JavaScript is disabled in your browser. Please enable JavaScript to view this website.
AB317707

Anti-Hsp27 antibody [RM1148]

  • BOND RX™ Validated
  • 20ul selling size
  • RabMAb
  • KO Validated
  • Recombinant
  • What is this?

Be the first to review this product! Submit a review

|

(0 Publication)

Knockout Tested Rabbit Recombinant Multiclonal Hsp27 antibody. Suitable for Flow Cyt (Intra), ICC/IF, IHC-P, IP, WB and reacts with Human, Mouse, Rat samples.

View Alternative Names

HSP27, HSP28, HSPB1, Heat shock protein beta-1, HspB1, 28 kDa heat shock protein, Estrogen-regulated 24 kDa protein, Heat shock 27 kDa protein, Heat shock protein family B member 1, Stress-responsive protein 27, HSP 27, SRP27

16 Images
Immunohistochemistry (Formalin/PFA-fixed paraffin-embedded sections) - Anti-Hsp27 antibody [RM1148] (AB317707)
  • IHC-P

Supplier Data

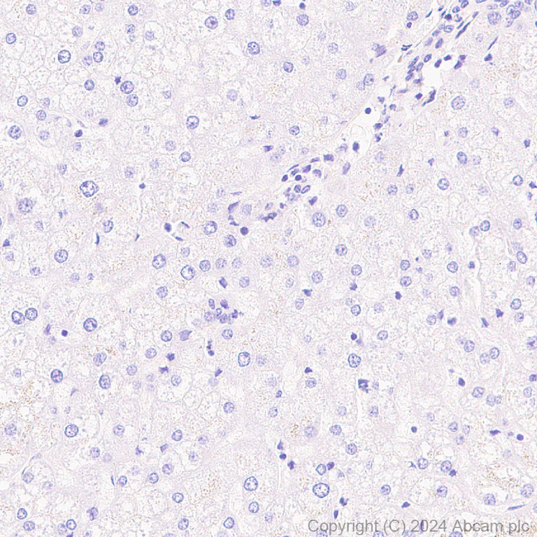
Immunohistochemistry (Formalin/PFA-fixed paraffin-embedded sections) - Anti-Hsp27 antibody [RM1148] (AB317707)

Immunohistochemical analysis of paraffin-embedded Human liver tissue labeling Hsp27 with ab317707 at 1/2000 (0.243 ug/ml) dilution, followed by a ready to use LeicaDS9800 (Bond™ Polymer Refine Detection).

Low expression : no staining on human liver. The section was incubated with ab317707 for 30 mins at room temperature.
The immunostaining was performed on a Leica Biosystems BOND® RX instrument

Counterstained with Hematoxylin.

Secondary antibody only control : Secondary antibody is a ready to use LeicaDS9800 (Bond™ Polymer Refine Detection).

Heat mediated antigen retrieval was performed with Tris-EDTA buffer (pH 9.0, Epitope Retrieval Solution2) for 20 mins

Immunohistochemistry (Formalin/PFA-fixed paraffin-embedded sections) - Anti-Hsp27 antibody [RM1148] (AB317707)
  • IHC-P

Supplier Data

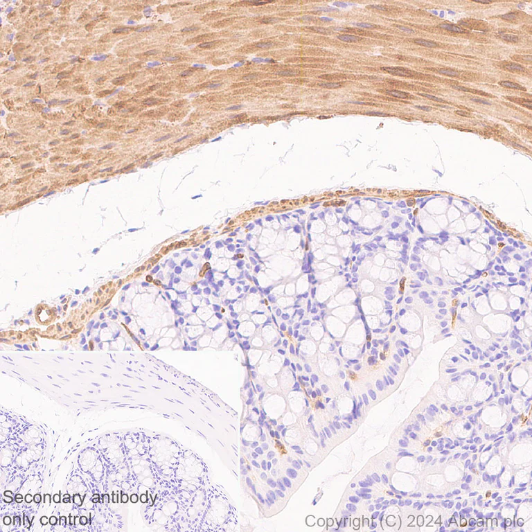
Immunohistochemistry (Formalin/PFA-fixed paraffin-embedded sections) - Anti-Hsp27 antibody [RM1148] (AB317707)

Immunohistochemical analysis of paraffin-embedded Human stomach tissue labeling Hsp27 with ab317707 at 1/2000 (0.243 ug/ml) dilution, followed by a ready to use LeicaDS9800 (Bond™ Polymer Refine Detection).

