JavaScript is disabled in your browser. Please enable JavaScript to view this website.
AB5579

Anti-Hsp27 antibody

4

(1 Review)

|

(22 Publications)

Rabbit Polyclonal Hsp27 antibody. Suitable for WB, ICC/IF, IHC-P and reacts with Human, African green monkey, Mouse, Rat, Vervet monkey samples. Cited in 22 publications. Immunogen corresponding to Synthetic Peptide within Human HSPB1 aa 1-50.

View Alternative Names

HSP27, HSP28, HSPB1, Heat shock protein beta-1, HspB1, 28 kDa heat shock protein, Estrogen-regulated 24 kDa protein, Heat shock 27 kDa protein, Heat shock protein family B member 1, Stress-responsive protein 27, HSP 27, SRP27

8 Images
Immunocytochemistry/ Immunofluorescence - Anti-Hsp27 antibody (AB5579)
  • ICC/IF

Collaborator

Immunocytochemistry/ Immunofluorescence - Anti-Hsp27 antibody (AB5579)

HeLa (human epithelial cell line from cervix adenocarcinoma) cells were fixed with 4% formaldehyde in PEM buffer. The coverslip was incubated in blocking buffer of 5% powdered milk in TBS-T plus 0.02% sodium azide for 1 hour at room temperature. Blocking buffer was removed and primary antibody was added at a dilution of 1/250 and incubated overnight at 4 degrees celsius. The coverslips were then washed 4-5 times with blocking buffer for 5 minutes. Secondary antibody, goat anti-rabbit Alexa 594 (ab150080), was added at a dilution of 1/1000 and incubated at room temperature for one hour. From this point on coverslips were covered with foil to protect them from light. They were washed 5 times with TBS-T and then one time with PEM, for 5 minutes each wash. The coverslips were fixed 10-30 minutes in 4% formaldehyde in PEM buffer, then washed 3 times with PEM buffer for 5 minutes. 0.1M ammonium chloride in PEM buffer was added for 10 minutes to quench auto-florescence, and then slips were washed 2 times for 5 minutes in PEM followed by 3 washes for 5 minute

This image is courtesy of Michael Manicini, Ph.D.

Immunocytochemistry/ Immunofluorescence - Anti-Hsp27 antibody (AB5579)
  • ICC/IF

Supplier Data

Immunocytochemistry/ Immunofluorescence - Anti-Hsp27 antibody (AB5579)

Immunofluorescence analysis of HeLa (Human epithelial cell line from cervix adenocarcinoma) cells labeling Hsp27 (green) with ab5579 at 1/200 dilution, followed by DyLight 488-conjugated secondary antibody. F-Actin staining with Phalloidin (red) and nuclei with DAPI (blue). Cells were fixed with formaldehyde and incubated with the primary antibody overnight at 4°C. 60X magnification. Right - negative control.

Immunohistochemistry (Formalin/PFA-fixed paraffin-embedded sections) - Anti-Hsp27 antibody (AB5579)
  • IHC-P

Unknown

Immunohistochemistry (Formalin/PFA-fixed paraffin-embedded sections) - Anti-Hsp27 antibody (AB5579)

Immunohistochemical analysis of both normal and cancer biopsies of deparaffinized human skeletal muscle tissue labeling Hsp27 with ab5579 at 1/20 dilution or without primary antibody (negative control) overnight at 4°C in a humidified chamber. Tissues were washed extensively with PBST and endogenous peroxidase activity was quenched with a peroxidase suppressor. Detection was performed using a biotin-conjugated secondary antibody and SA-HRP, followed by colorimetric detection using DAB. Tissues were counterstained with hematoxylin and prepped for mounting.

To expose target proteins, heat induced antigen retrieval was performed using 10mM sodium citrate (pH 6.0) buffer, microwaved for 8-15 minutes. Following antigen retrieval tissues were blocked in 3% BSA-PBS for 30 minutes at room temperature.

