JavaScript is disabled in your browser. Please enable JavaScript to view this website.
AB268073

Anti-Hsp27 antibody [CPTC-HSPB1-2]

Be the first to review this product! Submit a review

|

(1 Publication)

Mouse Monoclonal Hsp27 antibody. Suitable for Flow Cyt, WB, Protein Array, ICC/IF, IHC-P and reacts with Human, Recombinant full length protein - Human samples. Cited in 1 publication. Immunogen corresponding to Recombinant Full Length Protein corresponding to Human HSPB1.

View Alternative Names

HSP27, HSP28, HSPB1, Heat shock protein beta-1, HspB1, 28 kDa heat shock protein, Estrogen-regulated 24 kDa protein, Heat shock 27 kDa protein, Heat shock protein family B member 1, Stress-responsive protein 27, HSP 27, SRP27

5 Images
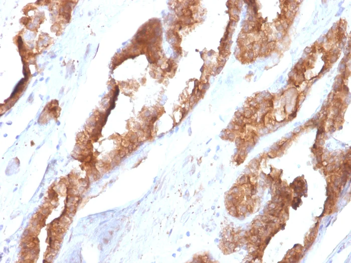
Immunohistochemistry (Formalin/PFA-fixed paraffin-embedded sections) - Anti-Hsp27 antibody [CPTC-HSPB1-2] (AB268073)
  • IHC-P

Unknown

Immunohistochemistry (Formalin/PFA-fixed paraffin-embedded sections) - Anti-Hsp27 antibody [CPTC-HSPB1-2] (AB268073)

Formalin-fixed, paraffin-embedded human Prostate tissue stained for Hsp27 using ab268073 at 2 μg/ml in immunohistochemical analysis

Immunocytochemistry/ Immunofluorescence - Anti-Hsp27 antibody [CPTC-HSPB1-2] (AB268073)
  • ICC/IF

Unknown

Immunocytochemistry/ Immunofluorescence - Anti-Hsp27 antibody [CPTC-HSPB1-2] (AB268073)

Immunofluorescence staining of PFA-fixed MCF-7 cells labeling Hsp27 with ab268073 at 2 μg/ml followed by Goat anti-Mouse IgG-CF488 (Green). The nuclear counterstain is Reddot (Red)

Flow Cytometry - Anti-Hsp27 antibody [CPTC-HSPB1-2] (AB268073)
  • Flow Cyt

Unknown

Flow Cytometry - Anti-Hsp27 antibody [CPTC-HSPB1-2] (AB268073)

Flow Cytometric analysis of PFA-fixed MCF-7 cells labelling HSp27 using ab268073 followed by Goat anti- Mouse- IgG-CF488 (Blue); Isotype Control (Red).

Protein Array - Anti-Hsp27 antibody [CPTC-HSPB1-2] (AB268073)
  • Protein Array

Unknown

Protein Array - Anti-Hsp27 antibody [CPTC-HSPB1-2] (AB268073)

Protein Array containing more than 19,000 full-length human proteins using ab268073. Z- and S- Score : The Z-score represents the strength of a signal that a monoclonal antibody (MAb) (in combination with a fluorescently-tagged anti-IgG secondary antibody) produces when binding to a particular protein on the HuProtTM array. Z-scores are described in units of standard deviations (SD's) above the mean value of all signals generated on that array. If targets on HuProtTM are arranged in descending order of the Z-score, the S-score is the difference (also in units of SD's) between the Z-score. S-score therefore represents the relative target specificity of a MAb to its intended target. A MAb is considered to be specific to its intended target, if the MAb has an S-score of at least 2.5. For example, if a MAb binds to protein X with a Z-score of 43 and to protein Y with a Z-score of 14, then the S-score for the binding of that MAb to protein X is equal to 29.

Western blot - Anti-Hsp27 antibody [CPTC-HSPB1-2] (AB268073)
  • WB

Supplier Data

Western blot - Anti-Hsp27 antibody [CPTC-HSPB1-2] (AB268073)

All lanes:

Western blot - Anti-Hsp27 antibody [CPTC-HSPB1-2] (ab268073) at 2 µg/mL

All lanes:

Human Liver tissue lysate

Predicted band size: 23 kDa

false

Key facts

Host species

Mouse

Clonality

Monoclonal

Clone number

CPTC-HSPB1-2

Isotype

IgG1

Light chain type

kappa

Carrier free

No

Reacts with

Human

Applications

WB, IHC-P, Flow Cyt, ICC/IF, Protein Array

applications

Immunogen

Recombinant Full Length Protein corresponding to Human HSPB1.