Positive staining on smooth muscle in human stomach. The section was incubated with ab317707 for 30 mins at room temperature.
The immunostaining was performed on a Leica Biosystems BOND® RX instrument

Counterstained with Hematoxylin.

Secondary antibody only control : Secondary antibody is a ready to use LeicaDS9800 (Bond™ Polymer Refine Detection).

Heat mediated antigen retrieval was performed with Tris-EDTA buffer (pH 9.0, Epitope Retrieval Solution2) for 20 mins

Immunocytochemistry/ Immunofluorescence - Anti-Hsp27 antibody [RM1148] (AB317707)
  • ICC/IF

Supplier Data

Immunocytochemistry/ Immunofluorescence - Anti-Hsp27 antibody [RM1148] (AB317707)

Immunofluorescent analysis of 4% Paraformaldehyde-fixed, 0.1% TritonX-100 permeabilized HSPB1 KO HAP1 (HSPB1 knockout human chronic myelogenous leukemia near-haploid cell) cells labelling Hsp27 with ab317707 at 1/500 (0.97 ug/ml) dilution, followed by ab150081 Goat Anti-Rabbit IgG H&L (Alexa Fluor® 488) preadsorbed antibody at 1/1000 2 ug/ml dilution (Green).

Confocal image displaying cytoplasmic staining in wildtype HAP1 cells, and no staining in HSPB1 knockout HAP1 cells (shown in green). The counterstain was observed in magenta. Nuclear DNA was labeled with DAPI (shown in blue).
Image was taken with a confocal microscope(Leica-Microsystems, TCS SP8).

ab195889 Anti-alpha Tubulin mouse monoclonal antibody - Microtubule Marker (Alexa Fluor® 594) was used to counterstain tubulin at 1/200 2.5ug/ml dilution (Magenta). The Nuclear counterstain was DAPI (Blue).

Secondary antibody only control : Secondary antibody is ab150081 Goat Anti-Rabbit IgG H&L (Alexa Fluor® 488) preadsorbed at 1/1000 2 ug/ml dilution.

Flow Cytometry (Intracellular) - Anti-Hsp27 antibody [RM1148] (AB317707)
  • Flow Cyt (Intra)

Supplier Data

Flow Cytometry (Intracellular) - Anti-Hsp27 antibody [RM1148] (AB317707)

Flow cytometric analysis of 4% paraformaldehyde fixed 90% methanol permeabilized parental HAP1(human chronic myelogenous leukemia near-haploid cell, Left) / HSPB1 knockout HAP1(Right) cells labelling Hsp27 with ab317707 at 1/5000 dilution (0.01 ug)/Red (Red) compared with a Rabbit monoclonal IgG (ab172730) (Black) isotype control and an unlabelled control (cells without incubation with primary antibody and secondary antibody) (Blue).

Goat Anti-Rabbit IgG (Alexa Fluor® 488, ab150081) at 1/5000 dilution was used as the secondary antibody.

Immunoprecipitation - Anti-Hsp27 antibody [RM1148] (AB317707)
  • IP

Supplier Data

Immunoprecipitation - Anti-Hsp27 antibody [RM1148] (AB317707)

Hsp27 was immunoprecipitated from 0.35 mg HeLa (human cervical adenocarcinoma epithelial cell) whole cell lysate with ab317707 at 1/30 dilution (2ug in 0.35mg lysates). Western blot was performed on the immunoprecipitate using ab317707 at 1/1000 dilution. VeriBlot for IP secondary antibody(HRP)(ab131366) was used at 1/5000 dilution.

