JavaScript is disabled in your browser. Please enable JavaScript to view this website.
AB252240

Anti-Hsp70 antibody [3A3] - BSA and Azide free

Be the first to review this product! Submit a review

|

(0 Publication)

Mouse Recombinant Monoclonal Hsp70 antibody. Carrier free. Suitable for ICC/IF, WB, IHC-P and reacts with Mouse, Rat, Human samples.

View Alternative Names

HSP72, HSPA1, HSX70, HSPA1A, Heat shock 70 kDa protein 1A, Heat shock 70 kDa protein 1, Heat shock protein family A member 1A, HSP70-1, HSP70.1

8 Images
Immunohistochemistry (Formalin/PFA-fixed paraffin-embedded sections) - Anti-Hsp70 antibody [3A3] - BSA and Azide free (AB252240)
  • IHC-P

Lab

Immunohistochemistry (Formalin/PFA-fixed paraffin-embedded sections) - Anti-Hsp70 antibody [3A3] - BSA and Azide free (AB252240)

This data was developed using ab5439 the same antibody clone in a different buffer formulation.

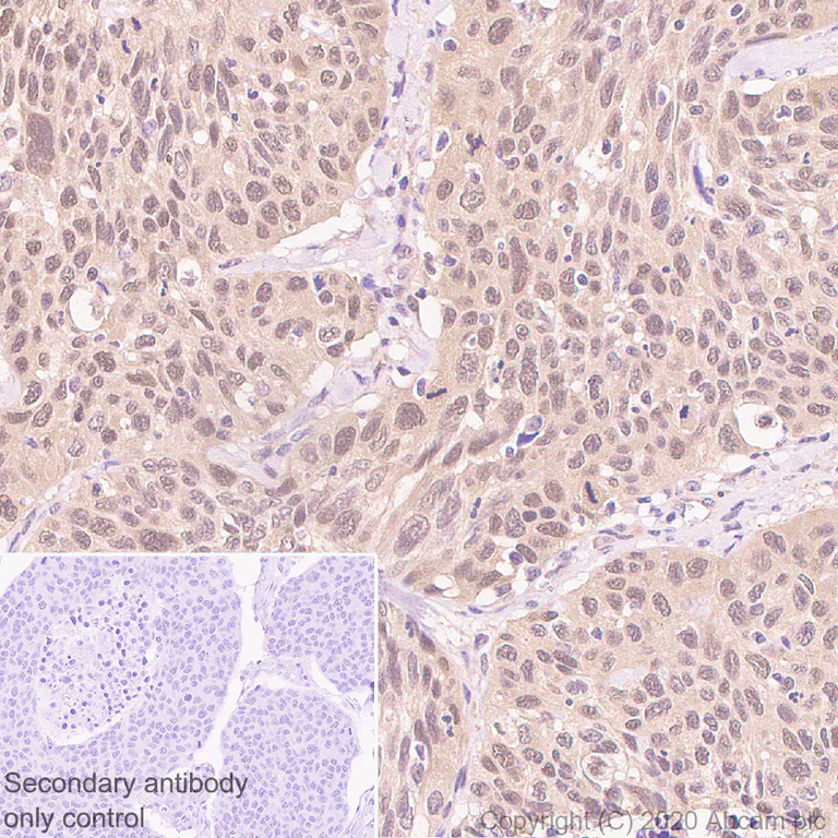
Immunohistochemical analysis of paraffin-embedded Human lung carcinoma tissue labeling Hsp70 with ab5439 at 1/2000 (0.519 μg/ml) dilution followed by a ready to use LeicaDS9800 (Bond™ Polymer Refine Detection). Positive staining on human lung carcinoma. The section was incubated with ab5439 for 30 mins at room temperature.The immunostaining was performed on a Leica Biosystems BOND® RX instrument Counterstained with Hematoxylin.

Secondary antibody only control : Secondary antibody is a ready to use LeicaDS9800 (Bond™ Polymer Refine Detection).

Heat mediated antigen retrieval with Tris-EDTA buffer (pH 9.0, epitope retrieval solution2) for 20 mins

Immunocytochemistry/ Immunofluorescence - Anti-Hsp70 antibody [3A3] - BSA and Azide free (AB252240)
  • ICC/IF

Lab

Immunocytochemistry/ Immunofluorescence - Anti-Hsp70 antibody [3A3] - BSA and Azide free (AB252240)

This data was developed using ab5439 the same antibody clone in a different buffer formulation.Immunofluorescent analysis of 4% Paraformaldehyde-fixed, 0.1% TritonX-100 permeabilized HeLa cells labelling Hsp70 with ab5439 at 1/50 (20.76 µg/ml) dilution, followed by ab150113 Goat Anti-Mouse IgG H&L (Alexa Fluor® 488) antibody at 1/1000 dilution (Green). Confocal image showing cytoplasmic and weak nuclear staining in HeLa cells ab179513 Anti-beta Tubulin rabbit monoclonal antibody was used to counterstain tubulin at 1/200 dilution (Red). The Nuclear counterstain was DAPI (Blue).

