JavaScript is disabled in your browser. Please enable JavaScript to view this website.
AB247352

Anti-Hsp27 antibody [EP1724Y] - BSA and Azide free

  • BOND RX™ Validated
  • RabMAb
  • Recombinant
  • KO Validated
  • What is this?

Be the first to review this product! Submit a review

|

(1 Publication)

Rabbit Recombinant Monoclonal Hsp27 antibody. Carrier free. Suitable for WB, IHC-P and reacts with Human, Rat, Mouse samples. Cited in 1 publication.

View Alternative Names

HSP27, HSP28, HSPB1, Heat shock protein beta-1, HspB1, 28 kDa heat shock protein, Estrogen-regulated 24 kDa protein, Heat shock 27 kDa protein, Heat shock protein family B member 1, Stress-responsive protein 27, HSP 27, SRP27

6 Images
Immunohistochemistry (Formalin/PFA-fixed paraffin-embedded sections) - Anti-Hsp27 antibody [EP1724Y] - BSA and Azide free (AB247352)
  • IHC-P

Lab

Immunohistochemistry (Formalin/PFA-fixed paraffin-embedded sections) - Anti-Hsp27 antibody [EP1724Y] - BSA and Azide free (AB247352)

This data was developed using ab62339, the same antibody clone in a different buffer formulation.

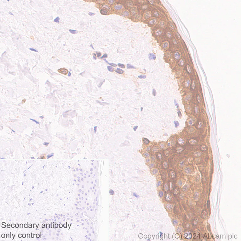
Immunohistochemical analysis of paraffin-embedded human skin labeling Hsp27 with ab62339 at 1/2000 dilution, followed by a ready to use Goat Anti-Rabbit IgG H&L (HRP).

Cytoplasmic staining on human skin.
The section was incubated with ab62339 for 30 mins at room temperature.
The immunostaining was performed on a Leica Biosystems BOND® RX instrument.

Counterstained with Hematoxylin.

Secondary antibody only control : Secondary antibody is a ready to use Goat Anti-Rabbit IgG H&L (HRP).

Heat mediated antigen retrieval was performed with Tris-EDTA buffer (pH 9.0, Epitope Retrieval Solution2) for 20 mins.

Immunohistochemistry (Formalin/PFA-fixed paraffin-embedded sections) - Anti-Hsp27 antibody [EP1724Y] - BSA and Azide free (AB247352)
  • IHC-P

Lab

Immunohistochemistry (Formalin/PFA-fixed paraffin-embedded sections) - Anti-Hsp27 antibody [EP1724Y] - BSA and Azide free (AB247352)

This data was developed using ab62339, the same antibody clone in a different buffer formulation.

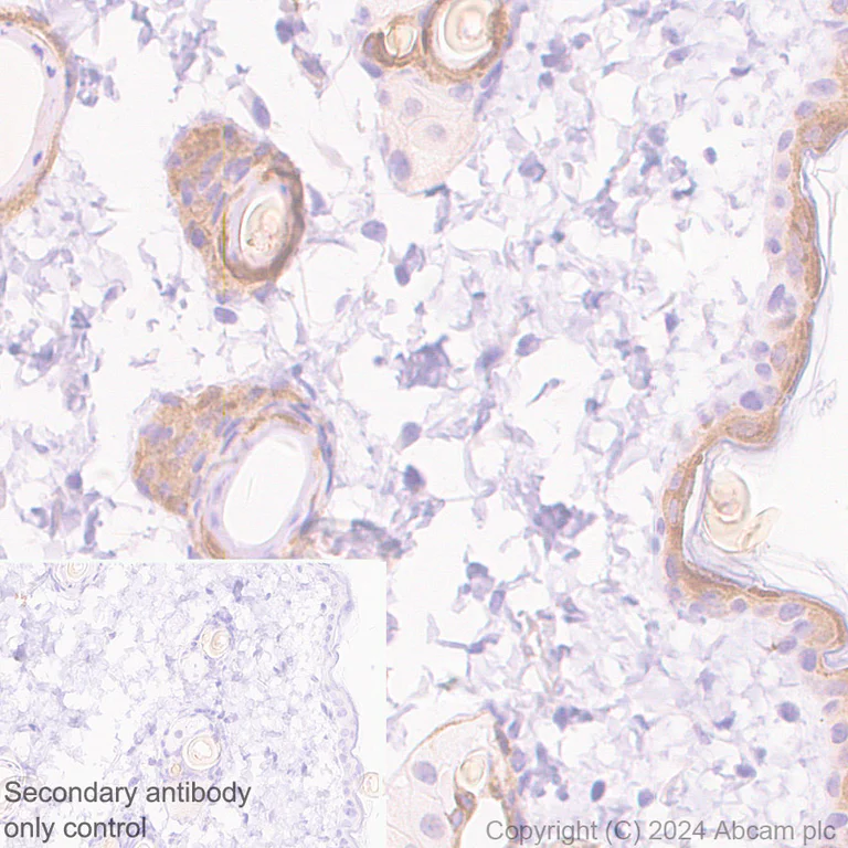
Immunohistochemical analysis of paraffin-embedded human breast cancer labeling Hsp27 with ab62339 at 1/2000 dilution, followed by a ready to use Goat Anti-Rabbit IgG H&L (HRP).