Lane 1 : HeLa (human cervical adenocarcinoma epithelial cell) whole cell lysate
Lane 2 : ab317707 IP in HeLa (human cervical adenocarcinoma epithelial cell) whole cell lysate
Lane 3 : Rabbit monoclonal IgG (ab172730) instead of ab317707 in HeLa whole cell lysate

All lanes:

Immunoprecipitation - Anti-Hsp27 antibody [RM1148] (ab317707) at 1/30 dilution

All lanes:

HeLa (human cervical adenocarcinoma epithelial cell) whole cell lysate

Secondary

All lanes:

Immunoprecipitation - VeriBlot for IP Detection Reagent (HRP) (<a href='/en-us/products/reagents/veriblot-for-ip-detection-reagent-hrp-ab131366'>ab131366</a>) at 1/5000 dilution

false

Exposure time: 3s

Immunohistochemistry (Formalin/PFA-fixed paraffin-embedded sections) - Anti-Hsp27 antibody [RM1148] (AB317707)
  • IHC-P

Supplier Data

Immunohistochemistry (Formalin/PFA-fixed paraffin-embedded sections) - Anti-Hsp27 antibody [RM1148] (AB317707)

Immunohistochemical analysis of paraffin-embedded Mouse colon tissue labeling Hsp27 with ab317707 at 1/4000 (0.121 ug/ml) dilution, followed by a ready to use LeicaDS9800 (Bond™ Polymer Refine Detection).

Positive staining on smooth muscle in mouse colon. The section was incubated with ab317707 for 30 mins at room temperature.
The immunostaining was performed on a Leica Biosystems BOND® RX instrument

Counterstained with Hematoxylin.

Secondary antibody only control : Secondary antibody is a ready to use LeicaDS9800 (Bond™ Polymer Refine Detection).

Heat mediated antigen retrieval was performed with Tris-EDTA buffer (pH 9.0, Epitope Retrieval Solution2) for 20 mins

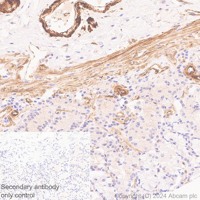
Immunohistochemistry (Formalin/PFA-fixed paraffin-embedded sections) - Anti-Hsp27 antibody [RM1148] (AB317707)
  • IHC-P

Supplier Data

Immunohistochemistry (Formalin/PFA-fixed paraffin-embedded sections) - Anti-Hsp27 antibody [RM1148] (AB317707)

Immunohistochemical analysis of paraffin-embedded Rat liver tissue labeling Hsp27 with ab317707 at 1/4000 (0.121 ug/ml) dilution, followed by a ready to use LeicaDS9800 (Bond™ Polymer Refine Detection).

Low expression : weak staining on vascular smooth muscle in rat liver. The section was incubated with ab317707 for 30 mins at room temperature.
The immunostaining was performed on a Leica Biosystems BOND® RX instrument

Counterstained with Hematoxylin.

Secondary antibody only control : Secondary antibody is a ready to use LeicaDS9800 (Bond™ Polymer Refine Detection).

Heat mediated antigen retrieval was performed with Tris-EDTA buffer (pH 9.0, Epitope Retrieval Solution2) for 20 mins

Immunohistochemistry (Formalin/PFA-fixed paraffin-embedded sections) - Anti-Hsp27 antibody [RM1148] (AB317707)
  • IHC-P

Supplier Data

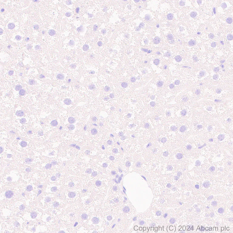
Immunohistochemistry (Formalin/PFA-fixed paraffin-embedded sections) - Anti-Hsp27 antibody [RM1148] (AB317707)

Immunohistochemical analysis of paraffin-embedded Mouse liver tissue labeling Hsp27 with ab317707 at 1/4000 (0.121 ug/ml) dilution, followed by a ready to use LeicaDS9800 (Bond™ Polymer Refine Detection).