Secondary antibody only control : Secondary antibody is ab150113 Goat Anti-Mouse IgG H&L (Alexa Fluor® 488) at 1/1000 dilution.

Immunohistochemistry (Formalin/PFA-fixed paraffin-embedded sections) - Anti-Hsp70 antibody [3A3] - BSA and Azide free (AB252240)
  • IHC-P

Lab

Immunohistochemistry (Formalin/PFA-fixed paraffin-embedded sections) - Anti-Hsp70 antibody [3A3] - BSA and Azide free (AB252240)

This data was developed using ab5439 the same antibody clone in a different buffer formulation.

Immunohistochemical analysis of paraffin-embedded Human cerebrum tissue labeling Hsp70 with ab5439 at 1/2000 (0.519 μg/ml) dilution followed by a ready to use LeicaDS9800 (Bond™ Polymer Refine Detection). Positive staining on human cerebrum. The section was incubated with ab5439 for 30 mins at room temperature.The immunostaining was performed on a Leica Biosystems BOND® RX instrument Counterstained with Hematoxylin.

Secondary antibody only control : Secondary antibody is a ready to use LeicaDS9800 (Bond™ Polymer Refine Detection).

Heat mediated antigen retrieval with Tris-EDTA buffer (pH 9.0, epitope retrieval solution2) for 20 mins

Immunohistochemistry (Formalin/PFA-fixed paraffin-embedded sections) - Anti-Hsp70 antibody [3A3] - BSA and Azide free (AB252240)
  • IHC-P

Lab

Immunohistochemistry (Formalin/PFA-fixed paraffin-embedded sections) - Anti-Hsp70 antibody [3A3] - BSA and Azide free (AB252240)

This data was developed using ab5439 the same antibody clone in a different buffer formulation.

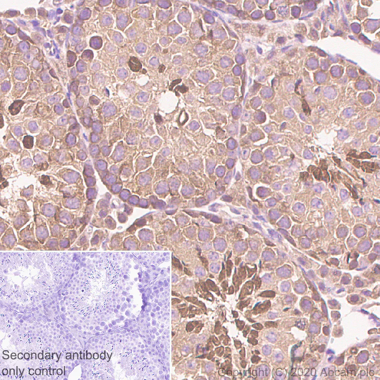
Immunohistochemical analysis of paraffin-embedded Mouse testis tissue labeling Hsp70 with ab5439 at 1/2000 (0.519 μg/ml) dilution followed by a ready to use LeicaDS9800 (Bond™ Polymer Refine Detection). Positive staining on mouse testis. The section was incubated with ab5439 for 30 mins at room temperature.The immunostaining was performed on a Leica Biosystems BOND® RX instrument Counterstained with Hematoxylin.

Secondary antibody only control : Secondary antibody is a ready to use LeicaDS9800 (Bond™ Polymer Refine Detection).

Heat mediated antigen retrieval was performed with Tris-EDTA buffer (pH 9.0, epitope retrieval solution2) for 20 mins

Immunocytochemistry/ Immunofluorescence - Anti-Hsp70 antibody [3A3] - BSA and Azide free (AB252240)
  • ICC/IF

Lab

Immunocytochemistry/ Immunofluorescence - Anti-Hsp70 antibody [3A3] - BSA and Azide free (AB252240)

This data was developed using ab5439 the same antibody clone in a different buffer formulation.Immunofluorescent analysis of 4% Paraformaldehyde-fixed, 0.1% TritonX-100 permeabilized PC-12 cells labelling Hsp70 with ab5439 at 1/50 (20.76 µg/ml) dilution, followed by ab150113 Goat Anti-Mouse IgG H&L (Alexa Fluor® 488) antibody at 1/1000 dilution (Green). Confocal image showing cytoplasmic staining in PC-12 cells ab179513 Anti-beta Tubulin rabbit monoclonal antibody was used to counterstain tubulin at 1/200 dilution (Red). The Nuclear counterstain was DAPI (Blue).

Secondary antibody only control : Secondary antibody is ab150113 Goat Anti-Mouse IgG H&L (Alexa Fluor® 488) at 1/1000 dilution.

