JavaScript is disabled in your browser. Please enable JavaScript to view this website.
AB2790

Anti-Hsp27 antibody [G3.1]

5

(6 Reviews)

|

(61 Publications)

Mouse Recombinant Monoclonal Hsp27 antibody. Suitable for WB, IHC-P, ICC/IF and reacts with Human samples. Cited in 61 publications. Immunogen corresponding to Native Full Length Protein corresponding to Human HSPB1.

View Alternative Names

HSP27, HSP28, HSPB1, Heat shock protein beta-1, HspB1, 28 kDa heat shock protein, Estrogen-regulated 24 kDa protein, Heat shock 27 kDa protein, Heat shock protein family B member 1, Stress-responsive protein 27, HSP 27, SRP27

3 Images
Immunocytochemistry/ Immunofluorescence - Anti-Hsp27 antibody [G3.1] (AB2790)
  • ICC/IF

Lab

Immunocytochemistry/ Immunofluorescence - Anti-Hsp27 antibody [G3.1] (AB2790)

Immunofluorescent analysis of 4% Paraformaldehyde-fixed, 0.1% TritonX-100 permeabilized HeLa cells labelling Hsp27 with ab2790 at 1/100 dilution, followed by AlexaFluor® 488-conjugated Goat anti-Mouse secondary antibody (ab150113) at 1/1000 dilution at RT for 45 min. ab179513 Anti-beta Tubulin, used as a counterstain at 1/200 dilution, was co-incubated with ab9509 overnight at 4° C, followed by Alexa Fluor® 594 Goat Anti-Rabbit secondary (ab150080) at 1/1000 dilution at RT for 45 min. Nucleus were visualized using DAPI.

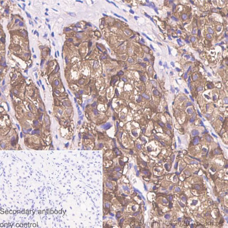
Immunohistochemistry (Formalin/PFA-fixed paraffin-embedded sections) - Anti-Hsp27 antibody [G3.1] (AB2790)
  • IHC-P

Lab

Immunohistochemistry (Formalin/PFA-fixed paraffin-embedded sections) - Anti-Hsp27 antibody [G3.1] (AB2790)

Immunohistochemical analysis of paraffin-embedded human tissues labeling Hsp27 with ab2790 at 1/1000 dilution followed by Goat Anti-Mouse IgG H&L (HRP polymer) (ab214879). The section was incubated with ab2790 for 30 mins at room temperature. The immunostaining was performed on a Leica Biosystems BOND® RX instrument. Counterstained with hematoxylin.

Western blot - Anti-Hsp27 antibody [G3.1] (AB2790)
  • WB

Lab

Western blot - Anti-Hsp27 antibody [G3.1] (AB2790)

Blocking and diluting buffer and concentration : 5% NFDM/TBST.

All lanes:

Western blot - Anti-Hsp27 antibody [G3.1] (ab2790) at 1/1000 dilution

Lane 1:

Human liver tissue lysate at 20 µg

Lane 2:

Human heart tissue lysate at 20 µg

Lane 3:

HeLa (human cervix adenocarcinoma epithelial cell) whole cell lysate at 20 µg

Lane 4:

549 (Human lung carcinoma epithelial cell) whole cell lysate at 20 µg

false

Key facts

Host species

Mouse

Clonality

Monoclonal

Clone number

G3.1

Isotype

IgG1

Carrier free

No

Reacts with

Human

Applications

ICC/IF, WB, IHC-P

applications

Immunogen

Native Full Length Protein corresponding to Human HSPB1.

P04792

Reactivity data

{ "title": "Reactivity Data", "filters": { "stats": ["", "Species", "Dilution Info", "Notes"], "tabs": { "all-applications": {"fullname" : "All Applications", "shortname": "All Applications"}, "WB" : {"fullname" : "Western blot", "shortname":"WB"}, "IHCP" : {"fullname" : "Immunohistochemistry (Formalin/PFA-fixed paraffin-embedded sections)", "shortname":"IHC-P"}, "ICCIF" : {"fullname" : "Immunocytochemistry/ Immunofluorescence", "shortname":"ICC/IF"} }, "product-promise": { "all": "all", "testedAndGuaranteed": "tested", "guaranteed": "expected", "predicted": "predicted", "notRecommended": "not-recommended" } }, "values": { "Human": { "WB-species-checked": "testedAndGuaranteed", "WB-species-dilution-info": "1/1000", "WB-species-notes": "<p></p>", "IHCP-species-checked": "testedAndGuaranteed", "IHCP-species-dilution-info": "1/1000", "IHCP-species-notes": "<p></p>", "ICCIF-species-checked": "testedAndGuaranteed", "ICCIF-species-dilution-info": "1/100", "ICCIF-species-notes": "<p></p>" } } }

Product details

This product has switched from a hybridoma to recombinant production method on 1st November 2024.

