JavaScript is disabled in your browser. Please enable JavaScript to view this website.
AB5478

Anti-Hsp60 antibody [4B9/89] - Mitochondrial Marker

Be the first to review this product! Submit a review

|

(4 Publications)

Mouse Monoclonal Hsp60 antibody. Suitable for IHC-P, IP, Flow Cyt, WB, ICC/IF and reacts with Human, Mouse samples. Cited in 4 publications. Immunogen corresponding to Full Length Protein corresponding to Human HSPD1.

View Alternative Names

HSP60, HSPD1, 60 kDa chaperonin, Chaperonin 60, Heat shock protein 60, Heat shock protein family D member 1, HuCHA60, Mitochondrial matrix protein P1, P60 lymphocyte protein, CPN60, HSP-60, Hsp60

12 Images
Immunocytochemistry/ Immunofluorescence - Anti-Hsp60 antibody [4B9/89] - Mitochondrial Marker (AB5478)
  • ICC/IF

Supplier Data

Immunocytochemistry/ Immunofluorescence - Anti-Hsp60 antibody [4B9/89] - Mitochondrial Marker (AB5478)

Immunocytochemistry/Immunofluorescence analysis of Hsp60 (green) in HeLa cells. Formalin fixed cells were permeabilized with 0.1% Triton X-100 in TBS for 10 minutes at room temperature and blocked with 1% Blocker BSA for 15 minutes at room temperature. Cells were probed with (left panel) or without (right panel) ab5478 at a dilution of 1 : 50 for at least 1 hour at room temperature, washed with PBS, and incubated with DyLight 488 goat-anti-mouse IgG secondary antibody at a dilution of 1 : 400 for 30 minutes at room temperature. F-Actin (red) was stained with Dylight 554 phalloidin, and nuclei (blue) were stained with Hoechst 33342 dye. Images were taken at 20X magnification.

Immunocytochemistry/ Immunofluorescence - Anti-Hsp60 antibody [4B9/89] - Mitochondrial Marker (AB5478)
  • ICC/IF

Supplier Data

Immunocytochemistry/ Immunofluorescence - Anti-Hsp60 antibody [4B9/89] - Mitochondrial Marker (AB5478)

Immunocytochemistry/Immunofluorescence analysis of Hsp60 in A2058 Cells. Hsp60 staining (green), F-Actin staining with Phalloidin (red) and nuclei with DAPI (blue) is shown. Cells were grown on chamber slides and fixed with formaldehyde prior to staining. Cells were probed without (control) or with ab5478 at a dilution of 1 : 200 over night at 4 °C, washed with PBS and incubated with a DyLight-488 conjugated goat anti-mouse IgG secondary antibody. Images were taken at 60X magnification.

Flow Cytometry - Anti-Hsp60 antibody [4B9/89] - Mitochondrial Marker (AB5478)
  • Flow Cyt

Supplier Data

Flow Cytometry - Anti-Hsp60 antibody [4B9/89] - Mitochondrial Marker (AB5478)

Flow cytometry analysis of HSP60 was done on HeLa cells. Cells were fixed, permeabilized and stained with a HSP60 mouse monoclonal antibody (orange histogram) or a mouse IgG2a isotype control (black histogram) at a dilution of 10 μg/mL. After incubation for 1 hour on ice, the cells were labeled with a Goat anti-Mouse IgG Secondary Antibody, DyLight 650 conjugate at 1/50 dilution for 1 hour on ice. A representative 10,000 cells were acquired and analyzed for each sample.

Immunocytochemistry/ Immunofluorescence - Anti-Hsp60 antibody [4B9/89] - Mitochondrial Marker (AB5478)
  • ICC/IF

Unknown

Immunocytochemistry/ Immunofluorescence - Anti-Hsp60 antibody [4B9/89] - Mitochondrial Marker (AB5478)

Immunolocalization of Hsp 60 in human endothelial cells using ab5478.