Immunocytochemistry/ Immunofluorescence - Anti-Hsp70 antibody [3A3] - BSA and Azide free (AB252240)
  • ICC/IF

Lab

Immunocytochemistry/ Immunofluorescence - Anti-Hsp70 antibody [3A3] - BSA and Azide free (AB252240)

This data was developed using ab5439 the same antibody clone in a different buffer formulation.Immunofluorescent analysis of 4% Paraformaldehyde-fixed, 0.1% TritonX-100 permeabilized NIH/3T3 cells labelling Hsp70 with ab5439 at 1/50 (20.76 µg/ml) dilution, followed by ab150113 Goat Anti-Mouse IgG H&L (Alexa Fluor® 488) antibody at 1/1000 dilution (Green). Confocal image showing cytoplasmic and weak nuclear staining in NIH/3T3 cells ab179513 Anti-beta Tubulin rabbit monoclonal antibody was used to counterstain tubulin at 1/200 dilution (Red). The Nuclear counterstain was DAPI (Blue).

Secondary antibody only control : Secondary antibody is ab150113 Goat Anti-Mouse IgG H&L (Alexa Fluor® 488) at 1/1000 dilution.

Immunohistochemistry (Formalin/PFA-fixed paraffin-embedded sections) - Anti-Hsp70 antibody [3A3] - BSA and Azide free (AB252240)
  • IHC-P

Lab

Immunohistochemistry (Formalin/PFA-fixed paraffin-embedded sections) - Anti-Hsp70 antibody [3A3] - BSA and Azide free (AB252240)

This data was developed using ab5439 the same antibody clone in a different buffer formulation.

Immunohistochemical analysis of paraffin-embedded Rat cerebrum tissue labeling Hsp70 with ab5439 at 1/2000 (0.519 μg/ml) dilution followed by a ready to use LeicaDS9800 (Bond™ Polymer Refine Detection). Positive staining on rat cerebrum. The section was incubated with ab5439 for 30 mins at room temperature.The immunostaining was performed on a Leica Biosystems BOND® RX instrument Counterstained with Hematoxylin.

Secondary antibody only control : Secondary antibody is a ready to use LeicaDS9800 (Bond™ Polymer Refine Detection).

Heat mediated antigen retrieval was performed with Tris-EDTA buffer (pH 9.0, epitope retrieval solution2) for 20 mins

Western blot - Anti-Hsp70 antibody [3A3] - BSA and Azide free (AB252240)
  • WB

Lab

Western blot - Anti-Hsp70 antibody [3A3] - BSA and Azide free (AB252240)

This data was developed using ab5439, the same antibody clone in a different buffer formulation.

Blocking and diluting buffer and concentration : 5% NFDM/TBST

Exposure time : 1 second

All lanes:

Western blot - Anti-Hsp70 antibody [3A3] (<a href='/en-us/products/primary-antibodies/hsp70-antibody-3a3-ab5439'>ab5439</a>) at 1/1000 dilution

Lane 1:

HeLa (human cervix adenocarcinoma epithelial cell), whole cell lysate at 10 µg

Lane 2:

K562 (human chronic myelogenous leukemia lymphoblast), whole cell lysate at 10 µg

Lane 3:

Jurkat (human T cell leukemia T lymphocyte), whole cell lysate at 10 µg

Lane 4:

293T (human embryonic kidney epithelial cell), whole cell lysate at 10 µg

Lane 5:

A431 (human epidermoid carcinoma epithelial cell), whole cell lysate at 10 µg

Lane 6:

A549 (human lung carcinoma epithelial cell), whole cell lysate at 10 µg

Lane 7:

F9 (mouse embryonal carcinoma epithelial cell), whole cell lysate at 10 µg

Lane 8:

RAW264.7 (mouse Abelson murine leukemia virus-induced tumor macrophage), whole cell lysate at 10 µg

Lane 9:

C6 (rat glial tumor glial cell), whole cell lysate at 10 µg

Lane 10:

PC-12 (rat adrenal gland pheochromocytoma), whole cell lysate at 10 µg

Secondary

All lanes:

Peroxidase-Conjugated Goat anti-Mouse IgG (H+L) at 1/10000 dilution

Predicted band size: 70 kDa

Observed band size: 70 kDa

false

Exposure time: 1s

Key facts

Host species

Mouse

Clonality

Monoclonal

Clone number

3A3

Isotype

IgG1

Carrier free

Yes

Reacts with

Human, Mouse, Rat

Applications

WB, ICC/IF, IHC-P

applications

Immunogen

The exact immunogen used to generate this antibody is proprietary information.