What are the advantages of a recombinant monoclonal antibody?
This product is a recombinant monoclonal antibody, which offers several advantages including:

  • - High batch-to-batch consistency and reproducibility
  • - Improved sensitivity and specificity
  • - Long-term security of supply
  • - Animal-free batch production

For more information, read more on recombinant antibodies.

Properties and storage information

Form
Liquid
Purification technique
Affinity purification Protein A
Storage buffer
pH: 7.2 - 7.4 Preservative: 0.01% Sodium azide Constituents: PBS, 40% Glycerol (glycerin, glycerine), 0.05% BSA
Shipped at conditions
Blue Ice
Appropriate short-term storage duration
1-2 weeks
Appropriate short-term storage conditions
+4°C
Appropriate long-term storage conditions
-20°C
Aliquoting information
Upon delivery aliquot
Storage information
Avoid freeze / thaw cycle

Supplementary information

This supplementary information is collated from multiple sources and compiled automatically.

Hsp27 also known as HSPB1 is a small heat shock protein with a molecular weight of approximately 27 kilodaltons. This protein is expressed in various tissues including muscle heart and brain. It functions as a molecular chaperone that stabilizes unfolded proteins preventing their aggregation. Hsp27 undergoes phosphorylation at specific residues which modulates its chaperone activity and interaction with other proteins.
Biological function summary

Hsp27 plays a critical role in cellular stress response by regulating actin cytoskeleton dynamics and inhibiting apoptosis. It forms part of a complex that includes other proteins such as alphaB-crystallin. This complex facilitates the reorganization of proteins under stress conditions enhancing cell survival during oxidative stress or thermal shock. Hsp27 also modulates inflammatory responses and has been shown to affect cell migration.

Pathways

Hsp27 integrates into the apoptosis and inflammation pathways. It interacts with apoptotic machinery such as caspase proteins to protect cells by hindering apoptosome formation. Additionally Hsp27 can engage with pathways involving the nuclear factor-kappa B (NF-kB) impacting inflammatory signaling. CPTC (carboxyl-pyrene-trioctylamine) can modulate these pathways by altering Hsp27 function and interactions.

Hsp27 has connections to neurodegenerative diseases and cancer. In neurodegenerative conditions such as Alzheimer's disease its chaperone activity is thought to protect neurons from misfolded protein aggregates. In cancer Hsp27 supports tumor cell survival and resistance to chemotherapy by interacting with proteins like Akt and p53. These interactions highlight the complex role of Hsp27 in modulating cellular responses in various pathological states.

Product protocols

For this product, it's our understanding that no specific protocols are required. You can visit:

Target data

Small heat shock protein which functions as a molecular chaperone probably maintaining denatured proteins in a folding-competent state (PubMed : 10383393, PubMed : 20178975). Plays a role in stress resistance and actin organization (PubMed : 19166925). Through its molecular chaperone activity may regulate numerous biological processes including the phosphorylation and the axonal transport of neurofilament proteins (PubMed : 23728742).
See full target information HSPB1

Publications (61)

Recent publications for all applications. Explore the full list and refine your search

Cell death & disease 16:409 PubMed40399264

2025

Asb10 accelerates pathological cardiac remodeling by stabilizing HSP70.

Applications

Unspecified application

Species

Unspecified reactive species

Ke Lin,Wenjie Wei,Songzan Chen,Yingchao Gong,Xingchen Wang,Meihui Wang,Ran Li,Yanbo Zhao,Shengjie Xu,Chongying Jin,Chenyang Jiang,Guosheng Fu,Qinfeng Li

Cardiovascular diabetology 24:211 PubMed40369521

2025

Dysregulated inflammation, oxidative stress, and protein quality control in diabetic HFpEF: unraveling mechanisms and therapeutic targets.