Low expression : no staining on mouse liver. The section was incubated with ab317707 for 30 mins at room temperature.
The immunostaining was performed on a Leica Biosystems BOND® RX instrument

Counterstained with Hematoxylin.

Secondary antibody only control : Secondary antibody is a ready to use LeicaDS9800 (Bond™ Polymer Refine Detection).

Heat mediated antigen retrieval was performed with Tris-EDTA buffer (pH 9.0, Epitope Retrieval Solution2) for 20 mins

Immunocytochemistry/ Immunofluorescence - Anti-Hsp27 antibody [RM1148] (AB317707)
  • ICC/IF

Supplier Data

Immunocytochemistry/ Immunofluorescence - Anti-Hsp27 antibody [RM1148] (AB317707)

Immunofluorescent analysis of 4% Paraformaldehyde-fixed, 0.1% TritonX-100 permeabilized C2C12 (mouse myoblast) cells labelling Hsp27 with ab317707 at 1/500 (0.97 ug/ml) dilution, followed by ab150081 Goat Anti-Rabbit IgG H&L (Alexa Fluor® 488) preadsorbed antibody at 1/1000 2 ug/ml dilution (Green).

Confocal image showing cytoplasmic staining in C2C12 cells (shown in green). The counterstain was observed in magenta. Nuclear DNA was labeled with DAPI (shown in blue).
Image was taken with a confocal microscope(Leica-Microsystems, TCS SP8).

ab195889 Anti-alpha Tubulin mouse monoclonal antibody - Microtubule Marker (Alexa Fluor® 594) was used to counterstain tubulin at 1/200 2.5ug/ml dilution (Magenta). The Nuclear counterstain was DAPI (Blue).

Secondary antibody only control : Secondary antibody is ab150081 Goat Anti-Rabbit IgG H&L (Alexa Fluor® 488) preadsorbed at 1/1000 2 ug/ml dilution.

Immunohistochemistry (Formalin/PFA-fixed paraffin-embedded sections) - Anti-Hsp27 antibody [RM1148] (AB317707)
  • IHC-P

Supplier Data

Immunohistochemistry (Formalin/PFA-fixed paraffin-embedded sections) - Anti-Hsp27 antibody [RM1148] (AB317707)

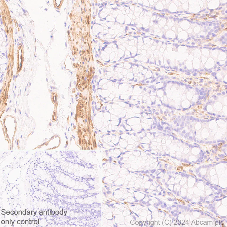
Immunohistochemical analysis of paraffin-embedded Rat colon tissue labeling Hsp27 with ab317707 at 1/4000 (0.121 ug/ml) dilution, followed by a ready to use LeicaDS9800 (Bond™ Polymer Refine Detection).

Positive staining on smooth muscle in rat colon. The section was incubated with ab317707 for 30 mins at room temperature.
The immunostaining was performed on a Leica Biosystems BOND® RX instrument

Counterstained with Hematoxylin.

Secondary antibody only control : Secondary antibody is a ready to use LeicaDS9800 (Bond™ Polymer Refine Detection).

Heat mediated antigen retrieval was performed with Tris-EDTA buffer (pH 9.0, Epitope Retrieval Solution2) for 20 mins

Immunocytochemistry/ Immunofluorescence - Anti-Hsp27 antibody [RM1148] (AB317707)
  • ICC/IF

Supplier Data

Immunocytochemistry/ Immunofluorescence - Anti-Hsp27 antibody [RM1148] (AB317707)

Immunofluorescent analysis of 4% Paraformaldehyde-fixed, 0.1% TritonX-100 permeabilized PC-12 (rat adrenal gland pheochromocytoma cell) cells labelling Hsp27 with ab317707 at 1/500 (0.97 ug/ml) dilution, followed by ab150081 Goat Anti-Rabbit IgG H&L (Alexa Fluor® 488) preadsorbed antibody at 1/1000 2 ug/ml dilution (Green).