Specificity

This antibody detects several members of the heat shock protein 70 kDa (Hsp 70) gene family including Hsp 70, Hsc 70, p75, and following heat shock, Hsp 72 from yeast, Drosophila, fish, mouse, avian, amphibian and human samples.

Reactivity data

{ "title": "Reactivity Data", "filters": { "stats": ["", "Species", "Dilution Info", "Notes"], "tabs": { "all-applications": {"fullname" : "All Applications", "shortname": "All Applications"}, "ICCIF" : {"fullname" : "Immunocytochemistry/ Immunofluorescence", "shortname":"ICC/IF"}, "WB" : {"fullname" : "Western blot", "shortname":"WB"}, "IHCP" : {"fullname" : "Immunohistochemistry (Formalin/PFA-fixed paraffin-embedded sections)", "shortname":"IHC-P"} }, "product-promise": { "all": "all", "testedAndGuaranteed": "tested", "guaranteed": "expected", "predicted": "predicted", "notRecommended": "not-recommended" } }, "values": { "Human": { "ICCIF-species-checked": "testedAndGuaranteed", "ICCIF-species-dilution-info": "", "ICCIF-species-notes": "<p></p>", "WB-species-checked": "testedAndGuaranteed", "WB-species-dilution-info": "", "WB-species-notes": "<p></p>", "IHCP-species-checked": "testedAndGuaranteed", "IHCP-species-dilution-info": "", "IHCP-species-notes": "<p></p>" }, "Mouse": { "ICCIF-species-checked": "testedAndGuaranteed", "ICCIF-species-dilution-info": "", "ICCIF-species-notes": "<p></p>", "WB-species-checked": "testedAndGuaranteed", "WB-species-dilution-info": "", "WB-species-notes": "<p></p>", "IHCP-species-checked": "testedAndGuaranteed", "IHCP-species-dilution-info": "", "IHCP-species-notes": "<p></p>" }, "Rat": { "ICCIF-species-checked": "testedAndGuaranteed", "ICCIF-species-dilution-info": "", "ICCIF-species-notes": "<p></p>", "WB-species-checked": "testedAndGuaranteed", "WB-species-dilution-info": "", "WB-species-notes": "<p></p>", "IHCP-species-checked": "testedAndGuaranteed", "IHCP-species-dilution-info": "", "IHCP-species-notes": "<p></p>" } } }

Product details

ab252240 is the carrier-free version of ab5439.

What are the advantages of a recombinant monoclonal antibody?
This product is a recombinant monoclonal antibody, which offers several advantages including:

  • - High batch-to-batch consistency and reproducibility
  • - Improved sensitivity and specificity
  • - Long-term security of supply
  • - Animal-free batch production

For more information, read more on recombinant antibodies.

Conjugation ready
Our carrier-free antibodies are typically supplied in a PBS-only formulation, purified and free of BSA, sodium azide and glycerol. This conjugation-ready format is designed for use with fluorochromes, metal isotopes, oligonucleotides, and enzymes, which makes them ideal for antibody labelling, functional and cell-based assays, flow-based assays (e.g. mass cytometry) and Multiplex Imaging applications.

Use our conjugation kits for antibody conjugates that are ready-to-use in as little as 20 minutes with 1 minute hands-on-time and 100% antibody recovery: available for fluorescent dyes, HRP, biotin and gold.

Compatibility
This product is compatible with the Maxpar® Antibody Labeling Kit from Fluidigm, without the need for antibody preparation. Maxpar® is a trademark of Fluidigm Canada Inc.

Properties and storage information

Form
Liquid
Purification technique
Affinity purification Protein A
Storage buffer
Constituents: PBS
Shipped at conditions
Blue Ice
Appropriate short-term storage conditions
+4°C
Appropriate long-term storage conditions
+4°C
Storage information
Do Not Freeze

Supplementary information

This supplementary information is collated from multiple sources and compiled automatically.

Hsp70 also known as Heat Shock Protein 70 or HSPA1B is a molecular chaperone with a mass of approximately 70 kDa. It plays a mechanical role by assisting in the proper folding of nascent polypeptide chains and the refolding of misfolded proteins. Researchers often detect Hsp70 using Western blot and immunohistochemistry (IHC) techniques. Hsp70 is widely expressed in many tissues particularly during stress conditions like heat shock where its expression level increases significantly.
Biological function summary

Hsp70 operates by stabilizing intermediate states of folding proteins preventing aggregation and facilitating the correct folding process. It often forms a complex with co-chaperones such as Hsp40 and nucleotide exchange factors. This complex is essential for the protein's activity and function. Additionally Hsp70 participates in protein degradation pathways by guiding misfolded proteins to the proteasome for degradation maintaining cellular homeostasis.

