrial dysfunction dependent on regulating HSP22 expression.

Applications

Unspecified application

Species

Unspecified reactive species

Lingling Yu,Shengsong Chen,Qian Liang,Chahua Huang,Weifang Zhang,Longlong Hu,Yun Yu,Liang Liu,Xiaoshu Cheng,Huihui Bao

Bioengineered 12:12544-12554 PubMed34839787

2021

Hsp22 ameliorates lipopolysaccharide-induced myocardial injury by inhibiting inflammation, oxidative stress, and apoptosis.

Applications

Unspecified application

Species

Unspecified reactive species

Yun Yu,Long-Long Hu,Liang Liu,Ling-Ling Yu,Jun-Pei Li,Jing-An Rao,Ling-Juan Zhu,Hui-Hui Bao,Xiao-Shu Cheng

The Journal of biological chemistry 296:100050 PubMed33168630

2020

The eIF2α kinase HRI triggers the autophagic clearance of cytosolic protein aggregates.

Applications

Unspecified application

Species

Unspecified reactive species

Tapas Mukherjee,Valeria Ramaglia,Mena Abdel-Nour,Athanasia A Bianchi,Jessica Tsalikis,Hien N Chau,Suneil K Kalia,Lorraine V Kalia,Jane-Jane Chen,Damien Arnoult,Jennifer L Gommerman,Dana J Philpott,Stephen E Girardin

Redox biology 21:101095 PubMed30640127

2019

HSP22 suppresses diabetes-induced endothelial injury by inhibiting mitochondrial reactive oxygen species formation.

Applications

Unspecified application

Species

Unspecified reactive species

Lingling Yu,Qian Liang,Weifang Zhang,Minqi Liao,Minghua Wen,Biming Zhan,Huihui Bao,Xiaoshu Cheng

International journal of molecular medicine 43:821-829 PubMed30535427

2018

Atorvastatin downregulates HSP22 expression in an atherosclerotic model in vitro and in vivo.

Applications

Unspecified application

Species

Unspecified reactive species

Qi Chen,Jian Xiang,Ren Gong,Hai-Yang Fang,Cong-Cong Xu,Hong-Zhou Zhang,Yan-Qing Wu
View all publications

Product promise

We are committed to supporting your work with high-quality reagents, and we're here for you every step of the way. In the unlikely event that one of our products does not perform as expected, you're protected by our Product Promise.
For full details, please see our Terms & Conditions

Please note: All products are 'FOR RESEARCH USE ONLY. NOT FOR USE IN DIAGNOSTIC OR THERAPEUTIC PROCEDURES'.

For licensing inquiries, please contact partnerships@abcam.com