Immunohistochemistry (Formalin/PFA-fixed paraffin-embedded sections) - Anti-Hsp60 antibody [4B9/89] - Mitochondrial Marker (AB5478)
  • IHC-P

Supplier Data

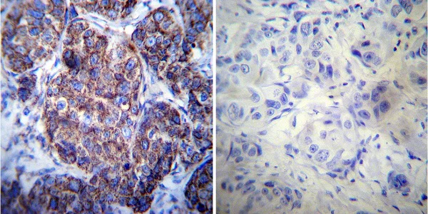
Immunohistochemistry (Formalin/PFA-fixed paraffin-embedded sections) - Anti-Hsp60 antibody [4B9/89] - Mitochondrial Marker (AB5478)

Immunohistochemistry was performed on both normal and cancer biopsies of deparaffinized human Breast carcinoma tissue. To expose target proteins, heat induced antigen retrieval was performed using 10mM sodium citrate (pH6.0) buffer, microwaved for 8-15 minutes. Following antigen retrieval tissues were blocked in 3% BSA-PBS for 30 minutes at room temperature. Tissues were then probed at a dilution of 1 : 50 with a mouse monoclonal antibody recognizing Heat Shock Protein 60 (ab5478) or without primary antibody (negative control) overnight at 4°C in a humidified chamber. Tissues were washed extensively with PBST and endogenous peroxidase activity was quenched with a peroxidase suppressor. Detection was performed using a biotin-conjugated secondary antibody and SA-HRP, followed by colorimetric detection using DAB. Tissues were counterstained with hematoxylin and prepped for mounting.

Immunocytochemistry/ Immunofluorescence - Anti-Hsp60 antibody [4B9/89] - Mitochondrial Marker (AB5478)
  • ICC/IF

Supplier Data

Immunocytochemistry/ Immunofluorescence - Anti-Hsp60 antibody [4B9/89] - Mitochondrial Marker (AB5478)

Immunocytochemistry/Immunofluorescence analysis of Hsp60 in Hela Cells. Hsp60 staining (green), F-Actin staining with Phalloidin (red) and nuclei with DAPI (blue) is shown. Cells were grown on chamber slides and fixed with formaldehyde prior to staining. Cells were incubated without (control) or with ab5478 at a dilution of 1 : 100 over night at 4°C, washed with PBS and incubated with a DyLight-488 conjugated goat anti-mouse secondary antibody. Images were taken at 60X magnification.

Immunohistochemistry (Formalin/PFA-fixed paraffin-embedded sections) - Anti-Hsp60 antibody [4B9/89] - Mitochondrial Marker (AB5478)
  • IHC-P

Unknown

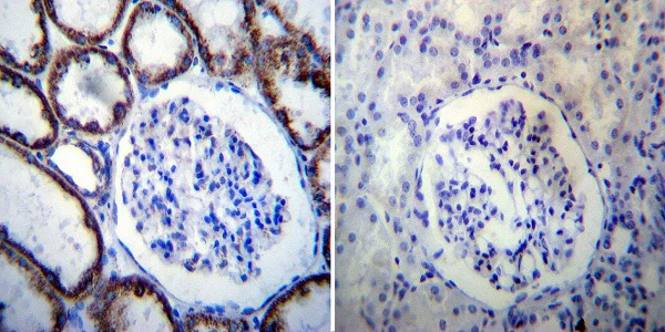
Immunohistochemistry (Formalin/PFA-fixed paraffin-embedded sections) - Anti-Hsp60 antibody [4B9/89] - Mitochondrial Marker (AB5478)

Immunohistochemistry was performed on both normal and cancer biopsies of deparaffinized human Kidney tissue. To expose target proteins, heat induced antigen retrieval was performed using 10mM sodium citrate (pH6.0) buffer, microwaved for 8-15 minutes. Following antigen retrieval tissues were blocked in 3% BSA-PBS for 30 minutes at room temperature. Tissues were then probed at a dilution of 1 : 100 with a mouse monoclonal antibody recognizing Heat Shock Protein 60 (ab5478) or without primary antibody (negative control) overnight at 4°C in a humidified chamber. Tissues were washed extensively with PBST and endogenous peroxidase activity was quenched with a peroxidase suppressor. Detection was performed using a biotin-conjugated secondary antibody and SA-HRP, followed by colorimetric detection using DAB. Tissues were counterstained with hematoxylin and prepped for mounting.