Cytoplasmic staining on human breast cancer.
The section was incubated with ab62339 for 30 mins at room temperature.
The immunostaining was performed on a Leica Biosystems BOND® RX instrument.

Counterstained with Hematoxylin.

Secondary antibody only control : Secondary antibody is a ready to use Goat Anti-Rabbit IgG H&L (HRP).

Heat mediated antigen retrieval was performed with Tris-EDTA buffer (pH 9.0, Epitope Retrieval Solution2) for 20 mins.

Immunohistochemistry (Formalin/PFA-fixed paraffin-embedded sections) - Anti-Hsp27 antibody [EP1724Y] - BSA and Azide free (AB247352)
  • IHC-P

Lab

Immunohistochemistry (Formalin/PFA-fixed paraffin-embedded sections) - Anti-Hsp27 antibody [EP1724Y] - BSA and Azide free (AB247352)

This data was developed using ab62339, the same antibody clone in a different buffer formulation.

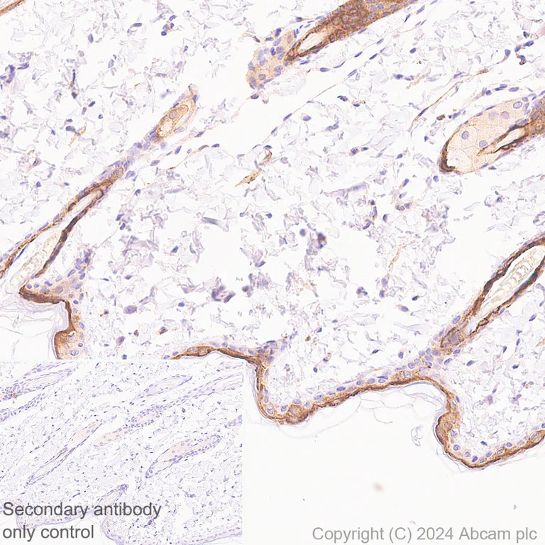
Immunohistochemical analysis of paraffin-embedded rat skin labeling Hsp27 with ab62339 at 1/2000 dilution, followed by a ready to use Goat Anti-Rabbit IgG H&L (HRP).

Cytoplasmic staining on rat skin.
The section was incubated with ab62339 for 30 mins at room temperature.
The immunostaining was performed on a Leica Biosystems BOND® RX instrument.

Counterstained with Hematoxylin.

Secondary antibody only control : Secondary antibody is a ready to use Goat Anti-Rabbit IgG H&L (HRP).

Heat mediated antigen retrieval was performed with Tris-EDTA buffer (pH 9.0, Epitope Retrieval Solution2) for 20 mins.