Pathways

This molecular chaperone plays significant roles in the heat shock response and unfolded protein response pathways. Hsp70 interacts closely with proteins such as Hsp90 and co-chaperones which together help protect cells from stress-induced damage. The protein also participates in the JAK/STAT signaling pathway influencing cell proliferation and apoptosis. These interactions suggest an integral role in maintaining cellular integrity during stress conditions.

Overexpression of Hsp70 has been associated with various cancers and neurodegenerative diseases. In cancer Hsp70 helps tumor cells survive the hostile tumor microenvironment partly by interacting with anti-apoptotic proteins such as Bcl-2. In neurodegenerative disorders such as Alzheimer's disease Hsp70 associates with amyloid-beta peptides potentially mitigating their aggregation toxicity. These interactions highlight Hsp70's importance in both protective and pathological cellular processes.

Product protocols

For this product, it's our understanding that no specific protocols are required. You can visit:

Target data

Molecular chaperone implicated in a wide variety of cellular processes, including protection of the proteome from stress, folding and transport of newly synthesized polypeptides, activation of proteolysis of misfolded proteins and the formation and dissociation of protein complexes. Plays a pivotal role in the protein quality control system, ensuring the correct folding of proteins, the re-folding of misfolded proteins and controlling the targeting of proteins for subsequent degradation. This is achieved through cycles of ATP binding, ATP hydrolysis and ADP release, mediated by co-chaperones. The co-chaperones have been shown to not only regulate different steps of the ATPase cycle, but they also have an individual specificity such that one co-chaperone may promote folding of a substrate while another may promote degradation. The affinity for polypeptides is regulated by its nucleotide bound state. In the ATP-bound form, it has a low affinity for substrate proteins. However, upon hydrolysis of the ATP to ADP, it undergoes a conformational change that increases its affinity for substrate proteins. It goes through repeated cycles of ATP hydrolysis and nucleotide exchange, which permits cycles of substrate binding and release. The co-chaperones are of three types : J-domain co-chaperones such as HSP40s (stimulate ATPase hydrolysis by HSP70), the nucleotide exchange factors (NEF) such as BAG1/2/3 (facilitate conversion of HSP70 from the ADP-bound to the ATP-bound state thereby promoting substrate release), and the TPR domain chaperones such as HOPX and STUB1 (PubMed : 24012426, PubMed : 24318877, PubMed : 26865365). Maintains protein homeostasis during cellular stress through two opposing mechanisms : protein refolding and degradation. Its acetylation/deacetylation state determines whether it functions in protein refolding or protein degradation by controlling the competitive binding of co-chaperones HOPX and STUB1. During the early stress response, the acetylated form binds to HOPX which assists in chaperone-mediated protein refolding, thereafter, it is deacetylated and binds to ubiquitin ligase STUB1 that promotes ubiquitin-mediated protein degradation (PubMed : 27708256). Regulates centrosome integrity during mitosis, and is required for the maintenance of a functional mitotic centrosome that supports the assembly of a bipolar mitotic spindle (PubMed : 27137183). Enhances STUB1-mediated SMAD3 ubiquitination and degradation and facilitates STUB1-mediated inhibition of TGF-beta signaling (PubMed : 24613385). Essential for STUB1-mediated ubiquitination and degradation of FOXP3 in regulatory T-cells (Treg) during inflammation (PubMed : 23973223). Required as a co-chaperone for optimal STUB1/CHIP ubiquitination of NFATC3 (By similarity). Negatively regulates heat shock-induced HSF1 transcriptional activity during the attenuation and recovery phase period of the heat shock response (PubMed : 9499401). Involved in the clearance of misfolded PRDM1/Blimp-1 proteins. Sequesters them in the cytoplasm and promotes their association with SYNV1/HRD1, leading to proteasomal degradation (PubMed : 28842558).. (Microbial infection) In case of rotavirus A infection, serves as a post-attachment receptor for the virus to facilitate entry into the cell.
See full target information HSPA1A

Product promise

We are committed to supporting your work with high-quality reagents, and we're here for you every step of the way. In the unlikely event that one of our products does not perform as expected, you're protected by our Product Promise.
For full details, please see our Terms & Conditions

Please note: All products are 'FOR RESEARCH USE ONLY. NOT FOR USE IN DIAGNOSTIC OR THERAPEUTIC PROCEDURES'.

For licensing inquiries, please contact partnerships@abcam.com