Applications

Unspecified application

Species

Unspecified reactive species

Simin Delalat,Innas Sultana,Hersh Osman,Marcel Sieme,Saltanat Zhazykbayeva,Melissa Herwig,Heidi Budde,Árpád Kovács,Mustafa Kaçmaz,Eda Göztepe,Natalie Borgmann,Gelareh Shahriari,Benjamin Sasko,Jan Wintrich,Peter Haldenwang,Wolfgang E Schmidt,Wiebke Fenske,Muchtiar Khan,Kornelia Jaquet,Andreas Mügge,Domokos Máthé,Viktória E Tóth,Zoltán V Varga,Péter Ferdinandy,Ibrahim El-Battrawy,Loek van Heerebeek,Nazha Hamdani

Frontiers in oncology 14:1433256 PubMed39717750

2024

Neuroblastoma response to RAS-MAPK inhibitors and APR-246 (eprenetapopt) co-treatment is dependent on SLC7A11.

Applications

Unspecified application

Species

Unspecified reactive species

Vid Mlakar,Ina Oehme,Laurence Lesne,Sara Najafi,Marc Ansari,Fabienne Gumy-Pause

Foods (Basel, Switzerland) 13: PubMed39335893

2024

Role of Heat-Shock Proteins in the Determination of Postmortem Metabolism and Meat Quality Development of DFD Meat.

Applications

Unspecified application

Species

Unspecified reactive species

Muawuz Ijaz,Xin Li,Chengli Hou,Zubair Hussain,Dequan Zhang

International journal of molecular sciences 25: PubMed38892076

2024

Anti-HMGB1 mAb Therapy Reduces Epidural Hematoma Injury.

Applications

Unspecified application

Species

Unspecified reactive species

Shangze Gao,Dengli Wang,Keyue Liu,Yasuko Tomono,Li Fu,Yuan Gao,Yohei Takahashi,Mariko Yata,Masahiro Nishibori

Environmental toxicology 39:4156-4170 PubMed38661247

2024

STUB1 promotes the degradation of HSPB1 and induces ferroptosis in lung cancer cells.

Applications

Unspecified application

Species

Unspecified reactive species

Aishanjiang Tieliwaerdi,Abudu Aini,Mulatijiang Amuti,Yiliyaer Aierken,Maimaitijiang Nijiati,Bo Luo

International journal of molecular sciences 24: PubMed37834400

2023

Diaphragm Fatigue in SMNΔ7 Mice and Its Molecular Determinants: An Underestimated Issue.

Applications

Unspecified application

Species

Unspecified reactive species

Francesca Cadile,Deborah Recchia,Massimiliano Ansaldo,Paola Rossi,Giorgia Rastelli,Simona Boncompagni,Lorenza Brocca,Maria Antonietta Pellegrino,Monica Canepari

Frontiers in oncology 13:1067179 PubMed37675221

2023

Evaluating the expression of heat shock protein 27 and topoisomerase II α in a retrospective cohort of patients diagnosed with locally advanced breast cancer and treated with neoadjuvant anthracycline-based chemotherapies.

Applications

Unspecified application

Species

Unspecified reactive species

Yixuan Zhuang,Fan Zhang,Yue Xu,Lifang He,Wenhe Huang,Chaoqun Hong,Yukun Cui

Nature communications 14:4092 PubMed37433777

2023

Immunoproteasome-specific subunit PSMB9 induction is required to regulate cellular proteostasis upon mitochondrial dysfunction.

Applications

Unspecified application

Species

Unspecified reactive species

Minji Kim,Remigiusz A Serwa,Lukasz Samluk,Ida Suppanz,Agata Kodroń,Tomasz M Stępkowski,Praveenraj Elancheliyan,Biniyam Tsegaye,Silke Oeljeklaus,Michal Wasilewski,Bettina Warscheid,Agnieszka Chacinska

The Journal of biological chemistry 299:103019 PubMed36791913

2023

Saturated fatty acid- and/or monounsaturated fatty acid-containing phosphatidic acids selectively interact with heat shock protein 27.

Applications

Unspecified application

Species

Unspecified reactive species

Naoto Yachida,Fumi Hoshino,Chiaki Murakami,Masayuki Ebina,Yuri Miura,Fumio Sakane
View all publications

Product promise

We are committed to supporting your work with high-quality reagents, and we're here for you every step of the way. In the unlikely event that one of our products does not perform as expected, you're protected by our Product Promise.
For full details, please see our Terms & Conditions

Please note: All products are 'FOR RESEARCH USE ONLY. NOT FOR USE IN DIAGNOSTIC OR THERAPEUTIC PROCEDURES'.

For licensing inquiries, please contact partnerships@abcam.com