Confocal image showing cytoplasmic staining in PC-12 cells (shown in green). The counterstain was observed in magenta. Nuclear DNA was labeled with DAPI (shown in blue).
Image was taken with a confocal microscope(Leica-Microsystems, TCS SP8).

ab195889 Anti-alpha Tubulin mouse monoclonal antibody - Microtubule Marker (Alexa Fluor® 594) was used to counterstain tubulin at 1/200 2.5ug/ml dilution (Magenta). The Nuclear counterstain was DAPI (Blue).

Secondary antibody only control : Secondary antibody is ab150081 Goat Anti-Rabbit IgG H&L (Alexa Fluor® 488) preadsorbed at 1/1000 2 ug/ml dilution.

Immunoprecipitation - Anti-Hsp27 antibody [RM1148] (AB317707)
  • IP

Supplier Data

Immunoprecipitation - Anti-Hsp27 antibody [RM1148] (AB317707)

Hsp27 was immunoprecipitated from 0.35 mg PC-12 (rat adrenal gland pheochromocytoma cell) whole cell lysate with ab317707 at 1/30 dilution (2ug in 0.35mg lysates). Western blot was performed on the immunoprecipitate using ab317707 at 1/1000 dilution. VeriBlot for IP secondary antibody(HRP)(ab131366) was used at 1/5000 dilution.

Lane 1 : PC-12 (rat adrenal gland pheochromocytoma cell) whole cell lysate
Lane 2 : ab317707 IP in PC-12 (rat adrenal gland pheochromocytoma cell) whole cell lysate
Lane 3 : Rabbit monoclonal IgG (ab172730) instead of ab317707 in PC-12 whole cell lysate

All lanes:

Immunoprecipitation - Anti-Hsp27 antibody [RM1148] (ab317707) at 1/30 dilution

All lanes:

PC-12 (rat adrenal gland pheochromocytoma cell) whole cell lysate

Secondary

All lanes:

Immunoprecipitation - VeriBlot for IP Detection Reagent (HRP) (<a href='/en-us/products/reagents/veriblot-for-ip-detection-reagent-hrp-ab131366'>ab131366</a>) at 1/5000 dilution

false

Exposure time: 10s

Immunoprecipitation - Anti-Hsp27 antibody [RM1148] (AB317707)
  • IP

Supplier Data

Immunoprecipitation - Anti-Hsp27 antibody [RM1148] (AB317707)

Hsp27 was immunoprecipitated from 0.35 mg C2C12 (mouse myoblast) whole cell lysate with ab317707 at 1/30 dilution (2ug in 0.35mg lysates). Western blot was performed on the immunoprecipitate using ab317707 at 1/1000 dilution. VeriBlot for IP secondary antibody(HRP)(ab131366) was used at 1/5000 dilution.

Lane 1 : C2C12 (mouse myoblast) whole cell lysate
Lane 2 : ab317707 IP in C2C12 (mouse myoblast) whole cell lysate
Lane 3 : Rabbit monoclonal IgG (ab172730) instead of ab317707 in C2C12 whole cell lysate

All lanes:

Immunoprecipitation - Anti-Hsp27 antibody [RM1148] (ab317707) at 1/30 dilution

All lanes:

C2C12 (mouse myoblast) whole cell lysate

Secondary

All lanes:

Immunoprecipitation - VeriBlot for IP Detection Reagent (HRP) (<a href='/en-us/products/reagents/veriblot-for-ip-detection-reagent-hrp-ab131366'>ab131366</a>) at 1/5000 dilution

false

Exposure time: 3s

Western blot - Anti-Hsp27 antibody [RM1148] (AB317707)
  • WB

Supplier Data

Western blot - Anti-Hsp27 antibody [RM1148] (AB317707)

Low expression : brain, cerebellum.

The expression molecular weight observed is consistent with what has been described in the literature (PMID : 36690850 and PMID : 26675522).

In Western blot, Anti-GAPDH antibody [EPR16891] - Loading Control (ab181602) staining at 1/200000 dilution.