P04792

Reactivity data

{ "title": "Reactivity Data", "filters": { "stats": ["", "Species", "Dilution Info", "Notes"], "tabs": { "all-applications": {"fullname" : "All Applications", "shortname": "All Applications"}, "FlowCyt" : {"fullname" : "Flow Cytometry", "shortname":"Flow Cyt"}, "WB" : {"fullname" : "Western blot", "shortname":"WB"}, "ProteinArray" : {"fullname" : "Protein Array", "shortname":"Protein Array"}, "ICCIF" : {"fullname" : "Immunocytochemistry/ Immunofluorescence", "shortname":"ICC/IF"}, "IHCP" : {"fullname" : "Immunohistochemistry (Formalin/PFA-fixed paraffin-embedded sections)", "shortname":"IHC-P"} }, "product-promise": { "all": "all", "testedAndGuaranteed": "tested", "guaranteed": "expected", "predicted": "predicted", "notRecommended": "not-recommended" } }, "values": { "Human": { "FlowCyt-species-checked": "testedAndGuaranteed", "FlowCyt-species-dilution-info": "1-2 µg for 10^6 Cells", "FlowCyt-species-notes": "<p></p>", "WB-species-checked": "testedAndGuaranteed", "WB-species-dilution-info": "1-2 µg/mL", "WB-species-notes": "<p></p>", "ProteinArray-species-checked": "guaranteed", "ProteinArray-species-dilution-info": "", "ProteinArray-species-notes": "", "ICCIF-species-checked": "testedAndGuaranteed", "ICCIF-species-dilution-info": "1-2 µg/mL", "ICCIF-species-notes": "<p></p>", "IHCP-species-checked": "testedAndGuaranteed", "IHCP-species-dilution-info": "1-2 µg/mL", "IHCP-species-notes": "<p></p>" }, "Recombinant full length protein - Human": { "FlowCyt-species-checked": "notRecommended", "FlowCyt-species-dilution-info": "", "FlowCyt-species-notes": "", "WB-species-checked": "notRecommended", "WB-species-dilution-info": "", "WB-species-notes": "", "ProteinArray-species-checked": "testedAndGuaranteed", "ProteinArray-species-dilution-info": "", "ProteinArray-species-notes": "<p></p>", "ICCIF-species-checked": "notRecommended", "ICCIF-species-dilution-info": "", "ICCIF-species-notes": "", "IHCP-species-checked": "notRecommended", "IHCP-species-dilution-info": "", "IHCP-species-notes": "" } } }

Properties and storage information

Form
Liquid
Purification technique
Affinity purification Protein A/G
Purification notes
Purified from Bioreactor concentrate
Storage buffer
pH: 7.2 - 7.4 Preservative: 0.05% Sodium azide Constituents: PBS, 0.05% BSA
Shipped at conditions
Blue Ice
Appropriate short-term storage duration
1-2 weeks
Appropriate short-term storage conditions
+4°C
Appropriate long-term storage conditions
-20°C
Aliquoting information
Upon delivery aliquot
Storage information
Avoid freeze / thaw cycle

Supplementary information

This supplementary information is collated from multiple sources and compiled automatically.

Hsp27 also known as HSPB1 is a small heat shock protein with a molecular weight of approximately 27 kilodaltons. This protein is expressed in various tissues including muscle heart and brain. It functions as a molecular chaperone that stabilizes unfolded proteins preventing their aggregation. Hsp27 undergoes phosphorylation at specific residues which modulates its chaperone activity and interaction with other proteins.
Biological function summary

Hsp27 plays a critical role in cellular stress response by regulating actin cytoskeleton dynamics and inhibiting apoptosis. It forms part of a complex that includes other proteins such as alphaB-crystallin. This complex facilitates the reorganization of proteins under stress conditions enhancing cell survival during oxidative stress or thermal shock. Hsp27 also modulates inflammatory responses and has been shown to affect cell migration.

Pathways

Hsp27 integrates into the apoptosis and inflammation pathways. It interacts with apoptotic machinery such as caspase proteins to protect cells by hindering apoptosome formation. Additionally Hsp27 can engage with pathways involving the nuclear factor-kappa B (NF-kB) impacting inflammatory signaling. CPTC (carboxyl-pyrene-trioctylamine) can modulate these pathways by altering Hsp27 function and interactions.

Hsp27 has connections to neurodegenerative diseases and cancer. In neurodegenerative conditions such as Alzheimer's disease its chaperone activity is thought to protect neurons from misfolded protein aggregates. In cancer Hsp27 supports tumor cell survival and resistance to chemotherapy by interacting with proteins like Akt and p53. These interactions highlight the complex role of Hsp27 in modulating cellular responses in various pathological states.

Product protocols

For this product, it's our understanding that no specific protocols are required. You can visit:

Target data

Small heat shock protein which functions as a molecular chaperone probably maintaining denatured proteins in a folding-competent state (PubMed : 10383393, PubMed : 20178975). Plays a role in stress resistance and actin organization (PubMed : 19166925). Through its molecular chaperone activity may regulate numerous biological processes including the phosphorylation and the axonal transport of neurofilament proteins (PubMed : 23728742).
See full target information HSPB1

Publications (1)

Recent publications for all applications. Explore the full list and refine your search

International journal of molecular sciences 24: PubMed37895104

2023

Human Non-Small Cell Lung Cancer-Chicken Embryo Chorioallantoic Membrane Tumor Models for Experimental Cancer Treatments.

Applications

Unspecified application

Species

Unspecified reactive species

Jing Li,Tereza Brachtlova,Ida H van der Meulen-Muileman,Stijn Kleerebezem,Chang Liu,Peiyu Li,Victor W van Beusechem
View all publications

Product promise

We are committed to supporting your work with high-quality reagents, and we're here for you every step of the way. In the unlikely event that one of our products does not perform as expected, you're protected by our Product Promise.
For full details, please see our Terms & Conditions

Please note: All products are 'FOR RESEARCH USE ONLY. NOT FOR USE IN DIAGNOSTIC OR THERAPEUTIC PROCEDURES'.

For licensing inquiries, please contact partnerships@abcam.com