Immunohistochemistry (Formalin/PFA-fixed paraffin-embedded sections) - Anti-Hsp27 antibody [EP1724Y] - BSA and Azide free (AB247352)
  • IHC-P

Lab

Immunohistochemistry (Formalin/PFA-fixed paraffin-embedded sections) - Anti-Hsp27 antibody [EP1724Y] - BSA and Azide free (AB247352)

This data was developed using ab62339, the same antibody clone in a different buffer formulation.

Immunohistochemical analysis of paraffin-embedded mouse skin labeling Hsp27 with ab62339 at 1/2000 dilution, followed by a ready to use Goat Anti-Rabbit IgG H&L (HRP).

Cytoplasmic staining on mouse skin.
The section was incubated with ab62339 for 30 mins at room temperature.
The immunostaining was performed on a Leica Biosystems BOND® RX instrument.

Counterstained with Hematoxylin.

Secondary antibody only control : Secondary antibody is a ready to use Goat Anti-Rabbit IgG H&L (HRP).

Heat mediated antigen retrieval was performed with Tris-EDTA buffer (pH 9.0, Epitope Retrieval Solution2) for 20 mins.

Western blot - Anti-Hsp27 antibody [EP1724Y] - BSA and Azide free (AB247352)
  • WB

Lab

Western blot - Anti-Hsp27 antibody [EP1724Y] - BSA and Azide free (AB247352)

This data was developed using the same antibody clone in a different buffer formulation (ab62339).

Lanes 1- 2 : Merged signal (red and green). Green - ab62339 observed at 23 kDa. Red - Anti-GAPDH antibody [6C5] - Loading Control (ab8245) observed at 37 kDa.

ab62339 was shown to react with Hsp27 in wild-type HeLa cells in western blot. Loss of signal was observed when knockout cell line ab261738 (knockout cell lysate ab256945) was used. Wild-type HeLa and HSPB1 knockout HeLa cell lysates were subjected to SDS-PAGE. Membrane was blocked for 1 hour at room temperature in 0.1% TBST with 3% non-fat dried milk. ab62339 and Anti-GAPDH antibody [6C5] - Loading Control (ab8245) overnight at 4°C at a 1 in 500 Dilution and a 1 in 20000 dilution respectively. Blots were developed with Goat anti-Rabbit IgG H&L (IRDye®800CW) preadsorbed (ab216773) and Goat anti-Mouse IgG H&L (IRDye®680RD) preadsorbed (ab216776) secondary antibodies at 1 in 20000 dilution for 1 hour at room temperature before imaging.

All lanes:

Western blot - Anti-Hsp27 antibody [EP1724Y] (<a href='/en-us/products/primary-antibodies/hsp27-antibody-ep1724y-ab62339'>ab62339</a>) at 1/500 dilution

Lane 1:

Wild-type HeLa cell lysate at 20 µg

Lane 2:

HSPB1 knockout HeLa cell lysate at 20 µg

Lane 2:

Western blot - Human HSPB1 (Hsp27) knockout HeLa cell line (<a href='/en-us/products/cell-lines/human-hspb1-hsp27-knockout-hela-cell-line-ab261738'>ab261738</a>)

Predicted band size: 23 kDa

Observed band size: 23 kDa

false

Western blot - Anti-Hsp27 antibody [EP1724Y] - BSA and Azide free (AB247352)
  • WB

Lab

Western blot - Anti-Hsp27 antibody [EP1724Y] - BSA and Azide free (AB247352)

This data was developed using the same antibody clone in a different buffer formulation (ab62339).

Lanes 1 - 4 : Merged signal (red and green). Green - ab62339 observed at 27 kDa. Red - loading control, ab8245, observed at 37 kDa.

ab62339 was shown to specifically react with Hsp27 in wild-type HAP1 cells. No band was observed when Hsp27 knockout samples were used. Wild-type and Hsp27 knockout samples were subjected to SDS-PAGE. ab62339 and ab8245 (Mouse anti GAPDH loading control) were incubated overnight at 4°C at 1/500 dilution and 1/20000 dilution respectively. Blots were developed with Goat anti-Rabbit IgG H&L (IRDye® 800CW) preabsorbed ab216773 and Goat anti-Mouse IgG H&L (IRDye® 680RD) preabsorbed ab216776 secondary antibodies at 1/20000 dilution for 1 hour at room temperature before imaging.