All lanes:

Western blot - Anti-Hsp27 antibody [RM1148] (ab317707) at 1/1000 dilution

Lane 1:

Mouse brain tissue lysate at 20 µg

Lane 2:

Rat brain tissue lysate at 20 µg

Lane 3:

Mouse colon tissue lysate at 20 µg

Lane 4:

Mouse heart tissue lysate at 20 µg

Lane 5:

Rat heart tissue lysate at 20 µg

Lane 6:

Rat colon tissue lysate at 20 µg

Lane 7:

Human cerebellum tissue lysate at 20 µg

Lane 8:

Human colon tissue lysate at 20 µg

Lane 9:

C2C12 (mouse myoblast) whole cell lysate at 20 µg

Secondary

All lanes:

Western blot - Goat Anti-Rabbit IgG H&L (HRP) (<a href='/en-us/products/secondary-antibodies/goat-rabbit-igg-h-l-hrp-ab97051'>ab97051</a>) at 1/100000 dilution

Observed band size: 23 kDa,27 kDa,36 kDa

false

Exposure time: 37s

Western blot - Anti-Hsp27 antibody [RM1148] (AB317707)
  • WB

Supplier Data

Western blot - Anti-Hsp27 antibody [RM1148] (AB317707)

The samples were run on a Bis-Tris gel under reducing conditions.

Western blot : Anti-Hsp27 antibody (ab317707) staining at 1/1000 dilution, shown in green; Mouse anti-GAPDH antibody [6C5](ab8245) loading control staining at 1/20000 dilution, shown in red.

In Western blot, ab317707 was shown to bind specifically to Hsp27. Target of interest was observed at 23-27 kDa in wild-type HAP1 cell lysates (lane 1) with no signal observed at this size in Hsp27 knockout cell line (lane 2). To generate this image, samples were first run on an SDS-PAGE gel then transferred onto an immobilon-FL PVDF membrane. Membranes were blocked in a fluorescent western blot (TBS-based) blocking solution before incubation with primary antibodies overnight at 4 °C. Blots were washed in TBS-T, incubated with secondary antibodies Goat anti-Rabbit IgG H&L 800CW and Goat anti-Mouse IgG H&L 680RD at 1/20000 dilution for 1 h at room temperature, washed again then imaged.

The expression molecular weight observed is consistent with what has been described in the literature (PMID : 36690850 and PMID : 26675522).

All lanes:

Western blot - Anti-Hsp27 antibody [RM1148] (ab317707) at 1/1000 dilution

Lane 1:

Wild-type HAP1 (human chronic myelogenous leukemia near-haploid cell) whole cell lysate at 20 µg

Lane 2:

HSPB1 knockout HAP1 whole cell lysate at 20 µg

Lane 3:

HeLa (human cervical adenocarcinoma epithelial cell) whole cell lysate at 20 µg

Lane 4:

MCF7 (human breast adenocarcinoma epithelial cell) whole cell lysate at 20 µg

Secondary

All lanes:

Goat Anti-Rabbit IgG H&L (800CW) and Goat Anti-Mouse IgG H&L (680RD) at 1/20000 dilution

Observed band size: 23 kDa,27 kDa

false

Exposure time: 180s

Western blot - Anti-Hsp27 antibody [RM1148] (AB317707)
  • WB

Supplier Data

Western blot - Anti-Hsp27 antibody [RM1148] (AB317707)

All lanes:

Western blot - Anti-Hsp27 antibody [RM1148] (ab317707) at 1/1000 dilution

All lanes:

PC-12 (rat adrenal gland pheochromocytoma cell) whole cell lysate at 20 µg

Secondary

All lanes:

Western blot - Goat Anti-Rabbit IgG H&L (HRP) (<a href='/en-us/products/secondary-antibodies/goat-rabbit-igg-h-l-hrp-ab97051'>ab97051</a>) at 1/100000 dilution

Observed band size: 23 kDa

false

Exposure time: 81s

  • Carrier free

    Anti-Hsp27 antibody [EPR23938-256] - BSA and Azide free (Capture)

  • Carrier free

    Anti-Hsp27 antibody [RM1148] - BSA and Azide free

  • Carrier free

    Anti-Hsp27 antibody [EPR18371-107] - BSA and Azide free (Detector)

Key facts

Host species

Rabbit

Clonality

Multiclonal

Clone number

RM1148

Isotype

IgG

Carrier free

No

Reacts with

Human, Mouse, Rat

Applications

Flow Cyt (Intra), IP, WB, IHC-P, ICC/IF

applications

Immunogen

The exact immunogen used to generate this antibody is proprietary information.

