JavaScript is disabled in your browser. Please enable JavaScript to view this website.
AB234295

Anti-Hsp60 antibody [rGROEL/780] - BSA free

Be the first to review this product! Submit a review

|

(1 Publication)

Mouse Recombinant Monoclonal Hsp60 antibody. Suitable for IHC-P and reacts with Human samples. Cited in 1 publication. Immunogen corresponding to Recombinant Full Length Protein corresponding to Human HSPD1.

View Alternative Names

HSP60, HSPD1, 60 kDa chaperonin, Chaperonin 60, Heat shock protein 60, Heat shock protein family D member 1, HuCHA60, Mitochondrial matrix protein P1, P60 lymphocyte protein, CPN60, HSP-60, Hsp60

1 Images
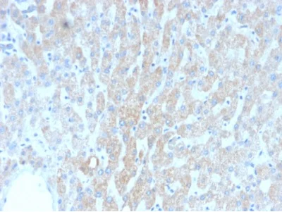
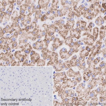
Immunohistochemistry (Formalin/PFA-fixed paraffin-embedded sections) - Anti-Hsp60 antibody [rGROEL/780] - BSA free (AB234295)
  • IHC-P

Supplier Data

Immunohistochemistry (Formalin/PFA-fixed paraffin-embedded sections) - Anti-Hsp60 antibody [rGROEL/780] - BSA free (AB234295)

Formalin-fixed, paraffin-embedded human liver tissue stained for Hsp60 using ab234295 at 1 μg/ml in immunohistochemical analysis.

Key facts

Host species

Mouse

Clonality

Monoclonal

Clone number

rGROEL/780

Isotype

IgG1

Light chain type

kappa

Carrier free

No

Reacts with

Human

Applications

IHC-P

applications

Immunogen

Recombinant Full Length Protein corresponding to Human HSPD1.

P10809

Reactivity data

{ "title": "Reactivity Data", "filters": { "stats": ["", "Species", "Dilution Info", "Notes"], "tabs": { "all-applications": {"fullname" : "All Applications", "shortname": "All Applications"}, "IHCP" : {"fullname" : "Immunohistochemistry (Formalin/PFA-fixed paraffin-embedded sections)", "shortname":"IHC-P"} }, "product-promise": { "all": "all", "testedAndGuaranteed": "tested", "guaranteed": "expected", "predicted": "predicted", "notRecommended": "not-recommended" } }, "values": { "Human": { "IHCP-species-checked": "testedAndGuaranteed", "IHCP-species-dilution-info": "0.5-1 µg/mL", "IHCP-species-notes": "<p>(Primary incubation for 10 minutes at room temperature).</p>" }, "Mouse": { "IHCP-species-checked": "predicted", "IHCP-species-dilution-info": "", "IHCP-species-notes": "" }, "Rat": { "IHCP-species-checked": "predicted", "IHCP-species-dilution-info": "", "IHCP-species-notes": "" }, "Chicken": { "IHCP-species-checked": "predicted", "IHCP-species-dilution-info": "", "IHCP-species-notes": "" }, "Cow": { "IHCP-species-checked": "predicted", "IHCP-species-dilution-info": "", "IHCP-species-notes": "" }, "Dog": { "IHCP-species-checked": "predicted", "IHCP-species-dilution-info": "", "IHCP-species-notes": "" }, "Drosophila melanogaster": { "IHCP-species-checked": "predicted", "IHCP-species-dilution-info": "", "IHCP-species-notes": "" }, "Hamster": { "IHCP-species-checked": "predicted", "IHCP-species-dilution-info": "", "IHCP-species-notes": "" }, "Monkey": { "IHCP-species-checked": "predicted", "IHCP-species-dilution-info": "", "IHCP-species-notes": "" }, "Pig": { "IHCP-species-checked": "predicted", "IHCP-species-dilution-info": "", "IHCP-species-notes": "" }, "Rabbit": { "IHCP-species-checked": "predicted", "IHCP-species-dilution-info": "", "IHCP-species-notes": "" }, "Sheep": { "IHCP-species-checked": "predicted", "IHCP-species-dilution-info": "", "IHCP-species-notes": "" }, "Xenopus laevis": { "IHCP-species-checked": "predicted", "IHCP-species-dilution-info": "", "IHCP-species-notes": "" } } }