All lanes:

Western blot - Anti-Hsp27 antibody [EP1724Y] - BSA and Azide free (ab247352) at 1/500 dilution

Lane 1:

Wild-type HAP1 whole cell lysate at 20 µg

Lane 2:

Hsp27 knockout HAP1 whole cell lysate at 20 µg

Lane 3:

HeLa whole cell lysate at 20 µg

Lane 4:

MCF7 whole cell lysate at 20 µg

Predicted band size: 23 kDa

false

Key facts

Host species

Rabbit

Clonality

Monoclonal

Clone number

EP1724Y

Isotype

IgG

Carrier free

Yes

Reacts with

Human

Applications

IHC-P, WB

applications

Immunogen

The exact immunogen used to generate this antibody is proprietary information.

Reactivity data

{ "title": "Reactivity Data", "filters": { "stats": ["", "Species", "Dilution Info", "Notes"], "tabs": { "all-applications": {"fullname" : "All Applications", "shortname": "All Applications"}, "IP" : {"fullname" : "Immunoprecipitation", "shortname":"IP"}, "FlowCyt" : {"fullname" : "Flow Cytometry", "shortname":"Flow Cyt"}, "WB" : {"fullname" : "Western blot", "shortname":"WB"}, "IHCP" : {"fullname" : "Immunohistochemistry (Formalin/PFA-fixed paraffin-embedded sections)", "shortname":"IHC-P"} }, "product-promise": { "all": "all", "testedAndGuaranteed": "tested", "guaranteed": "expected", "predicted": "predicted", "notRecommended": "not-recommended" } }, "values": { "Human": { "IP-species-checked": "notRecommended", "IP-species-dilution-info": "", "IP-species-notes": "<p></p>", "FlowCyt-species-checked": "notRecommended", "FlowCyt-species-dilution-info": "", "FlowCyt-species-notes": "<p></p>", "WB-species-checked": "testedAndGuaranteed", "WB-species-dilution-info": "", "WB-species-notes": "<p></p>", "IHCP-species-checked": "testedAndGuaranteed", "IHCP-species-dilution-info": "", "IHCP-species-notes": "<p></p>" }, "Mouse": { "IP-species-checked": "notRecommended", "IP-species-dilution-info": "", "IP-species-notes": "", "FlowCyt-species-checked": "notRecommended", "FlowCyt-species-dilution-info": "", "FlowCyt-species-notes": "", "WB-species-checked": "notRecommended", "WB-species-dilution-info": "", "WB-species-notes": "<p></p>", "IHCP-species-checked": "testedAndGuaranteed", "IHCP-species-dilution-info": "", "IHCP-species-notes": "<p></p>" }, "Rat": { "IP-species-checked": "notRecommended", "IP-species-dilution-info": "", "IP-species-notes": "", "FlowCyt-species-checked": "notRecommended", "FlowCyt-species-dilution-info": "", "FlowCyt-species-notes": "", "WB-species-checked": "guaranteed", "WB-species-dilution-info": "", "WB-species-notes": "", "IHCP-species-checked": "testedAndGuaranteed", "IHCP-species-dilution-info": "", "IHCP-species-notes": "<p></p>" } } }

Product details

ab247352 is the carrier-free version of ab62339.

Species reactivity
Mouse, Rat: We have preliminary internal testing data to indicate this antibody may not react with these species.
Please contact us for more information.

Patented technology
Our RabMAb® technology is a patented hybridoma-based technology for making rabbit monoclonal antibodies. For details on our patents, please refer to RabMAb® patents.

What are the advantages of a recombinant monoclonal antibody?
This product is a recombinant monoclonal antibody, which offers several advantages including:

  • - High batch-to-batch consistency and reproducibility
  • - Improved sensitivity and specificity
  • - Long-term security of supply
  • - Animal-free batch production

For more information, read more on recombinant antibodies.