Reactivity data

{ "title": "Reactivity Data", "filters": { "stats": ["", "Species", "Dilution Info", "Notes"], "tabs": { "all-applications": {"fullname" : "All Applications", "shortname": "All Applications"}, "FlowCytIntra" : {"fullname" : "Flow Cytometry (Intracellular)", "shortname":"Flow Cyt (Intra)"}, "ICCIF" : {"fullname" : "Immunocytochemistry/ Immunofluorescence", "shortname":"ICC/IF"}, "IHCP" : {"fullname" : "Immunohistochemistry (Formalin/PFA-fixed paraffin-embedded sections)", "shortname":"IHC-P"}, "IP" : {"fullname" : "Immunoprecipitation", "shortname":"IP"}, "WB" : {"fullname" : "Western blot", "shortname":"WB"} }, "product-promise": { "all": "all", "testedAndGuaranteed": "tested", "guaranteed": "expected", "predicted": "predicted", "notRecommended": "not-recommended" } }, "values": { "Human": { "FlowCytIntra-species-checked": "testedAndGuaranteed", "FlowCytIntra-species-dilution-info": "1/5000", "FlowCytIntra-species-notes": "<p></p>", "ICCIF-species-checked": "testedAndGuaranteed", "ICCIF-species-dilution-info": "1/500", "ICCIF-species-notes": "<p></p>", "IHCP-species-checked": "testedAndGuaranteed", "IHCP-species-dilution-info": "1/2000", "IHCP-species-notes": "<p></p> Perform heat-mediated antigen retrieval with Tris/EDTA buffer pH 9.0 before commencing with IHC staining protocol.", "IP-species-checked": "testedAndGuaranteed", "IP-species-dilution-info": "1/30", "IP-species-notes": "<p></p>", "WB-species-checked": "testedAndGuaranteed", "WB-species-dilution-info": "1/1000", "WB-species-notes": "<p></p>" }, "Mouse": { "FlowCytIntra-species-checked": "guaranteed", "FlowCytIntra-species-dilution-info": "", "FlowCytIntra-species-notes": "", "ICCIF-species-checked": "testedAndGuaranteed", "ICCIF-species-dilution-info": "1/500", "ICCIF-species-notes": "<p></p>", "IHCP-species-checked": "testedAndGuaranteed", "IHCP-species-dilution-info": "1/4000", "IHCP-species-notes": "<p></p> Perform heat-mediated antigen retrieval with Tris/EDTA buffer pH 9.0 before commencing with IHC staining protocol.", "IP-species-checked": "testedAndGuaranteed", "IP-species-dilution-info": "1/30", "IP-species-notes": "<p></p>", "WB-species-checked": "testedAndGuaranteed", "WB-species-dilution-info": "1/1000", "WB-species-notes": "<p></p>" }, "Rat": { "FlowCytIntra-species-checked": "guaranteed", "FlowCytIntra-species-dilution-info": "", "FlowCytIntra-species-notes": "", "ICCIF-species-checked": "testedAndGuaranteed", "ICCIF-species-dilution-info": "1/500", "ICCIF-species-notes": "<p></p>", "IHCP-species-checked": "testedAndGuaranteed", "IHCP-species-dilution-info": "1/4000", "IHCP-species-notes": "<p></p> Perform heat-mediated antigen retrieval with Tris/EDTA buffer pH 9.0 before commencing with IHC staining protocol.", "IP-species-checked": "testedAndGuaranteed", "IP-species-dilution-info": "1/30", "IP-species-notes": "<p></p>", "WB-species-checked": "testedAndGuaranteed", "WB-species-dilution-info": "1/1000", "WB-species-notes": "<p></p>" } } }