Immunohistochemistry (Formalin/PFA-fixed paraffin-embedded sections) - Anti-Hsp60 antibody [4B9/89] - Mitochondrial Marker (AB5478)
  • IHC-P

Supplier Data

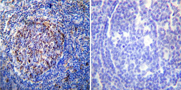
Immunohistochemistry (Formalin/PFA-fixed paraffin-embedded sections) - Anti-Hsp60 antibody [4B9/89] - Mitochondrial Marker (AB5478)

Immunohistochemistry was performed on both normal and cancer biopsies of deparaffinized human Tonsil tissue. To expose target proteins, heat induced antigen retrieval was performed using 10mM sodium citrate (pH6.0) buffer, microwaved for 8-15 minutes. Following antigen retrieval tissues were blocked in 3% BSA-PBS for 30 minutes at room temperature. Tissues were then probed at a dilution of 1 : 100 with a mouse monoclonal antibody recognizing Heat Shock Protein 60 (ab5478) or without primary antibody (negative control) overnight at 4°C in a humidified chamber. Tissues were washed extensively with PBST and endogenous peroxidase activity was quenched with a peroxidase suppressor. Detection was performed using a biotin-conjugated secondary antibody and SA-HRP, followed by colorimetric detection using DAB. Tissues were counterstained with hematoxylin and prepped for mounting.

Immunocytochemistry/ Immunofluorescence - Anti-Hsp60 antibody [4B9/89] - Mitochondrial Marker (AB5478)
  • ICC/IF

Supplier Data

Immunocytochemistry/ Immunofluorescence - Anti-Hsp60 antibody [4B9/89] - Mitochondrial Marker (AB5478)

Immunocytochemistry/Immunofluorescence analysis of Hsp60 (green) in HeLa and NIH3T3 cells. Formalin fixed cells were permeabilized with 0.1% Triton X-100 in TBS for 10 minutes at room temperature and blocked with 1% Blocker BSA for 15 minutes at room temperature. Cells were probed with ab5478 at a dilution of 1 : 50 for at least 1 hour at room temperature, washed with PBS, and incubated with DyLight 488 goat-anti-mouse IgG secondary antibody at a dilution of 1 : 400 for 30 minutes at room temperature. Nuclei (blue) were stained with Hoechst 33342 dye. Images were taken at 20X magnification.

Immunoprecipitation - Anti-Hsp60 antibody [4B9/89] - Mitochondrial Marker (AB5478)
  • IP

Unknown

Immunoprecipitation - Anti-Hsp60 antibody [4B9/89] - Mitochondrial Marker (AB5478)

Immunoprecipitation of Hsp60 was performed on HeLa cells. Antigen : antibody complexes were formed by incubating 500μg whole cell lysate with 2μg of HSP60 monoclonal antibody (ab5478) overnight on a rocking platform at 4°C. The immune complexes were captured on 50μl Protein Agarose washed extensively and eluted with Buffer. Samples were then resolved on a 4-20% Tris-HCl polyacrylamide gel then transferred to a PVDF membrane and blocked with 5% BSA/TBST for at least 1 hour. The membrane was probed with a HSP60 monoclonal antibody (ab5478) at a dilution of 1 : 1000 overnight rotating at 4°C, washed in TBSTand probed with Detection Reagent (HRP) at a dilution of 1 : 1000 for at least one hour. Chemiluminescent detection was performed.

All lanes:

Immunoprecipitation - Anti-Hsp60 antibody [4B9/89] - Mitochondrial Marker (ab5478)

Predicted band size: 61 kDa

false

Immunocytochemistry/ Immunofluorescence - Anti-Hsp60 antibody [4B9/89] - Mitochondrial Marker (AB5478)
  • ICC/IF

Supplier Data

Immunocytochemistry/ Immunofluorescence - Anti-Hsp60 antibody [4B9/89] - Mitochondrial Marker (AB5478)

Immunocytochemistry/Immunofluorescence analysis of Hsp60 in ATDC5 Cells. Hsp60 staining (green), F-Actin staining with Phalloidin (red) and nuclei with DAPI (blue) is shown. Cells were grown on chamber slides and fixed with formaldehyde prior to staining. Cells were incubated without (control) or with ab5478 at a dilution of 1 : 100 over night at 4°C, washed with PBS and incubated with a DyLight-488 conjugated goat anti-mouse IgG secondary antibody. Images were taken at 60X magnification.