Conjugation ready
Our carrier-free antibodies are typically supplied in a PBS-only formulation, purified and free of BSA, sodium azide and glycerol. This conjugation-ready format is designed for use with fluorochromes, metal isotopes, oligonucleotides, and enzymes, which makes them ideal for antibody labelling, functional and cell-based assays, flow-based assays (e.g. mass cytometry) and Multiplex Imaging applications.

Use our conjugation kits for antibody conjugates that are ready-to-use in as little as 20 minutes with 1 minute hands-on-time and 100% antibody recovery: available for fluorescent dyes, HRP, biotin and gold.

Compatibility
This product is compatible with the Maxpar® Antibody Labeling Kit from Fluidigm, without the need for antibody preparation. Maxpar® is a trademark of Fluidigm Canada Inc.

Properties and storage information

Form
Liquid
Purification technique
Affinity purification Protein A
Storage buffer
pH: 7.2 - 7.4 Constituents: PBS
Shipped at conditions
Blue Ice
Appropriate short-term storage conditions
+4°C
Appropriate long-term storage conditions
+4°C
Storage information
Do Not Freeze

Supplementary information

This supplementary information is collated from multiple sources and compiled automatically.

Hsp27 also known as HSPB1 is a small heat shock protein with a molecular weight of approximately 27 kilodaltons. This protein is expressed in various tissues including muscle heart and brain. It functions as a molecular chaperone that stabilizes unfolded proteins preventing their aggregation. Hsp27 undergoes phosphorylation at specific residues which modulates its chaperone activity and interaction with other proteins.
Biological function summary

Hsp27 plays a critical role in cellular stress response by regulating actin cytoskeleton dynamics and inhibiting apoptosis. It forms part of a complex that includes other proteins such as alphaB-crystallin. This complex facilitates the reorganization of proteins under stress conditions enhancing cell survival during oxidative stress or thermal shock. Hsp27 also modulates inflammatory responses and has been shown to affect cell migration.

Pathways

Hsp27 integrates into the apoptosis and inflammation pathways. It interacts with apoptotic machinery such as caspase proteins to protect cells by hindering apoptosome formation. Additionally Hsp27 can engage with pathways involving the nuclear factor-kappa B (NF-kB) impacting inflammatory signaling. CPTC (carboxyl-pyrene-trioctylamine) can modulate these pathways by altering Hsp27 function and interactions.

Hsp27 has connections to neurodegenerative diseases and cancer. In neurodegenerative conditions such as Alzheimer's disease its chaperone activity is thought to protect neurons from misfolded protein aggregates. In cancer Hsp27 supports tumor cell survival and resistance to chemotherapy by interacting with proteins like Akt and p53. These interactions highlight the complex role of Hsp27 in modulating cellular responses in various pathological states.

Product protocols

For this product, it's our understanding that no specific protocols are required. You can visit:

Target data

Small heat shock protein which functions as a molecular chaperone probably maintaining denatured proteins in a folding-competent state (PubMed : 10383393, PubMed : 20178975). Plays a role in stress resistance and actin organization (PubMed : 19166925). Through its molecular chaperone activity may regulate numerous biological processes including the phosphorylation and the axonal transport of neurofilament proteins (PubMed : 23728742).
See full target information HSPB1

Publications (1)

Recent publications for all applications. Explore the full list and refine your search

Journal of orthopaedic surgery and research 18:477 PubMed37393232

2023

CircTBX5 knockdown modulates the miR-558/MyD88 axis to alleviate IL-1β-induced inflammation, apoptosis and extracellular matrix degradation in chondrocytes via inactivating the NF-κB signaling.

Applications

Unspecified application

Species

Unspecified reactive species

Wei Wei,Hongjie Mu,Qiaoyi Cui,Peng Yu,Tong Liu,Tao Wang,Lin Sheng
View all publications

Product promise

We are committed to supporting your work with high-quality reagents, and we're here for you every step of the way. In the unlikely event that one of our products does not perform as expected, you're protected by our Product Promise.
For full details, please see our Terms & Conditions

Please note: All products are 'FOR RESEARCH USE ONLY. NOT FOR USE IN DIAGNOSTIC OR THERAPEUTIC PROCEDURES'.

For licensing inquiries, please contact partnerships@abcam.com