Properties and storage information

Form
Liquid
Purification technique
Affinity purification Protein A/G
Purification notes
Purified from Bioreactor Concentrate by Protein A/G.
Storage buffer
pH: 7.2 - 7.4 Preservative: 0.05% Sodium azide Constituents: PBS
Shipped at conditions
Blue Ice
Appropriate short-term storage duration
1-2 weeks
Appropriate short-term storage conditions
+4°C
Appropriate long-term storage conditions
-20°C
Aliquoting information
Upon delivery aliquot
Storage information
Avoid freeze / thaw cycle

Supplementary information

This supplementary information is collated from multiple sources and compiled automatically.

Hsp60 also known as HSPD1 and heat shock protein 60 is a significant chaperonin with a molecular weight of approximately 60 kDa. It resides predominantly in the mitochondria and functions to assist in the proper folding of proteins preventing their aggregation. Hsp60 is expressed mainly in cells with high metabolic activity. Its presence as a mitochondrial marker highlights its essential role in maintaining cellular homeostasis and function.
Biological function summary

The protein ensures mitochondrial protein stability by facilitating the refolding of misfolded proteins and cooperating with other chaperonins like Hsp10. Hsp60 participates in forming a complex with these proteins to create a conducive environment for protein folding. It plays a part in regulating mitochondrial homeostasis impacting cell survival and apoptosis processes.

Pathways

Hsp60 links to the ATP synthesis and apoptosis pathways showcasing its importance as a mitochondrial marker. It interacts with proteins like caspase-3 to modulate cell death mechanisms highlighting its influence beyond simple protein folding. In the ATP synthesis pathway it contributes indirectly to energy production by maintaining mitochondrial function.

Hsp60 shows a connection to neurodegenerative diseases and cancer. Altered Hsp60 levels correlate with increased apoptosis in neurodegenerative conditions like Alzheimer's disease. Additionally in cancer interactions with proteins such as AKT suggest its potential role in cell proliferation and survival. Understanding its role could aid in the development of therapeutic interventions targeting mitochondrial dysfunction.

Product protocols

For this product, it's our understanding that no specific protocols are required. You can visit:

Target data

Chaperonin implicated in mitochondrial protein import and macromolecular assembly. Together with Hsp10, facilitates the correct folding of imported proteins. May also prevent misfolding and promote the refolding and proper assembly of unfolded polypeptides generated under stress conditions in the mitochondrial matrix (PubMed : 11422376, PubMed : 1346131). The functional units of these chaperonins consist of heptameric rings of the large subunit Hsp60, which function as a back-to-back double ring. In a cyclic reaction, Hsp60 ring complexes bind one unfolded substrate protein per ring, followed by the binding of ATP and association with 2 heptameric rings of the co-chaperonin Hsp10. This leads to sequestration of the substrate protein in the inner cavity of Hsp60 where, for a certain period of time, it can fold undisturbed by other cell components. Synchronous hydrolysis of ATP in all Hsp60 subunits results in the dissociation of the chaperonin rings and the release of ADP and the folded substrate protein (Probable).
See full target information HSPD1

Publications (1)

Recent publications for all applications. Explore the full list and refine your search

Nature methods 22:962-972 PubMed40128288

2025

Single-cell parallel analysis of DNA damage and transcriptome reveals selective genome vulnerability.

Applications

Unspecified application

Species

Unspecified reactive species

Dongsheng Bai,Zhenkun Cao,Nivedita Attada,Jinghui Song,Chenxu Zhu
View all publications

Product promise

We are committed to supporting your work with high-quality reagents, and we're here for you every step of the way. In the unlikely event that one of our products does not perform as expected, you're protected by our Product Promise.
For full details, please see our Terms & Conditions

Please note: All products are 'FOR RESEARCH USE ONLY. NOT FOR USE IN DIAGNOSTIC OR THERAPEUTIC PROCEDURES'.

For licensing inquiries, please contact partnerships@abcam.com