Western blot - Anti-Hsp60 antibody [4B9/89] - Mitochondrial Marker (AB5478)
  • WB

Supplier Data

Western blot - Anti-Hsp60 antibody [4B9/89] - Mitochondrial Marker (AB5478)

All lanes:

Western blot - Anti-Hsp60 antibody [4B9/89] - Mitochondrial Marker (ab5478) at 1/1000 dilution

Lane 1:

293T cell lysate at 50 µg

Lane 2:

HeLa cell lysate at 50 µg

Lane 3:

K562 cell lysate at 50 µg

Lane 4:

A431 cell lysate at 50 µg

Lane 5:

HepG2 cell lysate at 50 µg

Secondary

All lanes:

HRP-conjugated goat anti-mouse IgG at 1/20000 dilution

Predicted band size: 61 kDa

false

Key facts

Host species

Mouse

Clonality

Monoclonal

Clone number

4B9/89

Isotype

IgG2a

Carrier free

No

Reacts with

Mouse, Human

Applications

IHC-P, Flow Cyt, ICC/IF, IP, WB

applications

Immunogen

Full Length Protein corresponding to Human HSPD1. The exact immunogen used to generate this antibody is proprietary information.

P10809

Epitope

Epitope mapping studies using human Hsp 60 deletion mutants suggest that this antibody binds either between amino acids 335-366 or 484-547.

Reactivity data

{ "title": "Reactivity Data", "filters": { "stats": ["", "Species", "Dilution Info", "Notes"], "tabs": { "all-applications": {"fullname" : "All Applications", "shortname": "All Applications"}, "IHCP" : {"fullname" : "Immunohistochemistry (Formalin/PFA-fixed paraffin-embedded sections)", "shortname":"IHC-P"}, "IP" : {"fullname" : "Immunoprecipitation", "shortname":"IP"}, "FlowCyt" : {"fullname" : "Flow Cytometry", "shortname":"Flow Cyt"}, "WB" : {"fullname" : "Western blot", "shortname":"WB"}, "ICCIF" : {"fullname" : "Immunocytochemistry/ Immunofluorescence", "shortname":"ICC/IF"} }, "product-promise": { "all": "all", "testedAndGuaranteed": "tested", "guaranteed": "expected", "predicted": "predicted", "notRecommended": "not-recommended" } }, "values": { "Human": { "IHCP-species-checked": "testedAndGuaranteed", "IHCP-species-dilution-info": "1/200", "IHCP-species-notes": "<p></p>", "IP-species-checked": "testedAndGuaranteed", "IP-species-dilution-info": "0.5-2 µg/mg of lysate", "IP-species-notes": "<p></p>", "FlowCyt-species-checked": "testedAndGuaranteed", "FlowCyt-species-dilution-info": "1-20 µg/mL", "FlowCyt-species-notes": "<p></p>", "WB-species-checked": "testedAndGuaranteed", "WB-species-dilution-info": "1/100 - 1/1000", "WB-species-notes": "<p>Detects a band of approximately 60 kDa representing Hsp 60 from human blood samples.</p>", "ICCIF-species-checked": "testedAndGuaranteed", "ICCIF-species-dilution-info": "1/50 - 1/60", "ICCIF-species-notes": "<p></p>" }, "Mouse": { "IHCP-species-checked": "guaranteed", "IHCP-species-dilution-info": "", "IHCP-species-notes": "", "IP-species-checked": "guaranteed", "IP-species-dilution-info": "", "IP-species-notes": "", "FlowCyt-species-checked": "guaranteed", "FlowCyt-species-dilution-info": "", "FlowCyt-species-notes": "", "WB-species-checked": "guaranteed", "WB-species-dilution-info": "", "WB-species-notes": "", "ICCIF-species-checked": "testedAndGuaranteed", "ICCIF-species-dilution-info": "1/50 - 1/60", "ICCIF-species-notes": "<p></p>" } } }

Properties and storage information

Form
Liquid
Purification technique
Affinity purification Protein A
Storage buffer
Constituents: PBS
Shipped at conditions
Blue Ice
Appropriate short-term storage duration
1-2 weeks
Appropriate short-term storage conditions
+4°C
Appropriate long-term storage conditions
-20°C
Aliquoting information
Upon delivery aliquot
Storage information
Avoid freeze / thaw cycle

Supplementary information

This supplementary information is collated from multiple sources and compiled automatically.

Hsp60 also known as HSPD1 and heat shock protein 60 is a significant chaperonin with a molecular weight of approximately 60 kDa. It resides predominantly in the mitochondria and functions to assist in the proper folding of proteins preventing their aggregation. Hsp60 is expressed mainly in cells with high metabolic activity. Its presence as a mitochondrial marker highlights its essential role in maintaining cellular homeostasis and function.
Biological function summary

The protein ensures mitochondrial protein stability by facilitating the refolding of misfolded proteins and cooperating with other chaperonins like Hsp10. Hsp60 participates in forming a complex with these proteins to create a conducive environment for protein folding. It plays a part in regulating mitochondrial homeostasis impacting cell survival and apoptosis processes.