Product details

What are recombinant multiclonals?
Recombinant multiclonals are a mixture of recombinant antibodies co-expressed from a library of heavy and light chains. They offer several advantages including:

  • - The sensitivity of polyclonal antibodies by recognising multiple epitopes
  • - High batch-to-batch consistency and reproducibility
  • - Improved sensitivity and specificity
  • - Long-term security of supply
  • - Animal-free batch production

View our range of recombinant multiclonal antibodies.

Patented technology
Our RabMAb® technology is a patented hybridoma-based technology for making rabbit monoclonal antibodies. For details on our patents, please refer to RabMAb® patents.

Properties and storage information

Form
Liquid
Purification technique
Affinity purification Protein A
Storage buffer
pH: 7.2 - 7.4 Preservative: 0.01% Sodium azide Constituents: PBS, 40% Glycerol (glycerin, glycerine), 0.05% BSA
Shipped at conditions
Blue Ice
Appropriate short-term storage duration
1-2 weeks
Appropriate short-term storage conditions
+4°C
Appropriate long-term storage conditions
-20°C
Aliquoting information
Upon delivery aliquot
Storage information
Avoid freeze / thaw cycle

Supplementary information

This supplementary information is collated from multiple sources and compiled automatically.

Hsp27 also known as HSPB1 is a small heat shock protein with a molecular weight of approximately 27 kilodaltons. This protein is expressed in various tissues including muscle heart and brain. It functions as a molecular chaperone that stabilizes unfolded proteins preventing their aggregation. Hsp27 undergoes phosphorylation at specific residues which modulates its chaperone activity and interaction with other proteins.
Biological function summary

Hsp27 plays a critical role in cellular stress response by regulating actin cytoskeleton dynamics and inhibiting apoptosis. It forms part of a complex that includes other proteins such as alphaB-crystallin. This complex facilitates the reorganization of proteins under stress conditions enhancing cell survival during oxidative stress or thermal shock. Hsp27 also modulates inflammatory responses and has been shown to affect cell migration.

Pathways

Hsp27 integrates into the apoptosis and inflammation pathways. It interacts with apoptotic machinery such as caspase proteins to protect cells by hindering apoptosome formation. Additionally Hsp27 can engage with pathways involving the nuclear factor-kappa B (NF-kB) impacting inflammatory signaling. CPTC (carboxyl-pyrene-trioctylamine) can modulate these pathways by altering Hsp27 function and interactions.

Hsp27 has connections to neurodegenerative diseases and cancer. In neurodegenerative conditions such as Alzheimer's disease its chaperone activity is thought to protect neurons from misfolded protein aggregates. In cancer Hsp27 supports tumor cell survival and resistance to chemotherapy by interacting with proteins like Akt and p53. These interactions highlight the complex role of Hsp27 in modulating cellular responses in various pathological states.

Product protocols

For this product, it's our understanding that no specific protocols are required. You can visit:

Target data

Small heat shock protein which functions as a molecular chaperone probably maintaining denatured proteins in a folding-competent state (PubMed : 10383393, PubMed : 20178975). Plays a role in stress resistance and actin organization (PubMed : 19166925). Through its molecular chaperone activity may regulate numerous biological processes including the phosphorylation and the axonal transport of neurofilament proteins (PubMed : 23728742).
See full target information HSPB1

Product promise

We are committed to supporting your work with high-quality reagents, and we're here for you every step of the way. In the unlikely event that one of our products does not perform as expected, you're protected by our Product Promise.
For full details, please see our Terms & Conditions

Please note: All products are 'FOR RESEARCH USE ONLY. NOT FOR USE IN DIAGNOSTIC OR THERAPEUTIC PROCEDURES'.

For licensing inquiries, please contact partnerships@abcam.com