Immunocytochemistry/ Immunofluorescence - Anti-Hsp27 antibody (AB5579)
  • ICC/IF

Supplier Data

Immunocytochemistry/ Immunofluorescence - Anti-Hsp27 antibody (AB5579)

Immunofluorescence analysis of MCF7 (Human breast adenocarcinoma cell line) cells labeling Hsp27 (green) with ab5579 at 1/200 dilution, followed by DyLight 488-conjugated secondary antibody. F-Actin staining with Phalloidin (red) and nuclei with DAPI (blue). Cells were fixed with formaldehyde and incubated with the primary antibody overnight at 4°C. 60X magnification. Right - negative control.

Immunohistochemistry (Formalin/PFA-fixed paraffin-embedded sections) - Anti-Hsp27 antibody (AB5579)
  • IHC-P

Unknown

Immunohistochemistry (Formalin/PFA-fixed paraffin-embedded sections) - Anti-Hsp27 antibody (AB5579)

Immunohistochemical analysis of both normal and cancer biopsies of deparaffinized human breast carcinoma tissue labeling Hsp27 with ab5579 at 1/100 dilution or without primary antibody (negative control) overnight at 4°C in a humidified chamber. Tissues were washed extensively with PBST and endogenous peroxidase activity was quenched with a peroxidase suppressor. Detection was performed using a biotin-conjugated secondary antibody and SA-HRP, followed by colorimetric detection using DAB. Tissues were counterstained with hematoxylin and prepped for mounting.

To expose target proteins, heat induced antigen retrieval was performed using 10mM sodium citrate (pH6.0) buffer, microwaved for 8-15 minutes. Following antigen retrieval tissues were blocked in 3% BSA-PBS for 30 minutes at room temperature.

Immunocytochemistry/ Immunofluorescence - Anti-Hsp27 antibody (AB5579)
  • ICC/IF

Supplier Data

Immunocytochemistry/ Immunofluorescence - Anti-Hsp27 antibody (AB5579)

Immunofluorescence analysis of C6 (Rat glial tumor cell line) cells labeling Hsp27 (green) with ab5579 at 1/100 dilution, followed by DyLight 488-conjugated secondary antibody. F-Actin staining with Phalloidin (red) and nuclei with DAPI (blue). Cells were fixed with formaldehyde and incubated with the primary antibody overnight at 4°C. 60X magnification. Right - negative control.

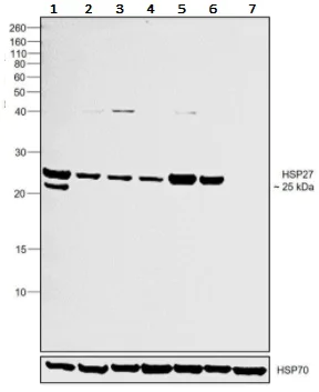
Western blot - Anti-Hsp27 antibody (AB5579)
  • WB

Supplier Data

Western blot - Anti-Hsp27 antibody (AB5579)

All lanes:

Western blot - Anti-Hsp27 antibody (ab5579) at 1/2000 dilution

Lane 1:

MCF7 (human breast adenocarcinoma cell line) whole cell lysate at 30 µg

Lane 2:

MDA-MB-231 (human breast adenocarcinoma cell line) whole cell lysate at 30 µg

Lane 3:

PC3 (human prostate adenocarcinoma cell line) whole cell lysate at 30 µg

Lane 4:

DU 145 (human prostate carcinoma cell line) whole cell lysate at 30 µg

Lane 5:

HeLa (human epithelial cell line from cervix adenocarcinoma) whole cell lysate at 30 µg

Lane 6:

LNCaP (human prostate cancer cell line) whole cell lysate at 30 µg

Lane 7:

HT1080 (human fibrosarcoma cell line) whole cell lysate at 30 µg

Secondary

All lanes:

Goat anti-Rabbit IgG (H+L) Superclonal™ Recombinant Secondary Antibody, HRP at 1/4000 dilution

Predicted band size: 23 kDa

false

Western blot - Anti-Hsp27 antibody (AB5579)
  • WB

Supplier Data

Western blot - Anti-Hsp27 antibody (AB5579)

All lanes:

Western blot - Anti-Hsp27 antibody (ab5579) at 1/1000 dilution

Lane 1:

HEK-293T (human epithelial cell line from embryonic kidney transformed with large T antigen) whole cell lysate at 50 µg

Lane 2:

HeLa (human epithelial cell line from cervix adenocarcinoma) whole cell lysate at 50 µg

Lane 3:

K562 (human chronic myelogenous leukemia lymphoblast cell line ) whole cell lysate at 50 µg

Lane 4:

A431 (human epidermoid carcinoma cell line) whole cell lysate at 50 µg

Lane 5:

HepG2 (human liver hepatocellular carcinoma cell line) whole cell lysate at 50 µg

Lane 6:

COS-7 (african green monkey kidney fibroblast-like cell line) whole cell lysate at 50 µg

Lane 7:

NIH/3T3 (mouse embryonic fibroblast cell line) whole cell lysate at 50 µg

Secondary

All lanes:

Goat anti-rabbit IgG-HRP secondary antibody at 1/20000 dilution

Predicted band size: 23 kDa

false

Key facts

Host species

Rabbit

Clonality

Polyclonal

Isotype

IgG

Carrier free

No

Reacts with

Mouse, Rat, Human, African green monkey

Applications

IHC-P, ICC/IF, WB

applications

Immunogen

Synthetic Peptide within Human HSPB1 aa 1-50. The exact immunogen used to generate this antibody is proprietary information.

P04792

Reactivity data

{ "title": "Reactivity Data", "filters": { "stats": ["", "Species", "Dilution Info", "Notes"], "tabs": { "all-applications": {"fullname" : "All Applications", "shortname": "All Applications"}, "WB" : {"fullname" : "Western blot", "shortname":"WB"}, "ICCIF" : {"fullname" : "Immunocytochemistry/ Immunofluorescence", "shortname":"ICC/IF"}, "IHCP" : {"fullname" : "Immunohistochemistry (Formalin/PFA-fixed paraffin-embedded sections)", "shortname":"IHC-P"} }, "product-promise": { "all": "all", "testedAndGuaranteed": "tested", "guaranteed": "expected", "predicted": "predicted", "notRecommended": "not-recommended" } }, "values": { "Human": { "WB-species-checked": "testedAndGuaranteed", "WB-species-dilution-info": "1/1000 - 1/2000", "WB-species-notes": "<p></p>", "ICCIF-species-checked": "testedAndGuaranteed", "ICCIF-species-dilution-info": "1/50", "ICCIF-species-notes": "<p></p>", "IHCP-species-checked": "testedAndGuaranteed", "IHCP-species-dilution-info": "4 µg/mL", "IHCP-species-notes": "<p></p>" }, "Mouse": { "WB-species-checked": "testedAndGuaranteed", "WB-species-dilution-info": "1/1000 - 1/2000", "WB-species-notes": "<p></p>", "ICCIF-species-checked": "guaranteed", "ICCIF-species-dilution-info": "1/50", "ICCIF-species-notes": "<p></p>", "IHCP-species-checked": "guaranteed", "IHCP-species-dilution-info": "4 µg/mL", "IHCP-species-notes": "<p></p>" }, "Rat": { "WB-species-checked": "guaranteed", "WB-species-dilution-info": "", "WB-species-notes": "", "ICCIF-species-checked": "testedAndGuaranteed", "ICCIF-species-dilution-info": "1/50", "ICCIF-species-notes": "<p></p>", "IHCP-species-checked": "guaranteed", "IHCP-species-dilution-info": "4 µg/mL", "IHCP-species-notes": "<p></p>" }, "African green monkey": { "WB-species-checked": "testedAndGuaranteed", "WB-species-dilution-info": "1/1000 - 1/2000", "WB-species-notes": "<p></p>", "ICCIF-species-checked": "guaranteed", "ICCIF-species-dilution-info": "1/50", "ICCIF-species-notes": "<p></p>", "IHCP-species-checked": "guaranteed", "IHCP-species-dilution-info": "", "IHCP-species-notes": "" }, "Vervet monkey": { "WB-species-checked": "notRecommended", "WB-species-dilution-info": "", "WB-species-notes": "", "ICCIF-species-checked": "notRecommended", "ICCIF-species-dilution-info": "", "ICCIF-species-notes": "", "IHCP-species-checked": "guaranteed", "IHCP-species-dilution-info": "4 µg/mL", "IHCP-species-notes": "<p></p>" } } }