Pathways

Hsp60 links to the ATP synthesis and apoptosis pathways showcasing its importance as a mitochondrial marker. It interacts with proteins like caspase-3 to modulate cell death mechanisms highlighting its influence beyond simple protein folding. In the ATP synthesis pathway it contributes indirectly to energy production by maintaining mitochondrial function.

Hsp60 shows a connection to neurodegenerative diseases and cancer. Altered Hsp60 levels correlate with increased apoptosis in neurodegenerative conditions like Alzheimer's disease. Additionally in cancer interactions with proteins such as AKT suggest its potential role in cell proliferation and survival. Understanding its role could aid in the development of therapeutic interventions targeting mitochondrial dysfunction.

Product protocols

For this product, it's our understanding that no specific protocols are required. You can visit:

Target data

Chaperonin implicated in mitochondrial protein import and macromolecular assembly. Together with Hsp10, facilitates the correct folding of imported proteins. May also prevent misfolding and promote the refolding and proper assembly of unfolded polypeptides generated under stress conditions in the mitochondrial matrix (PubMed : 11422376, PubMed : 1346131). The functional units of these chaperonins consist of heptameric rings of the large subunit Hsp60, which function as a back-to-back double ring. In a cyclic reaction, Hsp60 ring complexes bind one unfolded substrate protein per ring, followed by the binding of ATP and association with 2 heptameric rings of the co-chaperonin Hsp10. This leads to sequestration of the substrate protein in the inner cavity of Hsp60 where, for a certain period of time, it can fold undisturbed by other cell components. Synchronous hydrolysis of ATP in all Hsp60 subunits results in the dissociation of the chaperonin rings and the release of ADP and the folded substrate protein (Probable).
See full target information HSPD1

Publications (4)

Recent publications for all applications. Explore the full list and refine your search

The Journal of clinical investigation 134: PubMed38950333

2024

Autoimmunity to stromal-derived autoantigens in rheumatoid ectopic germinal centers exacerbates arthritis and affects clinical response.

Applications

Unspecified application

Species

Unspecified reactive species

Elisa Corsiero,Mattia Caliste,Lucas Jagemann,Liliane Fossati-Jimack,Katriona Goldmann,Cankut Cubuk,Giulia M Ghirardi,Edoardo Prediletto,Felice Rivellese,Cristiano Alessandri,Mark Hopkinson,Behzad Javaheri,Andrew A Pitsillides,Myles J Lewis,Costantino Pitzalis,Michele Bombardieri

Experimental and therapeutic medicine 12:2759-2765 PubMed27698781

2016

Expression and location of HSP60 and HSP10 in the heart tissue of heat-stressed rats.

Applications

IHC

Species

Rat

Yanfen Cheng,Jiarui Sun,Hongbo Chen,Abdelnasir Adam,Shu Tang,Nicole Kemper,Jörg Hartung,Endong Bao

BMC biology 11:107 PubMed24131868

2013

Requirement for integrin-linked kinase in neural crest migration and differentiation and outflow tract morphogenesis.

Applications

IHC-P

Species

Unspecified reactive species

Xiuqin Dai,Weijian Jiang,Qingquan Zhang,Lian Xu,Peng Geng,Shaowei Zhuang,Brian G Petrich,Cizhong Jiang,Luying Peng,Shoumo Bhattacharya,Sylvia M Evans,Yunfu Sun,Ju Chen,Xingqun Liang

Circulation research 100:527-35 PubMed17272814

2007

Pinch1 is required for normal development of cranial and cardiac neural crest-derived structures.

Applications

IHC-P

Species

Mouse

Xingqun Liang,Yunfu Sun,Jurgen Schneider,Jian-Hua Ding,Hongqiang Cheng,Maoqing Ye,Shoumo Bhattacharya,Ann Rearden,Sylvia Evans,Ju Chen
View all publications

Product promise

We are committed to supporting your work with high-quality reagents, and we're here for you every step of the way. In the unlikely event that one of our products does not perform as expected, you're protected by our Product Promise.
For full details, please see our Terms & Conditions

Please note: All products are 'FOR RESEARCH USE ONLY. NOT FOR USE IN DIAGNOSTIC OR THERAPEUTIC PROCEDURES'.

For licensing inquiries, please contact partnerships@abcam.com