Properties and storage information

Form
Liquid
Purification technique
Affinity purification Immunogen
Purification notes
Antigen affinity chromatography.
Storage buffer
Preservative: 0.05% Sodium azide Constituents: 99% PBS, 0.1% BSA
Shipped at conditions
Blue Ice
Appropriate short-term storage duration
1-2 weeks
Appropriate short-term storage conditions
+4°C
Appropriate long-term storage conditions
-20°C
Aliquoting information
Upon delivery aliquot
Storage information
Avoid freeze / thaw cycle

Supplementary information

This supplementary information is collated from multiple sources and compiled automatically.

Hsp27 also known as HSPB1 is a small heat shock protein with a molecular weight of approximately 27 kilodaltons. This protein is expressed in various tissues including muscle heart and brain. It functions as a molecular chaperone that stabilizes unfolded proteins preventing their aggregation. Hsp27 undergoes phosphorylation at specific residues which modulates its chaperone activity and interaction with other proteins.
Biological function summary

Hsp27 plays a critical role in cellular stress response by regulating actin cytoskeleton dynamics and inhibiting apoptosis. It forms part of a complex that includes other proteins such as alphaB-crystallin. This complex facilitates the reorganization of proteins under stress conditions enhancing cell survival during oxidative stress or thermal shock. Hsp27 also modulates inflammatory responses and has been shown to affect cell migration.

Pathways

Hsp27 integrates into the apoptosis and inflammation pathways. It interacts with apoptotic machinery such as caspase proteins to protect cells by hindering apoptosome formation. Additionally Hsp27 can engage with pathways involving the nuclear factor-kappa B (NF-kB) impacting inflammatory signaling. CPTC (carboxyl-pyrene-trioctylamine) can modulate these pathways by altering Hsp27 function and interactions.

Hsp27 has connections to neurodegenerative diseases and cancer. In neurodegenerative conditions such as Alzheimer's disease its chaperone activity is thought to protect neurons from misfolded protein aggregates. In cancer Hsp27 supports tumor cell survival and resistance to chemotherapy by interacting with proteins like Akt and p53. These interactions highlight the complex role of Hsp27 in modulating cellular responses in various pathological states.

Product protocols

For this product, it's our understanding that no specific protocols are required. You can visit:

Target data

Small heat shock protein which functions as a molecular chaperone probably maintaining denatured proteins in a folding-competent state (PubMed : 10383393, PubMed : 20178975). Plays a role in stress resistance and actin organization (PubMed : 19166925). Through its molecular chaperone activity may regulate numerous biological processes including the phosphorylation and the axonal transport of neurofilament proteins (PubMed : 23728742).
See full target information HSPB1

Publications (22)

Recent publications for all applications. Explore the full list and refine your search

Journal of xenobiotics 15: PubMed40981348

2025

Silica Nanoparticles Induced Epithelial-Mesenchymal Transition in BEAS-2B Cells via ER Stress and SIRT1/HSF1/HSPs Signaling Pathway.

Applications

Unspecified application

Species

Unspecified reactive species

Jinyan Pang,Liyan Xiao,Zhiqin Xiong,Kexin Zhang,Man Yang,Ji Wang,Yanbo Li,Yang Li

Clinical and experimental pharmacology & physiology 51:e13857 PubMed38566371

2024

Overexpression of HSP27 accelerates stress-induced gastric ulcer healing via the CXCL12/CXCR4 axis.

Applications

Unspecified application

Species

Unspecified reactive species

Qiaoyan Lu,Hua Tang

Cancer medicine 12:4605-4615 PubMed36200687

2022

Cisplatin-induced HSF1-HSP90 axis enhances the expression of functional PD-L1 in oral squamous cell carcinoma.

Applications

Unspecified application

Species

Unspecified reactive species

Takashi Sasaya,Terufumi Kubo,Kenji Murata,Yuka Mizue,Kenta Sasaki,Junko Yanagawa,Makoto Imagawa,Hirotaka Kato,Tomohide Tsukahara,Takayuki Kanaseki,Yasuaki Tamura,Akihiro Miyazaki,Yoshihiko Hirohashi,Toshihiko Torigoe

Frontiers in cell and developmental biology 9:719187 PubMed34765600

2021

Transcriptional Repression of Ferritin Light Chain Increases Ferroptosis Sensitivity in Lung Adenocarcinoma.

Applications

Unspecified application

Species

Unspecified reactive species

Yikun Wang,Shiyu Qiu,Hong Wang,Jiangtao Cui,Xiaoting Tian,Yayou Miao,Congcong Zhang,Leiqun Cao,Lifang Ma,Xin Xu,Yongxia Qiao,Xiao Zhang

International journal of biological macromolecules 182:1371-1383 PubMed34004199

2021

Microalgae polysaccharides ameliorates obesity in association with modulation of lipid metabolism and gut microbiota in high-fat-diet fed C57BL/6 mice.

Applications

Unspecified application

Species

Unspecified reactive species

Wei Guo,Suqin Zhu,Shiyang Li,Yinong Feng,Haohao Wu,Mingyong Zeng

Experimental and therapeutic medicine 19:3133-3142 PubMed32256801

2020

Role of infection in chronic obstructive pulmonary disease progression in an immunosuppressed rat pneumonia model.

Applications

Unspecified application

Species

Unspecified reactive species

Ting Xue,An Chun-Li

Cellular signalling 63:109384 PubMed31394193

2019

O-GlcNAcylated c-Jun antagonizes ferroptosis via inhibiting GSH synthesis in liver cancer.

Applications

Unspecified application

Species

Unspecified reactive species

Yan Chen,Guoqing Zhu,Ya Liu,Qi Wu,Xiao Zhang,Zhixuan Bian,Yue Zhang,Qiuhui Pan,Fenyong Sun

Molecular medicine reports 20:2410-2418 PubMed31322176

2019

Bortezomib promotes apoptosis of multiple myeloma cells by regulating HSP27.

Applications

Unspecified application

Species

Unspecified reactive species

Jing Li,Xiaomei Zhang,Jiaying Shen,Jun Guo,Xiaolin Wang,Jiaqiang Liu

Investigational new drugs 38:350-359 PubMed31124054

2019

Reduced expression of annexin A1 promotes gemcitabine and 5-fluorouracil drug resistance of human pancreatic cancer.

Applications

Unspecified application

Species

Unspecified reactive species

Qing-Hua Liu,Hong-Mei Yong,Qing-Xin Zhuang,Xu-Ping Zhang,Ping-Fu Hou,Yan-Su Chen,Ming-Hua Zhu,Jin Bai

Development (Cambridge, England) 145: PubMed29180567

2018

Uhrf1 is indispensable for normal limb growth by regulating chondrocyte differentiation through specific gene expression.

Applications

Unspecified application

Species

Unspecified reactive species

Michiko Yamashita,Kazuki Inoue,Noritaka Saeki,Maky Ideta-Otsuka,Yuta Yanagihara,Yuichiro Sawada,Iori Sakakibara,Jiwon Lee,Koichi Ichikawa,Yoshiaki Kamei,Tadahiro Iimura,Katsuhide Igarashi,Yasutsugu Takada,Yuuki Imai
View all publications

Product promise

We are committed to supporting your work with high-quality reagents, and we're here for you every step of the way. In the unlikely event that one of our products does not perform as expected, you're protected by our Product Promise.
For full details, please see our Terms & Conditions

Please note: All products are 'FOR RESEARCH USE ONLY. NOT FOR USE IN DIAGNOSTIC OR THERAPEUTIC PROCEDURES'.

For licensing inquiries, please contact partnerships@abcam.com